
典型病例1 颈内动脉迂曲大脑中动脉急性闭塞取栓
病情简介:
患者yshl,女性, 77岁,半月前出现言语不利,左侧肢体无力,经外院住院后很快好转。
本次于晨8点出现言语不利,右侧上下肢无力,于14:00入院。核磁检查显示:左侧大脑中动脉区域点状梗塞灶,考虑低灌注。时间窗6小时,NIHSS评分8分。
评估:老年患者;反复出现言语不利、肢体无力,很快缓解;核磁检查显示点状梗塞灶。考虑:原位狭窄合并急性闭塞(ICAS病变)。

考虑ICAS可能性大,术前给予替罗非班负荷量。
术中造影显示:Ⅲ型弓,左侧颈内C1段迂曲呈V型,C3段迂曲,C6段迂曲成环状,M1段闭塞,未向远端供血。
术前血管通路评估:Ⅲ型弓,左侧颈内C1段迂曲呈V型,C3段迂曲,C6段迂曲
成环状。

难点:通路建设可能存在导引导管难以通过Ⅲ主动脉弓和C1段,支撑不到位。中间导管通过C3和C6段迂曲部位难以到达大脑中动脉接近闭塞部位。
介入过程:
泥鳅导丝携带单弯造影导管反复超选支撑颈总动脉,泥鳅导丝到达颈总动脉远端颈外动脉起到牵拉作用、跟进8Fguiding尝试建立血管通路,但因血管迂曲张力较大,出现心率从90次下降45次的迷走反射,迅速撤出8Fguiding患者心率恢复正常。通路建设失败。
130cmSIM2导管辅助6FGMAX长鞘同轴建立通路。将泥鳅导丝携带130cmSIM2造影导管超选颈总动脉,跟进SIM2导管到达颈总动脉远端、同轴将6FGMAX长鞘到达颈内动脉起始部,建立血管通路。
泥鳅导丝内芯支撑输送中间导管。通过GMAX长鞘,6F中间导管内通过C1段V型迂曲到达C1远端。泥鳅导丝在中间导管内不出头,中间导管边前行边跟进泥鳅导丝,中间导管到达C6段环状迂曲部位不能通过迂曲血管。
微导丝顺利到达M2段,但微导管通过艰涩,考虑狭窄明显。微导管到达M2后冒烟远端血管显影良好。释放4*20mm Solitaire™支架后推注替罗非班,保持10-15分钟造影血流显影,但狭窄明显。取栓一次后见M1远端狭窄明显.

再次将支架置于M1远端,在支架铆定下跟进中间导管越过了C6迂曲到达M1段,抽拉结合2次取栓。通过中间导管进行二次抽吸后造影显示:血管再通,M1远端仍有小节段狭窄,但血流达到3级。结束手术。

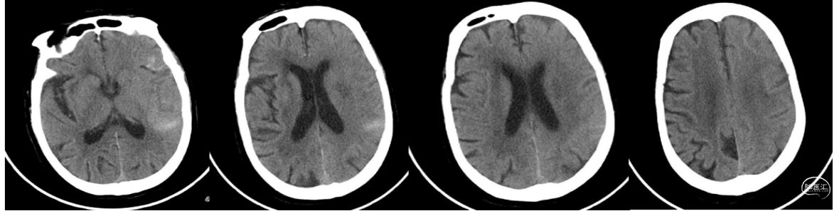
术后12小时患者意识清楚,言语含糊,右侧肢体肌力4级。复查CT:左侧大脑中动脉区域侧裂少量造影外渗。无出血,脑沟略平坦,中线正常。继续脱水脑保护治疗。

体会:
1.考虑ICAS病变术前给予替罗非班负荷量,有助于介入治疗防止再狭窄或闭塞。
1.老年患者血管路经迂曲,用长鞘有助于建立通路。在中间导管内泥鳅导丝不出头做为內芯支撑,有助于在迂曲血管内快前行到达颈内远端。
3.ICAS病变狭窄术中支架置入后不急于回拉,起到临时支架置入扩张支撑血管,使血流通畅,给予替罗非班推注再回拉支架。
4.术中减少滴注用量、减少不必要造影减轻血脑屏障渗透,有助于预后改善。
5、老年患者心肺功能差,减少术中滴注用量和造影剂用量,减低心肺负荷,避免出现并发症。
6、130-140cm sim导管联合长鞘有助于超选Ⅲ型主动脉弓辅助导引导管到达颈内动脉建立通路。
7、颈内动脉迂曲操作技术 老年患者常常颈内动脉迂曲呈V型、S型、甚至成环状改变。8Fguiding导引导管难以通过颈内动脉C1段迂曲部位,首选Nueron MAX 长鞘头端塑形后能够顺利通过迂曲段到达颈内动脉C2段高到位支撑。
ACE68或GT68抽吸导管根据血管迂曲塑形后内衬0.018in微导丝支撑前行通过迂曲血管到达大脑中动脉M1段,输送支架取栓或抽吸取栓。如果血栓负荷小,尽量选择5F中间导管或ACE60抽吸导管能够顺利通过迂曲血管建立通路。
环状迂曲血管操作技术要点:
建立通路和抽吸导管输送的插图。Nueron MAX长鞘开始应置于颈动脉360°环的近端,以避免发生颈动脉夹层(图1)。沿着微导丝-微导管-抽吸导管组成的三同轴系统,可使长鞘安全地沿360°环向远端推进,通过C1段环状迂曲部位,同时并不会强行改变这种血管迂曲的状态。随后在长鞘高到位支撑下容易将抽吸导管继续向M1段的血栓部位推进。下图。

往期精选
作者简介
赵宝元 主任医师
武威市中医院 神经内科
主任医师。 武威市中医医院脑病科主任。甘肃省陇原人才,武威市中医院脑血管介入团队学科带头人,武威市脑血管介入与卒中早期康复创新工作班组组长。 从事神经内科工作20余年,曾在兰大二院进修神经内科和急诊,中国人民解放第940医院神经内科高级卒中中心、陆军军医大附属新桥医院高级卒中与介入中心学习脑血管介入。 任武威市老年病专业委员会主任委员、武威市中西医结合神经内科专业委员会副主任委员、武威市中西医结合眩晕专业委员会副主任委员、武威市神经内科学会常务委员、甘肃省脑血管专业委员会委员。 开展脑出血微创锥颅引流近500余例,经桡动脉脑血管造影500余例,开展急性脑梗塞血管内机械取栓,动、静脉桥接、颈内动脉狭窄、椎动脉狭窄、锁骨下动脉狭窄或闭塞的血管支架成形术。
声明:脑医汇旗下神外资讯、神介资讯、神内资讯、脑医咨询、Ai Brain 所发表内容之知识产权为脑医汇及主办方、原作者等相关权利人所有。





