血泡样动脉瘤(BBA),位于颈内动脉前壁非分叉段,瘤壁薄,容易短期内增大、破裂。
无论外科治疗还是血管内介入治疗都是一大挑战,美敦力新武器组合助力攻克血泡样动脉瘤。
患者信息
患者:男, 40岁
主诉:突发意识障碍伴右侧肢体乏力
急诊送入湖南省人民医院
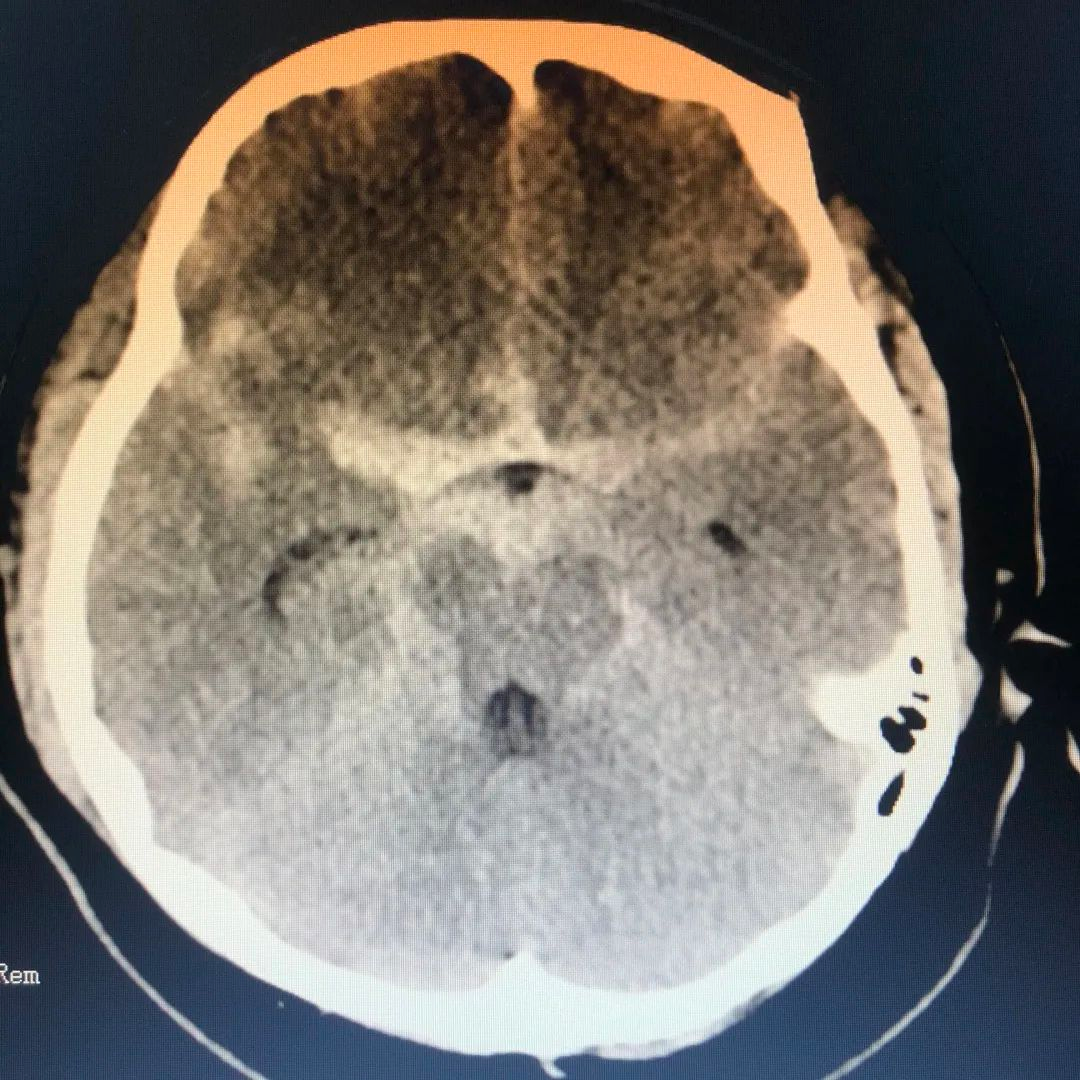
头颅CTA显示“蛛网膜下腔出血,右侧颈内C7段瘤样扩张”
CT造影




1.1)
Echelon微导管塑形,瘤颈口到位
1.2)
Navien + Phenom助力上高到颈内动脉末端







3.1)
回撤到平直段,半释放pipeline
3.2)
Navien继续上高,推支架,确保瘤颈处支架的贴壁
3.3)
填入5个超软圈,美敦力Prime系列对瘤壁压力非常低,对脆弱的血泡样动脉瘤安全有保障;弹簧圈圈体非常柔软,有利于致密栓塞,阻隔血流。
APB 3-8-3D、APB 2-4-3D 、APB 2-4-2D,APB 2-3-2D,APB 1-1-2D



4.1)
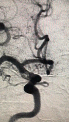
造影显示动脉瘤致密栓塞
随访影像
术后一月复查的影像,动脉瘤未见复发及残留,载瘤动脉修复满意。



术者简介

刘放其 教授
湖南省人民医院介入医学中心副主任医师,中国医师协会介入医师分会青年委员,湖南省放射介入医疗质控中心秘书,湖南省健康学会血管风险评估与管理专业委员会委员,湖南省医学会介入医学专业委员会委员。主攻脑血管介入综合诊治,其中年完成颅内动脉瘤神经介入治疗手术超过500例。主要诊治范围包括:颅内动脉瘤、脑动静脉畸形、脑动静脉瘘。
特别说明:本页面所包含的文章、视频以及通过此内容使用或链接到的任何第三方的全部文字、图片和视频均仅代表讲者本人或者该第三方的内容和观点,与美敦力公司的立场无关。本页面所载的内容、信息、评论仅供参考。如果您是一位医疗卫生专业人士,您应该通过您自己的专业判断来评估本页面所提供的所有信息。我们也建议在作出任何评价或治疗决定前请咨询其他专业人士并查阅其他参考资料。如任何个人或其他媒体、网站欲转载使用本页面所载文章、视频以及通过本页面使用或连接到的任何第三方的任何文字、图片或视频的,请与著作权人联系,并自负法律责任。




