77岁,女性。
因头痛、运动性失语及右上肢肌力减弱1小时就诊,伴发左上肢运动过度和肌张力障碍。
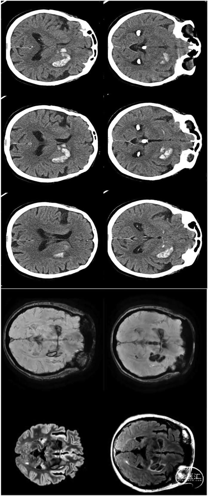
颅脑CT与MRI影像(见图)显示左侧基底节区深部脑出血,出血经Gratiolet管向前跨胼胝体延伸至对侧基底节。
图.入院时颅脑CT轴位图像与3个月后随访MRI(含T2-FLAIR及磁敏感加权血管成像序列)。影像显示左侧基底节区深部脑出血,经Gratiolet管跨胼胝体延伸至对侧基底节区:

深部脑出血经Gratiolet管形成跨胼胝体延伸是一种罕见影像学表现¹,迄今仅见少量病例报道²。这种情况具有显著功能学意义,因其破坏半球间联络功能,可能导致双侧锥体外系运动通路功能障碍及反常运动现象。例如出血同侧出现肌张力障碍,可能源于对侧锥体外系运动回路去抑制,或胼胝体连接中断导致精细运动调节功能受损,最终引发大脑半球间功能失衡。
延伸阅读:
Neurology
. 2025 Jul 8;105(1):e213740. doi: 10.1212/WNL.0000000000213740. Epub 2025 Jun 9.
Left Spontaneous Basal Ganglia Hemorrhage With Transcommissural Extension Via the Canal of Gratiolet and Left-Sided Dystonia: A Case Report
*本文转载自微信公众号“脑血管病及重症文献导读”,脑医汇获授权转载
声明:脑医汇旗下神外资讯、神介资讯、脑医咨询、Ai Brain 所发表内容之知识产权为脑医汇及主办方、原作者等相关权利人所有。
投稿邮箱:NAOYIHUI@163.com
未经许可,禁止进行转载、摘编、复制、裁切、录制等。经许可授权使用,亦须注明来源。欢迎转发、分享。
投稿/会议发布,请联系400-888-2526转3。