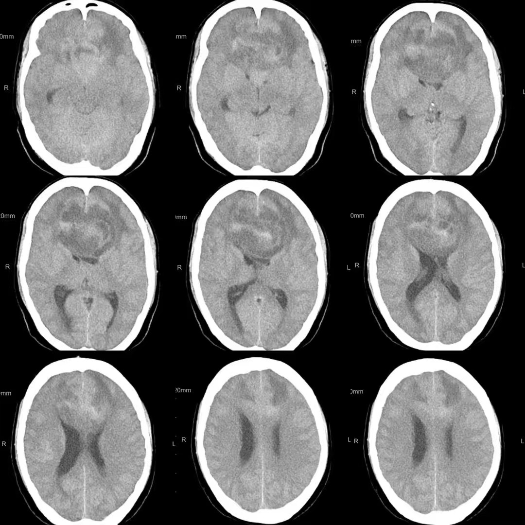
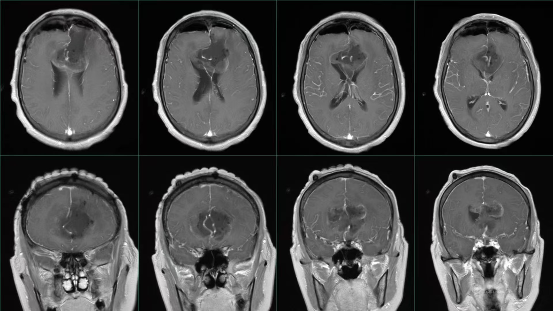
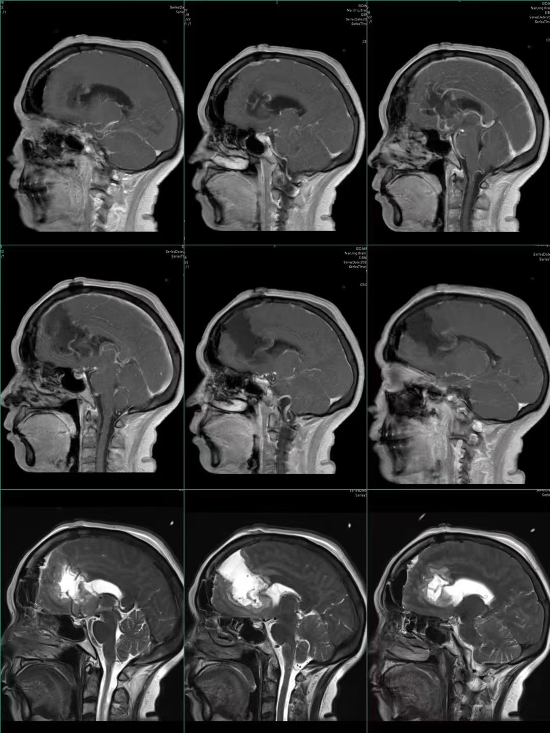
患者,女性,58岁,因“反应迟钝、记忆力下降1月,加重伴头痛、恶心、呕吐1周”入院。







































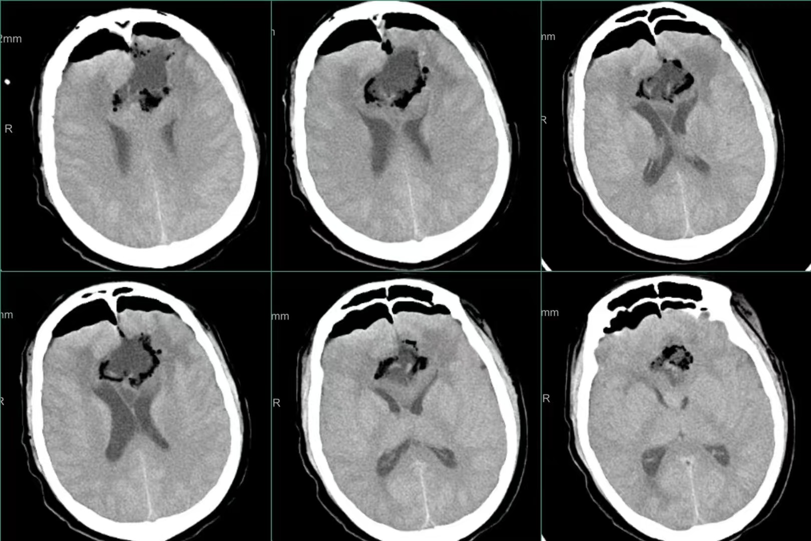
术后第二天,患者症状显著改善,认知功能明显好转
术后半月恢复正常生活
蝴蝶型高级别胶质母细胞瘤(Butterfly glioblastomas),临床相对较少见,手术风险及难度均较大,总体预后不佳。欢迎各位专家批评指正!
希望和各位神经外科同仁共同交流学习:



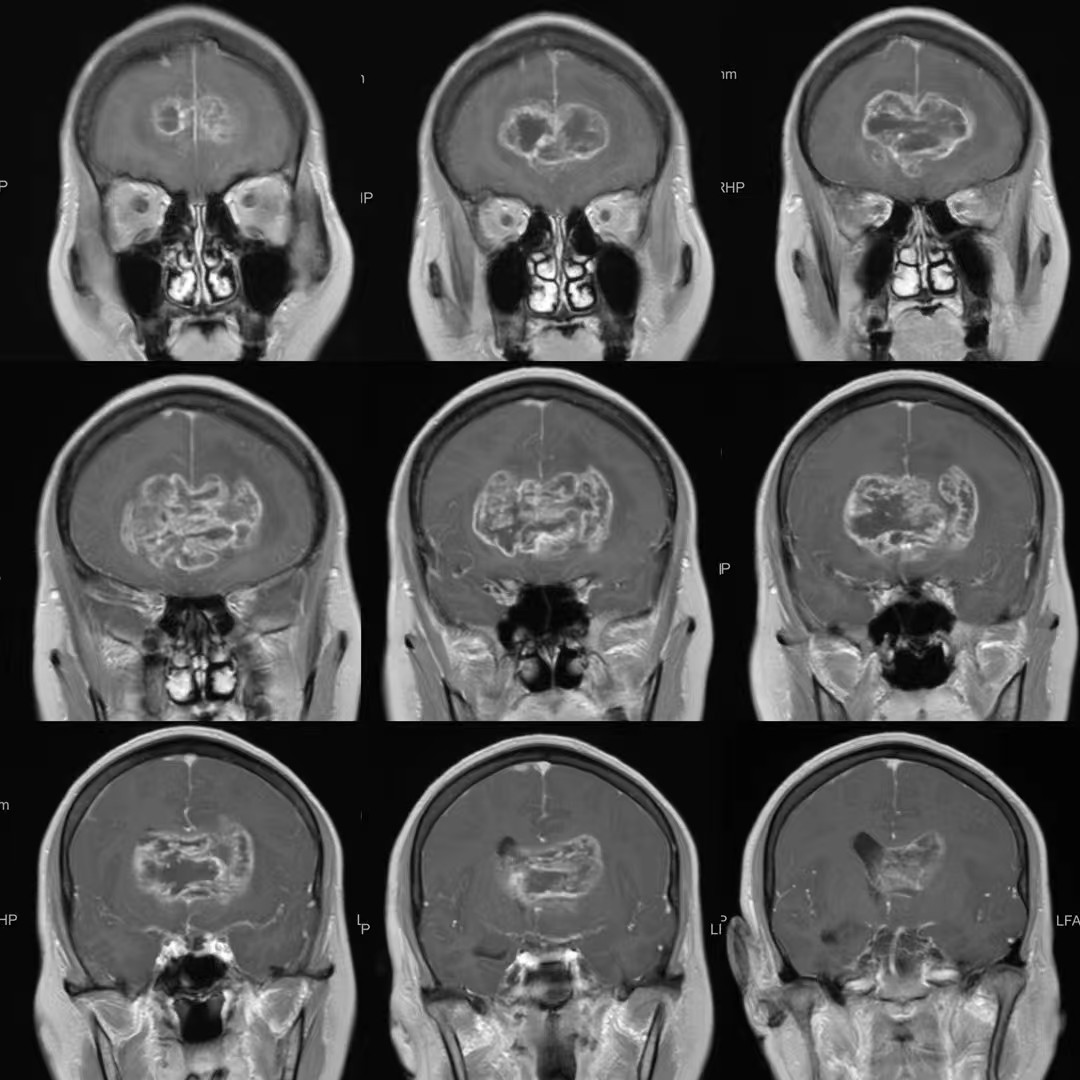
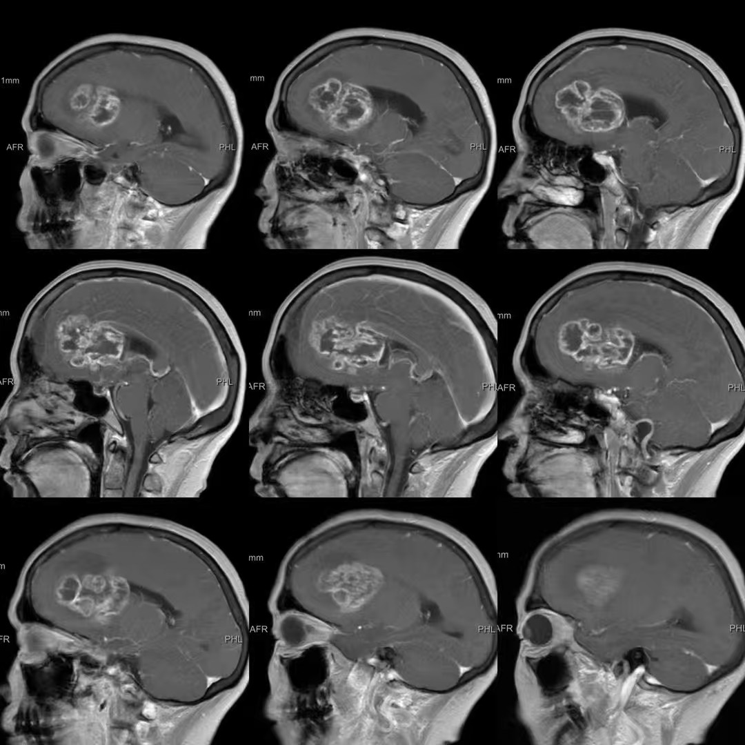
巨大蝴蝶型胶质母细胞瘤(Butterfly glioblastomas)切除术
患者,女性,58岁,因“反应迟钝、记忆力下降1月,加重伴头痛、恶心、呕吐1周”入院。







































术后第二天,患者症状显著改善,认知功能明显好转
术后半月恢复正常生活
蝴蝶型高级别胶质母细胞瘤(Butterfly glioblastomas),临床相对较少见,手术风险及难度均较大,总体预后不佳。欢迎各位专家批评指正!
希望和各位神经外科同仁共同交流学习:


