
“重庆大学附属肿瘤医院神经外科月刊”每月回顾经典病例,针对神经系统疾病诊断、治疗提出最优治疗方案。病例包括神经系统肿瘤、脑血管疾病、脊柱脊髓疾病等。科室经历20余年发展,已形成以神经外科为先导、肿瘤专科为特色、专家有特长、专病专治的特点,拥有国内外先进技术并可以保持同步发展的神经外科专科队伍。科室目前可开展精准外科体系治疗脑胶质瘤、经鼻内镜下鞍区肿瘤切除手术、复杂颅内颅内动脉瘤介入及夹闭手术、脊柱脊髓肿瘤及退行性病变微创手术、神经导航或机器人辅助下脑内组织穿刺活检技术、神经内镜下脑室内、松果体区肿物切除、神经内镜与显微镜双镜联合行大脑深部、颅底的复杂肿瘤切除等。

本期为大家分享,重庆大学附属肿瘤医院神经外科病例精彩内容:扩大翼点入路切除翼腭窝、中后颅窝三叉神经鞘瘤。欢迎阅读和分享!

病例介绍

病史摘要:张某某,男性,34岁,因“右侧颜面部疼痛1周”入院。
查体:意识I级,神清合作,右侧咬肌、颞肌肌力下降,右侧面部感觉减退,右侧颜面部肿胀,皱额对称,闭眼、露齿、鼓腮正常,口角无歪斜,鼻唇沟对称,双侧听力粗测正常,四肢活动,肌力V级,肌张力正常。余无特殊。

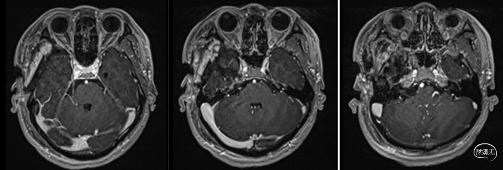
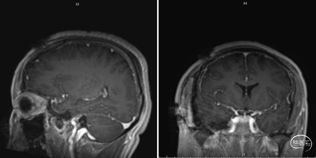
术前影像学资料





手术摘要

1. 平卧位,头左偏,颧弓根置于水平最高点,三钉固定头部,额颞切口。

2. 依次切开头皮、皮下、肌肉,充分显露右侧额颞部。
3. 筋膜间入路分离颞部脂肪层,切开颞肌,离断颧弓,颞肌翻向颞侧并固定,充分暴露中后颅窝。
4. 钻孔、铣出前中颅底骨窗,咬骨钳咬除骨质至平颅底,处理蝶骨嵴,悬吊硬脑膜。
5. 首先剪开硬脑膜,经硬膜下撑开颞叶,见海绵窦侧壁肿瘤呈灰白色、条索状,质中,血供一般。

6. 海绵窦侧壁肿瘤切除后,可见病灶侵蚀小脑幕,切开小脑幕,见肿瘤基底,分块切除幕下肿瘤。


7. 经硬膜下切除肿瘤,可见Meckels腔扩大,三叉神经受肿瘤侵蚀,明显增粗,走形较紊乱,并有部分神经融合。



8. 经硬膜外游离出中颅底,神经导航定位出圆孔、卵圆孔,高速磨钻磨除内侧壁骨质,即见翼腭窝内肿瘤。

9. 钝性、锐性结合,分块切除翼腭窝内肿瘤。


10. 取颞肌回填翼腭窝内骨质缺损,生物胶固定。
11. 回纳颧弓,使用连接片固定,分层缝合肌肉、帽状腱膜、头皮。
12. 术毕。

术后影像学




术后病理



术后查体


术者体会

翼腭窝为一复杂解剖结构,位置深在,为一狭窄裂隙,由蝶骨体、蝶骨翼突、颚骨垂直板、上颌窦后壁、颞下窝组成,与上颌窦、眼眶、中颅底、颞下窝、口鼻相通,其内有神经、血管传通,常为感染或肿瘤扩散的通道。翼腭窝病变多数为继发性,原发少见。翼腭窝与颞下窝区域的肿瘤,容易沿通道间隙呈钻缝样生长,有时难以确定原发部位,如切除不彻底,易复发。因此,术前详细阅片,推断肿瘤起源尤为重要。
翼腭窝为三叉神经上颌支走行区域,为神经鞘瘤好发部位。常引起面部感觉、功能障碍,手术为治疗首选方案,同时,伽玛刀放射外科也是治疗方案之一,但疗效存疑,且需多次治疗。
该区域解剖复杂,肿瘤很难清晰暴露于术野,手术难度相对较大,常凭术者临床经验术中判断肿瘤是否完整切除。目前,该区域肿瘤仍以传统开颅切除为主。但近年来,对于主体位于翼腭窝内的肿瘤,也有许多神经外科、耳鼻喉科医生通过鼻窦、上颌窦、泪前隐窝等手术通道,利用神经内镜或鼻内镜进行切除。
三叉神经鞘瘤的影像学可分型为:中颅窝型(位于鞍旁,常沿鞍内生长,岩骨尖部骨质吸收,海绵窦、颞叶受压推挤),后颅窝型(多位于桥小脑角区域,瘤体主要位于硬膜下,膨胀性生长),中后颅窝型(沿三叉神经走形,骑跨中后颅窝,表现为典型的“哑铃状”生长,常伴岩尖骨质破坏),颞下窝、翼腭窝型(向颅中窝、颞下窝、翼腭窝生长,伴有圆孔、卵圆孔扩大),眼眶型。
三叉神经鞘瘤可发生于三叉神经颅内外段的任意部位,生长模式复杂,可同时位于硬膜下、硬膜外及颅外。因此,三叉神经鞘瘤的手术要点在于选择正确的手术入路,以达到最大程度的切除率与最小程度的并发症发生率。
三叉神经鞘瘤常有明确包膜,对于中颅窝型三叉神经鞘瘤,其向内侧挤压海绵窦,但两者之间存在膜性边界,因此,单纯海绵窦神经鞘瘤可以理解为硬膜外病变,经硬膜外入路解剖清晰、操作简洁、脑损伤发生率低、能较好控制海绵窦出血(“第十期:扩大中颅窝入路经硬膜外切除三叉神经鞘瘤”我科已有相应病例汇报)。但本例肿瘤起源于三叉神经脑干端,从后颅窝生长至中颅窝(海绵窦旁),从圆孔向下生长至翼腭窝。中后颅窝肿瘤大部位于硬膜下,海绵窦侧壁、岩尖部位的肿瘤体积相对较小,故手术入路选择经硬膜下切除中后颅窝病变,可清晰辨认三叉神经主体及分支,且能够更加从容处理海绵窦侧壁肿瘤。而翼腭窝为硬膜外病变,故经硬膜外入路切除翼腭窝区域肿瘤。
本病例是个很有意思的病例:肿瘤从后颅窝至中颅窝再至翼腭窝,考验手术团队对该病例的解剖认识及手术入路的选择。但是,对于手术入路的选择并无绝对定式,需根据肿瘤具体位置、大小、形态、质地、走行与神经及血管的毗邻粘连关系、外科医师经验等,综合决策。

参考文献

1. Renata C, et al: Anatomy and Diseases of the Greater Wings of the Sphenoid Bone. Radiographics, 2022.
2. Shi JL, et al: Neuroendoscopic Resection of Trigeminal Schwannoma in the Pterygopalatine/Infratemporal Fossa via the Transnasal Perpendicular Plate Palatine Bone or Transnasal Maxillary Sinus Approach. World Neurosurg, 2018.
3. Krisht AF , et al: Surgical clipping of complex basilar apex aneurysms: a strategy for successful outcome using the pretemporal transzygomatic transcavernous approach. Neurosurgery, 2005.
4. Xu C, et al: Middle cranial fossa trigeminal schwannoma resection through endoscopic transnasal maxillary sinus approach: A case report and literature review. Exp Ther Med, 2022.
5. Krisht AF, et al: Transcavernous approach to diseases of the anterior upper third of the posterior fossa. Neurosurg Focus, 2005.
6. Kazuhiro O, et al: Minimally Invasive Transnasal Approach to the Anteromedial Temporal Fossa and Lateral Sphenoid Using a Novel Landmark between Periorbita and Periosteum of the Pterygopalatine Fossa: A Cadaveric Study. J Neurol Surg B Skull Base, 2024.
7. Youssef S, et al: The Subtemporal Interdural Approach To Dumbbell-Shaped Trigeminal Schwannomas: Cadaveric Prosection. Neurosurgery, 2006.
8. Liao CH, et al: Pretemporal trans–Meckel’s cave transtentorial approach for large petroclival meningiomas. Neurosurg Focus, 2018.

专家简介

杨海峰 主任医师
● 重庆大学附属肿瘤医院神经外科科主任,主任医师,医学博士,硕士研究生导师
● 主要从事神经系统肿瘤的显微手术及内镜手术治疗及恶性脑肿瘤发生发展机制研究
● 近5年主持国家及省部级课题5项,发表高水平SCI文章20余篇
● 学会任职:中国抗癌协会神经肿瘤专委会常委,中国抗癌协会肿瘤神经病学专委会常委,中国抗癌协会脑胶质瘤专委会委员,中国医师协会脑胶质瘤专委会委员,中国临床肿瘤学会神经肿瘤专委会委员,中国解剖学会神经解剖专委会委员,中国医学装备协会神经外科分会委员,中国医药创新促进会脑神经药物临床研究专业委员会委员,中国脑膜瘤多学科诊疗协作组专家委员会委员,重庆抗癌协会脑胶质瘤专委会主任委员,重庆市医药生物技术协会神经外科专委会主任委员,重庆市医师协会脑胶质瘤专委会副主任委员,重庆抗癌协会神经肿瘤专委会副主任委员,中国临床医生杂志审稿专家,美国Cleveland Clinic访问学者
骆鹏任 住院医师
● 重庆大学附属肿瘤医院神经外科医师,医学硕士
● 重庆市生物医药技术委员会神经外科专委会委员
● 以第一作者发表SCI论文2篇
● 对神经胶质瘤、脑膜瘤、鞍区肿瘤、脑转移瘤有较为丰富的诊治经验

科室简介


01
科室简介:
02
科室人员构成:
03
科室特色:
(1)现代精准外科体系治疗脑胶质瘤;
(2)经鼻内镜下鞍区肿瘤切除手术,包括常见垂体腺瘤、颅咽管瘤、鞍结节脑膜瘤、侧颅底肿瘤等;
(3)复杂颅内颅内动脉瘤介入及夹闭手术;
(4)神经导航或机器人辅助下脑内组织穿刺活检技术;
(5)神经内镜下脑室内、松果体区肿物切除以及神经内镜下三脑室底造瘘技术治疗脑积水;
(6)脊柱脊髓微创切除及固定手术;
(7)神经内镜与显微镜双镜联合行大脑深部、颅底的复杂肿瘤切除。
点击上方二维码
查看重庆大学附属肿瘤医院神经外科更多内容

声明:脑医汇旗下神外资讯、神介资讯、神内资讯、脑医咨询、Ai Brain 所发表内容之知识产权为脑医汇及主办方、原作者等相关权利人所有。








