载药时代 球扩天下
NOVA颅内药物球扩支架植入

首个无神经毒性安全性的颅内药物支架;
1年再狭窄6.66%,同裸支架比降低73.4%,从而降低再发卒中88.4%;
血管内皮愈合导向,28天药物峰值,60天吸收完毕。
术者:李敬伟 南京大学医学院附属鼓楼医院

李敬伟
神经内科副主任,医学博士,主任医师,副教授
曾在美国匹兹堡大学医学中心研修神经介入
国家卫健委缺血性卒中介入委员会 委员
中华医学会神经病学分会 青年委员
中国卒中学会青年理事会 副理事长
中国卒中学会脑血流与代谢分会 常务委员
江苏省六大高峰人才、333高层次人才培养对象
江苏省医学会神经病学分会 副主任委员
江苏省医师协会脑卒中专委会 后补主任委员
江苏省脑卒中分会神经介入专委会 副主任委员
南京医学会脑卒中分会 主任委员
第一负责人主持国家自然科学青年基金、面上基金各一项
获得江苏省科学技术一等奖及二等奖各一项(排名第三),江苏省新技术引进一等奖两项(排名第二),南京市新技术奖一项(排名第一)。
术者:端光鑫 南京大学医学院附属鼓楼医院

端光鑫
神经内科医师,医学硕士
研究方向为脑血管病的基础及临床,目前主要从事脑血管病的诊治,擅长缺血性卒中的介入治疗。
患者基本信息
患者,女,52岁。
主诉:间断性头晕15日。
简要病史:患者入院前15日无明显诱因下出现间断性头晕,伴视物旋转,行走不稳,无头痛,无复视、耳鸣,无恶心、呕吐,无言语不清,无肢体麻木、乏力,至灌南县人民医院就诊,查头颅MRI示双侧大脑半球多发缺血灶,头颈CTA示多发腔隙性脑梗塞;基底动脉局部重度狭窄,行全脑血管造影术示:左侧椎动脉V4段分出左侧小脑后动脉以前斑块形成,狭窄90%,予调脂稳斑、降压、控制血糖等治疗,后仍间断头晕。今患者为行血管内治疗,来我院就诊,门诊以左侧椎动脉狭窄收住入院。
既往史:有2型糖尿病病史3年余,未规律服药,血糖控制不佳;有高血压病史20余年,间断口服硝苯地平缓释片、奥美沙坦酯,血压控制不佳。
入院检查及给药
专科查体:神清语利,精神萎,言语可,双瞳等,对光反射灵敏,双侧眼球各向运动可,无眼震,双侧鼻唇沟对称,伸 舌居中,四肢肌力、肌张力正常,双侧感觉、腱反射及共济查体对称,双侧病理征阴性。颈软,克氏征(-),布氏征(-)。
入院NIHSS评分:0分;mRS评分:0分。
入院后用药:拜阿司匹林、氯吡格雷、瑞舒伐他汀及降压、降糖、改善循环等。
入院影像检查
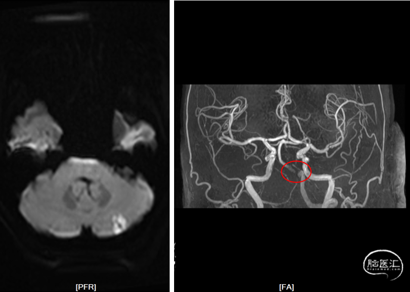
脑血管壁高清MR+灌注(2022-01-14):

DWI
MRA

高清血管壁
头颅灌注
高清血管MR示:双侧椎动脉颅内段及基底动脉近段管壁多发易损斑块形成,管腔重度狭窄,右侧椎动脉局部未见显示;PWI示:小脑及脑干灌注减低。
DSA(2022-01-19):

L-ICA

L-VA

R-ICA
复查DSA:左侧椎动脉V4段重度狭窄。
诊断
病变部位:左侧椎动脉V4段
远端正常血管直径(mm):3.6
狭窄处最小直径(mm):0.55
病变长度(mm):8.15
狭窄度(%):84.72%
术前讨论
拟行手术方案:左侧椎动脉V4段球囊扩张+支架置入术。
手术指征(血管内介入治疗的指征):
1、老年女性,既往高血压、2型糖尿病病史,且控制不佳;
2、此次主要表现为头晕,头颅MR示左侧小脑梗死,病灶较小,病程>2周;
3、头颅MRA、DSA示左侧椎动脉V4段重度狭窄,且为优势侧;
4、头颅灌注示左侧小脑半球灌注稍减低
治疗策略:
1、长鞘及中间导管支撑;
2、以颅内扩张球囊扩张狭窄段;
3、置入颅内药物洗脱支架降低再狭窄;
预估可能性的手术并发症:夹层、术后栓塞、血管破裂、开通失败等。
术中器械
◆ 操作入路
股动脉穿刺
◆ 造影
造影导丝:泥鳅导丝
造影导管:5F单导管
导引导管:6F 长鞘
◆ 通过病变
微导丝:Fathom 200、300cm
微导管:Echelon-10
◆ 扩张及植入
球囊导管:Gateway 2.0×15mm
支架:赛诺神畅 NOVA颅内药物球扩支架3.0×12mm
治疗过程
术前影像。

考虑到血管严重扭曲,以长鞘和6FNavien建立路径,微导丝、微导管通过病变。

微导管造影确认真腔。

球囊到位。

球囊扩张。

球囊扩张后狭窄有所改善。

支架顺利到达病变位置到位。

充盈球囊,释放支架。

支架释放后。

术后影像及检查

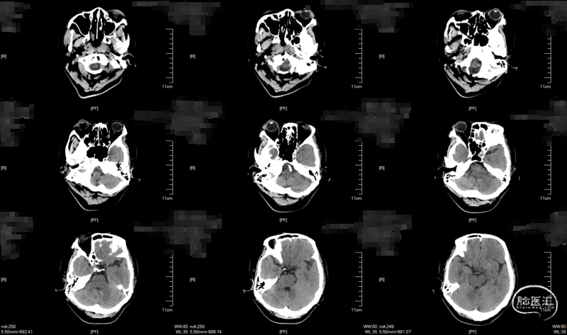
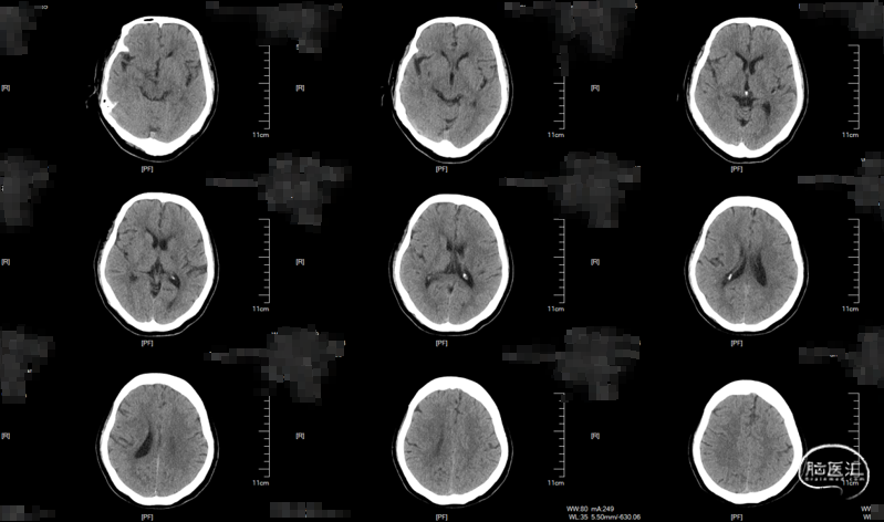
术中DynaCT。


术后4h CT。


手术总结
赛诺神畅 NOVA颅内药物球扩支架是全球首款雷帕霉素颅内药物支架,含有药物涂层支架及快速交换球囊输送系统,术中通过性好,输送佳,可降低支架内再狭窄率,减少远期再发卒中风险。
1. 对于迂曲的后循环颅内病变,往往需要长鞘和中间导管支撑,维持通路的稳定,有助于球囊和支架的顺利到位;
2. 支架的尺寸选择需充分考虑患者血管狭窄程度及病变长度。






