2026年03月07日发布 | 145阅读
创伤重症-颅脑创伤
创伤重症-颅脑创伤和脑出血并发症
脑血管-自发性颅内出血
脑血管-动脉瘤

颅脑外伤脑池造瘘一例

李起超

秦皇岛市第一医院

达人收藏

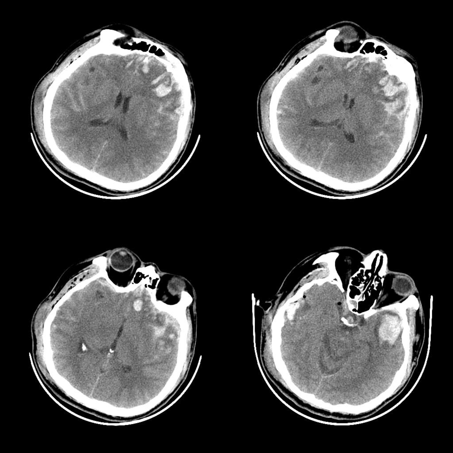
患者是一名50岁中年男性,主因车祸外伤后意识不清入院,头CT提示双侧额颞部多发脑挫裂伤,左侧为著

术前CT

家属积极要求手术治疗,遂急诊行左侧开颅血肿清除术,拟行术中脑池造瘘

吸除前额挫伤脑组织,显露双侧嗅神经

打开颈动脉池和视交叉池

向后探查三间隙和动眼神经

经第三间隙剪开Liliquest膜

经第三间隙显露基底动脉

在桥前池放置引流管

术后CT

术后患者颅压较高,脑池引流放置一周后予以拔除,患者神志转清,混合性失语,拟转康复科进一步康复治疗

最新评论
发表你的评论
发表你的评论