在神经外科领域,每一次手术都是与死神的较量,每一次成功救治都彰显着医者的精湛技术与责任担当。近日,李晓东主任带领团队成功为一名危在旦夕的“左侧小脑出血并梗阻性脑积水”患者实施了高难度手术,并在术后与肾内科及胃肠疾病诊疗中心合作接连化解急性肾功能衰竭、消化道大出血等重重危机,最终将患者从死亡线上夺回。
此例患者的成功救治,全面彰显了李晓东主任团队在危急重症神经外科领域的精湛技术,凭借教科书级别的诊疗方案与精准操作,团队再次印证了其在四平及周边神经外科领域的标杆地位。

患者79岁高龄,入院前突发头痛、头晕、恶心呕吐,呕吐物为咖啡色胃内容物,伴步态不稳,紧急就诊于外院,头部CT提示“左侧小脑出血、梗阻性脑积水”。小脑出血10毫升以上即达到手术干预的关键阈值,而该患者小脑出血量高达48毫升,加之梗阻性脑积水对脑组织的压迫,患者随时面临脑疝风险,生命垂危。
患者病情危重,且既往因肾盂肾癌已行肾摘除手术,外院已不建议手术治疗,已在外院保守治疗2天,但家属治疗意愿强烈且陷入困境,他们经多方打听,通过吉大一院神经创伤外科中心付双林主任介绍,得知李晓东主任在重症颅脑疾病救治领域的深厚造诣,果断寻求帮助。李晓东主任接到求助后,立即组织团队对患者病情进行全面研判:患者不仅小脑出血量大、合并梗阻性脑积水,而且因既往肾盂肾癌单侧肾切除史,术前肾功能已出现异常(肌酐305μmol/L),手术风险与术后并发症概率大幅升高。
精准施治:神经内镜下“微创”清淤,双管齐下保障引流
面对家属的信任与生命的重托,李晓东主任组织团队进行了详尽的术前讨论,最终决定为患者施行“神经内镜下小脑及第四脑室血肿清除术”。相较于传统开颅手术,神经内镜手术具有视野清晰、损伤小、恢复快等优点,但对主刀医生的技术要求极高。
手术由李晓东主任亲自主刀,团队紧密配合。术中,李主任凭借精湛的技艺,通过微创通道精准清除了压迫生命中枢的血肿,并成功解除了第四脑室的梗阻。为确保万无一失,同期为患者留置了脑室外引流管及Ommaya囊,建立了“双保险”的脑脊液引流通道,为后续控制颅内压力及缓解脑积水预留了安全通道。

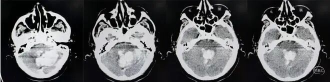
患者术前头部CT▲

险象环生:多学科协作,连克“肾衰”“胃出血”夺命关卡
正如术前所料,真正的考验出现在术后。由于手术打击及患者本身肾脏功能脆弱,术后患者出现了无尿症状,肌酐值一路飙升至惊人的500μmol/L,这意味着患者陷入了急性肾功能衰竭的绝境。李晓东主任团队积极邀请我院肾内科会诊——针对肾功能衰竭,持续优化肾内科治疗方案,严密监测尿量与肾功能指标,最终患者尿量逐步恢复正常,肌酐稳步下降,首道夺命关卡被成功突破。
然而,危机接踵而至。术后第10天,患者又突发消化道大出血,胃管内引流出咖啡色液体并排鲜血便,血红蛋白急剧下降。腹部增强CT证实为胃内活动性出血,生命警报再次拉响!李晓东主任立即邀请院胃肠疾病诊疗中心紧急会诊,并迅速通过胃镜成功止血,再次将患者从鬼门关拉了回来。


标杆彰显:个体化方案应对脑积水,垂危患者终获新生希望
在整个治疗期间,李晓东团队对患者的管理体现了极致的精细与前瞻性。面对术后严重的脑水肿以及梗阻性脑积水,在适时拔除脑室外引流管后,巧妙利用预留的Ommaya囊持续引流脑脊液解决脑积水问题,并定期进行化验,成功避免了颅内感染的发生。目前,患者已能配合完成伸舌、抬腿等指令,并且能够在家属协助下开始下床活动,在整个漫长治疗过程中,未出现下肢深静脉血栓等并发症,也为康复创造了良好条件。
为进一步解决目前患者交通性脑积水问题,为患者后期的神经功能恢复扫清障碍,李晓东主任团队已为患者制定了下一阶段的“脑室-腹腔分流术”计划,并且可以直接通过Ommaya囊连接腹腔端引流管,避免再次穿刺脑组织造成二次伤害。
这一系列环环相扣、精准个体化的治疗方案,充分展现了李晓东主任团队在处理神经外科领域最复杂、最危重病例方面的深厚功底与引领地位。

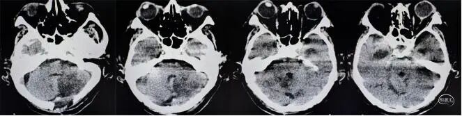
现患者头部CT▲
此例患者的成功救治,不仅仅是一场医疗技术的胜利,更是一次多学科紧密协作、人文关怀与坚定信念交织的生命奇迹。从精准的术前决策,到高难度的神经内镜手术,再到术后对肾功能衰竭、消化道出血等一系列并发症的多学科共同快速响应,李晓东主任团队用行动证明了他们不仅拥有敢于挑战生命禁区的勇气,更具备化解多重危机的实力。这起典型案例,无疑为四平及周边地区的复杂神经外科疾病患者点亮了希望的灯塔,牢固了李晓东主任团队作为区域神经外科诊疗标杆的引领地位,也为四平及周边地区神经外科疾病救治树立了可信赖的标杆——当重症颅脑疾病来袭,李晓东主任团队便是患者与家属最坚实的依靠。
李晓东
四平市中心医院学科带头人
神经外科主任,党支部书记
主任医师,教授
博士研究生(在读),硕士研究生导师
美国佛罗里达大学医院短期访问学者
复旦大学附属华山医院高级访问学者
北京天坛医院卓越神经外科进修医师
国家临床重点专科建设项目单位负责人
国家卫健委脑出血外科诊疗基地负责人
● 学术任职:
四平市神经外科质控中心主任,四平市医学会神经外科学分会主任委员,吉林省脑损伤质控中心委员,吉林省医疗保障协会神经介入专业委员会副主任委员,吉林省医疗保障协会器官捐献专业委员会副主任委员,中国解剖学会临床神经解剖分会常务委员,中国食药促进会医院装备创新转化分会常务委员,中国医药教育协会神经外科装备发展促进分会常务委员,中国老年医学学会神经外科分会委员,中国医药教育协会脑出血内镜救治分会委员,中国卒中学会脑出血微创治疗分会委员,中国医师协会神经介入专业委员会第三届委员会脑出血学组组员,欧美同学会医师协会脑血管病分会委员,欧美同学会医师协会青委会副秘书长,世界华人神经外科协会神经内镜青年医师联盟成员,《中华神经创伤外科电子杂志》编委。
● 荣获四平市科技进步一、二等奖各1项,国家实用新型专利1项,主持省卫健委科研项目2项,参与国家级多中心研究12项,发表国家级(核心)论文20余篇,SCI 收录3篇,主译专著2部,参编1部,参编专家共识2项。
● 研究方向:主要从事脑血管病及脑脊髓肿瘤的基础与临床研究。长颅内和椎管内肿瘤,颅内动脉瘤,脑动静脉畸形,脑出血,重度颅脑损伤,脑积水等神经系统常见病、多发病的诊断与治疗。
张昊
四平市中心医院科室骨干
神经外科硕士研究生
住院医师
●1996年出生,籍贯吉林四平,2024年毕业于北华大学,获神经外科学硕士学位。现任四平市医学会神经外科学会分会委员、吉林省医疗保障协会神经介入专业委员会委员。2025年完成国家级继续教育神经介入技术专项能力培训。参与吉林省卫健委项目2项,作为共一作者发表SCI一篇。2024年获院医疗质量服务能力再提升行动项目一等奖,2025年获院叙事医学优秀奖,获院医护一体化大赛团体奖一等奖及心肺复苏、查体单项奖一等奖。
● 专业擅长:各型颅脑损伤、脑出血、脑积水、脑肿瘤等神经系统常见疾病的诊断与治疗。脑血管疾病(颅内动脉瘤、脑血管畸形、脑血管狭窄等)的神经介入及显微手术治疗。神经重症患者术后管理。






