本文来源于公众号:神经内科及重症医学文献学习
可逆性后部脑病综合征(PRES)是一种急性或亚急性脑病综合征,其主要表现为头痛、意识改变、癫痫发作或各种形式组合的视觉障碍。此综合征通常发生在急性、重度高血压或中度但血压骤然升高超出患者的耐受范围,或暴露于某些药物和有毒物质(主要是化疗药物和免疫抑制剂)的患者中。药物和毒性暴露都可能与脑血管功能失调或内皮功能障碍有关。神经影像学上最常见的异常表现是枕叶脑白质血管源性水肿,有时发生在相邻的顶叶脑白质。如果及时发现PRES并找出其根本原因,大多数患者都会康复。
Hinchey等人在早期描述了一系列的PRES病例,15例急性神经功能缺损患者在2周内缓解。随后的许多文章描述了各种临床特征,特别是除昏迷或视觉缺陷外的局灶性神经缺陷(如下所述)、各种诱发的因素、神经影像学发现、神经功能缺陷持续时间和死亡的结果。虽然临床实践中经常使用“PRES”,但这个术语不能涵盖这种疾病的所有特征,所以正如Hinchey等人的文章所描述的那样,也经常使用包括可逆性后部脑白质病变等术语来诊断。

流行病学
一直很难确定PRES在普通人群中的发病率,但据报道在选定的人群中,终末期肾病患者的发病率为0.8%,系统性红斑狼疮患者约为0.7%,接受过实体器官移植的患者为0.5%,先兆子痫或子痫患者为20.0%-98.0%。在类似选择的儿童群体中,发病率估计为0.04%。病例系列表明PRES可发生在所有年龄段,但在青年和中年人群中发病率最高,女性发病率比男性高。在一项基于全国住院患者样本的研究中,635名入院诊断为PRES的患者的平均年龄为57岁,72%为女性,68%为白人。

临床特征
PRES最突出的典型特征(高达94%的患者)是难以描述的神经功能缺损,症状表现可从轻度意识模糊到昏迷不等。在多达一半的病例中表现为逐渐进展的钝性和弥漫性头痛,但偶尔也可能是突然发生的“雷击样”头痛。大约四分之三的患者在PRES病程的某个时间段发生部分或全身性癫痫发作。癫痫发作只是偶尔的初始特征,高达18%的患者可能发展为癫痫持续状态。20%~39%的患者有明显的视觉异常,表现为视力模糊下降、视野缺损、忽视、幻觉或失明。不常见的临床表现包括局灶性轻瘫、共济失调、反射亢进和脊髓症状。在一个涉及635例患者的回顾性病例系列中,一半的患者最初表现为癫痫发作,五分之一的患者表现为视力下降或言语困难。


神经影像学
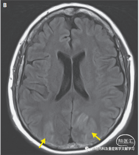
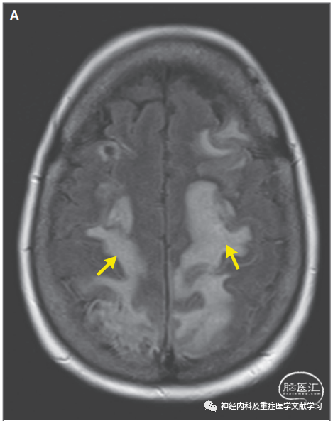
神经影像学是诊断PRES的核心标准。颅脑非增强断层扫描(CT)检查可以发现双侧后循环供血区域明显脑水肿。液体衰减反转恢复和t2加权序列对血管源性水肿更敏感,所以RES影像学诊断磁共振成像(MRI)比CT更准确。MRI信号改变主要发生在双侧枕叶的脑白质区(图1),但也有单侧或灰质受累及其他异常的报道。
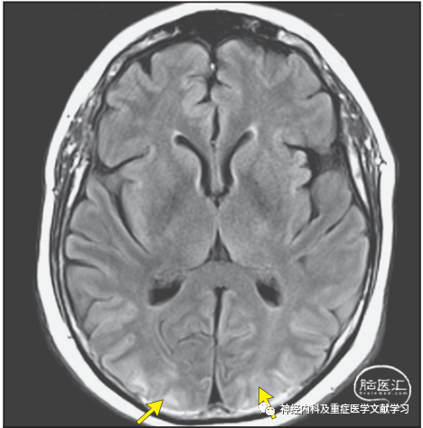
58岁男性,急性重度高血压、恶心、呕吐和精神状态改变入院。颅脑磁共振成像(MRI)轴向液体衰减反转恢复(FLAIR)扫描显示主要在双侧枕叶的皮层下和皮层高信号(箭头)。病变区域的弥散加权图像(未示出)正常。颅脑CT可能不像MRI那么明显。
不同的病例系列描述了顶枕区域(65%至99%的病例)、额叶(54%至88%)、颞叶(68%)、丘脑区域(30%)、小脑区域(34%至53%)、脑干区域区(18%至27%)和基底节区域(12%至34%)的影像学异常。MRI上的其他异常表现是枕后和顶叶区域同时出现信号变化(22%的患者),双侧半球分水岭(主要血管末端区域供应的区域)(23%)(图2),额上回(27%)以及这些异常的混合表现(28%)(图3)。非典型影像学改变可能涉及小脑半球(图4)。在出现症状数周至数月后进行神经影像学随访的病例系列显示66%至70%的病例MRI异常得到缓解。
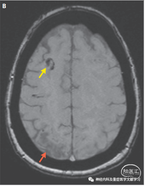
图2 双侧大脑半球分水岭区域PRES患者的影像学改变。
一名有卒中病史的63岁女性,以新发癫痫发作和精神状态下降为主诉入院。图A中患者轴向颅脑MRI FLAIR序列显示双侧大脑半球分水岭区域脑白质高信号(箭头)。图B中轴向磁敏感加权图像显示a图所示受累区域内有一小块出血区域(黄色箭头)。红色箭头表示顶叶内侧区域既往卒中引起的脑软化灶,但这一发现与PRES无关。
图3 累及多脑叶PRES患者的影像学改变。
一名因慢性淋巴细胞淋巴瘤接受免疫抑制治疗58岁男性,主因嗜睡和癫痫发作入院。图A患者颅脑MRI FLAIR轴向图像显示右侧额叶有细微的脑白质信号改变(箭头)。B图2天后的MRI扫描显示累及枕叶和顶叶内侧区域的新发FLAIR高信号(箭头)。
图4PRES患者非典型影像学改变
一名57岁的男子在肾移植后患有多灶性肌阵挛、2019冠状病毒病和慢性肾脏疾病,目前正在接受免疫抑制治疗。图A显示患者颅脑轴向MRI FLAIR图像,小脑半球弥漫性融合信号改变(箭头)。B图为弥散加权图像,这些区域的信号变化不对称。表观扩散系数图像(C组)未显示这些区域的变化,提示脑组织没有梗死。
在极端情况下神经影像学上可以看到的异常包括伴占位效应的大容量脑水肿和小脑幕切迹疝。偶尔MRI表现为出血,弥散受限异常(通常为局部或单侧),水肿区增强。全脑血管造影、MRI或CT血管造影可显示弥漫性或局灶性血管收缩伴血管扩张(“串珠状”)改变,但这些改变在许多与PRES相关的病理条件下也很常见,也可能独立于该综合征发生。

鉴别诊断
PRES的鉴别诊断包括脑梗死,特别是后循环或分水岭卒中、中枢神经系统(CNS)感染、脱髓鞘疾病、脑癌、硬脑膜静脉窦血栓形成、中枢神经系统血管炎、中毒性脑病和线粒体疾病。如前文所述,一些脑血管失调综合征,特别是可逆性脑血管收缩综合征,存在不规则的节段性脑血管可能与PRES重叠。对患者的病史、脑成像、血液和尿液以及脑脊液研究的评估-尤其是对患有极端和突发高血压的患者或存在已知药物诱发因素的患者-有助于完善鉴别诊断。


治疗
及时控制PRES的诱发因素和支持性治疗对于获得良好的结果是必不可少的(表1和2)。高达70%的PRES患者,特别是那些患有严重高血压、意识水平下降或癫痫发作的患者需要在重症监护室(ICU)接受治疗。PRES的治疗主要是为了降低血压及管理癫痫发作、脑水肿和意识状态;停止或替代可能诱发发作的药物(例如化疗药物)。一小部分发病时昏迷、颅内压升高、广泛的脑水肿和脑疝综合征PRES的患者称为“恶性状态”,但通过包括脑水肿治疗的支持性治疗,也可能会有良好的结果。
依据相关的心脏病学的治疗指南,对于高血压急症的患者建议入住ICU进行持续的血压管理。虽然在PRES的治疗中没有明确的血压管理目标,但目前一致认为在第一个小时内血压降低通常不必超过收缩压的25%,随后在24至48小时内谨慎地使血压正常化。血压在PRES发病机制中的作用尚不完全清楚,但一项研究表明,高血压的影响与患者血压绝对升高的程度和速度有关,而在没有急性高血压的患者中,其影响与患者正常范围内血压的波动有关。最佳的降压药物尚不明确,但作用迅速、剂量可快速调整、临床效果明确的静脉注射降压药是首选;这些药物包括尼卡地平、克利维地平和拉贝他洛尔。高血压的治疗方法应考虑到潜在的共存疾病,特别是主动脉夹层、嗜铬细胞瘤、子痫(见下文)、冠心病和肾脏疾病。
对于没有高血压的PRES患者,有必要确定已知与该疾病相关的相关的疾病或诱发因素(表1和表2)。常见的疾病包括风湿病和自身免疫性疾病,常见的诱发因素包括暴露于用于治疗癌症的药物和用于移植免疫抑制剂。表2总结了与PRES相关的药物和毒性物质的类别。在一些病例系列中研究人员试图通过改变剂量或更换认为是致病的药物来改变PRES的病程,但结果不一致。一项涉及他克莫司用于造血干细胞移植暴露引起的PRES患者的回顾性研究表明,停药、停药后重新开始或改用类似药物的策略导致了类似的结果。在另一个涉及癌症患者的系列中,在开始化疗或激素治疗后1个月内出现PRES,停药后重新开始使用同一药物不会导致PRES复发。
表2 与PRES相关的药物和有毒物质
癫痫的治疗
虽然癫痫发作在PRES患者中很常见,但没有特异性。治疗方法与其他癫痫疾病的治疗方法相似。如果可用的前提下首选通过脑电图(EEG)确实是否存在癫痫发作,使用苯二氮卓类药物进行一线治疗后通常会添加长效抗癫痫药。当没有脑电图时,也可以使用同样的方法治疗抽搐。虽然PRES可能导致癫痫发作,但需要识别和纠正癫痫发作的其他原因,如低钠血症等。84名接受治疗3个月并随访3年的PRES并发癫痫患者的长期结果显示,3%的患者出现晚期复发性癫痫,1%的患者出现癫痫。
妊娠期或妊娠后并发子痫的PRES的诊断是基于典型的临床表现和神经影像学特征。应注意与如脑静脉血栓形成和可逆性脑血管收缩综合征等疾病鉴别。考虑到胎儿和产妇的健康,高血压和癫痫发作的治疗选择通常是静脉注射硫酸镁。用于治疗严重高血压的其他药物可能包括静脉注射肼酞嗪和拉贝洛尔,用于癫痫发作的药物可以使用地西泮和苯妥英钠。

发病机制
虽然已经提出了关于PRES潜在生物学变化的几种假设,但两个主要的假设是急性高血压病例中的脑血管功能失调和与接触有毒物质相关或之后的脑血管内皮功能障碍。通常认为急性、严重的高血压会破坏血脑屏障导致血管源性水肿,这种水肿在白质中最为严重。影像学提示枕叶和后顶叶受累是PRES独有的特征,这可能是由于大脑后部的交感神经支配少于前循环,因此这些区域更容易受到血压变化的损伤。
在没有高血压的PRES患者中一些未明确的过程导致内皮功能障碍。据报道在暴露于免疫修饰和细胞毒性或自身免疫性疾病或系统性疾病(如癌症、败血症或肾衰竭)患者中,这些过程在某些情况下可能会破坏血管功能。所有潜在原因的损伤机制似乎都集中在脑血管内皮和血脑屏障的破坏上,从而导致血管源性水肿。神经系统的表现,特别是与枕叶有关的视觉变化可能是水肿的结果,但昏迷和癫痫等其他症状的直接原因尚不清楚。

结果和预后
自从开始描述对这种疾病以来对PRES的预后判断已经发生了变化,PRES在适当的管理下通常会有良好的结果。在一项涉及63例诊断为PRES的住院患者的回顾性病例系列中,2.2%的患者在住院期间死亡。如前所述另一项研究表明绝大部患者在2周内从神经功能障碍中恢复,这一时间段在随后的病例系列中也得到了重述。然而也有不良预后和死亡的报道,特别是在入住ICU的患者中。一项对6项研究的荟萃分析显示,影像学检查提示脑出血和细胞毒性水肿与不良预后相关,而PRES引起的先兆子痫和子痫与良好预后相关。相比之下在一个涉及5名患有癌症、昏迷、癫痫发作和大面积脑水肿的患者的系列研究中,经过积极治疗后也有良好的功能预后。

争议与研究机遇
自1996年发表病例系列和最近增加的国际疾病分类第10次修订版PRES代码(ICD-10CM I67-83)以来,关于PRES的出版物数量一直在增加。报告病例的特征与Hinchey等人在文章中描述的有所不同,包括更多的临床环境、更多的诱发因素、不可逆病例和不同的神经影像学特征。未来需要开展多学科合作确定PRES的基本临床表现和基于临床和神经影像学特征的核心诊断标准。这也可以帮助我们了解可逆性脑血管收缩综合征与PRES重叠的程度。有了更明确的诊断标准,可以建立登记册来描述流行病学特征、自然史、最佳治疗实践和长期预后,以便进行对照治疗试验。

结论
PRES是一种急性或亚急性综合征,在患有急性、严重高血压或其他临床疾病的患者中具有各种各样的神经体征、症状(典型为头痛、意识改变和癫痫发作)和特征性影像学改变。此综合征可能是由脑血管功能失调或内皮功能障碍引起的,及时诊断和治疗潜在的诱因,同时提供支持性治疗,通常(但并非总是)可以逆转临床检查和神经影像学异常性发现。
声明:脑医汇旗下神外资讯、神介资讯、神内资讯、脑医咨询、Ai Brain 所发表内容之知识产权为脑医汇及主办方、原作者等相关权利人所有。