基本信息:患者女,45岁,主因“突发头痛伴恶心呕吐4小时”于2024年11月12日入院。
既往病史:既往体健,否认“高血压、糖尿病、冠心病”等慢性病史;否认“肝炎、结核”等传染病病史;否认外伤及手术史;否认药物食物过敏史。入院查体:神清,查体合作,言语流利,对答切题,GCS评分15分,Hunt-Hess分级2级,双侧瞳孔等大等圆,直径约3mm,对光反应灵敏,颈软,无抵抗,四肢肌力肌张力正常,病理征阴性。
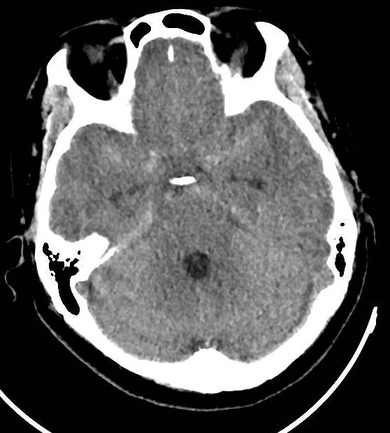
诊疗经过:入院时颅脑CT示蛛网膜下腔出血






颅脑CTA示左侧大脑中动脉分叉处动脉瘤












入院后完善术前相关检验检查,排除手机禁忌症后,急诊行翼点入路颅内动脉瘤夹闭术















颅内动脉瘤是在局部脑血管先天结构异常或后天结构损伤的基础上因局部血流冲击所形成的局部膨出。在脑血管意外中仅次于脑梗死及高血压脑出血。颅内动脉瘤破裂是临床上的急危重症,具有高致残率及致死率。目前外科的干预方式主要有开颅手术及血管内介入治疗两种。石嘴山市第一人民医院神经外科团队,无论是在开颅还是血管介入方面都具有丰富的临床经验。




