
1.颅内压管控
(1)常规监测颅内压(ICP)增高征象,如头痛、恶心和呕吐、颈抵抗、眼底静脉充盈和视神经乳头水肿。定期监测头部影像占位改变。必要时予有创(脑室或脑实质)持续颅内压监测。颅内压管控的目标为<15~20mmHg(包括颅骨切除减压术后)。
(2)常规首选渗透性利尿剂,如20%甘露醇125~250ml;
10%氯化钠注射液60ml+0.9%氯化钠100ml 或10%氯化钠注射液30ml+0.9%氯化钠100ml,快速静脉滴注(30分钟),每4~12小时一次。维持血钠在145~155mmol/L,血浆渗透压<320mmol/L。血浆渗透压计算公式:[2×(K+Na)(mmol/L)+葡萄糖(mmol/L)+尿素氮(mmol/L)]。
必要时,选择治疗性低温或颅骨切除减压术,降低颅内压。
(3)治疗性低温(TH),其不仅具有降低颅内压作用,还有神经元保护作用,从而改善预后。治疗性低温的核心温度目标为33-35℃,持续24~72小时,缓慢控制性复温24~48小时或更长,以避免颅内压“反跳”。冰毯、冰帽、冰敷。
(4)颅骨切除减压术,通常切除颅骨直径>12cm;此外,采取硬脑膜、颞肌、皮瓣减张缝合,以充分减压。
去骨瓣手术指征包括:
① 大脑半球大面积梗死(LHI)伴意识障碍;瞳孔不等大。脑中线移位>5mm。脑室、基底环池受压。②NIHSS>15分;③梗死范围>大脑中动脉供血区2/3,伴或不伴同侧大脑前动脉和/或大脑后动脉供血区梗死。 Edema评分>6分颅骨切除减压预警!颅骨切除减压术具有显著的减压作用,因此可使LHI病死率大幅度下降。
《指南》意见
1.大面积脑梗死:根据影像学显示梗死范围定义,包括“大脑半球大面积梗死”(发病6 h内 CT 平扫显示梗死区>1/3大脑中动脉供血区,或发病6 h后至7 d内 CT 平扫显示梗死区>1/2 大脑中动脉供血区;或发病6 h内MRI-DWI 显示梗死体积>80 ml,或发病14 h内MRI-DWI 显示梗死体积>145 ml)和“小脑大面积脑梗死”(采用影像梗死直径>3 cm)。
2.恶性脑水肿:大面积脑梗死后发生严重占位效应的脑水肿(影像学显示中线移位、四脑室受压等),且导致神经功能进行性恶化(神经功能缺损加重、意识障碍加深、瞳孔反应变差等),并可能因此进展为脑疝甚至死亡的恶性状态。
3.出血转化:急性脑梗死后缺血区血管重新恢复血流灌注导致的出血。
本指南主要适用于伴有恶性脑水肿或不可避免将出现恶性脑水肿,以及因出血转化导致临床加重的大面积脑梗死患者。
4、大脑半球大面积脑梗死的推荐意见:
(1)对于脑疝早期及脑疝征象(意识障碍、一侧瞳孔散大等临床表现,中线受压向对侧偏移≥5 mm、同侧侧脑室明显受压、脑沟脑池受压消失)患者,推荐早期手术减压(Ⅰ级推荐,A级证据)。
(2)对于积极内科治疗后仍存在明显的颅内高压的表现(头痛、呕吐及视神经乳头水肿)或出现神经功能进行性恶化表现(GCS评分下降≥1分或新发瞳孔散大或光反射变化或新发局灶运动功能缺损)或影像学恶化(中线偏移、侧脑室、脑沟脑池受压加重)患者,推荐积极手术(Ⅱ级推荐,B级证据)。
(3)针对大脑中动脉区域的大面积脑梗死患者,EDEMA评分≥3分或改良EDEMA评分≥6分为重要的手术预警指标(Ⅲ级推荐,C级证据)。
5.体温管控
(1)常规监测体表温度,必要时予以持续核心温度(膀胱、直肠、鼻咽、脑实质)监测。核心温度管控目标为<37.5℃。
(2)常规选择物理降温,如体表降温。必要时药物降温,如对乙酰氨基酚,0.3g,鼻饲注入,每4~12小时一次,每日最大剂量不超过2g。
条件允许时予以血管内降温。降温目标为(36.5~ 37.5℃)或治疗性低温。

6.动脉血压管控
(1)常规监测袖带血压,在血压不稳定情况下,至少每15分钟测量一次。必要时予以有创持续动脉血压监测。
(2)血压管控目标因治疗方法不同而异。血管内治疗(EVT)前,血压管控目标为<180/105mmHg。血管内治疗(EVT)后,血管再通良好[改良脑梗死溶栓分级≥2b级]时血压管控目标为<140/90mmHg,或低于基础血压20mmHg;
血管内治疗(EVT)后血管再通不佳(mTICl分级<2a级)或存在血管再闭塞风险时,血压管控目标不宜过低。
颅骨切除减压术前,血压管控目标为<180/100mmHg;术后8小时内收缩压管控目标为140 ~160mmHg。
(3)常规选择静脉滴注α受体阻滞剂,如乌拉地尔静脉泵注,6-24mg/h;
必要时选择血管扩张剂,如硝普钠静脉泵注,0.5~10pg/(kg·min) ;用药前须排除颅内压增高.
用药期间,避免血压下降过快或过低;一旦血压低于管控目标值,快速静脉滴注0.9%氯化钠溶液500ml扩容升压;如果效果不佳,静脉泵注多巴胺1~20μg/(kg·min),或去甲肾上腺素0.05~0.2 μg/(kg·min)。
7.血氧管控
(1)常规监测血氧和血气分析指标。血氧管控目标为Sp02>94%,PO=75mmHg(PCO,35~45mmHg)。当颅内压增高时,管控目标为PO>100mmHg(PCO,35-40mmHg)。
(2)常规符合昏迷评分(GCS)8分、PO<60mmHg\PCO>50mmHg 或气道功能不全等条件时,予以气管插管和/或机械通气。
8.血钠管控
(1)常规监测静脉血钠或动脉抗凝全血钠(血气分析),必要时每1~6小时一次。血钠管控目标为135~145mmol/L。当颅内压增高时,血钠管控目标为145~155mmol/L。
(2)低钠血症时,限制管饲或静脉水摄入,促进水排出(减轻稀释性低血钠);
轻度低钠血症(>130mmol/L)时,增加管饲钠摄入如10%氯化钠溶液20~40ml,每6~12小时一次;
重度低钠血症(<130mmol/L)时,静脉泵注3%氯化钠溶液20~35ml/h,并根据血钠浓度调整泵注速度和泵注总量。
(3)高钠血症时,限制管饲或静脉钠摄入,增加管饲水泵注或静脉等渗溶液泵注,但需避免血钠降低速度过快,每日降低血钠限制在8~10mmol/L,每小时限制在<0.5mmol/L,以防渗透性脑病。
9.血糖管控
(1)常规监测静脉血清血糖,或末梢血糖(注意核对测量误差)。必要时持续监测静脉血清血糖。
鉴别短期(应激性)血糖增高时,同时检测糖化血红蛋白(GHb)(正常范围内)。血糖管控目标为7.8~10mmol/L。
2)常规选择短效胰岛素静脉持续泵注,泵注胰岛素期间,每2~6小时监测一次血糖,并根据血糖变化调整胰岛素泵注速度
和泵注总量,避免低血糖发生。持续肠内泵注营养液时,需要同时静脉泵注胰岛素,以控制血糖。
10.胃肠功能
(1)常规监测胃肠功能,包括急性胃肠损伤(AGI)评分。
(2)胃肠功能正常时,尽早开始肠内营养。AGI评分≥Ⅰ级时,调整肠内营养方案;肠内营养不足时,需辅以肠外营养。
11.系统并发症管控
系统并发症是影响LHI病死率的重要因素,其中肺炎发生率为72.2%~94.4%,心功能异常发生率为33.3%~38.9%,应激性溃疡伴消化道出血发生率为11.1%~22.2%,电解质紊乱发生率为83.3%~88.9%,肾功能障碍发生率为22.2%~50%,深静脉血栓发生率为13%~35%。有关并发症管控参见“神经重症并发症管理”。
典型病例1:急性右侧颈内动脉起始部闭塞高负荷血栓取栓病例
病例简介:


诊断:1.心源性栓塞;2.右侧颈内动脉糸统急性闭塞。
评估:符合血管内治疗三个“6”原则:时间窗<6小时;CT-ASPECTS评分5分,NIHSS评分>7分,行血管内介入治疗。为大面积梗死,无论取栓溶栓预后不良。

持续静脉镇静麻醉:患者躁动不安给予右美80ug(1ug/Kg)推注,继以0.3ug/Kg泵入镇静。
导引导管到位:右侧股动脉置8F动脉鞘,0.035泥鳅导丝携带单弯导管外衬8F导引导管到达右侧颈总动脉近分叉处。撤出单弯导管和泥鳅导丝。
裸奔抽吸:通过导引导管将中间导管0.070-125cm置于颈内动脉起始部,"裸奔"边抽吸边上,抽吸3次,到达C4段,但以远血管仍不通畅。

导丝导引下抽吸:微导丝携带微导管,在中间导管支撑下到达C6-M1起始部,中间导管再次边抽吸边上至M1起始部,抽出部分血栓,中间导管造影示大脑前通畅,大脑中动脉仍不通。
支架取栓联合抽吸:再次将微导丝偿试通过M1段,到达大脑中动脉分叉部分,跟进微导管至分叉部,通过微导管释放4ⅹ20mm取栓支架,静置5分钟,向前跟进微导管,收拢支架,跟进中间导管至M1。边抽拉微导管和支架负压抽吸下将支架拉入中间导管内撤出体外,抽出大量黯红色血栓,支架内抓出黯黑色血栓。
中间导管内造影示大脑中动脉上干、下干通畅,远端血流良好,但上干、下干分叉后血管内仍有发白,考虑仍有血栓或斑块。
再次取栓:再次将支架置于M2段上干,释放支架,跟进中间导管至M1分叉近端,再次取栓和抽吸,取出少量血栓。


取出的大量血栓。

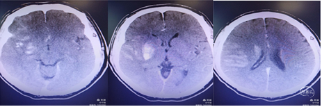
术后CT检查:造影剂外渗。

术后1小时左下肢肌力2级,问答基本切题,言语流畅。
术后8小时出现意识不清,CT示脑水肿明显,给予去骨辨减压重症监护笫3天呈浅昏迷,双下肢肌力3级。第5天,病情加重,预后不良。
典型病例 左侧颈内动脉闭塞脑疝型重症大面积脑梗塞治疗体会
病例简介


脑血管造影:左侧颈内动脉C 1段呈火苗样,考虑T型段闭塞可能。右侧颈内动脉通过前交通向左侧大脑中动脉区域代偿供血。后交通向左侧大脑中动脉区域供血。可能考虑FLER已经出现病灶,未进行急性血管开通。
错过了最佳治疗血管内介入。

治疗后转康复科,进行康复治疗。康复治疗中停双联抗血小板治疗,又错失了最佳双抗治疗。
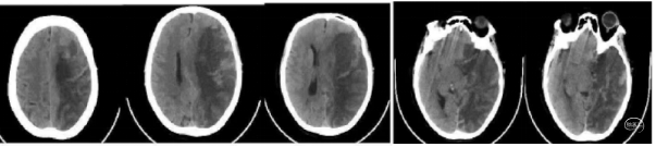
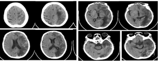
患者出现意识不清,病情加重。查CT左侧大脑中动脉区域水肿,低密度改变,中线移位。为大脑中动脉闭塞后改变,恶性脑水肿。

重症脑血管病管理:经甘露醇、白蛋白、3%氯化钠脱水、高压氧、依达拉奉、吡拉西坦脑保护治疗13天水肿消退,脑中线无移位,左侧大脑中动脉区域较前变淡。脑沟脑回显示清楚。
患者意识清楚,部分感觉性失语(部分听不懂),能说话,左侧肢体功能正常,配合指令活动。右侧上肢肌力0级,下肢肌力Ⅱ级+。

讨论与体会
1、急性大脑中动脉为大血管闭塞,一旦闭塞,造成大面积脑梗塞。应
该积极急性血管内治疗开通闭塞血管,恢复血流是关健。
2、本例为ICAS病变急性闭塞,梗死体积小,根据时间窗和组织窗评估12~24小时内应积极进行血管内开通治疗。
3、WILLS环完善的患者前交通和后交通代偿积极应用替罗非班、阿司匹林、氯吡格雷、阿托伐他汀治疗。
4、重症脑梗塞的管理很重要。以甘露醇、白蛋白、3%氯化钠脱水、高压氧、依达拉奉、吡拉西坦脑保护治疗。早期、有效的进行呼吸管理和胃肠管理才能赢得大脑恢复的时间。
5、患者基底节区损害较大,皮层功能损害相对小,经抗血小板聚集、脱水、脑保护治疗转危为安。
6、已形成大面积脑梗死或遗留重症残疾者不宜再进行闭塞血管开通。不获益。
专家点评
1、大面积脑梗死具有高发病率、高致残率、高死亡率,尤其是恶性大面积脑梗死病情更加凶险。一旦形成出现颅内压进行性升高、病情急剧加重。50-80%的患者死亡与脑疝。
2、恶性大面积脑梗死进行性发展的机制在于引起脑水肿,升高的颅内压科降低脑灌注,引起梗死进一步加重。从而恶性循环。
3、手术适应症:
发病48小时内① 大脑半球大面积梗死(LHI)伴脑疝早期及脑疝征象 意识障碍、一侧瞳孔散大等临床表现,中线受压向对侧偏移25 mm、同侧侧脑室明显受压、脑沟脑池受压消失。②NIHSS>15分;③CT提示梗死范围>大脑中动脉供血区2/3。 ④EDEMA评分大于6分,手术预警推荐早期手术减压。
早期颅骨切除减压术具有显著的减压作用,因此可使LHI病死率大幅度下降。
4、手术时机:
何时给患者行去骨板减压术一直是争论的焦点。在许多随机对照试验中,都选择在大面积脑梗死达到水肿高峰前期、发生脑疝之前行手术治疗,比如于脑梗死24~48小时行去骨瓣减压术作为预防性治疗手段。
虽然不是所有患者均出现危及生命的脑水肿,但如果待临床症状恶化再行去骨瓣减压术,则会带来临床症状恶化、不良结局和高死亡率。
探索性手术:
对于不能接受去骨瓣减压的可尝试性行微创锥颅引流。脑疝型大面积脑梗死前期微创锥颅引流抽取脑组织内减压治疗挽救生命。





每次抽取脑组织20-30ml


往期精选
作者简介
赵宝元 主任医师
武威市中医院 神经内科
主任医师。 武威市中医医院脑病科主任。甘肃省陇原人才,武威市中医院脑血管介入团队学科带头人,武威市脑血管介入与卒中早期康复创新工作班组组长。 从事神经内科工作20余年,曾在兰大二院进修神经内科和急诊,中国人民解放第940医院神经内科高级卒中中心、陆军军医大附属新桥医院高级卒中与介入中心学习脑血管介入。 任武威市老年病专业委员会主任委员、武威市中西医结合神经内科专业委员会副主任委员、武威市中西医结合眩晕专业委员会副主任委员、武威市神经内科学会常务委员、甘肃省脑血管专业委员会委员。 开展脑出血微创锥颅引流近500余例,经桡动脉脑血管造影500余例,开展急性脑梗塞血管内机械取栓,动、静脉桥接、颈内动脉狭窄、椎动脉狭窄、锁骨下动脉狭窄或闭塞的血管支架成形术。
声明:脑医汇旗下神外资讯、神介资讯、神内资讯、脑医咨询、Ai Brain 所发表内容之知识产权为脑医汇及主办方、原作者等相关权利人所有。





