病史简介
- 患者,男,49岁。
- 主诉:头痛、左侧肢体活动不灵2小时,意识不清1小时入院。
- 简要病史:患者入院前2小时突发头痛,左侧肢体活动不灵,伴呕吐,后迅速出现意识不清。120紧急送我院急诊科,测血压253/110mmHg,意识障碍继续加重,并出现鼾式呼吸。启动急诊绿色通道,快速CT检查。
- 既往史:高血压病史。
- 体格检查:GCS评分6分(E2V1M3),昏迷状态,鼾式呼吸,呼吸急促。刺痛睁眼,双侧瞳孔等大等圆,直径2.5mm,对光反射灵敏。左侧肢体肌力1级,右侧肢体刺激有屈曲动作,肌力查体不合作。
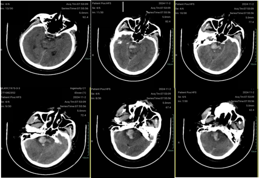
术前CT
术前诊断
脑干出血
- 高血压性脑干出血?
- 脑干海绵状血管瘤破裂出血?
- 动静脉畸形破裂?
出血原因的鉴别
- 高血压性脑干出血:有高血压病史,发病后血压253/110mmHg。
- 海绵状血管瘤破裂:血肿的形状圆钝,与高血压性撕裂性不全一致,不能排除海绵状血管瘤导致。
- 动静脉畸形破裂:脑干实质内小的血管畸形也不能排除。
(注:患者疾病进展迅速,快速进入昏迷状态,鼾式呼吸,突发呼吸停止风险极高,需紧急手术清除血肿减压,磁共振和DSA等检查无法完成,准确诊断比较困难,需术中探查)
手术适应症
- 患者病情进展快,意识障碍持续加重,鼾式呼吸,随时呼吸可能停止
- CT示脑干血肿量较多,接近10ml,占位效应明显
- GCS评分6分,符合指南的手术指征要求,血肿不清除有病情继续恶化、死亡,或长期重症监护的可能
- 如果是血管畸形破裂出血,必须去除病因
手术可行性评估
脑干安全区(三叉神经周围安全区)
熟练掌握脑干解剖,准确定位是手术成功关键
手术入路选择
最适合的入路是颞下入路和枕下乙状窦后入路。
综合评估后选择了枕下乙状窦后入路:
1、枕下乙状窦后入路显露时不需切开小脑幕,破坏正常结构;
2、脑脊液释放后小脑塌陷,空间比较宽阔,显露三叉神经周围视角比较好,操作方便;
3、虽位置深,有内镜技术的优势,不需牵拉脑组织,可避免小脑挫伤、出血肿胀。
手术体位
取右侧枕下乙状窦后入路,使用全神经内镜经颅手术体位中头位较显微镜旋转轻,方便内镜持镜操作
术中图片
手术视频
释放脑脊液,颅压下降后分离蛛网膜,暴漏三叉神经,通过三叉神经进行准确定位,找到三叉神经上安全区,并定位血肿位置。
准确定位三叉神经上安全区,造瘘4mm瘘口,准确找到脑干内血肿,清除脑干内血肿,全程对脑干牵拉较轻
内镜抵近,深入血肿腔,观察异常血管团,沿边轻柔分离异常血管组织,远离脑干表面后低功率电凝,保护脑干正常结构,全切异常血管团
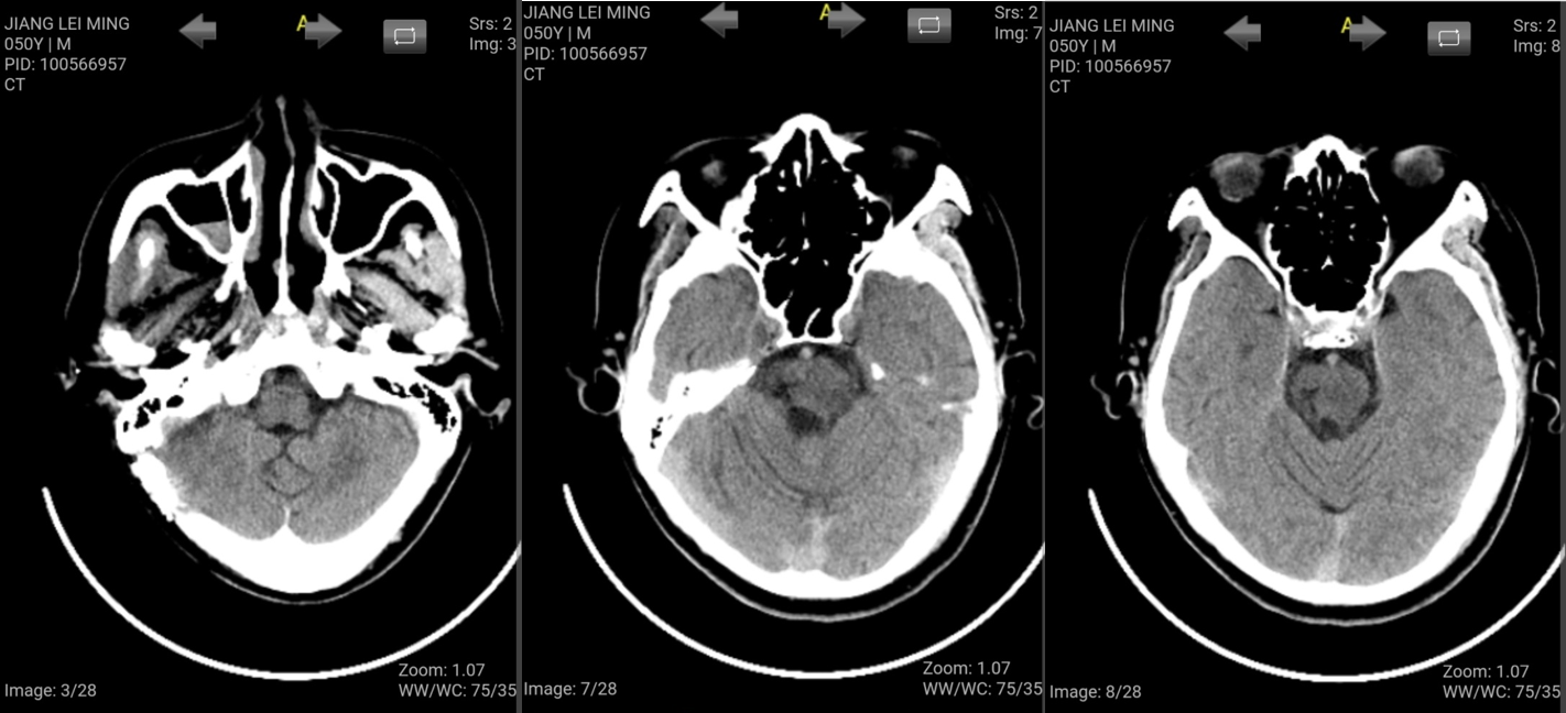
术后情况
术后第一天复查CT示脑干血肿清除干净,脑损伤不重
骨瓣2厘米,小于一元硬币
术后第三天(11月5号)停镇静后患者神志转清,能自主睁眼,右侧肢体活动自如,左侧肢体肌力2级。
术后恢复过程
- 患者术后第二天自主呼吸恢复,第三天恢复意识。
- 11月13号(术后10天)转入普通病房,并开始进入早期康复治疗
- 患者未行气管切开,无下肢深静脉血栓形成,无进食呛咳
- 11月30号(术后28天)转入康复科进行康复训练
围手术期管理
围手术期管理
术前:1、启动急诊绿色通道,紧急颅脑CT确诊脑干出血,为患者尽快接受治疗创造条件
2、迅速启动生命体征监测,降血压防止再出血,给予止血治疗
3、紧急完善术前准备,系统评估手术适应症、预后、术中风险、手术方式、手术器械的选择,征求家属的意愿。
术中:1、设计最佳手术入路(枕下乙状窦后入路)
2、准确解剖定位脑干安全区和血肿位置,准确找到血肿
3、减少对脑干面的骚扰,减少电凝,使组织远离脑干面,低功率电凝。
术后:1、ICU病房重症监护,呼吸机辅助呼吸,镇静降低脑代谢及耗氧
2、降颅压、控制血压防止再出血、预防肺部感染及下肢血栓形成等措施
3、早期康复治疗的介入
中长期随访
四月复查CT示出血区除外,脑干结构完好
术后6个月微信随访,患者神志清,思维敏捷,右侧肢体活动良好,左侧肢体已恢复至3-4级肌力,远端精细活动还不理想。
相信1年后恢复还会更好。
心得体会
1.脑干出血手术需严格手术适应症:
①出血原因、形状对预后有影响,血肿边缘圆钝说明推挤为主,对脑干撕裂轻,预后相对较好;
②一般选择发病初期GCS评分5-8分的患者
③家属意愿非常重要,避免加重家庭负担和不理解。
2.术中操作中对脑干的保护:
①提前对脑干解剖的学习很重要,准确定位脑干安全进入区,准确找到血肿是手术成功的关键;
②减少牵拉,并避免过度骚扰脑干正常结构,需电凝则离开脑干表面进行低功率电凝;
③熟练掌握各种手术入路解剖,选择合适入路,避免暴露不好而过度牵拉损伤脑组织,或找不到血肿,或导致血肿残留较多。
3.内镜在锁孔手术中有很大优势
①切口、骨瓣更小,可处理的病变深度更深
②抵近观察,视野宽阔,可进入血肿腔观察处理病变的界面,减少损伤
③全程无牵拉,避免因视角和暴漏范围的不足导致对脑组织的牵拉损伤;
④需要一个内镜固定臂,或者一个训练有素的助手持镜
作者简介
青岛市即墨人民医院(青岛天坛脑科医院)神经外科副主任,脑肿瘤与脑血管病医疗组长
毕业于第二军医大学,
青岛市优秀青年医学人才
学术职务:
中华志愿者协会中西医结合委神经外科专业组常务委员
中国生命关怀协会脑卒中救治与康复照护专业委员会全国委员
山东省临床肿瘤学会第一届神经肿瘤专家委员会常务委员
山东省神经科学学会脑机接口与神经修复委员会常务委员
山东疼痛医学会第三届神经损伤专业委员会常务委员
山东省医师协会神经内镜分会委员
山东省医学会神经外科分会神经内镜学组委员
山东省医学会神经外科分会脑血管病学组委员
山东省健康管理协会神经创伤及重症专业委员会委员
山东省疼痛医学会脑卒中医工融合智能医疗专业委员会委员
青岛市医学会神经外科分会委员
专业特长:
擅长垂体瘤、颅咽管瘤等鞍区肿瘤,脑膜瘤、脑胶质瘤、脑转移瘤等颅内肿瘤,脑动脉瘤和脑血管畸形、脑血管狭窄和烟雾病等脑血管病,脑干出血、高血压脑出血及视神经损伤等疾病的诊断和手术治疗。在显微镜及神经内镜下锁孔微创手术方面有比较丰富的临床经验。引进的神经内镜技术填补即墨地区空白。全内镜下锁孔入路脑干血管畸形切除术和巨大脑膜瘤切除手术在国家卫健委主办的全国比赛中分别获得第三届全国总决赛二等奖和第二届全国半决赛第六名,多发动脉瘤、经眶入路手术多次在省医师协会和青岛医学会举办的比赛中获得二等奖。多项先进手术技术连续六年在院新技术成果评选中获得一等奖和二等奖等佳绩。





