▶小径输送
直径≤3mm的支架可经其017微导管输送系统释放,轻松达到小血管病变
▶贴壁随形
Thermal Blue热处理技术加持,提升径向支撑力,随血管形状贴壁
▶闭合头端
一体化编制闭合头端,减少血管壁损伤,降低术后并发症,保证支架头端从输送系统中顺利打开
▶更全规格,2.0-6.5mm直径,10-55mm长度
给术者提供更多选择
陕西首秀 | 强易达(Choydar)血流导向密网支架治疗左侧小脑后下动脉瘤
患者:女,49岁。
主诉:以“头晕伴发现颅内动脉瘤2天”于2025.02.28 11:17门诊诊断“颅内动脉瘤”收入我科。
现病史:2天前无明显诱因出现头晕,视物旋转,无头痛、恶心、呕吐;无耳鸣、心慌、胸闷;无四肢无力、麻木、四肢抽搐及大小便失禁,就诊西安华山医院,行头颈部CTA提示:1.左侧小脑后下动脉瘤;2.双侧椎动脉、颈总动脉及颈内动脉未见明显异常征象,后就诊唐都医院并建议手术治疗,今患者及家属为行手术,特来我院就诊,门诊检查后以“颅内动脉瘤”收住我科。病程中神志清,精神良好,饮食良好,夜休一般,大小便正常。
既往病史:“高血压、睡眠障碍”病史。
查体:体温 36.6℃,脉搏 78次/分,呼吸 18次/分,血压 136/100mmHg。神志清,精神良好,言语清晰、流利,对答切题,查体合作,头颅无畸形。双侧瞳孔等大等圆,直径约3.0mm,对光反射均灵敏。双眼球各方向运动自如;双侧额纹存在,鼻唇沟双侧对称,示齿口角无偏斜,鼓腮无漏气;双耳听力正常。颈软,双肺呼吸音粗,未闻及干湿性啰音,心率78次/分,律齐,未闻及病理性杂音,腹软,无压痛、反跳痛。肠鸣音正常,四肢肌力5级,肌张力正常,双侧Babinski征(-)。
辅助检查:CTA:1.左侧小脑后下动脉瘤;2.双侧椎动脉、颈总动脉及颈内动脉未见明显异常征象。
术前诊断:左侧小脑后下动脉瘤;高血压1级(低危)。
手术预案:脑血管造影术+密网支架植入术(血流导向装置)。
麻醉方式:全麻
· 强易达Choydar血流导向装置 FD200-20
常规消毒铺巾,采用Seldinger穿刺右侧股动脉穿刺,置入8F血管鞘,进行全脑血管造影。左侧颈内动脉造影未见明显异常;右侧颈内动脉正侧位造影显示右侧颈内、大脑中动脉、大脑前动脉未见明显狭窄及闭塞;左侧椎动脉正侧位造影见左侧小脑后下动脉瘤;右侧椎动脉造影未见血管闭塞及狭窄。3D造影检查显示动脉瘤大小为0.5mm*0.45mm。
在泥鳅导丝引导下,同轴将远端通路导管输送到左椎V1段,撤出泥鳅导丝,选择工作角度后,再次入路造影。
在微导丝引导下,将血流导向密网支架专用微导管缓慢顺利通过左侧小脑后下动脉瘤,放入动脉瘤远端,撤出微导丝,再次手推造影确认真腔。
将血流导向密网支架经微导管同轴通过动脉瘤,缓慢撤微导管释放血流导向密网支架,全程放完后,再次造影确定支架内血流通畅。
再次行全脑血管造影,见血流灌注良好、通畅,退出导管。
用封堵止血系统封堵止血并拔除血管鞘,继续按压15分钟左右观察血压、穿刺部位处无血肿、渗出,术毕。术后患者麻醉清醒后,言语及四肢活动正常,复查完头颅CT后返回神经外科监护室继续治疗。
强易达(Choydar)血流导向密网支架治疗颅内动脉瘤
患者:女,66岁。
主诉:检查发现颅内动脉瘤6天。
现病史:6天前,患者于当地医院检查颉脑MRI平扫+MRA提示多发腔梗、大脑前动脉动脉瘤,期间否认头痛、头晕及恶心、呕吐不适症状。以“大脑前动脉瘤”收入我科,门诊已完善血液化验、心电图、心脏彩超及胸部CT等检查,以“颅内动脉瘤”收入我科。
既往病史:高血压病10余年,血压最高180/100mmHg,口服“替米沙坦片”,血压控制可。
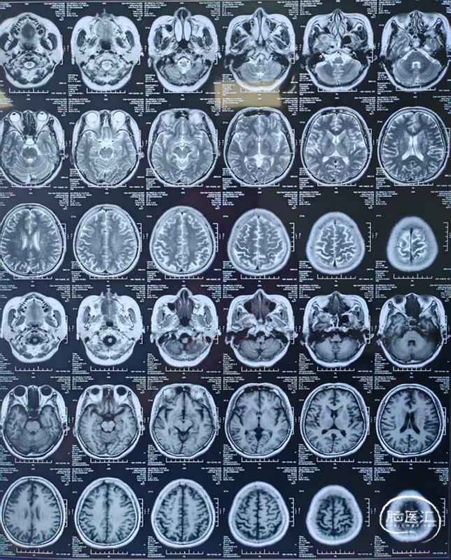
颅脑MRI+MRA




术前DSA
<<左右滑动 查看更多>>
治疗方案:密网支架置入术。
· 强易达Choydar血流导向装置 FD300-25
· 强易达Choydar血流导向装置 FD300-30
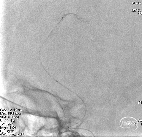
微导丝超选
支架输送到位
支架头中端释放
支架中近端释放

支架完全释放,回收导丝
支架内按摩
微导丝再次超选
支架二次头端和中段释放
支架二次近端释放
支架再次调整完全释放及推送回收导丝
术后正侧位造影显示支架贴壁良好,血管重塑满意,血流改善明显。





· 国内首个可经0.017''管径释放密网支架,为远端动脉瘤治疗带来新选择。
· 独特热处理技术(Thermal Blue)带来优异的贴壁性。
· 释放操作简单,无需过多推挤,显影清晰。
· 2.0-6.5mm直径,10-55mm长度,给术者提供更多选择。
邓剑平
空军军医大学唐都医院
神经外科副主任,副主任医师,博士学位,硕士研究生导师
中国医师协会神经介入分会副主任委员
中国医师协会神经介入专业委员会常委
中国卒中学会神经介入分会常委
陕西医师协会神经介入专业委员会副主任委员
主持国家自然科学基金一项,陕西省级课题三项,发表论文十余篇
主要从事脑血管病的介入和手术治疗相关的工作,能够同时完成出血性脑血管病和缺血性脑血管的介入和手术治疗等
扫描左侧二维码
进入畅医达品牌专区

声明:脑医汇旗下神外资讯、神介资讯、脑医咨询、Ai Brain 所发表内容之知识产权为脑医汇及主办方、原作者等相关权利人所有。
投稿邮箱:NAOYIHUI@163.com
未经许可,禁止进行转载、摘编、复制、裁切、录制等。经许可授权使用,亦须注明来源。欢迎转发、分享。
投稿/会议发布,请联系400-888-2526转3。