
踹马桶抽吸理念
1、闭塞必有栓,踹马桶抽吸能够解决80%的血栓闭塞。
2、取栓必有逃逸。至少有肉眼不能分辨的、不成形的血栓逃逸的可能,所以无论支架取栓还是抽吸取栓,踹马桶抽吸应该贯穿全过程,抽吸减容、抽拉结合取栓。
3、一次取栓后不急于造影,迅速接续进行二次(三次)抽吸清理可能存在的残余血栓。
4、血管越往颅内越细,导管高到位支撑是关键,能够起到近乎阻断血流的作用,有利于大负荷血栓抽吸和减少一次抽吸后血栓逃逸。
5、088 Neuron MAX 长鞘90cm,头端6cm 柔软段,能够到达C2段起到高到位支撑适用抽吸,但位置仍然低。
基于抽吸理念心玮吞川088的优点:
心纬吞川088大内腔抽吸导管头端10cm柔软段通过性良好,路径安全。长度115cm,能够到达C5-C6,甚至M1起始部,起到更高到位,远端近乎阻断血流,而且大口径内腔有利于颈内动脉、T型段、基底动脉尖部大负荷血栓抽吸。可通过6F中间导管组合进行级联抽吸(一次抽吸后二次清理抽吸),但088抽吸导管需要适配130cm以上的中间导管才能出头,125 cm中间导管在外阀组合后难以出头。
技术背景
卒中是致残和致死的主要疾病之一,急性缺血性卒中约占全部卒中的80%。急性缺血性卒中治疗的关键在于尽早开通阻塞血管,挽救缺血半暗带。
《急性缺血性卒中血管内治疗中国指南2023》推荐意见中指出:
发病24h内的急性前、后循环大血管闭塞患者,经过临床及影像筛选后,当符合现有循证依据时,均推荐血管内取栓治疗(Ⅰ类推荐,A级证据)
对于适合机械取栓的患者,经过仔细筛选后,首选抽吸取栓不劣于首选支架取栓(Ⅰ类推荐,B级证据)
COMPASS研究证实:抽吸组和支架组90天mRS评分无明显差异,抽吸组手术时长更短.COMPASS研究纳入了卫生经济学的数据对比,抽吸组整体费用优于支架组。
ADAPT技术临床痛点
1、堵管 血栓负荷大,6F中间导管内径小,容易出现堵管。下图1
2、抽瘪 反复抽吸导致6F抽吸导管头端变形。下图2


3、血栓远端逃逸:6F导管和血管直径相差较多,血流冲击造成远端逃逸。下图1
4、难以高到位支撑:Ⅲ型主动脉弓、颈内动脉迂曲血管,大口径导管到位难度增加,难以达到高到位支撑。下图2



技术步骤详解
088抽吸导管的设计特点,采用级联抽吸(CATCH)技术,以应对颈内动脉终末端的T型栓塞。
步骤1 125cm单弯造影导管或130-140cm sim 2超选颈总动脉,泥鳅导丝导引下到达颈总动脉远端,同轴跟进088抽吸导管到达颈内动脉远端。
泥鳅导丝不出头内芯支撑或常规微导丝、微导管引导/“裸奔”下,088抽吸导管抵达颈内动脉海绵窦段。
步骤2 微导丝/微导管无接触原则下,6F抽吸导管抵近血栓。
步骤3 088抽吸导管负压抽吸,提供近端保护,避免血栓逃逸或碎裂。

步骤4 6F抽吸导管开始负压抽吸,同时088抽吸导管沿6F抽吸导管上移逐渐抵近血栓。操作过程中,088抽吸导管保持负压,避免操作过程中引起血栓碎裂逃逸,抵近血栓后与6F抽吸导管共同进行血栓抽吸(双抽吸)。

步骤5 6F抽吸导管行标准ADAPT取栓,6F抽吸导管收入08抽吸导管后撤出体外。
过程中088抽吸导管保持负压,进一步抽吸碎裂血栓,防止血栓逃逸,栓塞远端中小动脉。
在6F导管一次抽吸后,不急于造影验证血管是否再通。快速接续抽吸清理6F中间导管导管,快速输送到达血栓部位以远进行再次抽吸清理有可能逃逸的残余血栓。
088抽吸导管再次行标准ADAPT取栓后,输送5F造影冒烟验证血管再通后(088内腔较大冒烟验证所用造影剂较多而且需要用力推注才能显影)将088抽吸导管撤出体外。

备注:手术真实情况下由于血管迂曲或身高因素115cm088抽吸导管长度不一定能够到达M1段。
级联抽吸技术的核心:088抽吸导管作为一级通路导管,可以越过虹吸弯,高到位,直抵血栓近端,对于栓塞病变,与颅内抽吸导管可以实现2次有效抽吸,减少血栓逃逸风险,进一步提高抽吸效率。
级联组合技术优点:救灾首选有良好、快捷的通路,便于输送到位。
1、088抽吸导管大口径抽吸能力强。
2、越过虹吸弯至颈内末端或M1起始部,到位越高阻断血流能力越强。
3、一级通路导管为通往体外的最粗管径,且极度缩短与血栓的距离,减少血栓拖拽行程,减少逃逸。即使血栓脱落,088导管进行二次抽吸(级联抽吸)。
4、088抽吸导管近端强支撑,远端软配合6F抽吸导管,空隙率低,6F到位088即到位。
5、不影响与其他支架取栓技术联合。
典型病例1 级联技术 // 右侧颈内动脉迂曲血管大负荷量栓塞取栓
病例简介: 无需8F长鞘支撑088抽吸导管+130cm 6F 远端通路导管组合取栓
患者男性,67岁,以“突发左侧肢体无力伴言语不清2小时”入院。
入院查体:BP:150/85munHg,神志模糊,昏睡状态,言语欠流利,双侧眼球右向凝视,右侧中枢性面瘫,左侧肢体肌力0级,右侧肢体肌力4-5级,左侧巴氏征阳性。急查头颅CT未见出血改变,NIHSS评分21分。
既往史:既往脑梗死、糖尿病病史,平素胰岛素及药物控制血糖治疗。
静脉溶栓:无溶栓禁忌,给与静脉溶栓。
CTA示:右侧颈内动脉起始部以远未显影,考虑闭塞。
术中器械选择(无需8F长鞘支撑):8F 股动脉鞘、125cm多功能、Rebar-18微导管、Synchro-14微导丝。
导管组合: 8F 115cm抽吸导管+6F 130cm远端通路导管。
手术过程:右侧股动脉置入8F 股动脉鞘,主动脉弓及超选造影提示右侧颈内动脉闭塞-栓塞性病变(大负荷量栓塞)。

泥鳅导丝携带125cm多功能导管导引088抽吸导管8F 115cm置于颈总动脉,在泥鳅导丝导引下可单独上至海绵窦段。下图1、2
远端通路导管6F 130cm导引心玮吞川抽吸导管到达血栓近端进行第一次抽吸后海绵窦后膝显影,远端仍闭塞,血管迂曲严重。下图3

微导丝、微导管导引6F 130cm远端通路导管越过海绵窦后膝,并导引心玮吞川抽吸导管深入残余血栓进行第二次抽吸,眼动脉显影,眼段以远仍闭塞。

远端通路导管6F 130cm在微导丝及微导管导引下越过虹吸弯,并导引088抽吸导管到达血栓近端,应用其大口径及强负压对血栓进行第三次抽吸,直接原位抽出血栓,血管完全再通,无血栓逃逸及残留。

总结
1. 结合患者症状体征及影像学资料,发病机制为病变栓塞性病变,手术指征明确,大负荷量血栓,首发抽吸取栓。
2. 088抽吸导管,0.088"超大管径,顺应性好,高到位,抽吸效率高,血栓移除力强,能在6F 130cm远端通路导管导引下越过虹吸弯进行近端抽吸操作,大大提高大负荷量血栓抽吸效率。
3. 级联抽吸技术的核心是8F抽吸导管作为一级通路导管,可以越过虹吸弯,直抵血栓近端,对于栓塞病变,与6F颅内抽吸导管配合,一次到位,两次抽吸,提高抽吸效率。
4、大口经导管高到位,近端血流近似阻断,级联组合抽吸容易取出大负荷血栓,进行二次抽吸清理能有效减少逃逸风险。
5、在Ⅱ型、Ⅲ型弓用130cm~140cm 长sim2导管导引上至颈总动脉远端辅助088抽吸导管更容易到达颈总动脉以远;泥鳅导丝到达C1远端导丝不出头内芯支撑有助于导管上的更高。
微导丝、微导管导引6F远端通路导管同轴将088抽吸导管到达C5-C6甚至M1段起始部。
典型病例2 088技术左侧颈总动脉闭塞再通一例
病例简介 8F长鞘强支撑+088抽吸导管+130cm 6F 远端通路导管组合取栓
患者老年男性,72岁。以“言语不清,右侧肢体无力12小时”入院。
现病史:患者12小时前活动时突发言语不清、右侧肢体无力,急至当地医院,诊断为“脑梗死”,给予“静脉溶栓”治疗,效果欠佳,急至我院。查体情况:NIHSS 15分。
既往史:9月前患脑梗死病史,未遗留明显后遗症;房颤病史2年,未正规治疗;高血压病史6年,未正规治疗。

术前讨论:患者左侧颈总动脉闭塞,脑梗死诊断明确,发病12小时,NIHSS 15分,DWI-ASPECT 6分, DWI-Flair错配,静脉溶栓效果欠佳,急诊介入开通指征明确。
风险告知:患者高龄,风险较高,家属充分知晓手术获益及风险,要求积极介入治疗。
手术方式:全麻,右侧股动脉入路。术中器械8F股动脉鞘、8F90cm 埃普特长鞘、088颅内血栓抽吸导管(8F 115cm)、Rebar18微导管、Synchro-14 2m微导丝。
治疗经过:
通路建立:8F短鞘,交换8F长鞘、5F多功能导管行脑血管。造影示:左侧颈总动脉闭塞,右侧颈内动脉-前交通动脉向左侧大脑中动脉部分代偿供血;左侧大脑中动脉下干闭塞。

8F长鞘引至左侧颈总动脉,088颅内血栓抽吸导管至颈总动脉-颈内动脉C4段抽吸出大量暗红色血栓。

抽吸后造影示:左侧颈总动脉复通,未见明显血栓逃逸;左侧大脑中动脉下干闭塞同术前。

微导管超选至下干近心端推注5ml替罗非班,后造影示下干部分再通,颈内动脉造影示左侧颈内动脉-大脑中动脉复通,eTICI 3级。
撤出导管系统:置入泥鳅,撤出8F长鞘,交换血管闭合系统进行穿刺部位闭合,加压包扎,技术手术。
注:手术过程长鞘系统有疼痛,采用全麻或地佐辛、杜冷丁镇痛以便患者配合手术。
8F长鞘指内径为8F,相当于外径10F导引导管,术后闭合器和封堵器不能闭合穿刺血管,需要熟练掌握血管缝合器缝合穿刺部位血管。
术后情况:术后第二天复查CTA提示:未见明显出血,左侧颈总动脉-大脑中动脉通畅。患者术后5天转科至康复科,术后1月NIHSS 5分,可独立行走.

小结
1、本病例为高龄患者,既往房颤病史,虽然发病12小时,但至我院急查DWI-Flair错配,且DSA提示前交通-左侧大脑中动脉开放,代偿相对较好,手术获益可能性较大。
2、手术难点是血栓负荷量大,既往常规使用的8F导引导管/6F长鞘配合6F抽吸导管系统可能存在堵管等问题,抽吸效率较低。
3、术中采用8F长鞘进行较强的支撑,使088颅内血栓抽吸导管进行血栓抽吸,大内腔具有更高效的抽吸效果,较短的手术时间也是患者获益的重要因素。
4、手术过程长鞘系统有疼痛,采用全麻或地佐辛、杜冷丁镇痛以便患者配合手术。
5、8F长鞘指内径为8F,相当于外径10F导引导管,术后闭合器和封堵器不能闭合穿刺血管,需要熟练掌握血管缝合器缝合穿刺部位血管。
典型病例3 球囊穿梭088抽吸导管基底动脉ICAS病变合并基底动脉尖血栓抽吸取栓
病例简介
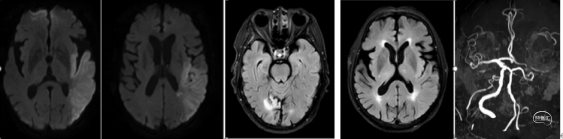
患者:男性,65岁,以头晕伴言语不清、右肢无力6小时入院。
现病史:患者入院前6小时无明显诱因出现言语含糊不清,伴右侧上下肢无力,不能抬起。查体:构音障碍,右侧中枢性面舌瘫,右肢肌力Ⅱ级,右侧巴氏征(+)。NIHSS 评分10分,影像评估:PC-ASPECT 8分(脑桥2)PMI 2分(左侧脑桥2)。高血压病史12年。
CT示未见明显出血,头颅MRI示脑桥偏左DWI高信号,考虑急性脑梗死,头MRA示基底动脉闭塞。

患者及家属商议后拒绝手术,后症状进展加重,复查影像再次评估,同意手术。查体:嗜睡,重度构音障碍,右侧中枢性面舌瘫,右肢肌力0级,右侧巴氏征(+)。NIHSS 15分。
发病机制:大动脉粥样硬化卒中。血管定位:椎-基底动脉。定性诊断:急性缺血性卒中-脑梗死。
手术策略:球囊穿梭,酌情支架取栓、支架植入。
手术器械选择 (无需8F长鞘支撑)
8F股动脉鞘、088 115cm颅内血栓抽吸导管、6F 130cm远端通路导管、2.0×12mm颅内球囊扩张导管、200mm 微导丝、Rebar 0.18微导管。
手术过程 造影见右侧颈总动脉造影未见后交通开放,未见基底动脉尖下图1。造影导管超选至右侧椎动脉造影,基底动脉中段闭塞,闭塞远端通过软膜代偿可显影,基底动脉尖显影不佳下图2、3。左侧锁骨下动脉造影见V1段、V2段严重迂曲,遂选择右侧优势椎入路。下图4、5

1、在路图下将260cm长导丝、造影导管超选至右侧椎动脉V2段。撤出造影导管,长导丝交换6F堑远端通路导管及088颅内血栓抽吸导管至V2末端。下图1
2、Transend 200mm 微导丝+Rebar 18 微导管同轴技术将6F远端通路导管及088颅内血栓抽吸导管导引至闭塞段。下图2

3.缓慢上推 088颅内血栓抽吸导管成功上至闭塞段。下图1
4.6F远端通路导管负压抽吸下撤出体外,再次使用088颅内血栓抽吸导管进行充分抽吸,取出部分血栓。下图2

造影显示:未见血管开通。
行球囊穿梭辅助088到达血栓位置:
▪微导丝通过闭塞段,在闭塞远端摆动良好,判断闭塞段相对较短。
▪输送2.0×12mm颅内球囊扩张导管至闭塞段,同时轻柔推送088颅内血栓抽吸导管,顺利通过分叉部,接近闭塞段。088颅内血栓抽吸导管到达目标位置后,充分扩张球囊,缓慢完成球囊穿梭。下图1、2

撤出颅内球囊扩张导管,顺利推送088颅内血栓抽吸导管至基底动脉尖持续抽吸1分钟,保持负压抽吸回撤。下图1
回撤后见血流通畅,基底动脉尖完全再通,无明显血栓逃逸。下图2
观察15分钟以后复查造影,血流维持良好,无明显回缩,(下图3)结束手术。抽吸取出的血栓,下图4

术后24h CT:脑桥低密度,复查CTA:基底动脉局部中度狭窄。

术后36h查体:神清,构音障碍,双瞳孔等大,等圆,右上肢肌力1级,右下肢肌力III-级,左肢肌力V级,肌张力可,腱反射(++),右侧巴氏征(+)NIHSS 8分。
手术总结
1、应用球囊穿梭技术使大口径导管通过狭窄,接近基底动脉尖血栓对于后循环ICADS 患者有助于提高首次再通率;
2、后循环取栓患者,长导丝交换将6F支架导管和088抽吸导管同轴导入椎基底动脉是可考虑的选择;
3、088大内腔抽吸导管头端10cm柔软段通过性良好,路径安全;
4、基底动脉尖血栓更适合抽吸取栓。球囊穿梭技术结合088大内腔抽吸导管能充分发挥大口径抽吸优势,提升基底动脉大负荷血栓抽吸效率,避免支架反复取栓,有效预防血栓逃逸;
5、088抽吸导管适配8F动脉鞘,路径条件好的情况下可不用8F长鞘做支撑,直接做通路导管。减少了8F长鞘穿刺口较多闭合器、封堵器难以闭合,对缝合器使用不熟练的情况下难以驾驭穿刺血管术后的问题。
6、这是一个跨越式的技术理念。优点在于088导管能高到位至C6~M1,起到高到位阻断血流,大口经抽吸,防止血栓逃逸。
7、2例展示了在迂曲血管内良好通过性,那么在相对好的血管内就更容易到位。
8、8F短鞘能够通过088抽吸导管,无需8F长鞘支撑也能顺利上高,说明具有较强的近段支撑力。
9、Neuron Max长鞘外经088,可以高到位,近乎阻断血流,有利于抽吸,但只能到达C2段。088抽吸导管可以到达C6~M1起始部更有优势。
10、如不纠结费用,在这个组合基础上加一个支架取栓,抽拉结合能完美解决血栓,逃逸风险大大减低,良好预后大幅提升。
11、泥鳅导丝至C1远端, 130-140 Cm长西蒙导管上至颈总动脉中远段辅助088容易到颈总远端,克服了088抽吸导管10cm软头段在主动脉弓里上行支撑力弱的问题,一旦上至C1段中、近端足够支撑导管前行。
所以应对Ⅱ、Ⅲ型一要备一根130~140Cm长西蒙,比125Cm单弯更容易支持导管到颈总-C1段。
往期精选
作者简介
赵宝元 主任医师
武威市中医院 神经内科
主任医师。 武威市中医医院脑病科主任。甘肃省陇原人才,武威市中医院脑血管介入团队学科带头人,武威市脑血管介入与卒中早期康复创新工作班组组长。 从事神经内科工作20余年,曾在兰大二院进修神经内科和急诊,中国人民解放第940医院神经内科高级卒中中心、陆军军医大附属新桥医院高级卒中与介入中心学习脑血管介入。 任武威市老年病专业委员会主任委员、武威市中西医结合神经内科专业委员会副主任委员、武威市中西医结合眩晕专业委员会副主任委员、武威市神经内科学会常务委员、甘肃省脑血管专业委员会委员。 开展脑出血微创锥颅引流近500余例,经桡动脉脑血管造影500余例,开展急性脑梗塞血管内机械取栓,动、静脉桥接、颈内动脉狭窄、椎动脉狭窄、锁骨下动脉狭窄或闭塞的血管支架成形术。
声明:脑医汇旗下神外资讯、神介资讯、神内资讯、脑医咨询、Ai Brain 所发表内容之知识产权为脑医汇及主办方、原作者等相关权利人所有。





