术者寄语
急性缺血性卒中的血管内介入治疗是静脉溶栓后又一血管再通疗法,支架取栓、导管抽吸取栓目前均为急性缺血性卒中血管内治疗的一线疗法,两者相辅相成互为补充。同时今年来随着器械的发展也催生了支架联合中间导管、BGC球囊导引导管近端封堵等多种术式组合。无论采取何种方式,防止血栓逃逸都是非常重要的。
Syphonet®取栓支架Syphonet取栓支架拥有头端抓捕篮设计,可以加强血栓捕获,减少碎栓逃逸风险,使患者获益。
本期嘉介谈邀请汝南县人民医院董永华教授,展示Syphonet®取栓支架治疗导管抽吸引起的血栓逃逸一把再通一例。

患者基本信息
女性,59岁,因“突发右侧肢体瘫痪伴言语不能2小时”入院。
简要病史
现病史:患者2小时前无明显诱因下突发右侧肢体无力,表现为右上肢不能抬举,不能站立行走,伴有言语不能,恶心伴呕吐,烦躁不安,120急诊接入我院,初步诊断急性脑梗死。病程中无发热,无肢体抽搐,无大小便失禁。
既往史:既往有风湿性心脏病、二尖瓣狭窄、缓慢型房颤10年余,高血压病史10余年、未规律服用降压药物,血压控制不详;无糖尿病史,无手术外伤史,无传染病史;无家族遗传史。
入院查体情况
T:36.4℃,BP:131/66mmHg,HR:46次/分,体重51kg,意识模糊,精神差,失语,查体不合作,颈软,心律齐,未闻及杂音,双侧瞳孔等大等圆,直径3mm,对光反射灵敏,双眼左凝视,右侧肢体肌力0级,左侧肢体肌力5级,右侧巴氏征阳性,左侧巴氏征阴性。GCS:9分,NIHSS:21分,mRS:4分,病前mRS:0分,洼田饮水试验不配合。
术前影像学资料
急性脑梗死
左侧颈内动脉闭塞
风湿性心脏病、
二尖瓣狭窄、缓慢型房颤
高血压
患者发病6小时,头颅CT排除颅内出血,急性起病、意识不清、失语、双眼向左侧凝视、右侧肢体瘫痪。患者急性脑梗死诊断明确,超出静脉溶栓时间窗,有动脉机械取栓治疗指征。经过与家属的充分沟通,家属理解手术风险,同意手术治疗。选择右侧股动脉穿刺置管,给予脑血管造影术+动脉取栓术。
8F股动脉鞘
5F猪尾导管及单弯导管
0.035in泥鳅导丝
8F导引导管
0.014in微导丝
0.021in微导管
6F抽吸导管
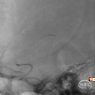
加奇4x30mm Syphonet®取栓支架
造影可见左侧颈总动脉闭塞、左侧大脑中动脉通过前交通向左侧大脑供血。


通过6F抽吸导管应用50ml注射器负压抽吸出大量暗红色血栓后,造影可见左侧颈内动脉后交通段显影。
再次应用6F抽吸导管抽吸,仍有少量暗红色血栓抽出,造影可见左侧大脑前动脉及左侧大脑中动脉。大脑动脉M1远段未见显影(血栓逃逸)。


输送微导丝微导管小心通过闭塞段,微量造影,远端血管显影,回撤微导丝后推送并释放4x30mm Syphonet®取栓支架,可见Syphonet®取栓支架清晰显影,支架打开良好。


Syphonet®取栓支架应用SWIM技术抽拉结合取栓一次,造影确认脑血流完全恢复,mTICI 3级,成功一把再通。


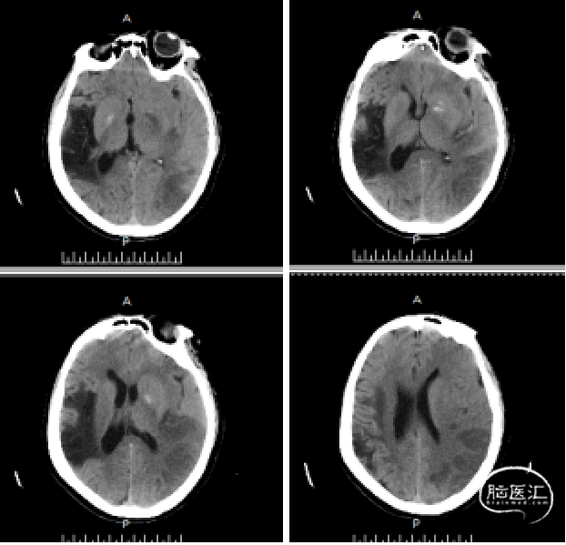
术后24小时复查头颅CT未见颅内出血。
患者术后24小时拔除气管插管,神志清楚,精神可,言语欠清,双侧瞳孔等大等圆,直径3mm,对光反射灵敏,颈软,心律齐,未闻及杂音,双肺呼吸音稍粗,未闻及干湿性啰音,右侧上下肢体肌力4级,左侧肌力5级、肌张力正常,双侧巴氏征阴性。术后24小时 GCS:15分,NIHSS:2分,mRS:1分。
术后15随访情况:7天后患者NIHSS改善。2周后随访,患者无明显肢体功能障碍,mRS评分为0分。
病例总结
1
2
董永华
汝南县人民医院
驻马店神经内科、神经介入学会委员;
驻马店市先进工作者;
曾在郑州大学一附院神经内科及神经介入科、武汉同济医科大学神经内科进修学习,擅长脑卒中规范诊疗,及急危重病的诊治。
特别说明:本页面所包含的文字、图片、音视频等内容仅供医学专业人士参考。本页面所包含的内容,仅为专家个人观点,不能代替医疗专业人士的判断。本页面不向非医学专业人士开放,敬请理解。