原作出处:Dincer A, Snyder MH, Burke SM, Arkun K, Heilman CB, Wu JK, Malek AM. Stent Retriever and Aspiration Catheter Biopsy of an Intraluminal Transverse Sinus Meningioma: Case Report. Oper Neurosurg. 2025 Dec 1;29(6):888-894. doi: 10.1227/ons.0000000000001580. Epub 2025 Apr 21. PMID: 40257248.
以下为AI解读,仅供参考。

1. 针对颅内静脉窦腔内占位性病变,尤其经抗凝治疗后仍快速生长、无法区分血栓与肿瘤的病例,可优先选择该微创活检技术。
2. 替代传统开颅活检,适用于开颅风险较高的静脉窦区域病变——尤其是静脉窦走行迂曲、活检钳难以到位的病例,降低窦壁损伤、术后出血及静脉梗死等并发症风险。1. 术前评估
● 术前需完善静脉期数字减影血管造影(DSA)+3D锥形束CT,明确病变位置、范围及血供情况。
● 本例病变位于上矢状窦远端至右横窦,抗凝治疗后仍持续增大。
✔ 患者为成年女性,但幼年时期曾患髓母细胞瘤,接受过颅脊髓放疗和化疗。
✔ 病变初始大小:2.2cm(类似其他脑膜瘤表现);3个月后:增长至5.5cm;抗凝治疗4个月后:仍持续进展并延伸至右横窦。


2. 器械配置(核心清单)

(1)经股静脉入路,将导引导管置于颈静脉球水平,微导管+抽吸导管送至病变界面。

(2)启动真空泵抽吸,经Telfa敷料垫过滤抽吸物,判断是否有诊断价值(本例无)。

(3)经微导管输送Solitaire X支架取栓器,穿越病变后缓慢回撤,利用支架剪切力捕获组织。

(4)术后即刻行血管造影+锥形束CT,确认无血管损伤、对比剂外渗。
✔ 术后立即进行血管造影+锥形束CT,本例证实:无动静脉损伤、病变大小形态无改变。
✔ 上述细节很重要,说明操作未导致肿瘤碎裂脱落或静脉窦闭塞。

(5)将携带组织的支架福尔马林固定送检,抽吸物同步送检。

1. 支架选择依据:Solitaire X支架的闭合网孔设计+纵向开槽,可增加与病变组织的接触面积和剪切力,径向力+剪切力的共同作用使支架能“刮取”质地较硬的肿瘤组织——这是单纯抽吸无法完成的,可以提升组织捕获效率,是获得诊断标本的核心。
2. 操作优化建议:建议实施多轮次支架回撤操作,增加组织与支架网眼的接触机会;不推荐使用Telfa敷料垫过滤,避免标本丢失或干扰诊断(可能引入非诊断性污染——如泡沫样血栓组织混杂)。
3. 标本优先级:支架取栓器上附着的组织是诊断关键,抽吸导管获取的组织无诊断意义,需重点送检支架上的标本。1. 围手术期无血管损伤、出血、梗死等并发症,患者耐受良好。
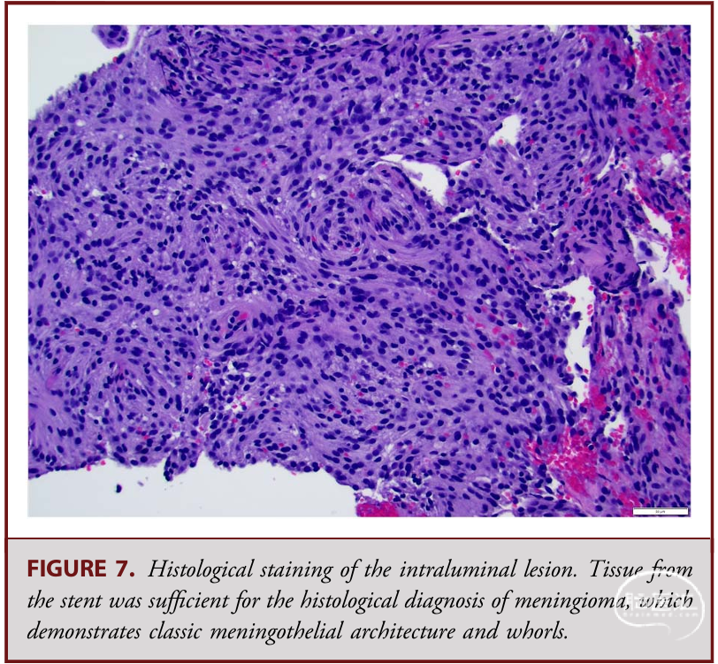
2. 病理确诊为WHO I级脑膜瘤,后续行伽马刀治疗,短期随访无神经功能缺损。1. 单病例报告,缺乏大样本验证,需进一步研究长期安全性,如肿瘤碎裂、远处转移风险。
2. 未与其他血管内活检技术(如活检钳)对比,不同质地病变的器械选择需个体化。
3. 技术拓展价值:可借鉴该思路,将取栓器械用于其他颅内血管腔内实性占位的微创活检。
![]()
声明:脑医汇旗下神外资讯、神介资讯、脑医咨询、Ai Brain 所发表内容之知识产权为脑医汇及主办方、原作者等相关权利人所有。
投稿邮箱:NAOYIHUI@163.com
未经许可,禁止进行转载、摘编、复制、裁切、录制等。经许可授权使用,亦须注明来源。欢迎转发、分享。
投稿/会议发布,请联系400-888-2526转3。




