• 首页
  • 资讯
  • 会议
  • 病例
  • 云课堂
  • 全景手术
    • 学术资源
      投审稿 文章专栏 指南共识 精选编译 科室主页 评分工具 文献速览 招聘培训 藏书阁 话题圈子 临床招募 手术复盘 器械百科 产业对接 AI问答
    • 亚专业
    • 医药器械
    更多
  • 关于我们
搜索历史
清空
热门搜索
      发布
      • 平台广播
        0
      • 今日早读
        0
      • 赞和收藏
        0
      • 评论
        0
      • 新增粉丝
        0
      • 品牌消息
        0
      • 邀请回答
        0
      • 周刊
        0
      登录
      EN
      OCIN LIVE·十万“伙”急丨急诊手术天天见

      OCIN LIVE·十万“伙”急丨急诊手术天天见

      阿尔茨海默病高危因素管理专家共识(2026版)

      阿尔茨海默病高危因素管理专家共识(2026版)

      【好书推荐】Surgical Atlas of Cerebral Gliomas(《脑胶质瘤手术图谱》英文版)

      【好书推荐】Surgical Atlas of Cerebral Gliomas(《脑胶质瘤手术图谱》英文版)

      颅内分叉部宽颈动脉瘤介入治疗专家共识(2026版)

      颅内分叉部宽颈动脉瘤介入治疗专家共识(2026版)

      山东省疼痛医学会第二届肿瘤放射治疗专业委员会第五次学术会议

      山东省疼痛医学会第二届肿瘤放射治疗专业委员会第五次学术会议

        2025环湖国际脑机接口与神经系统疾病智能诊疗学术大会

        2025环湖国际脑机接口与神经系统疾病智能诊疗学术大会

        脑科产业对接平台

        脑科产业对接平台

        脑医汇LINK系统客户端下载

        脑医汇LINK系统客户端下载

         Surpass Evolve血流导向密网支架

        Surpass Evolve血流导向密网支架

        最新资讯
        查看更多
        【最AI新技术】球囊辅助栓塞+T型支架置入——未破裂小脑上动脉动脉瘤治疗新策略
        【最AI新技术】球囊辅助栓塞+T型支架置入——未破裂小脑上动脉动脉瘤治疗新策略
        脑医专题汇 今天16:58
        【3月18日17:00直播(附AI双语字幕)】ACNS-FHU Bantane IVR Web Seminar,国际神经外科教育与培训系列网课
        【3月18日17:00直播(附AI双语字幕)】ACNS-FHU Bantane IVR Web Seminar,国际神经外科教育与培训系列网课

        Joanna Pearly Ti等3位作者

        今天11:22

        【3月15日17:00直播(附AI双语字幕)】ACNS WIN WEBINAR,国际神经外科教育与培训系列网课
        【3月15日17:00直播(附AI双语字幕)】ACNS WIN WEBINAR,国际神经外科教育与培训系列网课

        Kenji Ohata等3位作者

        今天11:15

        【3月14日20:30直播(附AI双语字幕)】DC疫苗治疗胶质母细胞瘤的获益、新机制、新证据与新技术/后颅窝病变的入路选择与手术规划,国际神经外科教育与培训系列网课
        【3月14日20:30直播(附AI双语字幕)】DC疫苗治疗胶质母细胞瘤的获益、新机制、新证据与新技术/后颅窝病变的入路选择与手术规划,国际神经外科教育与培训系列网课

        姚瑜等3位作者

        今天11:07

        最新病例
        查看更多
        【全景手术讲解】AXS Vecta 46抽吸导管用于左侧大脑中动脉M2下干分支MeVO取栓治疗
        【全景手术讲解】AXS Vecta 46抽吸导管用于左侧大脑中动脉M2下干分支MeVO取栓治疗
        汪阳
        贾建文

        汪阳等2位作者

        昨天18:11

        艾柯·AIS|赵彦新教授、周家龙教授:Grism取栓支架治疗右侧前循环大负荷血栓1例
        艾柯·AIS|赵彦新教授、周家龙教授:Grism取栓支架治疗右侧前循环大负荷血栓1例
        赵彦新
        周家龙

        赵彦新等2位作者

        前天18:09

        【见微知著】LVIS™ JR治疗大脑中动脉分支动脉瘤——河北省人民医院
        【见微知著】LVIS™ JR治疗大脑中动脉分支动脉瘤——河北省人民医院
        徐国栋
        姚文涛

        徐国栋等2位作者

        前天18:08

        【“佟”话脑血运】佟志勇教授:大脑中动脉M1中段解离性动脉瘤的外科治疗策略
        【“佟”话脑血运】佟志勇教授:大脑中动脉M1中段解离性动脉瘤的外科治疗策略
        佟志勇

        佟志勇

        前天14:14

        探囊取物|周志亮、吴攀:BASIS技术成功在急性基底动脉闭塞合并原位狭窄开通一例
        探囊取物|周志亮、吴攀:BASIS技术成功在急性基底动脉闭塞合并原位狭窄开通一例
        周志亮
        吴攀

        周志亮等2位作者

        2026年03月09日 17:59

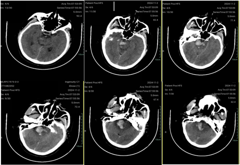
        颅脑外伤脑池造瘘一例
        颅脑外伤脑池造瘘一例
        李起超

        李起超

        2026年03月07日 13:05

        精选课程
        查看更多
        亚专业
        脑肿瘤 脑血管 神经介入 功能 脊髓脊柱 创伤重症 小儿 神经内科 其他
        学术资源
        投审稿 文章专栏 指南共识 精选编译 科室主页 评分工具 文献速览 招聘培训 藏书阁 话题圈子 临床招募 手术复盘 器械百科 产业对接 AI问答
        • 关于我们
        • 联系我们
        • 加入我们
        • 版权声明
        • 免责条款
        • 隐私保护

        Copyright © 2014-2025 Brainmed All Rights Reserved.

        沪ICP备14035871号-3 | 沪网审 [2014-08-26] 版权归属上海脑医汇数字科技有限公司

        沪公网安备 31011202014644号

        brainmed-logo
        brainmed-logo
        brainmed-logo
        brainmed-logo
        brainmed-logo
        brainmed-logo

        脑医汇 App

        LINK

        客户端下载