印度马德里全印度医学科学研究所(AIIMS)神经科的N Singh等对此进行研究,确定nsCP的患病率及其与隐源性及心源性卒中患者同侧卒中的关系,结果在线发表于2021年7月的《AJNR Am J Neuroradiol》上。
——摘自文章章节
【Ref: Singh N, et al. AJNR Am J Neuroradiol. 2021;42(9):1645-1652. doi:10.3174/ajnr.A7218】
多个研究均表明颈动脉狭窄是缺血性卒中最常见的病因之一,推荐症状性颈动脉狭窄程度>50%作为颈动脉狭窄的手术指征,可显著降低远期卒中发生率。然而,对于狭窄程度<50%的非狭窄性颈动脉斑块(nsCP)患者发生卒中的风险研究和治疗策略还不够透彻。因此,印度马德里全印度医学科学研究所(AIIMS)神经科的N Singh等对此进行研究,确定nsCP的患病率及其与隐源性及心源性卒中患者同侧卒中的关系,结果在线发表于2021年7月的《AJNR Am J Neuroradiol》上。
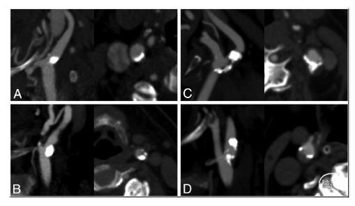
作者通过急性缺血性脑卒中患者行血栓切除术治疗的系统评价(systematic evaluation of patients treated with neurothrombectomy devices for acute ischemic stroke,STRATIS)研究数据,这是一项前瞻性、非随机性研究,研究对象为采用机械性血栓切除术的患者。比较了心源性栓塞性卒中和不明来源栓塞性卒中(ESUS)患者中同侧和对侧nsCP的患病率,并且在有同侧卒中组和无同侧卒中组2个亚组中进一步进行了其斑块特征对比。使用单因素和多因素logistic回归分析2个亚组nsCP、斑块特征(图 1)及同侧卒中之间的相互关系。

图1. nsCP患者颈内动脉斑块特征评估
在数据库共登记946名卒中患者,其中381名(36%)因缺乏影像学数据、130名(23%)为颈内动脉系统粥样硬化性狭窄患者被排除,剩余435名患者中174名(40%)患者为ESUS患者,261名(60%)患者为心源性梗塞性卒中患者,最后将进行了双侧ICA斑块评估的226名心源性梗塞性卒中患者(中位年龄72岁)和141名ESUS患者(中位年龄69)纳入分析。总体队列、ESUS和心源性栓塞性卒中患者的基线临床和影像学特征见表1。nsCP在心源性卒中组和ESUS组中的患病率分别为33/226(14.6%)和32/141(22.7%),且心源性卒中组患者中10/226(4.4%)和ESUS患者中13/141(9.2%)出现双侧颈内动脉非狭窄斑块。nsCP与心源性、ESUS缺血性卒中显著相关(aOR=1.91,95%CI:1.15-3.18];aOR=1.69,95%CI:1.05-2.73),同时在ESUS组中,斑块不规则、斑块密度低、斑块厚度增加与同侧卒中有显著相关关系。
表1. 总体队列、ESUS和心源性栓塞性卒中患者基线资料和影像特征比较

最后作者指出,在心源性栓塞组和ESUS组中,nsCP与同侧卒中显著相关;同时在ESUS组中,斑块不规则性、斑块低密度、斑块厚度增加与同侧卒中有显著相关关系。本研究结果提示这些斑块可能是导致这些患者卒中的潜在病因。







