2022年10月26日发布 | 1472阅读
脑肿瘤-自定义

神经内镜Endoport经额清除右侧基底节区出血并三脑室底造瘘

孙胜玉

宁夏医科大学总医院

达人收藏

患者M,60Y,突发意识不清2小时入院。

高血压病7年,心脏支架术后3年,口服阿司匹林,氯吡格雷。

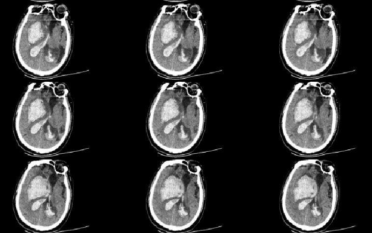
颅脑CT提示右侧基底节区出血并破入脑室,

查体:深昏迷,气管插管,双侧瞳孔等大,左:右=3:3mm,光反应消失,GCS评分5分。

术前CT

术中体位,头高脚底位。

右额直切口,中线旁开3cm


术中所见结构

手术视频

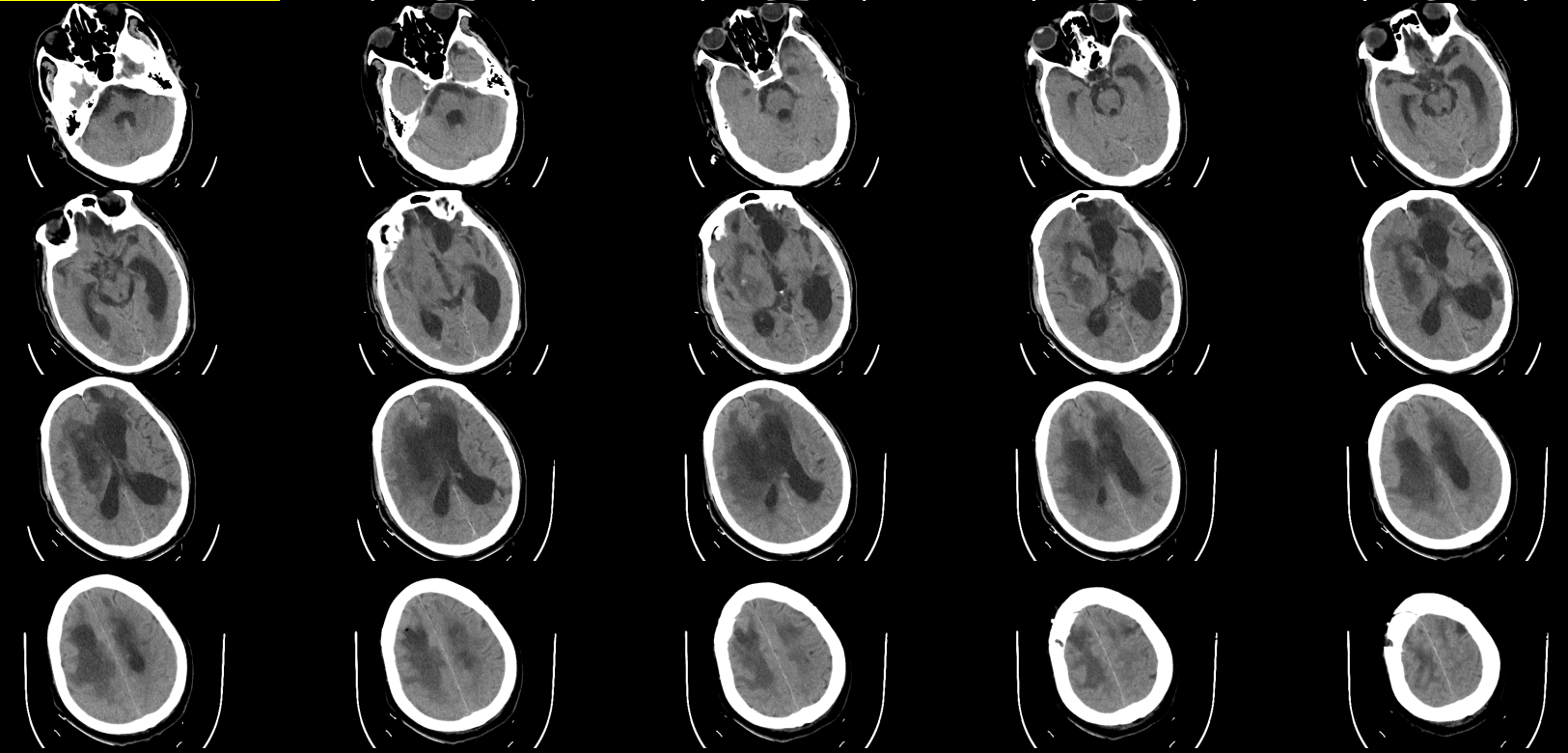
术后24小时CT

术后两周CT,未见脑积水,睁眼昏迷状态,转下级医院进一步康复治疗!

最新评论
发表你的评论
发表你的评论