- 全部
- 神经介入
- 脑肿瘤
- 脑血管
- 功能
- 脊髓脊柱
- 创伤重症
- 小儿
- 神经内科
- 其他
-
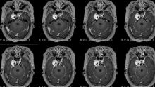
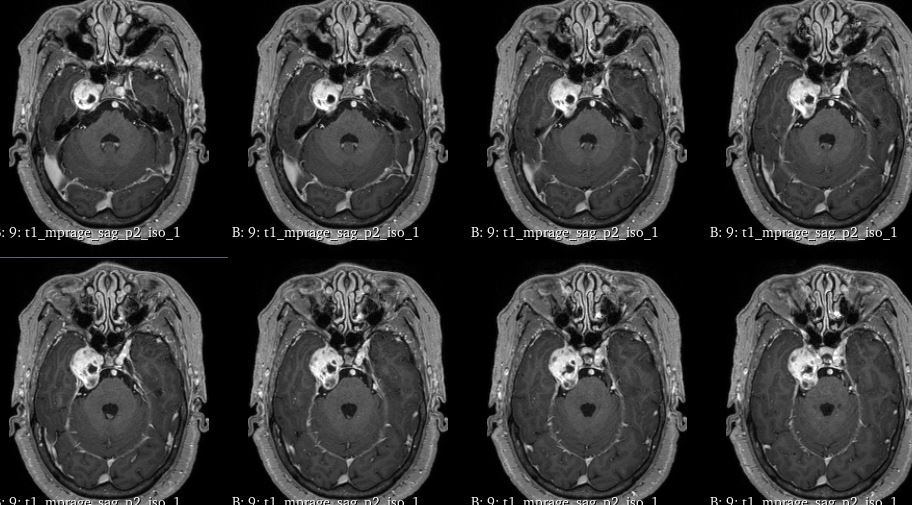
手术系列094:乙状窦后入路切除误诊为脑膜瘤的三叉神经鞘瘤
脑肿瘤-脑膜瘤

樊雁峰 关注
广东三九脑科医院昨天22:14 45阅读 0评论 1点赞 -
脑室双侧侧脑室加四脑室引流
神经内科-神经内科

雷敬 关注
桃源县人民医院前天12:47 56阅读 0评论 0点赞 -
“朝花夕拾”潍人医脑肿瘤之经典病例篇——神经内镜下经鼻经翼突入路切除麦氏囊三叉神经鞘瘤1例
脑肿瘤-神经鞘瘤

潍坊市人民医院神经外五科(神经肿瘤病区) 关注
潍坊市人民医院前天10:23 646阅读 1评论 3点赞 -
除了PEEK 钛网 本次用了超高分子量聚乙烯 颅骨修补
脑血管-烟雾病
脑血管-动脉瘤
脑血管-动静脉畸形
脑血管-硬脑膜动静脉瘘
脑血管-海绵状血管瘤/畸形
神经介入-其他
脑肿瘤-胶质瘤
脑肿瘤-脑转移瘤
脑肿瘤-脑膜瘤



卢云鹤 关注
上海蓝十字脑科医院/同济大学附属脑科医院前天10:10 54阅读 0评论 1点赞 -
左额叶-胼胝体肿瘤卒中 侵犯对侧额叶 急诊开颅切除 镜下全切
脑血管-烟雾病
脑血管-动脉瘤
脑血管-动静脉畸形
脑血管-硬脑膜动静脉瘘
脑血管-海绵状血管瘤/畸形
神经介入-其他
脑肿瘤-胶质瘤
脑肿瘤-脑转移瘤
脑肿瘤-脑膜瘤



卢云鹤 关注
上海蓝十字脑科医院/同济大学附属脑科医院前天10:07 76阅读 0评论 1点赞 -
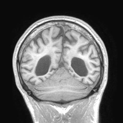
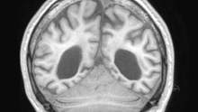
菱脑融合畸型
神经内科-神经内科


努力学English 关注
南充卫生学校2026年01月09日 23:58 20阅读 0评论 0点赞
- 1
- 2
- 3
- 4
- 5
- 6
- 7
- 8
- 1369









