
神经外科是一个发展迅速、不断创新的学科。
为了更好地促进神经外科交流合作,推动新治疗方法和技术的研发应用,迈普医学特别筹办“神医妙术—修复关颅解决方案病例征集项目”,以“脑脊液漏规范化管理”和“PEEK颅骨修复规范化管理”为主题征集相关手术病例,为临床研究和医学教育提供宝贵资料,助力学科发展。

病史资料
男性,28岁。
■ 主诉:车祸致意识不清40天。
■ 现病史:患者40天前因车祸致意识不清,于当地医院行手术治疗,术后仍昏迷不醒,家属为求进一步治疗转至我科。
■ 既往史:无特殊。


■ 查体:浅昏迷,GCS7T(E3VTM4),CRS-R 6分(MCS-),双侧瞳孔4mm,对光反射迟钝,气管切开状态,右上肢肌张力高,发作性震颤,右侧病理征阳性,体温37.0℃。
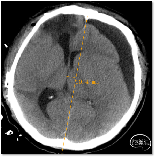
■ 检查:CT:颅骨缺损,左侧硬膜下积液,左侧脑室受压,中线右移;脑电:Synek分级-I级;SEP:N20电位存在。



■ 主要诊断:脑外伤后遗症,左侧硬膜下积液,手术后颅骨缺失,慢性意识障碍。
■ 主要治疗目标:恢复中线结构及脑组织移位情况,解除脑干受压。
■ 次要治疗目标:改善神经功能。

病史概述






病情评估及治疗计划——病情分析


蛛网膜损伤、颅内压失衡为形成硬膜下积液的主要原因
治疗方法



颅骨修补显著改善脑血流灌注



颅骨修补可能通过重建上行网状激活系统促进意识障碍恢复



颅骨成形术为首选治疗方案
治疗难点

患者脑彭出明显,是否需先处理硬膜下积液?
治疗方法

■ 推荐在确定性脑脊液分流术前进行颅骨成形术,这有助于恢复完整的颅内系统
■ 颅骨修补术可促进脑脊液恢复正常生理状态,并有可能避免实施脑脊液分流术
■ 分期行颅骨成型术、脑积水引流术感染并发症发生率低于同期手术
解决思路

解决方式——“阶梯式升压”

术前准备
■ 全身情况
■ 头皮、切口情况
■ 骨窗塌陷情况
术前准备——修补材料选择

PEEK 颅骨修补术后总体并发症发生率低于接受钛网治疗的患者。

术前准备

■ 根据CT三维重建制作假体
■ 根据颅骨厚度选择连接片位置
■ 眉弓上方需选择可塑形金属连接片
手术过程


■ 取原手术切口,充分保护血供
■ 电刀功率限制在10-15瓦以内
■ 尽可能保证脑膜完整性
■ 充分悬吊脑膜
■ 尽可能完整分离颞肌
■ 修整血供不佳皮缘

点击上方二维码查看手术视频




分离完成,骨窗膨隆,甘露醇团注后塌陷不明显,给予过度通气治疗,骨窗膨隆较前好转


丝线悬吊脑膜至假体上,连接片固定假体,逐次缝合颞肌,帽状键膜及头皮,手术完成

术后管理
■ 充分引流
■ 密切观察引流量,评估拔管时间
■ 修复侧侧卧一周,防止皮下积液
■ 加强营养,促进伤后愈合
术后第2天情况


■ 查体:浅昏迷,GCS7T(E3VTM4),CRS-R 8分(MCS-),双侧瞳孔4mm,对光反射迟钝,右上肢肌正常,未见痉挛、震颤等。
术后情况

术前

术后第二天

术后第七天



硬膜下积液明显减少,中线移位情况明显改善,患者出院

总结体会


专家简介
田博
空军军医大学唐都医院
主治医师
陕西省保健学会急诊与创伤委员会委员、陕西省红十字基金会医疗专机胺委员会委员、陕西中西医结合学会神经重症专委会委员
主要负责神经外科危重症患者临床救治工作,对于颅脑创伤、脑出血等神经重症患者的诊疗和手术有着丰富的临床经验和救治理念
发表SCI 2篇,发明型专利1项,参开展与医院新技术新业务1项

声明:脑医汇旗下神外资讯、神介资讯、神内资讯、脑医咨询、Ai Brain 所发表内容之知识产权为脑医汇及主办方、原作者等相关权利人所有。





