2016年中枢神经系统WHO分类新定义了弥漫性中线脑胶质瘤(DMG)(WHO IV)。目前为止仍没有专门针对儿童与成人的DMG在预后和特征的对比研究。最近在Neuro Oncol杂志中报道了儿童和成人DMG特征的系统性对比研究。
研究背景
2016年发布的世界卫生组织(WHO)中枢神经系统(CNS)肿瘤分类标准将现代病理学带入到分子水平。该分类标准引入了“弥漫性中线脑胶质瘤(DMG),H3 K27M突变”作为对应于WHO IV级的新型病理胶质瘤。DMG主要发生在儿童,成人也可能患DMG,但发生率比较低。目前为止仍没有专门针对儿童与成人的DMG在预后和特征的对比研究。最近在Neuro Oncol杂志中报道了儿童和成人DMG特征的系统性对比研究。

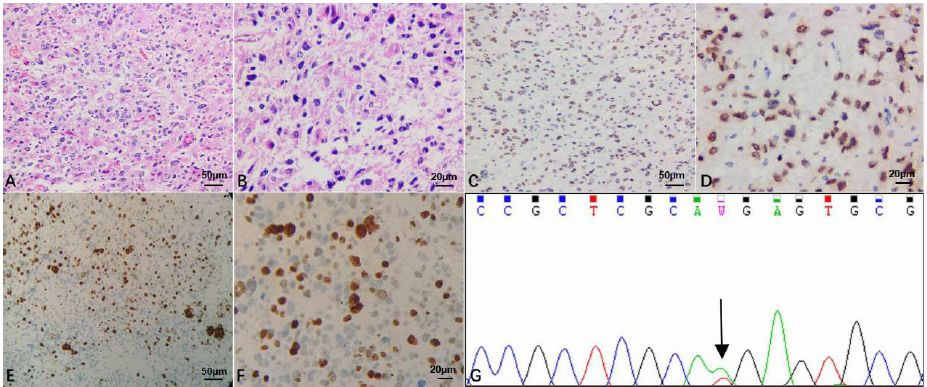
图1:H3F3A K27M突变的检测(免疫组化和Sanger测序)
研究方法
本研究纳入2016年5月至2018年12月在北京天坛医院诊断为H3 K27M突变DMG的161例患者。K27M的突变检测通过免疫组化和一代测序(图1)。患者分为成人组(n = 57,49.1%)和儿童组(n = 59,50.9%)。比较两组之间的临床,放射学和分子特征。并进行单因素和多因素分析以鉴定预后情况。

图2:儿童和成人DMG手术肿瘤切除情况对预后影响的比较分析
研究结果
与成人组相比,儿童患者年龄更小(8.9±4.1 vs. 35.1±11.8岁,P <0.001),术前KPS得分较低(62.9±15.5 vs. 72.1±16.5,P = 0.004), 总切除率较低(5.7%vs. 26.8%,P = 0.009),肿瘤较大(4.4±0.9 vs. 3.9±1.5 cm,P = 0.045),Ki-67指数较高(63.0%vs. 37.8%,P = 0.047),术后神经麻痹(61.0%vs. 36.8%,P = 0.009)和共济失调的发生率更高(45.8%vs. 26.3%,P = 0.029)(表1)。成人DMG主要位于丘脑,而小儿DMG的好发部位是脑干(P <0.001)。Kaplan-Meier图显示出显著差异(P = 0.008),成人和儿童DMG的中位生存期分别为16.0(9.7-22.3)个月和10.0(8.3-11.7)个月。根据多因素分析,确诊年龄,放疗,运动功能减退和脑积水是独立的预后因素(P <0.05)。

图3:儿童和成人DMG在不同治疗方式下的预后对比分析
研究结论
与成人患者相比,患有H3 K27M突变的儿童DMG具有明显的临床,放射学和分子学特征,表现出预后不良。放疗是延长儿童DMG生存期的独立因素。
文章出处
Neuro Oncol. 2019 Aug 24. pii: noz152. doi: 10.1093/neuonc/noz152. [Epub ahead of print]