
急性大脑中动脉闭塞表现为相同的梗塞损害,相似的影像表现,常常是不同的病理机制,需要选择不同开通方法。如何术前评估血管?术中造影评估?术前准备材料,制定手术预案。
急诊取栓追求快、评估快,材料准备充分、要有手术预案。理念单一,知识储备不足,材料准备不充分,缺乏策略,术中将成为一场遭遇战。
哪些抽吸、哪些支架拉栓、哪些不能拉、哪些血管姑息治疗。指南是临床指导,已经成熟的方案。但没有说指南没有写的就不能做,不能去开展工作。
初步开展工作常常对问题的核心认识不足,术中就没有方向,像黑夜里摸索前行,盲目尝试操作。如术中患者躁动不安→镇静→血压下降→脑灌注积聚下降→烦躁→再镇静→更躁动。所以要整体考虑手术中的变化,应该快速升压,提高心率→提高脑灌注→躁动会减少。手术要快,开通闭塞血管,患者就会安静下来,预后相对好。
适不适合手术?要综合评估,手术的利与弊,风险小于获益。有没有凝视,有凝视必须上台,没有凝视可选择做或不做,治疗中要观察,可能会逐步加重。术中要以生命安全为主,有所为,有所不为为原则。
笔者认为NIHSS评分大于6分,肢体肌力3级以下、失语者在溶栓基础上应该积极行血管内桥接治疗,为患者争取一次良好预后的机会,一旦错过时机,可能导致永久性功能受损。
一、术前患者评估
1、临床资料收集:病史(高血压、糖尿病、心房颤动)、年龄、发病时间、起病形式、伴随症状头痛、恶心呕吐、眩晕等。
(1)年龄:老年患者,存在动脉粥样硬化,ICAS 病变原位狭窄可能性大,但往往血管迂曲,有无长鞘等材料?
(2)年轻人:病因复杂,夹层?血栓?栓塞?
小于 18 岁:指南没有推荐意见,积极做,挽救一个年轻的生命比老年患者更有意义,但材料管径需要相对细。
(3)发病时间:发病时间长,但症状轻说明侧支循环好,可能处于低灌注状态,积极补液、抗栓。发病时间短,症状重、意识障碍、后循环基底动脉病变?颈内动脉闭塞?大负荷血栓? 术前谈话重、告知预后差。
(4)进展性卒中:
1)不一定是栓塞或狭窄,心源性栓塞大部分是进展性卒中。如血栓卡在上干和下干分叉部位,逐渐聚集堆积,累及内囊分支,肢体偏瘫症状加重,有可能是狭窄,也有可能是栓塞。 入院时MRA 检查大脑中动脉存在,但治疗过程中有可能很快堆积加重而闭塞。
2)后循环会出现波动性加重。由于基底动脉下部堵塞,后交通代偿后症状减轻,随着血栓移动堵塞基底动脉再次出现昏迷。
3)眩晕、恶心、呕吐在门诊容易被忽视。要重视可能的后循环梗死,积极行检查 MR 和血管检查,眩晕、恶心行走不稳可能是小脑脑干梗塞,一旦耽误,小脑大面积梗塞导致小脑扁桃体疝或脑干下丘脑、内分泌中枢损伤病死率高。
(5)既往史: 老年、糖尿病、高血压、高脂血症、吸烟、饮酒等患者 ICAS 发病率高;房颤、 心瓣膜病变→栓塞可能性大。有外伤史、按摩史夹层可能性大。
(6)查 体:体温、NIHSS 评分、判断病变严重程度、体征与症状是否相符、手术相关查体(能否穿刺、麻醉)
(7)体温升高:可能为基底动脉病变,下丘脑体温调节中枢破坏,是病情加重的重要因素。 NiHss 评分:是病情轻重的表现和评估指标。>6 分提示大血管病变。大于 22 分提示大面积梗死而危重。
(8)触摸皮温和腹股沟动脉:下肢肢体冰凉、听诊有杂音,可能股动脉狭窄或股动脉闭塞,术中穿刺困难。选择经绕动脉或左侧股动脉入路。
(9)围手术进行系统评估:年龄不是手术或不手术的指征,但高龄患者风险和血管通路的难度增加,谈话要充分告知血管迂曲手术不成功、时间长影响预后、造影增加心肺负荷,并发症增加。根据家庭成员的救治态度、 经济情况来抉择做还是不做。
10)儿童卒中:鲜活的生命,千万不放弃。具有血管通路好,侧支建立快的优势,机械取栓并发症低,成功率高,一定要做。15 岁以下材料需要较成人细一些。指南没有推荐,但没有规定不能做。
(11)青年卒中:心源性占 32%,夹层占 19.2%,大动脉硬化占 38%。夹层最复杂,做好打硬仗的准备,总体病因复杂,但预后好。
二、术前影像评估
快速精准地识别颅内大血管病变,是顺利开展动脉取栓治疗的关键。存在神经功能损伤的急性缺血性卒中绿色通道快速进行CT检查排除颅内出血和颅内占位病变、梗死亚急性期低密度改变,考虑进行缺血性脑卒中,6小时时间窗内快速评估进行静脉溶栓开通血管,配合抗血小板聚集、脑保护治疗建立侧支循环,早期康复改善神经功能,减少卒中残疾。对低NiHSS评分的小血管梗塞静脉溶栓效果良好,但高NiHSS 评分>6分的大血管闭塞的缺血性卒中,需要在静脉溶栓的基础上行血管内桥接或介入取栓开通血管,恢复血流。
基层应用核磁共振较上级医院相对空闲,能够快速完成绿色通道核磁共振检查,与CT、核磁检查科室建立良好的绿色通道救治衔接的卒中救治意识和工作流程,CT快速检查排除颅内出血和颅内占位病变、梗死亚急性期低密度改变,考虑进行缺血性脑卒中的患者,快速进行核磁检查明确责任病灶和责任血管情况,有助于评估患者、进行医患沟通、术前准备、风险告知,准备完善的手术预案。
(一)、影像评估--梗死灶评估
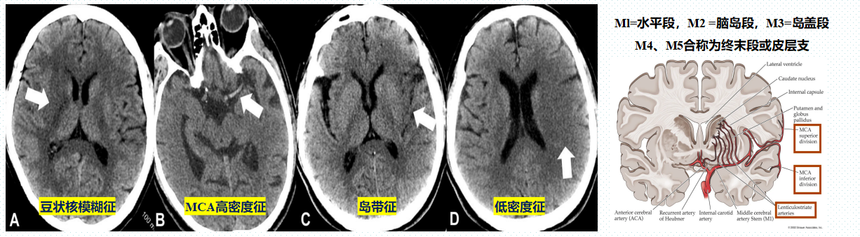
CT 表现:
豆状核模糊征:近端MCA闭塞使豆纹动脉血流受限所致
MCA高密度征:由于急性血栓形成,血流减慢甚至停滞所致;主干闭塞的征象。
岛带征:脑岛密度下降,与外囊结构区分不清所致;MCA岛段狭窄所致
低密度征:脑实质低密度、灰白质界限消失、脑回肿胀、脑沟变浅。

“大脑中动脉致密征”影像诊断陷阱。

(二)、影像评估---组织窗评估:
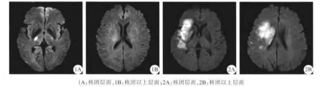
MRI表现:DWI代表核心梗死区,对急性期病灶检出具有明显优势:① 在发病35min-6h内DWI即可发现高信号;② 后循环敏感,对脑干梗塞、小脑梗塞较CT更全面。
DWI影像改变:
超急性期(6h内)梗死区局部细胞毒性水肿,T2WI没有异常,DWI呈高信号,ADC呈低信号。
急性期(24h)细胞毒性水肿逐步向血管源性水肿转变,T2WI信号开始升高,DWI仍呈高信号,ADC呈低信号
亚急性期(7d)水肿进一步加重,T2WI上呈高信号,DWI仍呈高信号,ADC图上低信号逐渐上升。
慢性期(30d)脑组织坏死,T2WI和ADC图呈明显高信号,弥散不受限。
脑卒中急性期DWI、T2、ADC的影像表现如下:

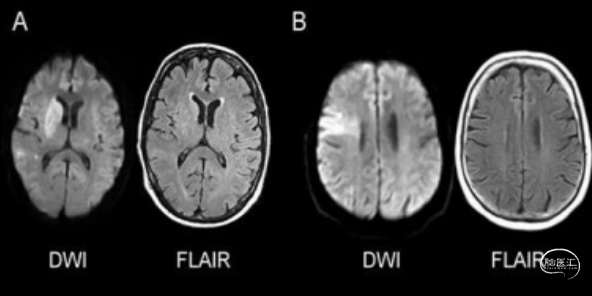
根据发病3小时内或4.5小时内时间窗CT评估后进行评估溶栓外,对醒后卒中或超4.5小时时间窗的患者,在具备CT和核磁共振设备的医院可进行组织窗评估,对醒后卒中从睡眠中点至入院在9小时内的患者经组织窗评估存在错配:即CT无病灶,DWI有病灶而FLAIR无明显改变,说明在4.5小时时间窗内,明确责任病灶,仍然可积极进行静脉溶栓。

组织窗评估——DWI-FLAIR 错配:
存在 DWI-FLAIR 错配定义:DWI 显示高信号,FLAIR 信号改变不明显区域.

DWI-FLAIR 错配表明组织缺血时间在 4.5 小时内,可以作为静脉溶栓筛选指标,适用于醒后脑卒中患者进行溶栓决策。
不存在 DWI-FLAIR 错配:
DWI和FLAIR上相应区域均可见明显高信号 。适用于醒后或超时间窗脑卒中患者评估,不存在 DWI-FLAIR 错配说明不能进行静脉溶栓,溶栓获益较小而且出血风险增加。

DWI和FLAIR与MRA的影像评估:
明确责任血管和责任病灶,为静脉溶栓和血管内介入治疗提供决策依据。
典型病例: 男,6岁,房间隔缺损术后突发右侧肢体肌力减退,活动障碍。

组织窗评估—DWI-PWI 错配
核心梗死区:ADC 值<600 秒/mm2的 DWI 高信号区域。
低灌注区:Tmax>6 秒,或 rMTT 值>145%对侧正常脑组织。

典型病例: 男,61岁,左侧肢体无力3d余,加重伴言语不利10h

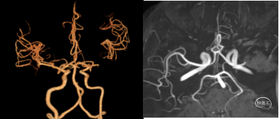
(三)、影像评估 术前血管影像评估
明确责任大血管: ICA、ACA 的 A1 段、MCA 的 M1、M2 段、VA 的 V1~V4 段、BA、PCA的P1段为直径2mm以上的血管为大血管,病变往往症状较重。
明确病因:血栓?夹层?其他?确定弓上血管的入路路径,为血管内治疗选择适合技术方案提供参考。
评估方法:CTA和MRA能够看到直径1mm以下的血管。CTA能够显示闭塞远端代偿充盈的血管全貌。

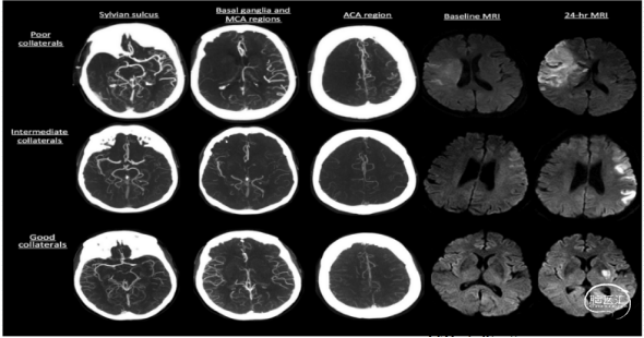
CTA评估侧枝循环
良好侧枝循环提高急性血管再通治疗获益率、降低出血转化的风险。共9个区域,包括外侧裂、ASPECT评分中的6个MCA区(M1-6)、基底节区、大脑前动脉区(A)
评分标准:
由于外侧裂部位是ACA-MCA-PCA软脑膜侧枝供血区,故赋值较高。0分:无显影;2分:显影血管较少;4分:显影血管相等或多于对侧动脉闭塞侧各区域血管与对侧正常血管显影对比,可分为三级:0分,无血管显影;1分,显影血管较少;2分:显影血管相等或多于对侧。总分20分:17-20 分提示侧支循环较好;11-16 分提示侧支循环中等;小于10 分提示侧支循环较差。

(四)梗死核心体积评估
梗死核心是缺血发生不可逆受损的脑组织,是较正常脑组织血流量下降30%以下的区域,梗死核心区域的大小与患者的临床预后密切相关,梗死核心区域越大,预后不良的可能性越大。如果没有可以挽救的缺血半暗带,相关开通不仅无效,海可能增加高灌注的风险。组织错配是较小进行机械取栓的前提,也是患者从中获益的关键。超时间窗的患者梗死区域已无半暗带,CT低密度改变的患者开通相关不仅无效,还可能增加高灌注脑水肿或出血风险。另外,高亮的梗塞比浅淡的梗塞梗阻的更实在、更重,半暗带更小,浅淡的梗塞容易逆转。重视组织窗评估,准确的筛选治疗患者适宜人群。
DWI-ASPECTS在评估急性脑梗死患者静脉溶栓预后中的应用
早期静脉溶栓是目前治疗时间窗内急性脑梗死最有效的治疗措施之一,然而,并非每例接受静脉溶栓的患者均能获得良好的预后。
基于扩散加权成像的Alberta卒中早期CT评分(DWI -ASPECTS)是评估大脑中动脉区早期缺血性变化的半定量评分系统。
鉴于DWI检测早期缺血性改变较CT具有更高的敏感性,ASPECTS评分系统已经逐步应用于DWI上,并越来越多地用来评估患者患病情况及其预后。DWI—ASPECTS对急性脑梗死静脉溶栓的预后有较好的评估价值。
DWI-ASPECTS评分基于弥散图像大脑中动脉 供血区2个层面上的10个区域:(1)核团层面(即丘脑和纹状体平面):划分为M1、M2、M3、岛叶、豆状 核、尾状核和内囊后肢7个区域,M1、M2、M3分别 为:前部皮质、岛叶外侧的皮质和后部皮质;(2)核团 以上层面(在核团水平上方2 cm):占3个区,分别记 为M4、M5和M6,为M1、M2和M3相对应的上 部。总分10分,每累及1个区域减去1分。

DWI-ASPECTS在进行缺血性存在溶栓中的应用
ASPECTS是2000年Barber等制定的一种简单、可靠和系统评估大脑中动脉区早期缺血性变化的半定量评分系统。
急性前循环脑梗死患者DWI上显示的病变范围对预后具有预测作用。DWI-ASPECTS分值与DWI上病灶体积具有较好的一致性。
当DWI-ASPECTS分值为7分时,病灶体积为70 mL;当DWI-ASPECTS分值4分时,病灶体积为100 ml。
尽管DWI-ASPECTS不能完全替代体积的测量,但其却能提供一些半定量估计,正被越来越多地用来评估患者情况及其预后。
NIHSS评分也是预后的独立预测因素。NIHSS评分反映的是卒中时的神经功能缺损程度,发病时NIHSS评分高反映卒中较严重,往往提示其梗死面积较大或梗死部位侧支循环血液代偿较差,患者预后不良。
“ASPECTS评分的具体方法?”
1、前循环ASPECT评分
大脑中动脉(middle cerebral artery,MCA)供血区2个层面的10个区域:
①核团层面(即丘脑和纹状体平面),分为M1、M2、M3、岛叶、豆状核、尾状核和内囊后肢7个区域;
②核团以上层面(在核团水平上2cm),包括M4、M5 和M6。
两者的界限为尾状核头部:
任何位于尾状核及其以下层面的缺血性改变为核团层面,
在尾状核头部层面以上的缺血性改变为核团上层面。
各区域都为1分
评分时从10分中减去存在相应的区域数目,10分代表CT平扫正常,0分表示MCA供血区广泛缺血。


2.后循环ASPECT评分
后循环的ASPECTS(pc-ASPECTS)将后循环分为10分;
左、右丘脑,小脑和大脑后动脉的每一区域分别减1分;
中脑或桥脑任何区域减2分。
定义为CT上的低密度灶或灰白质模糊区相应的血管成像低密度区评分。


ASPECTS的应用
一、卒中发病3小时的ASPECTS的应用
Dzialowski等提出,对于发病3h内的患者,ASPECTS越高,溶栓获益越大,颅内出血风险越小,病死率越低;而并不能依据ASPECTS来判断适合溶栓治疗的患者。
二、卒中发病3-4.5小时或高危、高风险患者的ASPECTS的应用
通过ASPECTS与血管闭塞的相关性分析,Barber等人(2004年)建议:
(1)ASPECTS=10分的患者发生血管闭塞的可能性较小,神经功能缺损很可能会自然恢复,没有必要进行溶栓治疗;
• (2)ASPECTS=7-9分的患者发生血管闭塞的可能性很大,溶栓后出血的风险较小,是溶栓治疗的最佳对象;
• (3)ASPECTS<7分时,由于缺血累及的范围较大,溶栓治疗导致颅内出血的可能性很大。
三、ASPECTS 评分 5-7 分的卒中患者行血管内治疗获益最佳。
1、研究显示只有ASPECTS评分≥7分的患者可从静脉溶栓、动脉内溶栓治疗中获益;
2、研究提示血管内治疗应在ASPECTS评分在5~7分之间的患者中进行获益最佳;
3、而对于ASPECTS 评分为 0~4分的患者,可能仅有临界性获益,无论溶栓、取栓出血或再灌注损伤风险都可能增加。
和指南中要点大于大脑半球1/3面积的梗死区域,无论溶栓和取栓效果都不佳一致。
(五)、术中造影评估
(一).ICAS 病变的术中评估和策略
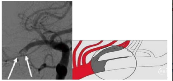
微导管首过效应 微导管首过效应是判定 ICAS 病变的重要方法。在微导丝和微导管通过闭塞段后,保留微导丝,回撤微导管到闭塞段近端(不完全撤出),造影即可显示前向血流恢复,通过闭塞段显示远端血管分支完整,即为首过效应阳性。

血管动脉粥样硬化原位狭窄的基础上急性血栓闭塞(ICAS 病变),血管狭窄的基础上急性血栓形成。
主要原因:心脏血栓、血管通路斑块脱落卡顿于狭窄部位、狭窄部位的斑块破裂血小板聚集形成血栓,血栓负荷往往较小,微导丝、微导管通过闭塞后血管再通,首过效应阳性。
ICAS 基础上的血管闭塞具备这些特点:
①血栓负荷量相对较小,微导管首过效应阳性率高;
②血管开通后容易出现再次闭塞;
③多次取栓后会出现血管损伤、继发血栓形成、动脉夹层或者远端血流越来越差等情况。
术前要根据病史评估:如老年高龄患者、高血压、糖尿病病史,存在动脉硬化的体质,急性起病,术前考虑可能存在ICAS 病变。
术前材料和药品准备:是否有长鞘应对迂曲的Ⅲ型主动脉弓、颅内球囊必要时球囊扩张、颅内支架植入、替罗非班。
二、术中影像评估:
微导丝微导管首过效应阳性、支架取栓释放后呈现“束腰征”。
术中操作:由于血栓负荷较小,支架半收拢回撤,防止损伤狭窄血管内壁或球囊扩张。
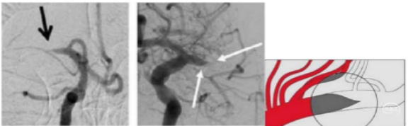
三、血管开窗
血管开窗变异畸形常见于大脑中动脉、基底动脉、椎动脉 V3 段。血管开窗(犹如水流绕行孤岛)在取栓中很容易被误认为是血管狭窄,由于开窗两侧的血管往往非常细小,一旦行球囊扩张,很容易出现血管破裂的灾难性后果。
术中注意对此类病因病变的判定,避免并发症发生。下图:大脑中动脉 M1 段血管开窗畸形。

四、刀切征/截断征
术中造影显示造影剂与未显影闭塞动脉支架存在分明的界限,如刀切断端。根据动物实验显示刀切样截断的外观可能为血栓闭塞后血流推挤的水锤效应引起的血块压缩的结果。血栓负荷较大,接触性抽吸比支架取栓更适合。术中选择 ADAPT 直接抽吸取栓。

五、爪征征象
爪征血管末端造影剂存在半球形的充盈缺损,形似爪子的区域。爪征患者可能为房颤导致血栓栓塞,提示圆形或椭圆形的血栓形状,通过抽吸或支架取栓实现血管再通。

六、新月征
新月征类似爪征,是爪征的另一种表现。
七、轨道征
轨道征是指大动脉血栓周围存在一条或两条造影剂通道。研究表明,轨道征患者可能通过动脉溶栓或静脉溶栓再通。轨道征不代表责任血管完全闭塞,而是代表着存在完全闭塞的趋势。


八、锥形征象

每一台血管内介入取栓都是一场迅速集结应对的“遭遇战”。只有储备大量的介入知识信息,做好术前材料准备,掌握规律,才能因病施治。
精于术前术中评估:胸中有应对预案。
慎于术中操作:以保持生命安全为前提,再图达到完美血管通畅。
勤于术后管理:脑保护、脱水、抗血小板聚集,管控合并症,减少并发症,才能打好一场介入取栓急救的“遭遇战”。
往期精选
* 点击下面文字跳转文章↓
作者简介

赵宝元 主任医师
武威市中医院 神经内科
主任医师。 武威市中医医院脑病科主任。甘肃省陇原人才,武威市中医院脑血管介入团队学科带头人,武威市脑血管介入与卒中早期康复创新工作班组组长。 从事神经内科工作20余年,曾在兰大二院进修神经内科和急诊,中国人民解放第940医院神经内科高级卒中中心、陆军军医大附属新桥医院高级卒中与介入中心学习脑血管介入。 任武威市老年病专业委员会主任委员、武威市中西医结合神经内科专业委员会副主任委员、武威市中西医结合眩晕专业委员会副主任委员、武威市神经内科学会常务委员、甘肃省脑血管专业委员会委员。 开展脑出血微创锥颅引流近500余例,经桡动脉脑血管造影500余例,开展急性脑梗塞血管内机械取栓,动、静脉桥接、颈内动脉狭窄、椎动脉狭窄、锁骨下动脉狭窄或闭塞的血管支架成形术。
![]()
声明:脑医汇旗下神外资讯、神介资讯、神内资讯、脑医咨询、Ai Brain 所发表内容之知识产权为脑医汇及主办方、原作者等相关权利人所有。




