
一、颈内动脉远端闭塞大负荷血栓的处理。
颈内动脉远端闭塞性脑梗塞,术中造影颈内动脉C1段起始部呈“火苗状”窜动,说明有限流性前向血流或眼动脉通畅,出现造影剂瘀滞的火苗状造影剂窜动征象。颈内动脉火苗状,定是卡在T型段。
A、采用“挖煤技术” 由近及远抽吸,踹马桶抽吸清理干净颅外段颈内动脉滞留血液,防止颅外血栓逃逸颅内远端增加取栓困难。再抽吸核心血栓或抽吸联合支架取栓,处理狭窄。术中尽量少造影,尤其不要高压造影,防止血栓推向远端血管。
B、远端保护近端抽吸取栓 颅内血管M1段头端网篮支架保护,踹马桶抽吸清理干净颅外段颈内动脉滞留血液,抽吸联合支架取栓,处理狭窄。
二、颈内动脉近端闭塞处理
(一)、尝试通过闭塞:
1).微导丝、微导管尝试通过闭塞;
2).泥鳅导丝携带单弯造影导管尝试通过狭窄,有时微导丝和泥鳅导丝都难以找到真腔,用泥鳅导丝不出头单弯造影导管头端突破闭塞容易进入真腔。同轴跟进导引导管起到限流作用和支撑作用,通过中间导管进行抽吸清理颈内动脉滞留血液和血栓,必要时大脑中动脉取栓,再处理狭窄。
3).微导丝携带2-2.5mm小球囊尝试通过闭塞扩张狭窄部位,球囊泄压的同时将导引导管“穿梭通过”狭窄部位,撤出球囊,导引导管起到限流作用和支撑作用,通过中间导管进行抽吸清理颈内动脉滞留血液和血栓,必要时大脑中动脉取栓,再处理狭窄。
(二)、处理近端狭窄
首先置入保护伞,再撤下导引导管,防止导引导管头段颈内动脉残余血栓逃逸远端。 用3-4mm球囊扩张,如能够保持血流,无夹层,二期支架进行支架置入血管成形。这样限流开通,可防止一次性支架置入后高灌注导致病情加重。不能保持3级血流或存在夹层可能则Ⅰ期行支架置入。支架置入后残余狭窄<30%,尽量不进行支架内球囊后扩,随着时间自膨支架会进一步扩张与血管内壁嵌合。
经桡动脉入路颈内动脉狭窄支架植入和取栓。COSIS技术 颅内段血管网篮取栓支架保护下的动脉闭塞开通术。
颈内动脉闭塞性脑梗塞典型实战病例操作技术要点
一、 颈内动脉远端ICAS病变抽吸取栓球囊扩张血管成形典型病例
操作要点:近端“挖地道一样”抽吸清理,球囊扩张血管成形。
典型病例1: 患者,mshq 男性,44岁,“突发右侧上下肢无力,言语含糊”,溶栓后肢体肌力4-级,搀扶行走。经基层医院静脉溶栓后转入我院。外院核磁显示:左侧侧脑室后角梗塞。MRA显示:C4-C5段以远血管显影浅淡。

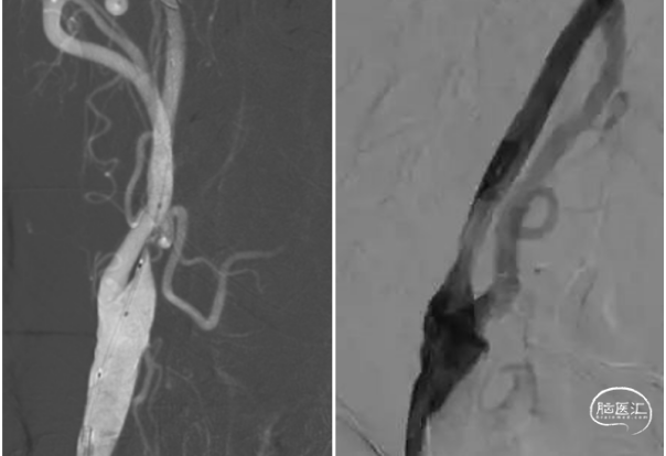
转入我科后,患者肢体较溶栓后略有加重,右下肢肌力3级,上肢2级。造影显示:左侧颈内动脉C1段呈火苗样窜动,提示:远端闭塞可能。说明病情在持续加重,可能为血栓堆积闭塞了血管。
颈内动脉C1~C3血管迂曲呈u型、S型改变。血液滞留。泥鳅导丝、130cm西蒙导管、Neuron MAX长鞘同轴到达C1段到达S迂曲。

Nueron MAX长鞘高到位有助于起到近端阻断作用。引入6F通桥中间导管,打开中间导管尾部裸奔通过S型迂曲到C5段导管。尾部流血停止,说明到达狭窄或血栓部位,连接50mL注射器踹马桶抽吸,抽出30mL血液,见0.5Cm大小硬质血栓。下图所示

再次清理防止碎栓逃逸:抽吸至血流通畅,造影显示血管再通。但极重度狭窄,一抽见真情。

球囊扩张:微导丝携带微导管到达大脑中动脉M1段远端,沿微导丝输送2.5mm颅内白驹球囊扩张狭窄部位.缓慢打压,像拨秒表一样,1、2、3、4…1分钟1个大气压的速度充盈球囊至3-5个大气压。球囊充盈应该两段先充盈狭窄部位后充盈,保持3-5秒,缓慢泄压,这样防止形成夹层。
如果不能两端充盈,说明球囊铆定狭窄不准确,泄压再次铆定。如果球囊不能覆盖狭窄部位,可先小压力叠加部位序贯扩张,再大压力序贯扩张。

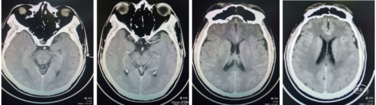
术后24小时患者言语清晰,右侧上下肢肌力3+级。复查CT无明显血栓逃逸梗塞和出血征象。

小结:
1.年轻患者,糖尿病,血管迂曲呈S型,四十岁的年龄七十岁的血管。
2.造影颈内动脉呈火苗样窜动,与院前影像不一致,说明可能血栓堆积闭塞了狭窄血管。病情变化积极复查还有必要。
3.Neuron MAX长鞘头端柔软,容易通过S型、u型迂曲血管高到位起到近端阻断血流的作用。
4.打开中间导管尾部流血裸奔,血流停止说明到达闭塞或血栓部位。
5.踹马桶负压抽吸,清理干净颈内动脉滞留血液和血栓,避免将颅外段血栓流入颅内段。一抽见真情,狭窄露出真面貌。
6.球囊扩张改善血管狭窄,达到血流通畅。
典型病例2、 颈内动脉远端大负荷血栓“挖煤技术”开通
病历摘要:
患者wsf ,男,79岁,以“意识模糊、右侧肢体失动4小时”入院。查体:不能配合,双眼向凝视,刺激左侧肢体活动可,右上肢肌力0级,下肢1级。NiHss评分25分。心电图示:心房颤动,心率90-100次/分。既往有房颤(未抗凝治疗)、高血压.
入院后急查CT未见出血和低密度改变。核磁DWI示:左侧大脑半球梗塞,左侧大脑中动脉和内囊区域受累。MRA示:左侧颈内动脉未显影,考虑闭塞。

定位:左侧大脑中动脉区域(M1段血栓可能);定性:缺血性。
给予阿替普酶静脉溶栓后和家属沟通行血管内取栓治疗。
造影示:左侧颈内动脉起始部以远未向远端供血,左侧颈总动脉呈火苗样窜动。查询颈内动脉造影颈内动脉血流火苗样迟滞窜动。
术前术中评估:老年高龄患者、心房颤动、左侧颈内动脉呈火苗样窜动。考虑远端闭塞,心源性栓塞可能。

手术方案:
1.“挖地道一样”抽吸颈内动脉滞留血液,清理干净颈内动脉段血栓。
2.支架联合抽吸取栓。
8Fguiding到达C1段支撑070银蛇中间导管裸奔边上行边抽吸,抽出部分血栓,造影显示到血流达到C6段。
术中边推进导管边抽吸,抽出部分血栓,造影显示到血流达到C6段。

支架取栓:
1、微导管到位:微导丝通过M1段艰涩困难,再次偿试通过M1段到达M2。携带微导管到达M2段,微导管造影显示远端有正向血流,在真腔内。下图1
2、支架释放:通过027微导管释放6X30mm 通桥蛟龙支架,静置5分钟后微造影,大脑中未显影,未见首过效应考虑血栓负荷较大。大脑前有血流。下图2
3、裸支架导丝技术:缓慢撤出微导管于体外,裸支架导丝,保留中间导管最大管腔。
4、中间导管收拢支架尾部一体回撤:中间导管跟进至M1段收拢支架尾部下,负压踹马桶抽吸中间导管,缓慢一体回撤支架和中间导管,一次取出长约3.5cm黯红色血栓。
5、二次抽吸清理:迅速清理导管进行二次抽吸未抽吸出肉眼血栓。

造影显示:
大脑中动脉畅通,远端血流达3级。但分叉以远分支似有少量血栓。考虑6x30m支架放置M2段过大,未再进行远端分支取栓,经导引导管给予替罗非班6ml推注。结束手术。

术后继续将剩余替罗非班5ml/h泵入。
术后12小时,患者病情平稳。意识清楚,肌力2级。
术后笫2天患者意识清,言语含糊、右下肢肌力3级,右上肢肌力2级。
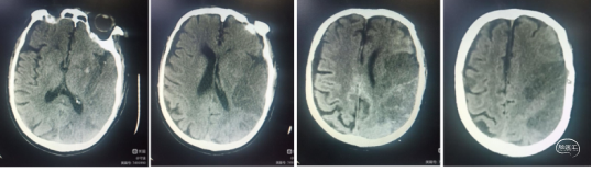
复查CT:左侧大脑中动脉M3、M4段区域浅淡低密度影,脑中线略偏移。无出血,

给予阿司匹林100mg+氯吡格雷75mg+阿托伐他汀20mg双联抗血小板聚集治疗。
12天后意识清,言语含糊、右肢体肌力3+级进行康复治疗。
体会:
1.颈内动脉造影剂“火苗样窜动”,提示远端闭塞或闭塞,眼动脉可能通畅。
2、挖煤一样抽吸清理干净颈内动脉滞留血栓,防止开通后逃逸到远端。不能将颅外血栓带向颅内。
3. 本例为颈内动脉末端T型栓塞,支架释放后未见血流首过效应,说明负荷较大,机械取栓术中血栓逃逸风险较大。
4、微导丝小心通过血栓,缓慢前行,防止刺破血管。抓取血栓后像蜗牛的一样缓慢回撤,防止撕伤血管和在通过迂曲血管逃脱。
5. 血栓负荷较大,术中支架释放后,拔出微导管裸支架导丝技术,保持中间导管最大管腔,充分踹马桶抽吸减容,中间导管收拢支架尾部一体回撤,取出完整血栓。
6、取栓必有逃逸,至少有肉眼不能辨认的碎栓组织。取栓后不急于造影验证是否通畅,快速进行二次抽吸清理,尽量减少血栓逃逸。
二、颈内动脉近端狭窄或闭塞串联病变的处理操作技术要点
颈内动脉急性闭塞性脑梗塞常常为颈内动脉起始部原位狭窄急性闭塞合并大脑中动脉血栓的串联病变。
难点:
1、 同时存在颈内动脉起始部狭窄或闭塞,远端大脑中动脉血栓。下图1
2、 颈内动脉起始部存在夹层,导丝难以找到真腔将导管输送到远端血管。
3、 颈内动脉滞留血栓向远端颅内段逃逸。
4、 同时进行颅内段取栓和颈内动脉起始部血管成形。
手术操作技术要点:
急性颈内动脉闭塞性脑梗塞串联病变的“五步法”:
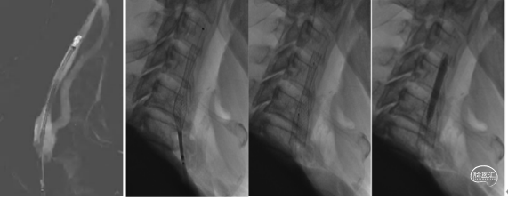
1、90cm 6F 长鞘+单弯导管+0.35泥鳅(或加硬)导丝建立通路,导丝于颈外动脉内走远起到牵拉作用,配合单弯导管将长鞘置于颈总动脉。下图2
2、035in泥鳅导丝(或加硬泥鳅导丝)携5F 单弯导管+6F 中间导管突破近端闭塞段,并将6F中间导管走远,随后在充分同轴下(像竹笋一样 )将6F长鞘越过近端闭塞段,起到较大阻断血流的作用。下图3、4

泥鳅导丝携带5F单弯导管、6F中间导管、6F长鞘同轴越过近端闭塞段,通过中间导管踹马桶抽吸清理干净颈内动脉滞留血液或血栓。以不能将颅外段血栓带入颅内为原则。

3、随后通过中间导管辅助Solitaire支架取栓(SWIM)技术开通远端闭塞。中间导管和长鞘二次抽吸清理残余血栓,防止颈内动脉血栓逃入颅内。

4、经长鞘释放保护伞(防止撤出长鞘时斑块脱落),随后将长鞘回撤至颈总动脉,评估是否一期支架置入。

5、若无造影剂渗出,可于替罗非班抗聚下球囊扩张行支架置入术。否则建议放弃一期行支架置入术。防止一期支架置入高灌注,预后不良。

-----资料图片来自上海张全斌教授,一并致谢。
典型病例1、 颈内动脉近端急性闭塞串联病变介入治疗再通
病历摘要:患者,男性,75岁,"突发右侧肢体无力2小时"入院。右侧上下肢肌力1级,口眼歪斜。NiHSS评分8分。
核磁显示:左侧内囊区域梗塞,MRA示左侧颈内动脉未显影。考虑颈内动脉起始部狭窄急性血栓闭塞。行替萘普酶静脉溶栓后行血管内介入治疗。

手术过程:经股动脉穿刺,置入8F动脉鞘术中造影左侧颈内动脉重度狭窄,颈内血流迟缓。
微导丝携带微导管尝试通过狭窄到达M1段微造影远端血管通畅。通过6F长鞘颈总动脉造影颈内动脉全程通畅,仅仅为颈内起始部重度狭窄。考虑颈内动脉ICAS病变,静脉溶栓再通但不畅。微导丝携带微导管通过狭窄部位改善了血流。

球囊扩张血管成形 3mmx15、4.5mmx15球囊扩张颈内动脉狭窄部位,造影显示狭窄改善,全程血流通畅且快速,Ⅰ未植入支架,推注替罗非班10mL,造影未见远端血管血栓逸逃征象,结束手术。药物治疗观察必要时Ⅱ期支架植入血管成形。

术后右下肢肌力3级,上肢肌力1级,言语略含糊。术后12小时患者言语清楚,右上肢肌力4级,握力可,下肢肌力4级。
24小时复查CT内囊梗死部位高密度改变,考虑再通后出血,1周后积血吸收。
患者言语清楚,右上肢肌力4级,握力可,下肢肌力5级。

体会:
1、颈内动脉闭塞常规应该中间导管通过狭窄病变,积血颈内动脉通路滞留血液清理,防止血流恢复后滞留血栓逃逸远端。本例患者术中造影颈内动脉血流迟缓,但微导管通过狭窄后颈总动脉造影全程血流通畅,无明显血栓。仅仅存在颈内动脉起始部极重度狭窄,考虑颈内动脉起始部狭窄的基础上斑块破裂血栓形成急性闭塞,经静脉溶栓初步再通,微导管通过后血流通畅。
2、在置入保护伞下进行狭窄部位预扩张,防止斑块脱落或夹层内血栓挤出向远端逃逸。
3、术前存在豆纹动脉梗死,因为豆纹动脉属于终末血管,血流出路小,血管再通出血风险会增加。血流达到3级再通,未进行1期支架植入可防止再灌注出血风险。
在这种情况下梗死区域仍然出现少量再灌注出血,但不影响患者预后。
典型病例2 颈内动脉起始部夹层狭窄颅内梗塞合并椎动脉狭窄球囊扩张支架植入
病历摘要:
患者,男性,68岁,以"左侧肢体无力1天"入院。入院查体左侧上下肢肌力4级。核磁显示右侧大脑半球多发点状梗塞。

MRA示:右侧颈内动脉起始部动脉硬化斑块,狭窄约70%。
评估:右侧大脑中动脉点状梗塞,可能为颈内起始部斑块脱落,微栓子逃逸这端而梗塞。不排除颈内动脉夹层。左椎动脉开口狭窄90%。

具备手术指征:右侧颈内动脉起始部支架植入血管成形,将斑块帖于支架下。左椎动脉同期植入支架。术前口服双抗十他汀5天后行支架植入。
手术过程:
1、椎动脉支架植入:术中造影显示:左椎动脉狭窄约90%。经股动脉入路在左锁骨下动脉置入8F导引导管,微导丝携带2*20mm冠脉球囊预扩张左椎动脉开口,微导丝导引4.5x15mm钴基合金雷帕霉素洗脱支架在12个大气压下植于左侧椎动脉开口,造影显示支架位置良好,未见明显残余狭窄。

2、右侧颈内动脉球囊扩张支架植入:
术中造影右侧颈内动脉起始部狭窄约70%~80%,狭窄段毛糙,斑块不稳定,狭窄部位似有发白的夹层内血栓。狭窄合并夹层,夹层内有血栓。

8F导引导管置于颈总动脉远端建立通路,微导丝携带2mmⅩ20冠脉球囊在10个大气压下扩张狭窄部位,在C1远端置入栓塞保护器,沿保护器导丝输送4*30球囊进行预扩张后,沿保护伞导丝输送6~8~40mm自膨支架,铆定狭窄位置后释放支架于狭窄部位,造影显示支架位置良好,夹层消失,未见明显残余狭窄。
8F导引导管回收保护伞:考虑到狭窄部位似有发白的夹层内血栓,球囊预扩可能挤出回收到保护伞。微导管无法回收,单弯管径也小。沿保护伞导丝输送单弯导管通过支架后,跟进8F导引导管越过支架至颈内C1段,负压抽吸下将保护伞回收至8F导引导管内撤出体外,检查保护伞,果然血栓充满保护伞,有黯红色和丝状血栓。

术后情况:
1.术后患者血压较术前略有降低。术前血压140mmHg,术后100~110mmHg;心率术前65次/分,术后心率58~60次/分,下降不明显,给多巴胺100mg+0.9%氯化钠48mL,10mL/h泵入(约3ug/min),给予提升心率的自拟方麻黄附子细辛汤合二仙生脉散,2天后血压逐渐维持在120~140mmHg,心率75~80次/分。停多巴胺和心电监护。
2.术后2小时左上肢肌力下降为4级+,言语略含糊,给予替罗非班泵入48小时后症状消失,左上肢肌力5级,自觉手指略苯拙,握力正常。原因可能有小栓子逃逸至皮层,症状不重,给予替罗非班治疗恢复。
小结
1.责任病灶为右侧大脑半球多发点状梗塞,颈内动脉狭窄、毛糙、夹层并夹层内滞留血栓。
2.右侧颈内狭窄合并双侧椎动脉重度狭窄。责任病灶在右侧颈动脉,但双椎狭窄,应该处理较重的一侧,防止后循环再出问题。
3.术前评诂要仔细,明确病变,术前影像仅显示颈内动脉开口出有“突出”,不明确性质,术中造影明显看到突出部分为夹层并夹层内血栓滞留,所以小球囊扩张探路,保护伞回收时不用保护伞微导管和单弯导管回收,以防挤走网内血栓,所以用8F导引导管回收,避免了回收保护伞血栓逃逸造成灾难。
4.师说:夹层有血栓可以考虑6.0的滤网保护,然后4.0球囊扩张,支架植入后覆盖夹层,必要时进行后扩,如果发现滤网有血栓,收伞的时候可以用6F导引导管或长鞘到位后负压回抽下收回保护伞。这样防止手术过程中血栓逃逸。
典型病例3、探寻找路--颈内动脉近端急性闭塞串联病变介入再通
病例简介:
患者,peichenyu,男性,62岁,突发左侧上下肢无力6小时入院。
患者于晨起自感左侧肢体无力,来院就诊。入院后肢体力量较前好转可行走。入院后4小时再次加重。左侧上下肢肌力0级。
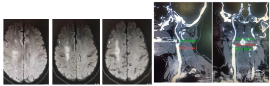
核磁显示:右侧大脑中动脉上干区域梗塞,MRA示:右侧颈内动脉未显影,考虑闭塞。

经桡动脉快速造影评估显示颈内动脉闭塞,起始部呈小残端。左侧椎动脉为优势椎动脉,通过后交通软膜支向右侧大脑皮质代偿供血。左侧大脑前未向右侧大脑半球代偿,前交通未开放。责任血管区域缺乏有效代偿。

探寻找路:经桡动脉sim导管超选右侧颈总动脉,泥鳅导丝偿试通过颈内闭塞未成功。更换微导丝携带微导管尝试通过了闭塞,在C5段受阻偿试通过,微导丝回头弯到达M2段。微导管造影探查M2、M1、颈内动脉通畅。问题应该在颈内动脉起始部狭窄急性闭塞。

开通颈内动脉起始部:
1.经股动脉穿刺置入8F动脉鞘。125Cm单弯导引8Fguiding到达右侧颈总动脉。
2.泥鳅导丝携带5F中间导管通过了狭窄,微造影显示颈内起始部以远通畅,但大脑中动脉M1起始部以远未显影,可能推注造影将颈内滞留血栓推向了大脑中动M1段。

将5F中间导管送至C6段"踹马桶抽吸"抽出一块0.5Cm大小红色血栓,回抽至C1段。再次微造影显示M1段通畅,分叉部发白,血栓?狭窄?
通过5F中间导管推注替罗非班10mL,造影较前M1分叉部显影明显好转,达到3级通畅。

回撤5F中间导管于颈总动脉造影显示颈内动脉起始段重度狭窄。(下图1)
在C1段置入5mm保护伞,用3mm和4mm球囊扩张狭窄部位,但撤出球囊后狭窄略有改善。(下图2)
置入6~8~40mm自膨支架,支架位置良好,残余狭窄约30%。(下图3)

回撤导管与颈总动脉造影支架位置良好,远端大脑中动脉显影良好,分叉部无明确血栓征象。可能经替罗非班推注和血管通畅后逃逸的小血栓溶解了。再通后流动的血液就是最好的溶栓剂。

术后情况:患者神志清楚,言语流畅,左侧下肢体肌力3级,上肢1级。
术后管理:给予替罗非班泵入48小时、依达拉奉佑坎醇、甲强龙80mg脑保护。术后血压90/50 mmHg,泵入多巴胺维持在130mmHg左右。心率66次/分。
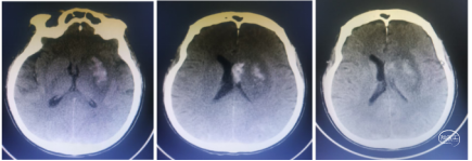
术后24小时:复查CT,右侧上干浅淡低密度改变,内囊区域略高密度改变,可能微出血或造影剂未完全排泄。

小结
1、本病例责任血管无良好代偿,一旦错急性期开通机会,脑组织受损会导致重度残疾,后期开通患者获益不大。
2、《2024年缺血性卒中再灌注指南》推荐:急性缺血性卒中24小内的大血管闭塞,NIHSS评分≥6分,ASPECTS≥3分行血管内介入开通,恢复脑组织血流。
3、闭塞开通是探寻式找路偿试开通,往往是山重水复疑无路,柳暗花明又一村。
4、颈内动脉闭塞开通,术中导管通过尽量抽吸干净颈内动脉滞留血液和血栓。不能将颅外血栓带入颅内为操作原则。
5、尽快开通远端大脑血管恢复血流灌注,再修饰性球囊扩张支架植入颈内动脉血管成形。
6、开通远端后置入保护伞再回撤中间导管,防治斑块推落或近端残余血栓(灯下黑)再次逃逸远端血管。
典型病例4 右侧颈内动脉急性闭塞大面积脑梗塞取栓、支架置入再通
病例简介:患者,LZhg,男,59岁,因"突发左侧上下肢无力6小时"入院。NiHSS评分10分。既往无糖尿病、高血压、房颤病史。CT无病灶,MRI示右侧大脑半球多发片状梗塞。MRA右侧颈内动脉系统未显影,考虑急性闭塞。

造影显示:右侧颈内动呈鼠尾状小残端。大脑后动脉通过软膜支向右侧大脑半球部分代偿。左侧大脑前动脉双共干,前交通未开放,未向右侧半球代偿。

球囊穿梭:8F导引导管到达颈总动脉远端,微导丝携带微导管通过颈内起始部闭塞,2.5*15mm冠脉球囊扩张闭塞部,泄压的同时辅助6F中间导管通过狭窄到达C1以远。
踹马桶抽吸清理颈内动脉滞留血液:清理颈内滞留血液,抽出0.5 cm大小血栓,微造影M1段有血栓残留。下图2、3、4
支架取栓开通远端血管:微导丝回头弯置于M2段,将微导管置于M2段,输送4*30 SLitaire支架,抽拉结合取栓后造影血管通畅,未见明确血栓逃逸。下图5

颈内动脉狭窄血管成形:
负压抽吸回撤中间导管与颈总动脉,造影显示颈内动脉C1段重度狭窄。在C1段置入5mm保护伞,通过保护伞导丝输送4*30球囊预扩张后植入8-6一40颈动脉支架。撤出保护伞。

撤出保护伞再次造影显示颈内血管又不显影了,考虑血管痉挛可能。泥鳅导丝导引6F中间导管在颈内动和支架内抽吸未抽出血栓,但血管再次通畅。
推注替罗非班10mL,罂粟碱30mg,等待15分钟造影血流通畅,结束手术。

术后情况:
患者意识清楚,言语清晰,问答切题,左侧下肢肌力3级,上肢1级。血压100/60 mmHg,心率80~90次/分。
术后管理:给予多巴胺、替罗非班、依达拉奉佑茨醇、甲强龙、甘露醇治疗。
术后24小时:复查CT术前梗塞区片状浅淡低密度影,脑组织略肿胀。患者意识清,言语清晰正常,左侧下肢肌力3级+,上肢肌力2级。

体会:
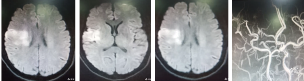
1、患者发病7小时,CT无明显病灶,核磁DWⅠ显示多发片状高密度影。MRA右侧显示右侧颈内动脉糸统未显影。提示大核心梗死,如果不及时开通血管,很快发展为大面积梗死,预后不良。
2.病史体征评诂:老年患者,既往无房颤、高血压、糖尿病,可能为颈内动脉重度狭窄急性闭塞。
3.造影显示:颈内动脉起始部呈鼠尾状,考虑重度狭窄急性闭塞。颈内动脉滞留血液,闭塞必有栓。
4.术中微导丝在微导管支持下反复偿试通过闭塞部位。微导丝携带2.5mm小球囊扩张闭塞段,利用球囊穿梭将6F中间导管通过闭塞段。
5.踹马桶抽吸清理干净颈内动脉滞留血栓防止将血栓送入颅内。
6.尽快开通颅内远端血管恢复血流,挽救脑组织。
7.颈内动脉起始部狭窄明显,血流不能维持,1期植入支架。
8、长期狭窄,急性闭塞。颈内动脉血管塌陷,支架植入后扩张出现血管痉挛,罂粟碱、替罗非班补救后痉挛解除,血流恢复。
附: 球囊辅助穿梭技术(BAT)
颅内动脉原位狭窄(ICAD)基础上大血管闭塞,常见的取栓策略包括:导管抽吸、支架取栓或直接血管成型等。ICAD机械取栓的特点在于血栓负荷量小,但遇到血栓负荷量大的案例,最快捷的开通方式可能在于吸栓导管越过狭窄直接抽吸。
但是,抽吸导管如何越过狭窄?
传统的方法如,先ICAD血管成型,然后让导管越过狭窄;但缺点在于,ICAD狭窄改善后,前向血流恢复,容易导致原有血栓向远端逃逸,导致新流域梗死。
其技术核心在于:球囊“半含”,即球囊一半隐藏于抽吸导管内,另外一半露出抽吸导管外、位于狭窄处,然后充盈球囊。部分泄压的同时在球囊辅助下将导管越过狭窄进行抽吸。
其目的在于:① ICAD狭窄血管成型;② 借助充盈球囊,减少大口径抽吸导管与微导丝的缝隙,降低壁架效应“ledge effect”,形成无缝隙载体向前推送,使抽吸导管顺利越过狭窄,到达远端直接抽吸。
BAT技术:5-6F 125抽吸导管,半含2*15mm球囊,3atm压力充盈下,顺利将抽吸导管通过狭窄段。
球囊辅助穿梭技术(BAT)的潜在优势在于:开通快速、节省取栓支架费用、以及抽吸导管在狭窄处阻断血流,预防栓塞等。

三、经桡动脉入路颈内动脉狭窄支架植入和取栓操作技术要点
部分老年患者存在Ⅲ型主动脉弓、髂动脉闭塞,经股动脉穿刺难以完成脑血管介入通路建设。需要经桡动脉入路进行血管内介入治疗。
经桡动脉入路的难点:
1.亚洲人群桡动脉直径约2.4mm左右,部分桡动脉纤细,导管通过出现血管痉挛。
2.Ⅲ型主动脉弓经桡动脉超选相对容易,但右侧无名动脉与颈总动脉成角为锐角时导管难以到位。由于主动脉弓较宽,超选左侧颈总动脉时导管支撑力不足容易下掉,难以前行到达支撑颈总动脉远端。
存在技术要点:
1.用5F左右导管经桡动脉造影类比评估桡动脉直径。直径大于2.4mm容易通过6F长鞘建立通路。
2. 7F薄壁桡动脉鞘+140cmsim导管辅助赛诺/远端通路导管完成桡动脉入路。
3.先置入5F桡动脉鞘行脑血管造影后交换Nueron MAX长鞘,130cmsim
典型病例1、经桡动脉入路赛诺远端通路导管支撑颈内动脉狭窄支架置入
病例简介:
患者男性,70岁。主诉:左侧肢体无力2天入院。患者2天前出现左侧肢体无力,左上肢持物困难,左下肢行走不能症状就诊,诊断“急性脑梗死”。
既往史:“2型糖尿病”10余年,“冠脉支架植入术”。

右侧颈内动脉造影:右侧颈内动脉起始段重度狭窄。

术前诊断:1、右侧颈内动脉起始段重度狭窄;2、脑梗死;3、2型糖尿病
4、冠状动脉支架植入后状态
颈内动脉狭窄测量:狭窄程度:90%。狭窄近端参考血管直径:9.36mm;狭窄远端参考血管直径:5.15mm。
拟行手术方案:右侧颈内动脉起始段狭窄支架成形术。
术中器械:
导管:7F薄壁鞘、7F远端通路导引导管、140cmsim导管、桡动脉专用远端通路导引导管系统:赛诺神畅APEX TRA™ 079-95cm。
导丝:0.035in 水膜导丝、0.014in 200cm微导丝。
球囊支架:4mm×30mm球囊,9mm×40mm Wallstent支架。
治疗过程:穿刺、弓形、确认病变部位。
通路建立:经右侧桡动脉入路,近桡穿刺。
弓型及导丝导管到位操作简述:
1、经桡动脉通路建设:局麻下置入右桡动脉7F薄壁桡动脉鞘。路图下在0.035in导丝及140cmsim造影导管配合下将7F远端通路导引导管在造影导管引导下到达右侧颈总动脉远端建立通路。下图1
2.置入保护装置:微导丝引入5mm保护伞,路图下将保护伞释放于该侧颈动脉岩骨段近端。下图2、3

3.球囊预扩张:
沿保护伞的微导丝将4mm×30mm球囊置于狭窄段,路图下以工作压缓慢扩张,造影显示狭窄较前改善,退出球囊。

4、支架植入:
沿保护伞导丝置入9mm×40mm Wallstent
支架,下图1、2。支架跨越狭窄段开放良好,残余狭窄,下图3。沿保护伞的微导丝将4mm×30mm球囊置于狭窄段行后扩张一次,回收保护伞,下图4。

体会
经桡动脉入路颈动脉支架成形术,对于通路器械要求较高。7F APEX TRA™桡动脉导管头段柔软,近段支撑力较好,到位顺畅。
内腔较大,可轻松通过9×40mm Wallstent支架。是一种可供选择的经桡动脉入路通路导管。
6F导引导管和DA远端通路导管能够通过8mm以下的支架,实现经桡动脉介入治疗。
颈内动脉狭窄球囊扩张应使用5mm以下的球囊缓慢扩张治疗,防止颈动脉窦反射导致血压减低和心率减慢。
典型病例2、经桡动脉Nueron MAX长鞘通路颈内动脉狭窄球囊扩张支架置入术
病例简介:
患者男性,66岁,于3周前发作左侧肢体无力,经治疗肌力恢复正常。
MR示:右侧分水岭梗塞。考虑低灌注。CTA显示:右侧颈内动脉起始部次全闭塞

颈内动脉球囊扩张支架置入:
1、通路建立:
因右侧髂动脉闭塞,经左侧股动脉穿刺不顺利。改行右侧上肢桡动脉置入5F动脉鞘,主动脉弓造影后置入泥鳅导丝交换为6FNeuron MAX长鞘。
130Cm Sim2导管超选右侧颈总动脉后将泥鳅导丝跟进至颈总动脉远端。沿130CmSim2导管将6FNeuron MAX长鞘送至颈总动脉近分叉部。
2、置入保护装置:微导丝携带2.0Ⅹ12mm冠脉球囊扩张狭窄部位,下图1。置入5.0mm保护伞于颈内动脉C1段狭窄以远,下图2。

4、植入支架:撤出球囊,沿保护伞导丝输送7一10一40mm自膨支架,铆定狭窄部位。固定支架推送杆不下移,缓慢释放支架。造影显示支架位置良好,沿保护伞导丝送入单弯造影导管回收保护伞于体外造影显示:支架位置良好,残余狭窄不明显。

体会
1.经桡动脉130cmSim2导管超选择行右侧颈动脉具有良好的顺应性,同轴携带6F Neuron MAX长鞘建立通路顺利完成颈内动脉球囊扩张支架置入。
2.预扩张球囊狭窄3.5-5mm为宜,过大导致动脉窦发射导致血压、心率下降。
四、颈内动脉闭塞开通新思路/COSIS技术-颅内取栓支架远端保护下的闭塞开通术
一、近端球囊阻断技术联合或不联合远端滤过保护装置。
常常使用的近端球囊阻断技术包括球囊Guiding或MoMa技术的运用,在此基础上,联合远端滤过保护装置可进一步降低血栓逃逸的机率,但由于增加了操作步骤和手术难度,不可避免也增加了手术风险。相关操作示意见下图。

球囊Guiding或MoMa技术近端阻断联合/不联合远端滤过保护装置(引自高峰—“峰回路转”)
a.远端滤过保护装置;b.近端球囊Guiding联合远端滤过保护装置;c.近端阻断型保护装置(MoMa技术);d.近端阻断型(MoMa技术)联合远端滤过保护装置。
二、COSIS技术-颅内取栓支架远端保护下的闭塞开通术
CO-ICA开通病例治疗中的难点包括开通失败、血栓逃逸及再狭窄/闭塞等。
在颈动脉狭窄治疗中,对于血栓逃逸的预防可选用远端滤过保护装置(如保护伞)或球囊Guiding技术等。而在CO-ICA病例中,由于血管床的塌陷、管腔内血栓沉积、闭塞段血管内皮纤维化等病理改变,保护伞的使用则不适合;加之颈动脉闭塞部位不明确、血管床塌陷节段一般较长,部分病例闭塞远端甚至到达颅内段,这使常规的颅外段防血栓逃逸技术无用武之地。
颅内取栓支架用于远端保护、防治血栓逃逸:
Syphonet®取栓支架作为CO-ICA开通术治疗中防血栓逃逸的装置,其原因有三:1. 设计的优越性:加奇生物Syphonet®取栓支架远端有网篮设计(见图1),可以捕获逃逸血栓而起到保护伞的作用。

2. 材料的适配性:加奇生物Syphonet®取栓支架全系列最小可适配0.017inch微导管,较小的微导管超选后,可直接将支架输送至远端释放,减少了多次操作步骤。
3. 材料的兼容性:Syphonet®取栓支架推送导丝设计为0.0154inch,球囊可以通过该取栓支架的推送导丝直接到达狭窄或闭塞部位予以扩张。使用Syphonet®取栓支架作为远端滤过保护装置,达到了预防血栓逃逸的目标。同时,利用取栓支架导丝交换各种球囊及上微导管的目的,减少了交换,达到了一次通过,稳定建立治疗路径的目的。
步骤一:释放Syphonet®取栓支架远端保护
(1) 微导丝、微导管突破闭塞段后下图1;
(2)将Syphonet®取栓支架跨越M段与颈内动脉末端释放,起到颅内远端血管的保护作用。下图2
步骤二:造影初步鉴别病变性质。
利用盲交换技术将微导管撤出体外,通过指引导管足量、足压力造影初步鉴别闭塞段病变性质。下图3

步骤三:球囊扩张导管扩张后足量、足压力造影判断闭塞性质。
沿Syphonet®取栓支架输送导丝送入小直径的球囊扩张导管(2mm-2.5mm),由远及近依次对可疑病变部位进行扩张,后再次足量、足压力造影,明确闭塞段内原始病变部位、继发血栓部位和假性闭塞部位。下图1、2
补充步骤:

步骤四:球囊/支架血管成形。
选取合适的球囊扩张导管扩张残余的严重狭窄部位。在出现明显限流性夹层、斑块回缩明显限制前向血流的部位,可考虑经Syphonet®取栓支架输送导丝送入支架系统,支架释放后进行球囊后扩张以提高支架贴壁性,降低再狭窄和再闭塞率。
步骤五:造影确认后结束手术。


往期精选
作者简介
赵宝元 主任医师
武威市中医院 神经内科
主任医师。 武威市中医医院脑病科主任。甘肃省陇原人才,武威市中医院脑血管介入团队学科带头人,武威市脑血管介入与卒中早期康复创新工作班组组长。 从事神经内科工作20余年,曾在兰大二院进修神经内科和急诊,中国人民解放第940医院神经内科高级卒中中心、陆军军医大附属新桥医院高级卒中与介入中心学习脑血管介入。 任武威市老年病专业委员会主任委员、武威市中西医结合神经内科专业委员会副主任委员、武威市中西医结合眩晕专业委员会副主任委员、武威市神经内科学会常务委员、甘肃省脑血管专业委员会委员。 开展脑出血微创锥颅引流近500余例,经桡动脉脑血管造影500余例,开展急性脑梗塞血管内机械取栓,动、静脉桥接、颈内动脉狭窄、椎动脉狭窄、锁骨下动脉狭窄或闭塞的血管支架成形术。
声明:脑医汇旗下神外资讯、神介资讯、神内资讯、脑医咨询、Ai Brain 所发表内容之知识产权为脑医汇及主办方、原作者等相关权利人所有。





