患者:男,56岁。
主诉:突发意识障碍6小时。
现病史:6小时前饭后休息时,突发意识不清,持续不缓解,无肢体抽搐,在外院行颅脑CT检查排除出血,来院。
既往史:“高血压”5年,“抑郁症”4年。
查体:中度昏迷,GCS评分:E1V1M4=6分,NIHSS评分27分;发病前MRS评分:0分。口腔内有大量呕吐物,双眼右侧凝视,右侧瞳孔直径5mm,左侧2mm,对光反射迟钝,双肺湿啰音,四肢刺痛可屈曲,双巴氏征阳性。
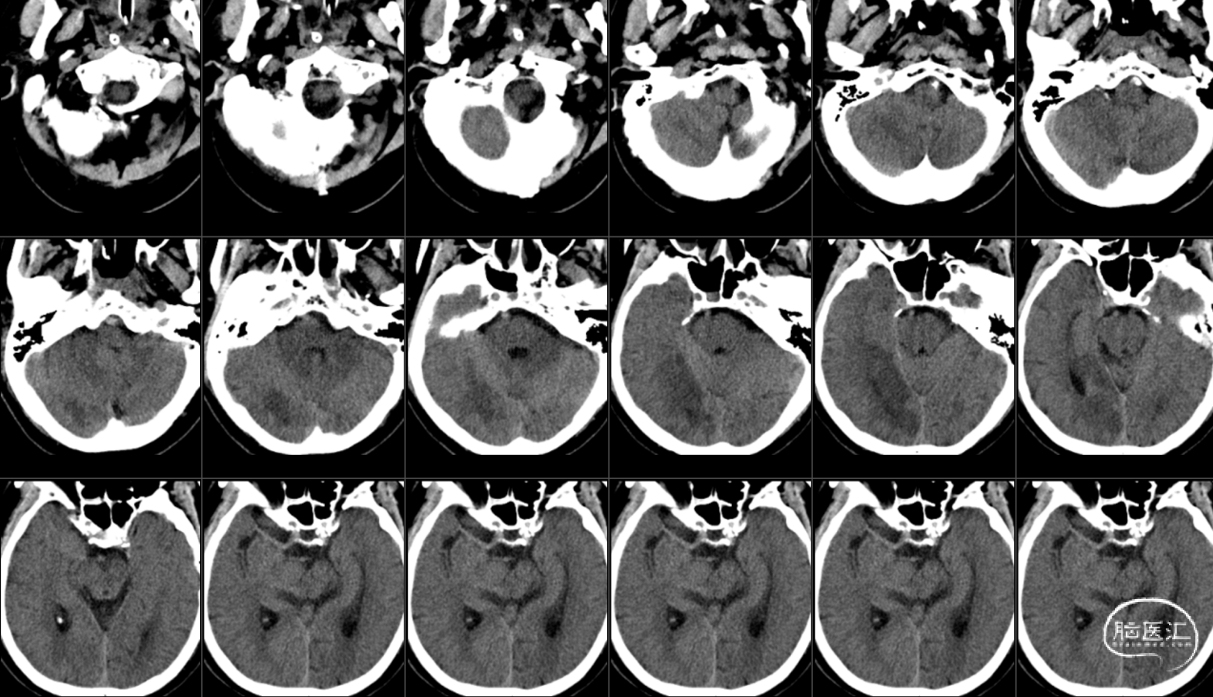
治疗:给予气管插管、留置胃管等急诊抢救后行CTA+CTP检查。
术前CTA评估
术前CTP评估

术前手术策略分析
开通LV1,基底动脉尖取栓。
1.不能开通血管。
2.即使开通血管,症状不能恢复。
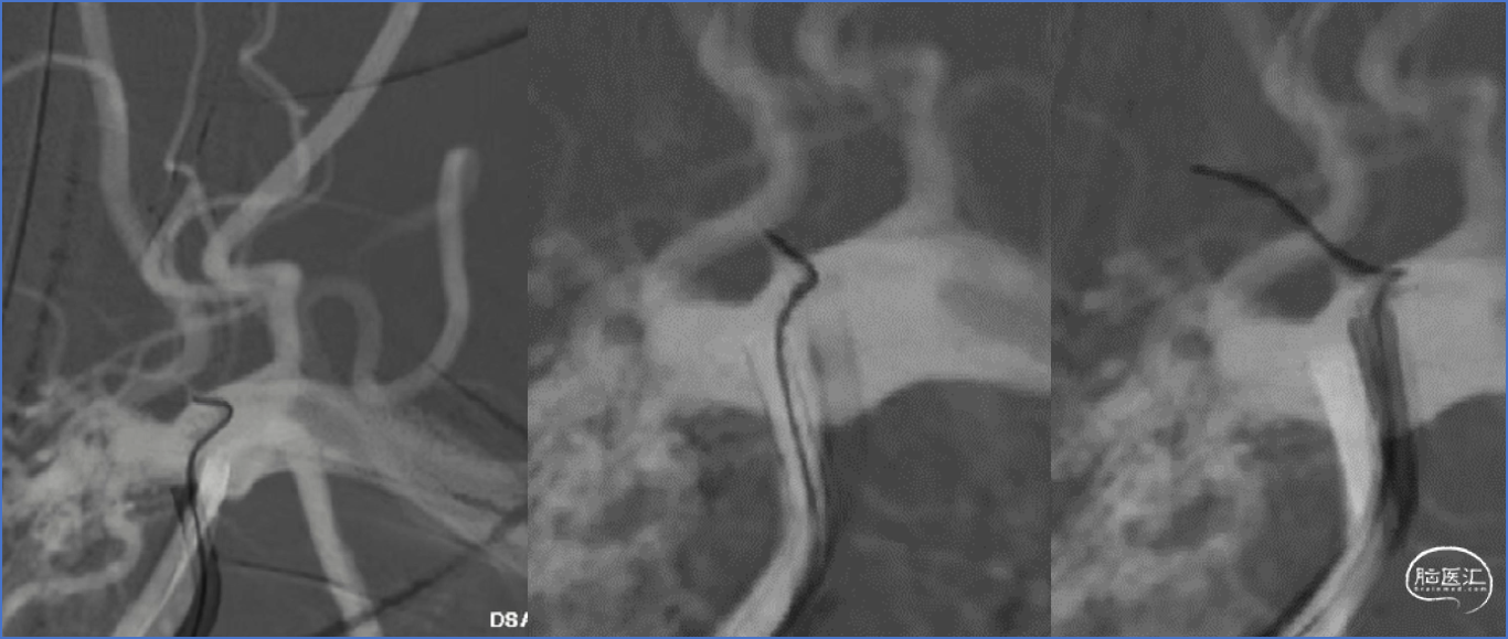
DSA评估:主动脉弓+左侧锁骨下
DSA评估:右椎+双侧颈内动脉
WAIN-CKI-200导丝通过失败;冠脉PTCA导丝顺利通过闭塞段。
冠脉1.5×12mm球囊扩张
Bridge4.0×15mm球扩支架植入
为什么不能开通呢?怎么办?

抽拉结合一次后TICI2B级再通(Percheron动脉显影)。
术后复查正侧位及XperCT
术前术后图像对比

复查颅脑CT(术后1天)

术后6天复查CTA

术前术后(6天)血管对比
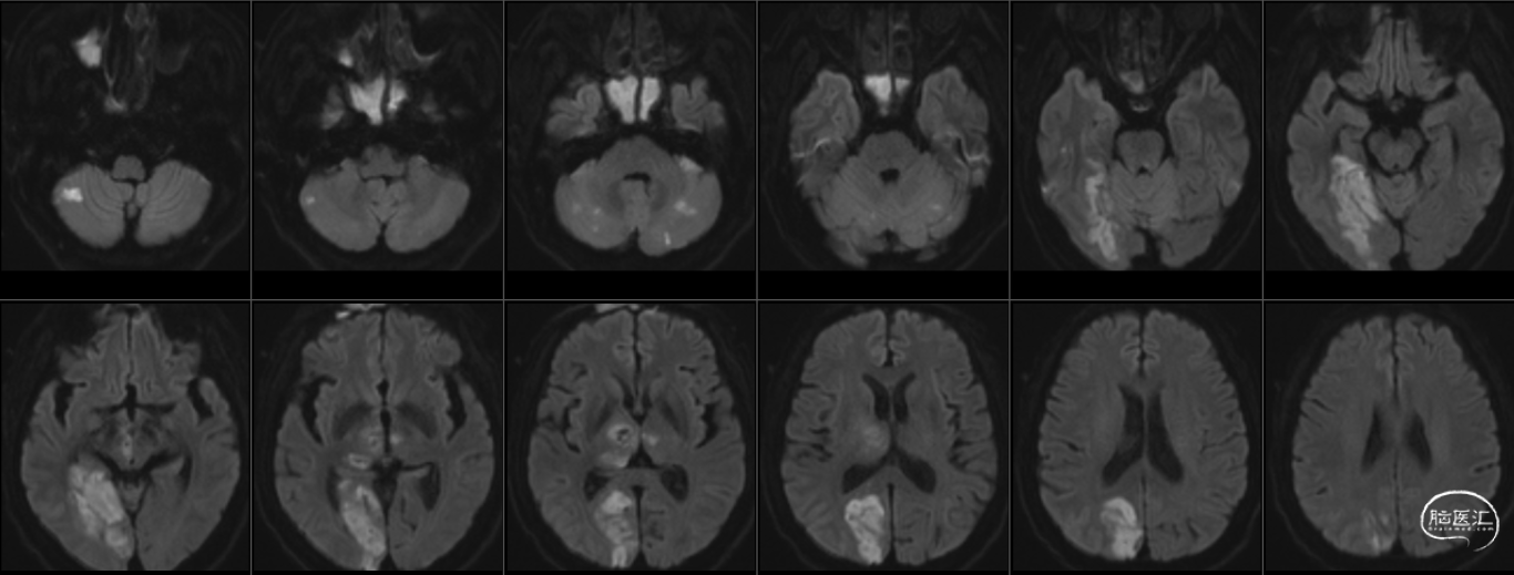
术后6天复查MR

出院情况(术后14天)MRS评分3分

术后(37天)MRS评分2分。
体会一:寻找闭塞血管残端
•多角度照射
•造影剂剂量要足
•仔细阅读图片,寻找蛛丝马迹
体会二:导丝通过闭塞段

•更硬的冠脉导丝更容易通过闭塞段。
•导引导管尽可能接近开口,给与足够的支撑。
体会三:顺向开通、逆向开通?
具体情况具体分析:
•导引导管可以顺利通过病变,尽早开通颅内血管,逆向开通。
•否则正向开通。
体会四:中小血管的开通方法:抽拉结合
•3MAXC抽吸导管释放取栓支架。
•抽拉结合一次2B级再通。
•合理利用现有工具,提高取栓效率。
体会五:器械的合理搭配(被动使用6F导引导管)

术者简介
曹海燕
巩义市人民医院
•2004年郑州大学医学院毕业,毕业后一直在我院从事神经外科、神经介入及神经重症工作,2008年及2012年两次到北京宣武医院神经介入及神经外科、Yasarqil神经显微训练中心进修学习。
•擅长诊疗:颅内动脉瘤、颅内外动静脉狭窄狭窄、脑血管畸形、烟雾病等脑血管疾病的介入及开刀手术治疗,急性缺血性脑卒中的动脉取栓手术治疗,急危重症脑血管疾病管理及治疗,脑梗死、脑出血、颅脑损伤及颅脑肿瘤的规范化治疗。
•获得荣誉:2018年被巩义市总工会评为“巩义市时代标兵”。分别在2022年、2023年荣获“河南省医师协会首届神经介入专业委员会第四次年会、第五次年会--河南神省经介入病例演武场”二等奖、一等奖。2023年被巩义市卫生健康委员会评为"巩义市好医生"。
声明:脑医汇旗下神外资讯、神介资讯、脑医咨询、Ai Brain 所发表内容之知识产权为脑医汇及主办方、原作者等相关权利人所有。
投稿邮箱:NAOYIHUI@163.com
未经许可,禁止进行转载、摘编、复制、裁切、录制等。经许可授权使用,亦须注明来源。欢迎转发、分享。
投稿/会议发布,请联系400-888-2526转3。








