2023年03月24日发布 | 829阅读
脑肿瘤-胶质瘤

颞岛叶及基底节区巨大胶质母瘤切除

岑波

长江航运总医院·武汉脑科医院

达人收藏

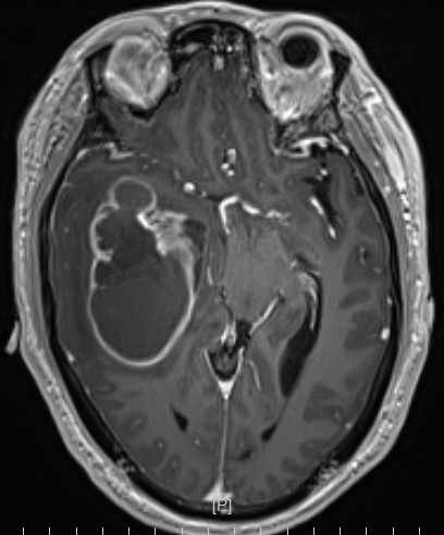
患者,男性,59岁,头痛伴四肢无力一周入院

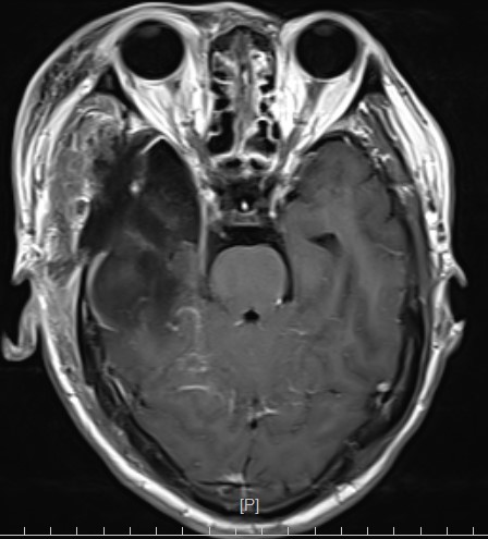
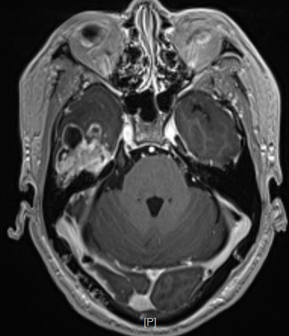
头部MR提示:右颞叶,岛叶及基底节区巨大占位,胶质母细胞瘤可能性大

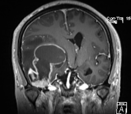
冠状位

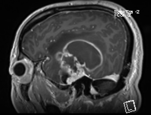
矢状位

术前导航提示肿瘤与锥体束毗邻

右侧扩大翼点开颅,显微镜下切除肿瘤

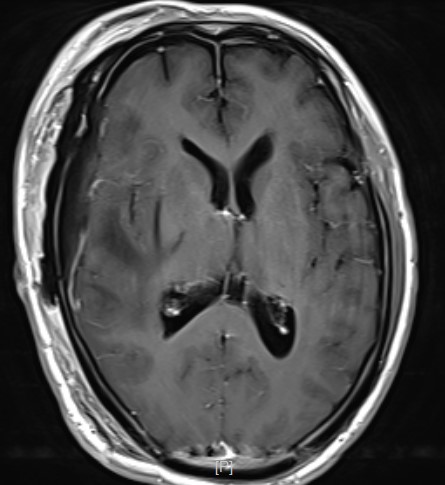
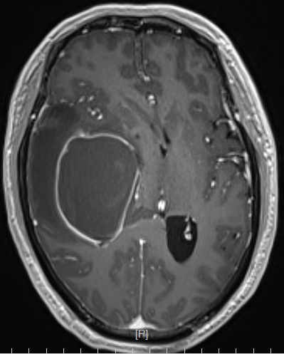
术后复查肿瘤近全切除

术后病理:弥漫性胶质瘤高级别

患者术后恢复良好,肢体活动可,能自主下床活动

最新评论
发表你的评论
发表你的评论
来自于专栏