52岁,女性。突发昏倒,由救护车送至急诊室。入院时血压高达212/146 mmHg,患者呈嗜睡状态(格拉斯哥昏迷量表评分E3V4M5),右侧肢体弛缓性偏瘫。既往有高血压病史,长期控制不佳且未规律治疗。血液检查显示甘油三酯和低密度脂蛋白水平升高,D-二聚体等其他指标均在正常范围。
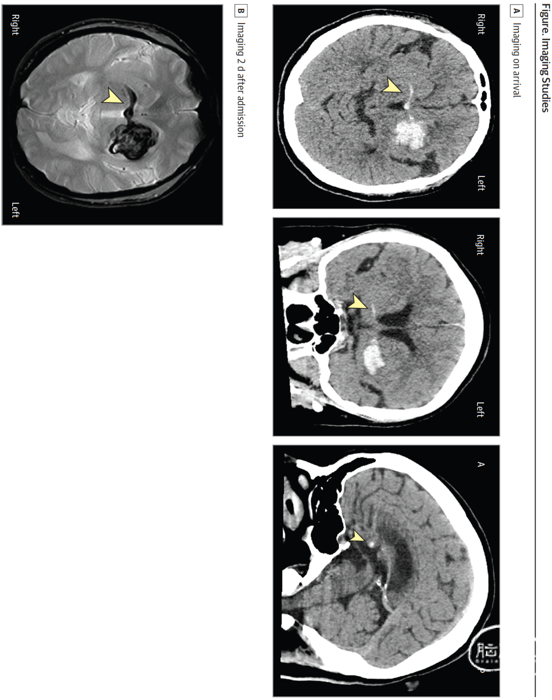
头颅CT平扫显示左侧基底节区(累及苍白球与壳核)高密度病灶,提示颅内出血(估算血肿量8.1 mL)。值得注意的是,一条异常线性高密度影从出血灶水平延伸至对侧(图A),该高密度影可能沿前连合后肢走行,这条通路从腹侧苍白球发出,穿过第三脑室前壁。2天后进行的脑部磁共振成像显示,沿前连合走行方向可见"车把样"含铁血黄素沉积,从左基底节血肿向对侧投射(图B)。磁共振血管造影未发现血管异常。
下图:A、入院时头颅CT显示线性出血灶(箭头所示)从左基底节区水平延伸,经前连合贯穿至对侧。B、入院2天后T2*加权磁共振成像显示,沿前连合走行方向可见车把样含铁血黄素沉积(箭头所示),该征象源自左基底节区血肿。图中A代表前方位,P代表后方位:

本病例中,基底节区出血似乎通过前连合扩展至对侧。前连合是连接大脑两半球、呈车把样的连合纤维束。临床上有多种半球病变会累及前连合,包括胶质瘤播散和外伤性剪切伤。据文献报道,外伤性双侧多发性颅内出血1和高血压性双侧基底节出血2均可能与前连合出血相关。前连合后肢表面覆盖着一层名为Gratiolet管的薄层灰质,由于该结构横跨双侧半球且外侧端延伸至苍白球与壳核之间,有学者认为基底节出血可能经此通道扩散2,3。
然而既往报道的病例中,合并前连合出血的基底节出血均为双侧性,这可能提示脆弱的前连合因受到双侧出血灶压迫而发生继发性出血转化。但本例患者基底节出血为单侧性,Gratiolet管两端均未被血肿封闭。因此我们在Gratiolet管内观察到的出血并非脆弱部位的继发性出血转化,而是单侧基底节血肿通过此结构向对侧扩散的结果。
本病例为临床提供了重要启示:单侧基底节出血可能经Gratiolet管扩散至对侧。需要特别注意的是,单侧颅内血管病变(偶尔也包括其他病变)有可能通过前连合发展为双侧病变。
JAMA Neurol
. 2025 Jul 1;82(7):747-748. doi: 10.1001/jamaneurol.2025.1182.
Hemorrhage Into the Canal of Gratiolet
*本文转载自微信公众号“脑血管病及重症文献导读”,脑医汇获授权转载
声明:脑医汇旗下神外资讯、神介资讯、脑医咨询、Ai Brain 所发表内容之知识产权为脑医汇及主办方、原作者等相关权利人所有。
投稿邮箱:NAOYIHUI@163.com
未经许可,禁止进行转载、摘编、复制、裁切、录制等。经许可授权使用,亦须注明来源。欢迎转发、分享。
投稿/会议发布,请联系400-888-2526转3。