
■ 术者寄语
“慢性颅内动脉闭塞介入再通是近几年探索的热点,选择合适的病人至关重要。颅内动脉慢闭再通一定要选择有症状失代偿的,标准药物治疗欠佳病人。最好选择近期闭塞的病人,时间越长斑块越硬,血管床破坏越重,开通成功率越低。闭塞节段最好不要超过15mm,有时可以通过高分辨磁共振对闭塞节段的长短和血管床情况进行评估。”
——刘华坤副主任医师
本期嘉介谈邀请济宁市第一人民医院刘华坤教授,带来济宁市第一人民医院ICAD病例专场(二),精彩不容错过。

病史简介
患者基本信息
患者,男,45岁。
主诉:头晕2天,加重伴左侧肢体活动不灵6小时入院。
简要病史
现病史:2天前出现头晕,视物旋转,伴行走不稳,脚踩棉花感,6小时前头晕加重,并出现发作性左侧肢体活动不灵,伴言语清晰度下降,持续2小时左右,肢体活动不灵缓解,但仍有严重头晕。
既往无特殊,吸烟10支/天X20年,机会性饮酒。
入院查体情况
BMI 30.9,可见自发性粗大眼震,右侧上肢指鼻欠稳,右下肢跟膝胫欠稳。
术前查体情况
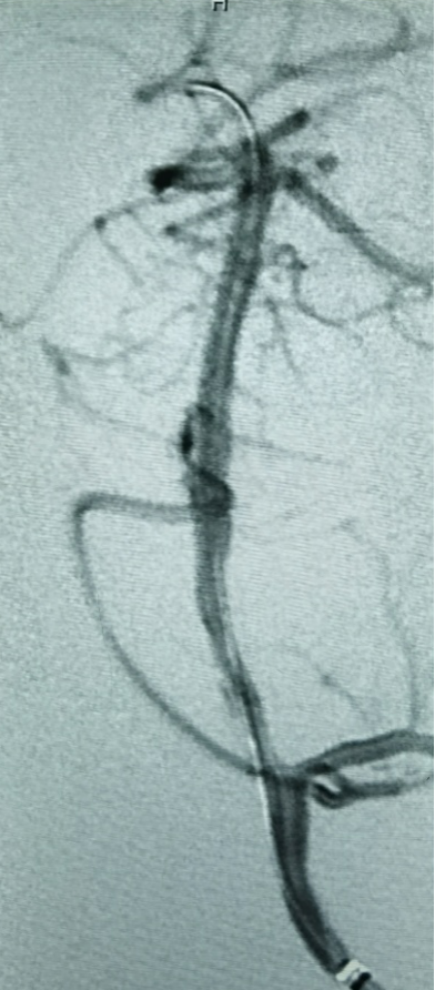
入院颅脑MRI+MRA可见右侧小脑新发梗死,基底动脉中段显影欠佳。

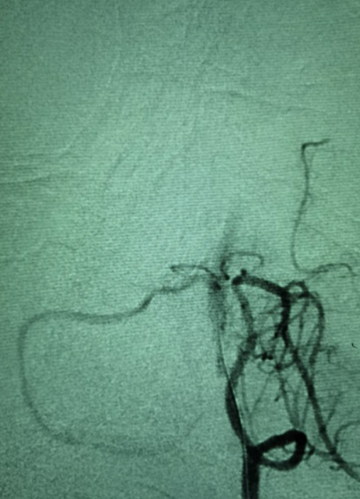
全脑血管造影提示右椎纤细,颅内段不显影。左椎颅内段发出小脑后下动脉已远闭塞,但部分血管吻合,使左椎V4远端浅淡显影。

前循环造影提示后交通开放,基底动脉逆向显影,基底动脉中下段血管床未显影。

初步诊断
1. 右侧小脑梗死
2. 双侧椎动脉颅内段闭塞
治疗经过
术前讨论
手术指征:
患者后循环新发脑梗死,责任血管为后循环血管。患者双侧椎动脉颅内段闭塞,基底动脉靠后交通逆向反流,在此前提下仍有小脑梗死发生,提示后循环代偿不良。存在后循环发生严重缺血事件的可能。患者右侧椎动脉发育不良,左侧椎动脉颅内段慢性闭塞,但闭塞远端血管床显影,提示闭塞节段不长。综合分析,目前可以考虑开通左侧椎动脉颅内段,改善后循环低灌注状态,避免发生后循环严重缺血事件。
手术策略:
① 建立好的通路,选用中间导管,尽量超选至左侧椎动脉V3段,提供好的支撑。
② 闭塞节段的通过:采用微导管、微导丝技术搭配,柔和操作导丝,尽量尝试寻找最后的闭塞通道,找到原始的狭窄管腔通过,切记不可粗暴操作,避免进入夹层或扎破血管。
③ 术中判断:尝试通过闭塞节段后,微导管内造影或路途,不断了解闭塞节段远端的血管床情况。
④ 球囊扩张:导丝到达远端血管床后,开始球囊扩张,采用逐步扩张的方法,起初选用通过性好的球囊,可以直径偏小,扩张后观察血管状态,再决定是否换用大球囊扩张。
⑤ 支架植入:球囊扩张后依据造影明确血管状态,决定支架植入的方式。
手术意外的预判:
1. 栓塞事件:闭塞节段可能存在附壁或游离血栓,球囊扩张后存在脱落栓塞远端血管可能,若发生,可能需要进行取栓补救。
2. 出血事件:术中存在导丝扎破血管、球扩后血管破裂等出血风险,可能需要临时球囊阻断止血。
3. 开通失败:如果长时间闭塞,斑块较硬,无法找到最后的狭窄管腔,导丝无法通过或导丝反复进入夹层,无法进入真腔,最后需要放弃手术。
手术过程
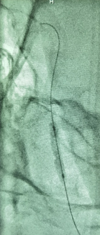
1
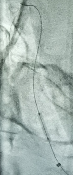
5F 115cm远端通路导管超选至左侧椎动脉V3段,选取术中工作角度造影。
、
2
Echelon-10微导管、200cm FATHOM微导丝配合技术通过闭塞节段,微导管内路途提示进入右侧大脑后动脉。

3
留置300cm FATHOM微导丝,撤出微导管后造影,似乎有了一点正向血流,但压力不够,被逆向血流冲淡。

4
引入加奇SacSpeed® 2.0mm×12mm颅内球囊扩张。

5
扩张后造影,提示恢复正向血流,残余狭窄50%左右。

6
换用加奇SacSpeed® 2.5mm×12mm颅内球囊扩张。

7
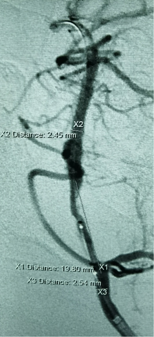
扩张后造影提示,正向血流理想,闭塞节段成型理想。

8
选择Neuroform EZ 3.5X20mm支架植入,术后工作角度造影如下:

术后影像学检查
术后标准正侧位。

患者醒麻醉后无新增不适,4天后步行出院。
病例总结
1
病人的选择:颅内动脉慢闭再通一定要选择有症状的,标准药物治疗欠佳病人。如果是前循环,可以术前完善灌注成像,选择失代偿的病人。最好选择近期闭塞的病人,时间越长斑块越硬,血管床破坏越重,开通成功率越低。有时不好判断闭塞时间,患者近期有缺血事件发生,提示有可能近期发生闭塞。闭塞节段最好不要超过15mm,有时可以通过高分辨磁共振对闭塞节段的长短和血管床情况进行评估。该病人因为有吻合血管,远端血管床显影,可以直接判断闭塞节段不超过15mm。
2
术中操作技巧:闭塞再通最关键的步骤就是导丝如何通过闭塞节段。一般选用微导管微导丝配合技术,增加微导丝的支撑力和操控性。术中要手感柔和,尽量尝试寻找最后的闭塞通道,找到原始的狭窄管腔通过。切记不可粗暴操作,避免进入夹层或扎破血管。球囊可以先选用小球囊预扩,再选用大球囊后扩,循序渐进。球囊直径达到原始管腔80%左右即可,不要求完美成型,避免造成扩张后损害血管或出血风险。该病人选用加奇SacSpeed® 2.0mm×12mm颅内球囊预扩,再选用加奇SacSpeed® 2.5mm×12mm颅内球囊后扩。
3
器械选择:尽量将中间导管输送到接近闭塞节段的位置,提供稳定的支撑力。穿过狭窄节段的微导丝头端要软硬适中,太软不容易通过,太硬容易损伤血管。扩张球囊应该选用通过性和输送性好的球囊,如果是短交换可以减少操作繁琐性,近几年陆续上市的国产颅内球囊,有着较好的性能。支架尽量选用支撑力较好的自膨支架。

术者简介
刘华坤
济宁市第一人民医院
医学博士,意大利锡耶纳大学医院访问学者。
神经内科副主任医师,硕士研究生导师。
专业特长为神经介入技术,擅长结合最新的神经介入技术治疗脑血管病人。
能够熟练完成急性脑梗死动脉内接触溶栓或机械取栓,熟练完成颅内外段动脉狭窄的支架成形术,掌握颅内外段动脉慢性闭塞的再通技术,掌握脑动脉瘤填塞术。






