
颅内动脉粥样硬化性狭窄(ICAS)是导致缺血性卒中重要原因之一。2014年中国症状性颅内大动脉狭窄与闭塞研究(CICAS)结果显示中国缺血性卒中或短暂性脑缺血发作(TIA)患者中颅内动脉粥样硬化发生率为46.6%,卒中复发率更高,且随狭窄程度的增加复发率升高。
ICAS病变急性闭塞是取栓最棘手的问题,可以通过严格的术前术中评估,选择适合的介入手术开通血管,必要时球囊扩张支架植入血管成形。
老年患者,既往高血压、糖尿病、动脉硬化ICAS病变可能性大。术中造影具备侧支代偿、微导丝、微导管通过病变首过效应、术中支架释放后前行血流恢复存在支架束腰征多提示ICAS病变。血栓负荷常常较小,取栓操作时收拢支架取栓,需要球囊扩张必要时支架植入血管成形。
一、大脑中动脉重度狭窄球囊扩张支架植入
典型病例:
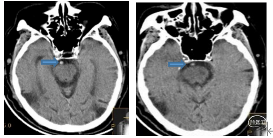
患者男性,83岁,既往房颤病史多年,以"右侧上下肢无力,言语含糊,烦燥2小时"入院。核磁显示:左侧大脑半球多发点状梗塞,老年性脑萎缩。MRA显示:左侧大脑中动脉M1起始部闭塞,未向远端供血。

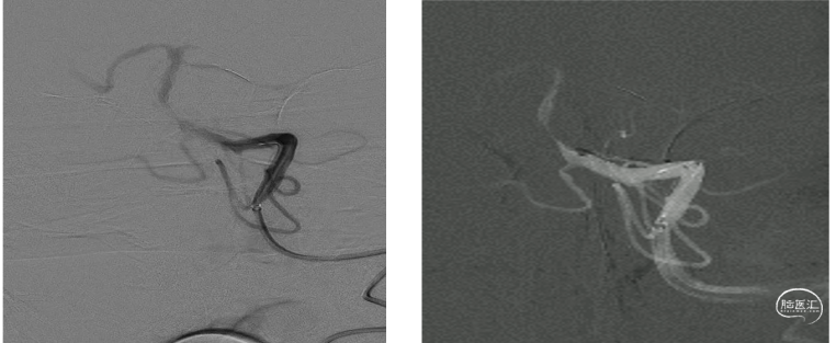
Ⅱ型弓动脉,125Cm单弯同轴将8Fguiding到达颈总动脉远端建立通路。
颈内血管迂曲呈多个S弯,选择顺应性优良的ACE68抽吸导管在侧位下直接裸奔,不经意间ACE68到达C6段。但血管多个S弯折损,8Fguiding和ACE68已用尽导管长度,只能到C6段。微导丝携带微导管到M1远端,造影在真腔内,远端血管正常。
通过微导管将6*30mm Solitre支架置于M1段,静置后收扰支架尾部取栓,踹马桶抽吸ACE68抽吸导管。取出0.5Cm大小血栓和细条状血栓。
造影显示血管血流通畅达3A级,远端血管血流显影良好,未见明确逃逸征象。M1段残余狭窄约40~50%,不影响血流供应,未一期置入支架,服药观察。

术后2天,复查CT未见明确梗塞和脑水肿征象。患者上下肢力肌力正常,言语正常。患者病情恢复正常。
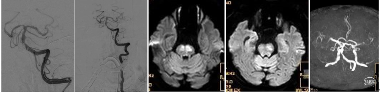
术后1月再次以言语不利,右侧上下肢力弱再次住院。MRA显示左侧大脑中动脉M1段重度狭窄,急性闭塞并发梗塞风险高。

微导丝携带2.5mm白驹球囊置于M1狭窄部位,在6个大气压下扩张狭窄血管,狭窄较前明显改善。

021灌注微导管置入狭窄以远,输送4.0*23mmEP2支架铆定于狭窄部位,推送支架输送杆,回撤微导管释放支架于狭窄部位。

体会
1.老年患者,ICAS病变,急性血栓闭塞,行SWIM抽拉结合取栓后未Ⅰ期植入支架,服药治疗1月再次出现急性脑血管症状,行球囊扩张、EP2支架植入。
2.在释放过程中头尾MarK点显影清楚,容易铆定位置。在释放过程中位置不合适可回收支架再次铆定位置释放。
3.EP2支架柔顺良好,容易在迂曲血管内贴壁。
传统手术过程难点与挑战:
1.取栓操作可能引起狭窄部位血管损伤、甚至血管夹层,导致微导丝再次通过困难;
2.狭窄远端的血栓不易取出,可能导致血栓异位,或因反复取栓引起斑块破裂、血管夹层等;
3.需要补救性治疗时,要求反复交换导管、导丝,可能增加手术并发症的发生。
漳州市医院的陈文伙教授团队基于加奇公司Syphonet®取栓支架全系兼容0.017in微导管及远端抓捕网篮的设计特点,创新性的提出针对ICAS-LVO患者治疗的新技术--BASIS技术——远端取栓支架保护下的球囊血管成形术。
二、BASIS技术零交换开通ICAS病变急性闭塞操作技术
BASIS技术优势:
1.同时处理近端狭窄与远端栓塞,减少手术时间,提高患者预后。
2.相较传统手术步骤可以减少器械交换,降低因器械交换所致的并发症发生风险;
3.利用Syphonet®取栓支架抓捕篮作为保护,降低因球囊扩张导致的血栓逃逸风险;
4.避免传统手术取栓支架拉栓过病变造成的内膜损伤、斑块破裂、血管痉挛风险。
手术步骤如下所示:



典型病例
患者男性,76岁。“突发头晕5小时,昏迷3.5小时”急诊入院。既往高血压病史。查体:昏迷,四肢瘫,NIHSS评分35分。术前影像:CT平扫见基底动脉高密度征。

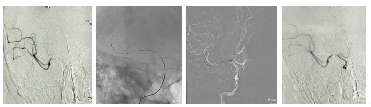
造影显示左侧椎动脉为优势血管,基底动脉闭塞部位呈笔尖征,结合临床症状提示ICAS病变(下图1、2)。首过效应阳性(下图3),释放4×30mm Syphonet®取栓支架,可见支架通体显影(下图4),支架中部呈现蜂腰征,辅助判断病变部位。

Syphonet®取栓支架释放后造影,可见前向血流部分恢复(下图1)。沿Syphonet®取栓支架的输送导丝推送2.5×15mm Maverick球囊至狭窄段,将取栓支架部分回收至球囊导丝腔(下图2)。

充盈球囊处理近端狭窄(下图1)。球囊泄压后前进中间导管越过病变(下图2)。

中间导管联合Syphonet®取栓支架进行远端取栓(下图1)。取出的血栓(下图2)。取栓后再次释放Syphonet®取栓支架,可见支架打开良好,蜂腰消失(下图3、4)。

造影判断血管再通良好,回收Syphonet®取栓支架,将微导丝置于远端等待观察(下图1、2)。术后情况:术后神志转清,左侧肢体肌力5级,右侧4级。

三 、Fastunnel输送型球囊扩张导管"零交换"开通大脑中动脉闭塞操作技术
典型病例:
患者yj,男性,44岁,"突发左侧上下肢无力12小时"入院。左侧上下肢肌力3级,言语含糊,NⅰHss评分5分。既往吸烟,饮酒史。
核磁显示:右侧内囊梗塞,大脑中动脉皮层段多发点状低灌注改变。MRA显示右侧大脑中动脉M1段起始部以远未显影,考虑闭塞。
脑血管造影显示:M1起始部以远末显影,大脑前和大脑后动脉通过软膜动脉代偿。
结合影像评估考虑ICAS病变可能性大。

手术方案:
应用Fastunnel输送型球囊扩张导管球囊扩张血管成形,必要时支架植入。

手术过程:
颅内支持导管到达C5段由于血管迂曲成环难以上行。微导丝在C6段形成回头弯顺利到达M2段,Fastunnel输送型球囊扩张导管到达M分叉部。撤出微导丝,微造影显示Ml1分叉以远血流通畅,真实球囊扩张导管在M1段真腔内。

再次球囊扩张:再次将球囊扩张导管置于M1段,在6个大气压(命名压)下扩张导管,泄压后回撤导管造影,右侧大脑中动脉全程血流通畅达3级,远端未见明确血栓逃逸。M1段毛糙,考虑残余狭窄约40%。术中推注替罗非班10mL,撤出导管系统造影大脑中动脉全程血流通畅。

术后重症管理:
1.依达拉奉佑茨再醇抗炎,脑保护。
2.抗血小板聚集:替罗非班泵入。
3.脱水降颅压,防止开通后再灌注预高压。甘露醇、甘油果糖、3%氯化钠130mL。
4.抗炎:甲强龙80mg连用3天。
术后24小时复查CT:右侧內囊梗塞区浅淡高密度影,考虑内囊为终末血管,再灌注渗出。

体会:
1、传统经皮血管腔内球囊扩张成形术操作过程中,通常会经历多次器械交换过程,频繁的交换操作,耗时延长手术开通时间,增加了导丝、导管操作出血、夹层等并发症的风险。
2、Fastunnel输送型球囊扩张导管“零交换”技术1步完成导管到位,同时可通过球囊扩张导管输送支架取栓、球囊扩张相比传统手术减少10次交换步骤。球囊扩张过程中出现夹层或扩张后重度狭窄在保持导管在位的情况下输送支架植入血管成形。
往期精选
作者简介
赵宝元 主任医师
武威市中医院 神经内科
主任医师。 武威市中医医院脑病科主任。甘肃省陇原人才,武威市中医院脑血管介入团队学科带头人,武威市脑血管介入与卒中早期康复创新工作班组组长。 从事神经内科工作20余年,曾在兰大二院进修神经内科和急诊,中国人民解放第940医院神经内科高级卒中中心、陆军军医大附属新桥医院高级卒中与介入中心学习脑血管介入。 任武威市老年病专业委员会主任委员、武威市中西医结合神经内科专业委员会副主任委员、武威市中西医结合眩晕专业委员会副主任委员、武威市神经内科学会常务委员、甘肃省脑血管专业委员会委员。 开展脑出血微创锥颅引流近500余例,经桡动脉脑血管造影500余例,开展急性脑梗塞血管内机械取栓,动、静脉桥接、颈内动脉狭窄、椎动脉狭窄、锁骨下动脉狭窄或闭塞的血管支架成形术。
声明:脑医汇旗下神外资讯、神介资讯、神内资讯、脑医咨询、Ai Brain 所发表内容之知识产权为脑医汇及主办方、原作者等相关权利人所有。





