
《2018年缺血性脑血管病再灌注指南推荐》血管内介入治疗适应证:
年龄>18岁,急性缺血性卒中,影像学检查证实为大动脉闭塞,CT排除颅内出血。NIHSS评分≥6分;ASPECTS评分≥6分;动脉穿刺时间能够控制在发病后6h内(三个6的原则)。
《2022年缺血性脑血管病再灌注指南推荐》血管内介入治疗适应证:
1、急性缺血性卒中,影像学检查证实为大动脉闭塞,CT排除颅内出血。
2、前循环闭塞发病时间在6 h以内; NIHSS评分≥6分;ASPECTS评分≥6分;
解读:修改删除了年龄≥18岁。
3、前循环闭塞发病时间为6~24 h,经过严格的影像学筛选后可推荐血管内治疗;
解读:影像筛查指CT无低密度、FLiRe无病灶、DWI提示进行梗死,CTP和PW评估半暗带。
4、后循环大血管闭塞发病时间在24 h以内,血管内治疗是可行的。
解读:后循环梗死血管内治疗可延长至24小时内的影像筛查CT无低密度、FLiRe无病灶、DWI提示急性梗死。
《2023年缺血性脑血管病再灌注指南推荐》血管内介入治疗适应证修改:
1、急性缺血性卒中,影像学检查证实为大动脉闭塞,CT排除颅内出血。
2、前循环闭塞发病时间在6 h以内; NIHSS评分≥6分(二个6的原则)
解读:随着技术的进步和多中心研究,ASPECTS评分<6分的大面积脑梗塞在临床介入中获益,可行血管内介入治疗。
《2024年急性缺血性卒中再灌注治疗指南推荐》:
对于发病时间在24h内,CT或MRI提示ASPECTS≥3分,且NIHSS评分≥6分的急性颈内动脉或大脑中动脉近端闭塞患者,推荐进行机械取栓治疗。(I类推荐,A级证据)
解读:随着血管内介入技术的进步和多中心大样本研究,在临床工作中不仅仅依靠时间窗作为评估依据,更重要的是通过组织窗评估使更多患者在血管内介入治疗中受益。
典型病例 超时间窗醒后卒中//急性左侧大脑中动脉闭塞取栓再通预后良好
病例简介
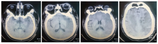
患者hw,男性,42岁,从河南来武探友,夜间战友聚会饮酒,次日11时未醒,送医院就诊。患者意识不清,难以查体,认为醉酒,经解酒治疗未见好转。下午5时查CT示:左侧大脑中动脉上下干区域大面积浅淡低密度改变。CT-ASPECT评分4分,内囊区域未受损。NiHSS评分35分。时间窗约20小时。

核磁检查显示:左侧额、颞、顶大面积脑梗塞。MRA显示:左侧颈内动脉C5~C6以远未显影。考虑T型段闭塞可能。

评估:年轻患者,体重100Kg,偏胖,糖尿病、高血压。无房颤。考虑T型段ICAS病变可能性大。已错过静脉溶栓的最佳时机。
影像评估:核磁显示左侧额颞顶部大面积梗塞,但密度不是很高亮,脑沟脑回可见。
CT显示:左侧大脑中动脉上下干区域浅淡低密度改变,CT低密度区域区域大于核磁DWI显示面积。具有挽救的脑组织。
醒后卒中,时间窗大约20小时。不开通血管随之而来的大面积脑组织缺血、肿胀,脑疝形成。开通血管,CT已有浅淡低密度,再灌注出血风险较大。
如何诀择?年轻患者,身后肩负一个家庭,不取栓危及生命,取栓可能出血预后不好。时间窗在16~20小时,具有挽救的半暗带组织。快速开通血管恢复血管灌注,才有希望。做好术后灌注出血、脑水肿开颅去骨瓣减压的预案和病情告知。
没有家属,谁来签字?电话告知正在上飞机赶往武威的患者母亲和妻子病情,电话同意手术治疗,战友签字,迅速上台。
手术过程:术中微造影,颈内动脉血流C5-C6以远未显影。颈内动脉踝奔抽吸滞留血液至C5段,导管不能前行通过。
微导丝艰难通过C5环状迂曲段,到达M1分叉部,微导管冒烟分叉以远显影。

支架取栓:
置入4*20mm Solitaire AB支架,血流初步再通,推注替罗非班15mL后收拢支架尾部负压抽吸取栓导管,回拉支架于导管内。取出约1.5Cm大小硬质血栓。
二次抽吸:通过取栓导管二次接续抽吸清理可能的残余血栓。造影显示全程血流通畅,未见明确血栓逃逸,C5~C6段狭窄约40%。

术后情况:患者可睁眼,右下肢自动缩伸,肌力4级,完全性失语状态。
术后12小时:患者意识清楚,能书写表达,失语,右下肢肌力5-,上肢肌力0级。复查CT脑水肿较术前不明显,中线无移位,无出血征象。术后浅淡低密度影较前好转,脑沟脑回可见。

小结
1、2024.12.14网络首发-最新《急性缺血性卒中再灌注治疗指南》:对于发病时间在24h内,CT或MRI提示ASPECTS≥3分,且NIHSS评分≥6分的急性颈内动脉或大脑中动脉近端闭塞患者,推荐进行机械取栓治疗。(I类推荐,A级证据)
2、本例为2024年12月15日血管内取栓病例,可谓是指南发布后第一个获益的患者。在临床实践中,核磁DWI代表核心梗塞区,CT表现浅淡的低密度区域在开通血管恢复血流后还可逆转。
3、快速开通血管,恢复血流灌注才能挽救缺血组织,挽救生命。但这样的病例再灌注出血风险增加。做好再灌注出血微创锥颅置管引流减压和必要时去骨瓣减压的术后预案。术前做好医患告知,充分沟通,对手术风险的认知,避免医疗纠纷。
4、术中尽量干性操作。少造影、少用滴注,尽量减轻对已破坏的血脑屏障的灌注渗透,术后脑水肿和灌注出血明显减少。

往期精选
作者简介
赵宝元 主任医师
武威市中医院 神经内科
主任医师。 武威市中医医院脑病科主任。甘肃省陇原人才,武威市中医院脑血管介入团队学科带头人,武威市脑血管介入与卒中早期康复创新工作班组组长。 从事神经内科工作20余年,曾在兰大二院进修神经内科和急诊,中国人民解放第940医院神经内科高级卒中中心、陆军军医大附属新桥医院高级卒中与介入中心学习脑血管介入。 任武威市老年病专业委员会主任委员、武威市中西医结合神经内科专业委员会副主任委员、武威市中西医结合眩晕专业委员会副主任委员、武威市神经内科学会常务委员、甘肃省脑血管专业委员会委员。 开展脑出血微创锥颅引流近500余例,经桡动脉脑血管造影500余例,开展急性脑梗塞血管内机械取栓,动、静脉桥接、颈内动脉狭窄、椎动脉狭窄、锁骨下动脉狭窄或闭塞的血管支架成形术。
声明:脑医汇旗下神外资讯、神介资讯、神内资讯、脑医咨询、Ai Brain 所发表内容之知识产权为脑医汇及主办方、原作者等相关权利人所有。





