2026年04月08日发布 | 225阅读
脑肿瘤-脑膜瘤

kawase 入路:岩斜区脑膜瘤切除术

赵新利

湛江中心人民医院

达人收藏


        棘孔处剪断脑膜中动脉,暴露并磨除Kawase三角,硬膜下分快切除肿瘤,打开麦克氏囊并切除囊内肿瘤,肿瘤中心钙化整块取出,全切肿瘤!

        术毕视野检查动眼神经、三叉神经、外展神经结构良好,电生理测试面听神经、后组颅神经功能良好!

       

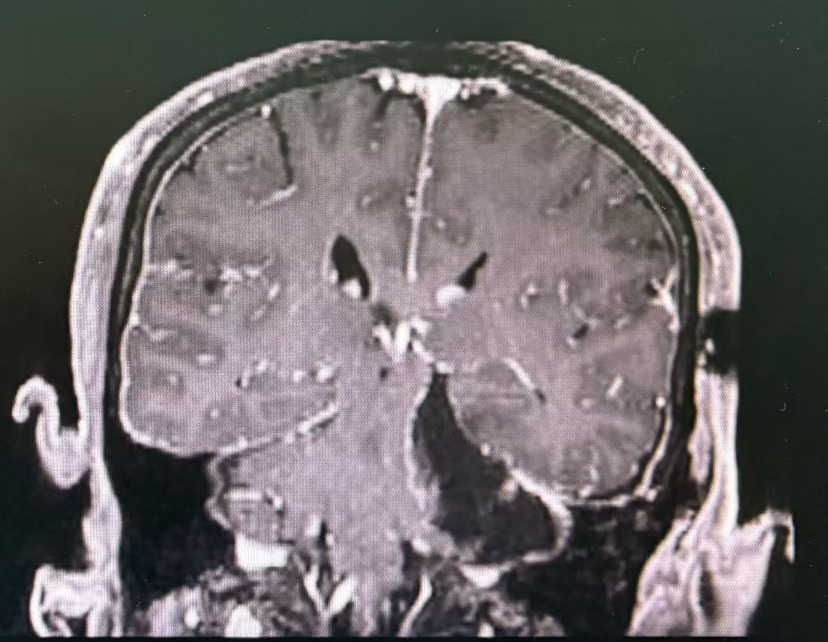
术前MRI




术中

术中

术后6hCT

术后MRI

最新评论
发表你的评论
发表你的评论

神外年会

789内容6685阅读

进圈子
来自于专栏