2025年11月19日发布 | 301阅读
脑血管-动静脉畸形

右侧侧裂脑AVM切除术

赵新利

湛江中心人民医院

达人收藏

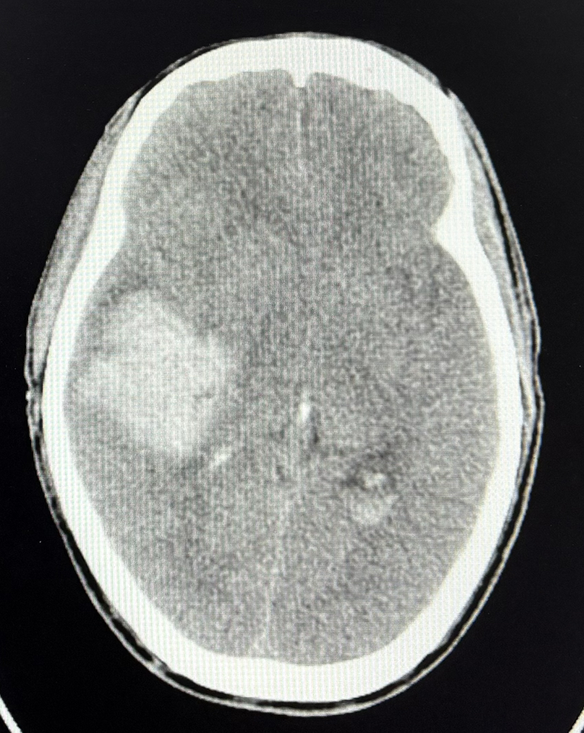
男,49岁,突发脑出血!无高血压病史,外院DSA示:右侧侧裂AVM,转本院要求进一步治疗!发病后9天行“AVM切除并血肿清除”!

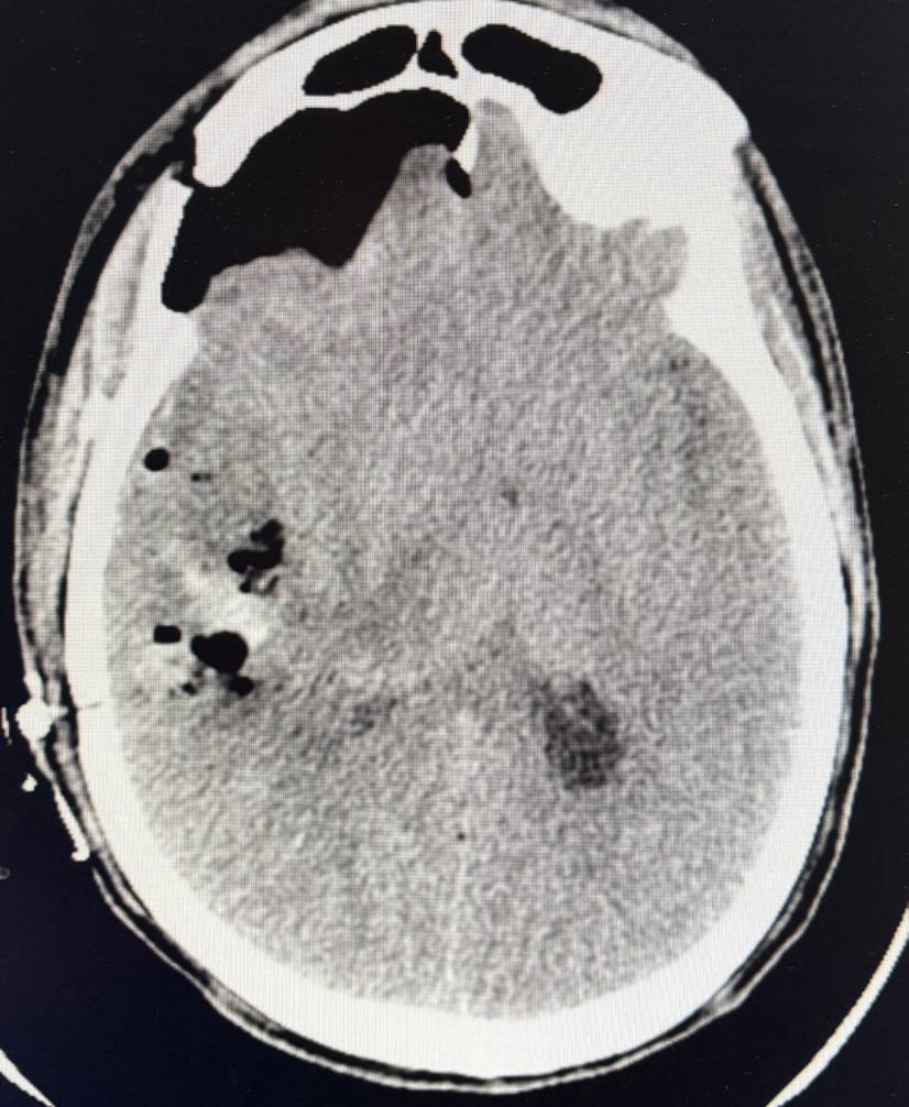
术后麻醉清醒,即刻复查CTA示:畸形切除完全,血肿清除彻底,安全返回病房!

CT示:脑出血

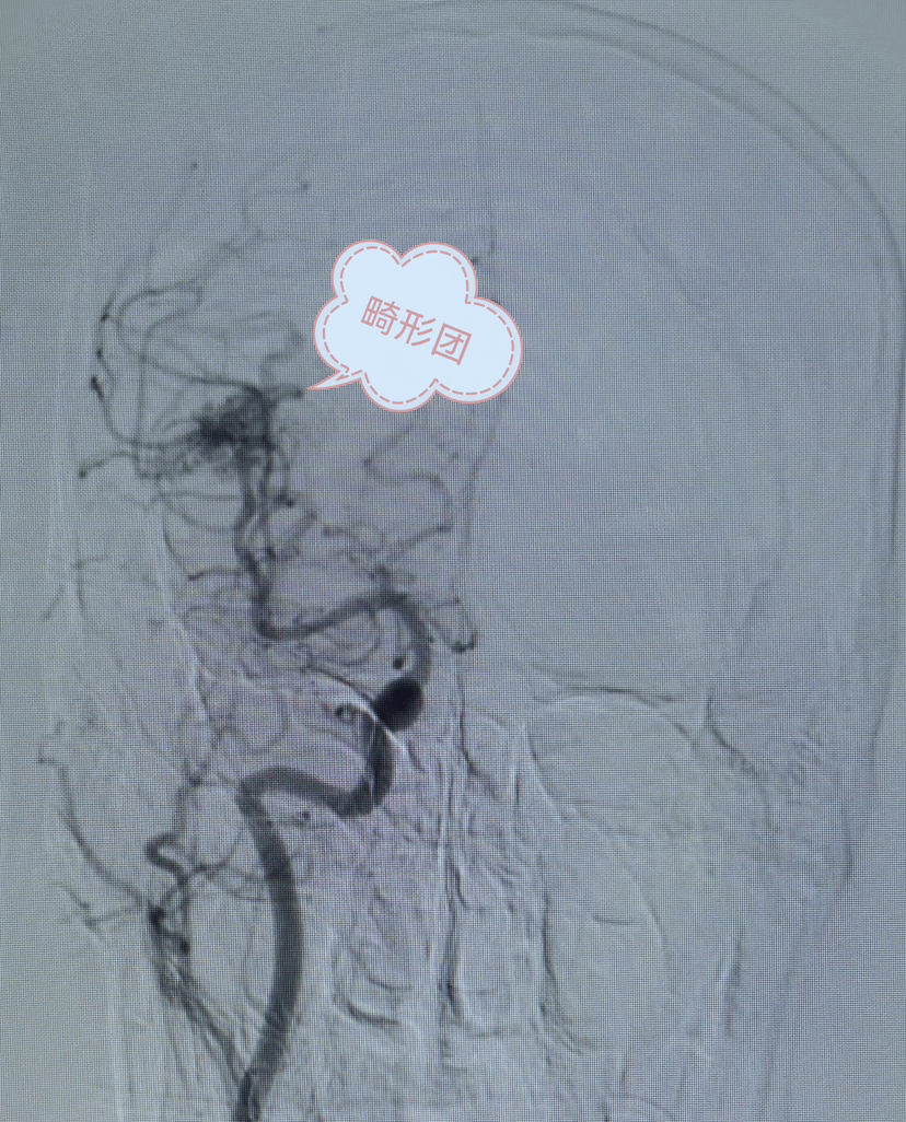
DSA正位

DSA侧位

3D-DSA

术前CTA

术中显微镜视野全图

阻断供血动脉,吲哚青绿造影,畸形团不显影

去除供血动脉阻断夹,畸形团迅速显影

去除供血动脉阻断夹,畸形团显影

畸形团位于后颞横回,全切

术后CT显示血肿清除彻底

术后CTA显示畸形团全切

最新评论
发表你的评论
发表你的评论

神外年会

782内容6652阅读

进圈子
来自于专栏