
中等血管闭塞定义

溶栓再通:对于原发性MeVOs,阿替普酶再通率显示范围为21%至43%,只有一半的患者获得了良好的功能结果,而最初的神经功能障碍通常很小。
血管内治疗如履薄冰,如临深渊,尤其是中小血管取栓有所为,有所不为。
1.哪些位置的中等血管选择取栓?
左侧功能区相对发达,对患者功能(如运动、语言)影响较大,如果血管相对平直,可积极取栓治疗。
2.从解剖看M2、M3、A1、A2、P1、P2附着在组织表面或漂浮在脑脊液中,取栓容易牵拉血管内壁造成出血或穿支血管出血,IVT治疗即可。有良好侧支代偿可放弃远端小血管机械取栓
3. 考虑机械取栓机械取栓无论用3X15mm还是4X20mm支架,建议半释放支架取栓,减少对血管壁的牵拉。
取栓时中间导管尽量上高至M1分叉部为微导管提供支撑。非常忌讳中小血管反复多次取栓,最多不超过2次。回拉要缓慢,抽吸要充分、平稳、持久。
一、中小血管取栓器械选择:
1. 更小外径+更长长度: 5F/132中间导管
2.更远到位+更小移位: 0.017/微导管
3.微导丝J形头端前进,防止刺破血管: coil头端,12-14微导丝
二、《2024年急性缺血性脑血管病指南》致残性卒中定义:
1、完全性偏盲(NHSS评分视野项≥2分);
2、重度失语(NIHSS评分失语项≥2分);
3、视觉或感觉减退(NHSS评分忽视项>1分)
4、任何肢体不能持续对抗重力(NIHSS评分任一肢体运动项>2分);
5、任何意识障碍(忽视、凝视、嗜睡、昏迷)(NIHSS评分意识水平项>1分)。
三、策略选择:
1. 平直血管首选支架取栓( A2/A3,MCA下干更友好);
2.选择小支架:Trevo xp、波科 3/20mm支架
3.微导管半收拢支架钳夹(mini-pining技术 )
4. 迂曲血管 : 微导丝微导管碎栓>溶栓>支架
5.小血管超选时容易穿透,建议导丝J形塑形回头弯前行。迂曲血管支架牵拉出血风险高,将支架半收拢缓慢回拉。
5.穷寇莫追,见好就收,不过于追求完美。材料不充分,不勉強。
6.血管成角微导丝或微导管不能顺利通过或血管迂曲明显,不取栓治疗。
7、可用最简单的办法处理:
可选择027微导管十中间导管双抽吸;亦可将微导管接近血栓动脉给予小剂量尿激酶5~10万u局部溶栓;亦可微导丝小心通过血栓进行"机械碎栓"实现再通。亦可微导管接近血栓,推注替罗非班、肝素盐水,溶解血栓,减少梗塞面积。

A.释放mini型取栓支架,支架近端1/3跨越闭塞段;B.完全撤出微导管;C.沿mini取栓支架输送杆上推抽栓导管(在负压抽吸开启状态下),使抽栓导管接触血栓并和取栓支架形成部分抓取效应(即微钉子);D.将取栓支架和抽栓导管整体撤出。
注:远端血管中间导管难以到达,也可微导管半收拢支架像微钉子钳夹,因为远端血管血栓往往很小。
四、桥接治疗患者的选择:
静脉溶栓对ASPECT评分8-10分的小血管病变、小面积梗塞有效,对中等血管、大血管不容易再通。DWI(核心梗死区)密度高亮的梗塞,往往血管闭塞彻底,静脉溶栓不易再通。
笔者建议:
1、NIHSS评分≥4分;2、肢体肌力<Ⅳ;3、失语、重度言语不利;4、DWI(核心梗死区)显示密度高亮的梗塞灶。
结合核磁、MRA进行组织、血管评估,明确血管大中血管是否存在闭塞,应该在静脉溶栓的基础上不等待溶栓效果,积极行血管内桥接治疗开通血管,恢复血流,减少卒中残疾。尤其年龄轻的患者残疾导致劳动力丧失,也给家庭造成重大生活负担。
一、中小血管梗塞动-静脉桥接治疗病例
典型病例1: 静脉溶栓+机械碎栓治疗
病例简介:患者老年女性,76岁,“突发意识模糊,右侧肢体无力2小时”入院。查体左侧肢体肌力2级,心房颤动,NIHSS评分9分。CT无出血征象。急诊核磁DWI:左侧大脑半球高密度。
诊断:1.心源性栓塞可能;2.左侧大脑中动脉下干急性闭塞。

发病4.5小时内,NiHss评分9分,符合静脉溶栓,体重45kg。
静脉溶栓:给予阿替普酶37.8mg,首剂3.8mg团注,溶栓40分钟能言语,意识明显好转。肌力恢复不明显,牙龈少量出血。

机械碎栓+替罗非班:6Fguiging导引导管置于颈内动脉C1段起到支撑作用,微导丝到达M2段,微导管通过狭窄再回撤。撤出微导丝,微导管内推注替罗非班8ml (1ml/min),再次造影,血流明显改善。术后双联抗血小板聚集+阿托伐他汀、人尿激肽原酶--尤瑞克林治疗10天患者恢复良好,无明显后遗症。

典型病例2: 静脉溶栓+血管内桥接捣栓、碎栓治疗
病例简介: 患者男性,55岁,脑梗塞后康复院内卒中,突发右侧肢体失动、意识模糊1.5小时转入我科,右侧上下肢肌力2级,不能言语,意识模糊。
核磁DWI示:左侧大脑中动脉区域大面积梗塞(发白的区域)。
病因:血管狭窄并梗塞可能(左侧大脑中区域较右侧萎缩)。似乎低灌注表现(DWI密度不均,大部分密度不太高)。

评估:发病后2.5小时,CT无出血,NiHss评分19分,为大血管闭塞.符合静脉溶栓+桥接治疗。
静脉溶栓:体重70Kg,给予阿替普酶63mg溶栓(0.9mg/Kg),溶栓30分钟,右侧上下肢肌力恢复为4级,40分钟言语可,略含糊,溶栓有效。
血管内桥接捣栓、碎栓治疗:行脑血管造影,左侧大脑中动脉M1分叉部重度狭窄,但血流通畅。微导丝携带微导管通过狭窄部位,微导管反复回拉。再次造影狭窄明显改善。术后言语略含糊,右侧肢体肌力5-级,经动-静脉桥接治疗病情明显逆转。

典型病例3 A2\M2段血栓拉Reco小支架取栓
---资料来源江苏泰州丁鸭锁、孙兵等
病例简介 患者男,63岁 以“左侧肢体乏力3小时”。
现病史:患者3小时前出现左侧肢体乏力,神志嗜睡,口齿不清,无恶心呕吐,家属将其送至我院卒中急诊,先行静脉溶栓,CTA检查示:右侧颈内动脉不显影,右侧大脑中M2不显影,拟行动脉取栓术。
既往史:有“高血压”病史10年,未规律服药,否认“糖尿病”病史。
体征:NIHSS 12分 ,神志嗜睡,无同向凝视,不完全性失语,左侧肢体肌力0级,右侧正常。CTA:右侧颈内脉不显影,右侧大脑中M2不显影,拟行动脉取栓术。

右侧颈总造影发现,右侧颈内动脉起始处有斑块,两处充盈缺损。
使用泥鳅导丝试探,很幸运,毫不费劲就通过了狭窄处,因此考虑此处未完全闭塞,而且远处的栓子可能就来源于此处。将5F125cm Navien沿着泥鳅导丝轻松通过狭窄处,进行抽吸清理颈内动脉可能滞留血栓。跟进8F导引导管通过狭窄部位起到支撑作用。

上干和大脑前为功能区血管,应该开通:
先开通大脑中M2段。支架导管到位,确认远端通畅,尼科医疗的Reco支架3X20mm到位,5F Navien跟到M1,一边抽吸一边拉栓,一把拉通。
注意:应该微导管半收拢支架钳夹血栓,缓慢回拉,防止牵拉血管支撑组织导致脑出血。

再开通大脑前A2段,同样尼科医疗的Reco支架3X20mm到位,5F Navien 跟进A1,半收拢支架,一边抽吸一边拉栓,一把拉通。

回头处理颈内动脉起始部。常规保护伞4-6mm保护下行4-6mm球囊扩张,并自膨支架7-9-40mm植入。

手术所用材料
8F 长鞘、5F 125cm 多功能管、260mm 长泥鳅导丝,5F 125mm Navien(6F 导引导管可到达M1段,5F 导引导管可到达M1分叉部、A1段) Rebar 18微导管、Traxess 14 微导丝、国产尼科公司的Reco取栓支架 4.0*20mm(M2、A1半收拢释放),Reco支架3X20mm(小支架3X20mm 用于M2、A1、A2半收拢释放)、5*30mm PTA 球囊5.0 spiderFX 保护伞*40mm protégé支架,术后CT,无出血无造影剂渗漏。术后第2天,患者肌力完全恢复。

体会:
1、颈内动脉狭窄但5F125cm Navien沿着泥鳅导丝轻松通过狭窄处。
2、如果狭窄明显,微导丝通过选择,3mm扩张后在球囊泄压的同时应该8F导引导管通过狭窄,回撤球囊,起到阻断血流的作用,清理颈内动脉的滞留血液或血栓,再行颅内取栓。防止滞留血栓逃逸远端。原则时尽量防止颈内动脉血栓带入颅内。
3、处理远端后置入保护伞、再回撤导引导管,行球囊扩张、支架置入。
4、M2、A2重要功能区血管需要开通,尽量使用小支架3X20mm,可以减少血管损伤,如果血栓长度不长,可以支架半释放。
4、缓慢回拉支架。减轻取栓牵拉对血管损伤。防止血管撕裂造成蛛网膜下腔出血。
中间导管选择:
5F中间导管可到达A1、M1分叉;6F中间导管可到达M1段、基底动脉段。3.8F的3MAX抽吸导管更适合M2、A2抽吸减少支架对血管牵拉。
支架选择:
大于3mm直径血管如M1、基底动脉可选择4mm\6mm支架。大脑前A1、M2、P1段可选择4mm支架半收拢或3mm小支架取栓。必要时3X20mm小支架半释放取栓。
典型病例4 大脑中动脉M3段闭塞抽吸导管血管再通治疗
-----资料来源高军、温昌明
病例简介
患者,男,68岁,主诉:突发言语不清伴右侧肢体无力2.5小时。
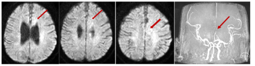
病史:患者入院2.5小时前休息时突发言语不利,难以与人交流,能理解他人言,右侧肢体无力,口角歪斜,行走、持物不能;双眼向左侧凝视。于11:30至我院急诊就诊,急查头颅CT未见颅内出血;CTA+CTP示左侧大脑中动脉M3闭塞,存在缺血半暗带。
既往史:高血压、房颤病史,未系统服药治疗。
神经系统查体:构音欠清晰。右侧鼻唇沟变浅,示齿、伸舌不合作,咽反射存在,左上肢肌力Ⅴ级,左下肢肌力Ⅴ级,右上肢肌力0级,右下肢肌力0级,肌张力减低,右侧巴彬斯基征阳性,克氏征阴性。NIHSS14评分。
诊断:急性脑梗死(左侧大脑半球);TOAST分型:心源性栓塞。
术前CTA

手术过程
1、行右侧股动脉穿刺并置入8F动脉鞘成功。造影发现左侧大脑中动脉M3段以
远显影欠佳。正位不清晰,斜位清晰可见M3闭塞。
2、5F 125cm 中间导管抽吸:
泥鳅导丝引导8F导引导管至左侧颈内动脉C1远端平直处建立通路,微导丝引导微导管及5F 125cm 中间导管到达左侧大脑中动脉M3闭塞段近端。

近端使用60mL注射器手动抽吸两次,未见血栓取出。可能为导管未能接触血栓。
注意: 6F 125cm 中间导管到达大脑中动脉M1段; 5F 125cm中间导管到达大脑中动脉M2分叉以远。

3、换用3MAX 抽吸导管通路组合:
8F MPA+3MAX抽吸导管+微导丝,抽吸两次后栓子逃逸至远端分叉部。

5、 再次跟进3MAX抽吸一次,完全再通。

术后即刻复查XperCT未见出血。
术后第二天查看患者:神志清楚,应答切题,构音欠清晰。右上肢肌力2级,右下肢肌力3级。NIHSS评分8分。
手术心得
1.不同部位血管使用合适口径的抽吸导管可能是快速抽吸再通的关键,本例及时更换口径更小的3MAX抽吸导管后快速再通。
2.远端中小血管管径较细,支架取栓出血风险大,选择合适口径的抽吸导管进行直接抽吸取栓可能更合适;与支架取栓相比,对血管损伤可能更小出血可能性减少。
3.3MAX远端抽吸导管头段管径3.8F,长度153cm是有抽吸适应症的远端抽吸导管,可以到达更远的病变部位,并且配合负压吸引泵,提高抽吸成功率。
二、大脑前动脉血栓取栓
先复习一下大脑前动脉解剖知识:
大脑前动脉主要分支为:眶动脉、额极动脉、额叶内动脉、拼周动脉、胖缘动脉主要供应大脑半球内侧面的3/4和额顶叶背侧面上1/4皮质和皮质下白质,深穿支的主要供血区域为内囊膝部和内囊后肢前2/3、壳核、苍白球和尾状核。
大脑前动脉是重要功能区域,血管闭塞常见表现:
1、运动障碍(90%,和旁中央小叶辅助运动区受累有关)。
2、情感淡漠(和额极、直回、胖抵体、扣带回受累有关)。
3、尿失禁(旁中央小叶)。
4、失语。
5、感觉障碍(拼周和胖缘动脉)。




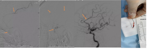
典型病例1 3*20小支架联合5F中间导管用于A2段SWIM取栓
------资料来源 姚力
病例简介
患者男,59岁,右侧肢体活动不灵1小时25分钟。神经系统:神志清楚,反应迟钝,言语基本流利,双侧额纹、鼻唇沟对称,伸舌左偏,四肢肌张力正常,右上肢肌力3级,右下肢肌力2级,右侧巴氏征(+)。NIHSS评分9分。 ASPECTS-CT评分:前循环9分。MRI显示左侧大脑前动脉区域埂塞可能,MRA大脑前动脉A2以远未显影。

初步诊断:1.急性脑梗死(左侧大脑前动脉);TOAST分型:大动脉粥样硬化型);2.高血压病3级,很高危;3. 2型糖尿病。
造影右侧大脑前动脉缺如(未发育),左侧大脑前A2段闭塞。
发病位置与病因:左侧大脑前A2段,病因考虑动脉粥样硬化,不排除ICAS可能。
治疗方案:
大脑前动脉血管较细、路径迂曲,一般抽吸导管到位比较困难,又恐4mm及以上直径的取栓支架用于大脑前动脉对血管损伤较大,遂使用3*20mm小支架联合5F 125中间导管,SWIM取栓。
手术所用耗材:取栓支架 3*20mm、远端通路导管 5F 125cm 、0.014inch 300cm微导丝、2.4F微导管、6F长鞘、0.035in泥鳅导丝、5F造影导管。
手术过程:
1、微导丝越过闭塞处到达A3段。下图1
2、5F 125中间导管辅助高到位下图2。
3、手推造影明确血栓位置下图3。
4、微导管到达A4段下图4。
5、3*20取栓支架到位回撤微导管,多点显影标记,清晰可见支架打开良好下图5。

造影显示血管再通。

术后管理
术后替罗非班6ml/h 持续泵注24小时桥接双抗治疗,术后使用依达拉奉右崁醇 30mg 2次/日,监测血压维持在收缩压140mmHg左右。
患者预后
术后14天,神经系统:神志清楚,高级智能检查正常,言语基本流利,
双侧额纹、鼻唇沟对称,伸舌左偏,四肢肌张力正常,右上肢肌力4级,
右下肢肌力3级,右侧巴氏征(+)。NIHSS评分:3分。
总结:
目前前循环颈内动脉末端、大脑中动脉M1段取栓证据充分,推荐级别高。但是,目前对于大脑前动脉A2、A3段等直径较小血管取栓仍存在一定争议。
本例患者系左侧大脑前动脉闭塞,右侧大脑前动脉缺如,左侧大脑前动脉
为双支,系优势血管,供应双侧大脑,如不能及时开通,患者预后不佳。
手术策略方面:靶血管直径小,抽吸取栓相比难以实现,故采用SWIM技术取栓,以达到快速再通;
手术器械选择方面:
该例手术选择直径更小的3*20取栓支架,术中可以尽量减小对血管壁的损伤; 5F 125远端通路导管到达A2,能够高到位,提供有力支撑,保障手术顺利。
术后管理方面:患者血压维持平稳状态,避免低血压造成低灌注性脑损伤;该例患者系静脉溶栓桥接取栓治疗,术后使用较低剂量替罗非班桥接双抗抗栓治疗。
典型病例2 病例2 大脑前动脉血栓取栓
病例简介
男,61岁,主因言语不清、左侧肢体偏瘫、小便失禁3天入院。入院查体:NIHSS评分=16分,GCS=3+3+4=10分。嗜睡,查体欠合作,思维、反应极迟钝,言语不利,右侧肢体活动可,肌力正常,左侧肢体肌力约1~2级,感觉轻度减退,左侧巴氏征阳性,右侧巴氏征阴性。
患者既往有高血压病史多年,心房纤颤病史多年,服用双抗、降脂药物,未用抗凝药物。由于1月前住院时发现右侧A2段狭窄,告知患者出现不适立即来院,所以此次发病后,患者直接来科室,要求机械取栓治疗。头颅CT无出血,直接进行DSA评估。
2.手术过程
(1)直奔主题,行右侧颈动脉造影,右侧A2原有狭窄处闭塞。下图1。
(2)左侧颈内动脉造影,左侧颈内动脉只供应同侧大脑前动脉、大脑中动脉不向右侧A2代偿供血下图2。
(3)微导管穿过右A2闭塞部位造影,提示A2以远通畅,下图3.
![]()

(5)决定取栓1次取出少许血栓,但取栓后造影,右侧A2仍然不显影。下图1、2
(6)微导丝穿过右A2闭塞部位,用2mm的球囊快速交换到达狭窄部位,低压力扩张后造影,可见右A2原有狭窄明显改善。下图3、4
7)把4mmX20mm的solitaire FR支架覆盖A2狭窄部位并解脱支架,造影可见右侧大脑前动脉完成再通,TICI3级,原有狭窄完全消失。下图5

三、 急诊大脑后动脉取栓
先复习一下解剖知识,大脑后动脉重要的分支血管为:
1、丘脑穿支(前后):主要供应大脑脚间窝、乳头体、大脑脚、中脑后部,后穿支供应内囊后肢、下丘脑、红核。
2、脉络膜后内侧动脉:大脑脚、上丘、松果体、第三脑室脉络丛,也有少量分支,供应丘脑背内侧核。
3、脉络膜后外侧动脉:在行程中分支到大脑脚、上丘、松果体、第三脑室脉络丛,也有少量分支,供应丘脑背内侧核。
4、与大脑前动脉的拼周动脉吻合。
5、皮层支:包括颞前动脉、颞后动脉、顶一枕动脉和矩状动脉。供应顶叶内侧面。
从大脑后动脉主要分支血管供血区域来看,特别是丘脑穿支,供应中脑后内部、内囊后肢、红核,一旦血液供应障碍且侧支循环不良的情况下,是完全可以导致患者意识障碍,右侧肢体偏瘫。
大脑后动脉梗死示意图

典型病例 急诊大脑后动脉取栓病例分享 -----资料来源焦伟、冉星堂
病例简介:
患者,女,72岁,因“右侧肢体活动障碍3小时”入院,看起来最后正常至入院近4h。
既往史:高血压病史10余年,平素不规律服药,血压控制欠佳。入院急诊心电图示:窦性心律。入院时NIHSS 19分,予以阿替普酶(50mg)静脉溶栓,直接桥接治疗。
术前CT:转入我院后急行CT检查,未见明显出血,左侧大脑后动脉条索状高密度影(图1),因患者自发病在6小时内。

手术过程:局麻,右美托咪定镇静,5F造影导管行造影检查,结果提示:左侧椎动脉相对优势,V1段连续复合弯;左侧大脑后动脉P1段中段开始远端未见显影(下图2)。

将6F 088 Neuron MAX长鞘输送至左侧椎动脉V2段中段, Powler微导管、Transend微导丝(300cm)行“首过效应”判断可见:原闭塞部位缓慢前向血流后撤出微导管,同轴交换跟进4 MAX抽吸导管(下图1)。
一次性抽吸取栓成功开通左侧大脑后动脉,造影显示左侧大脑后动脉全程显影良好,流速正常,P2段局部稍狭窄,无明显造影剂外溢(图2、3 )。
结束手术,体外见一黄白色长条状栓子(图4),股动脉穿刺至大脑后动脉再通。
术后患者镇静状态,NIHSS评分未评。

术后镇静、镇痛、控制血压,术后动态复查头颅CT见左侧枕叶、丘脑、中脑片状梗死区,无明显出血。术后予以拜阿司匹林(100mg)、硫酸氢氯吡格雷(75mg)、阿托伐他汀(60mg)。患者于术后第1天清醒,神经功能逐渐改善。
小结:
大脑后动脉发出的丘脑穿通支及皮质支供应中脑、丘脑、颞叶枕叶内侧面及下面、视觉皮质和胼胝体压部,重要性不容忽视。
1、P1/P2直径多<2.0mm,临床上定义为小血管或远端血管。
2、由于血管直径较细且走行迂曲,如果用支架取栓,存在以下安全隐患:
1)、回撤距离过长、阻力过大,器械断裂;
2).严重痉挛、血管壁损伤甚至出血等严重并发症;
3).支架释放困难、贴壁切栓不良,操作时间长。
3、本病例首过效应阳性,TOAST分型考虑为动脉粥样硬化性卒中, 首选ADAPT技术除了以上安全性考虑外,还与以下因素有关:
1). 3-4 MAX抽吸导管出色的通过性,只需微导丝导引即可到位;
2).术中判断血栓仅在狭窄处,血栓及粥样斑块负荷量很小,应用ADAPT技术可以很容易地达到取栓目的。
对于缺血性脑卒中的急诊血管内治疗,ADAPT技术抽吸安全有效。 既可以用于ICA、M1/2、A1、BA/VA,同样适用于小血管或远端血管;对于某些急性动脉粥样硬化性颅内血管闭塞,抽吸也是不错的选择。
四、小脑后下动脉血栓闭塞取栓
典型病例 左侧小脑后下动脉闭塞支架取栓术
-----资料来源苏凡凡联勤保障部队第967医院
病例介绍
患者男性,54岁,因突发头晕8小时入院。既往体健,否认高血压病,糖尿病病史。患者于8小时前晨起活动后突发头晕,伴恶心,无呕吐,卧床休息后上诉症状未见缓解,随后患者逐渐出现言语含糊,吐字不清,家属发现后急送来院。
查体:血压130/90mmHg,心肺未见异常。专科查体:神清,构音障碍,双侧瞳孔等
大等圆,光反射灵敏。口角略歪斜,四肢肌力5级,肌张力正常,双侧病理征(-),NIHSS评分4分。急诊CT示左侧椎动脉高密度征。CT示右侧小脑陈旧性梗死。
初步诊断:脑梗死(后循环,不明原因)。
患者以头晕为首发表现,随后症状逐渐进展,发病8小时,CT未见出血,考虑新发梗死可能性大,因错过静脉溶栓时间窗,遂完善头核磁MRI+MRA评估颅内情况。
急诊核磁DWI示左侧小脑及延髓新发梗死。

MRA示左侧椎动脉颅内段闭塞,闭塞段呈杯口征。

结合患者CT及核磁影像,考虑患者左侧椎动脉颅内段系急性闭塞,闭塞端呈杯口征,栓塞可能性大。向患者家属详细交代病情,考虑栓塞可能性大,因患者基底动脉走形较直,考虑血栓可能骑跨位于左侧小脑后下动脉及椎基底汇合部,有继续向远端脱落导致基底动脉闭塞风险。
分析造影考虑患者原先血栓符合术前判断,骑跨位于小脑后下动脉及椎基底动脉汇合部,在搬动过程中,椎基底汇合部血栓再次崩解移位,最终左椎颅内段通畅,但左侧小脑后下动脉闭塞,右侧大脑后动脉远端血栓异位。
考虑患者年轻,左侧椎动脉优势,左侧小脑后下动脉供血范围较大,若不能及时开通血管,可能导致小脑大面积梗死,后继出现脑水肿,脑疝几率较大,向患者家属交代手术风险后家属积极要求介入治疗。
快速建立8F导引导管+CAT6中间导管建立路径,微导丝携微导管顺利通过左侧小脑后下动脉闭塞段。4/20取栓支架输送到位下图2;释放取栓支架下图3;取栓支架释放后造影血管未再通下图4。
等待5分钟后,部分回收微导管,钳夹血栓,上送中间导管,采用SWIM技术取栓,一次钳夹取出的暗红色血栓。复查造影见左侧小脑后下动脉完全再通。

等待5分钟后,部分回收微导管,钳夹血栓,上送中间导管,采用SWIM技术取栓,一次钳夹取出的暗红色血栓。复查造影见左侧小脑后下动脉完全再通。

术前术后对比

动态观察15分钟后,左侧小脑后下动脉血流通畅,右侧大脑后动脉远端血栓逐渐消融,持续静脉泵入替罗非班,逐级撤出各级导管,结束手术。
患者麻醉苏醒顺利,安返病房。术后查看患者意识清,言语清晰,四肢活动正常,头晕较前明显改善。继续给予内科药物治疗。次日复查CT未见出血转化,患者症状完全缓解。
结合患者病史,影像学及术中影像考虑患者栓塞可能性大,术后第3天完善TCD发泡试验可见心脏右向左大量分流,符合心源性反常栓塞特点,建议患者尽快完善经食道超声明确心脏情况,避免日后再发栓塞可能。
小结
1、本例患者中年男性,以头晕为首发表现,症状进展,过程中出现意识障碍,言语不清,但在搬动过程中意识部分好转,考虑术前判断的血栓骑跨发生移位可能。
2、小脑后下动脉走形迂曲,单独行支架取栓的报道较少,本例患者采用钳夹,SWIM技术取栓成功。
3、本例患者术后恢复良好,追查病因考虑心源性反常栓塞可能性大。
往期精选
作者简介
赵宝元 主任医师
武威市中医院 神经内科
主任医师。 武威市中医医院脑病科主任。甘肃省陇原人才,武威市中医院脑血管介入团队学科带头人,武威市脑血管介入与卒中早期康复创新工作班组组长。 从事神经内科工作20余年,曾在兰大二院进修神经内科和急诊,中国人民解放第940医院神经内科高级卒中中心、陆军军医大附属新桥医院高级卒中与介入中心学习脑血管介入。 任武威市老年病专业委员会主任委员、武威市中西医结合神经内科专业委员会副主任委员、武威市中西医结合眩晕专业委员会副主任委员、武威市神经内科学会常务委员、甘肃省脑血管专业委员会委员。 开展脑出血微创锥颅引流近500余例,经桡动脉脑血管造影500余例,开展急性脑梗塞血管内机械取栓,动、静脉桥接、颈内动脉狭窄、椎动脉狭窄、锁骨下动脉狭窄或闭塞的血管支架成形术。
声明:脑医汇旗下神外资讯、神介资讯、神内资讯、脑医咨询、Ai Brain 所发表内容之知识产权为脑医汇及主办方、原作者等相关权利人所有。





