
“重庆大学附属肿瘤医院神经外科月刊”每月回顾经典病例,针对神经系统疾病诊断、治疗提出最优治疗方案。病例包括神经系统肿瘤、脑血管疾病、脊柱脊髓疾病等。科室经历20余年发展,已形成以神经外科为先导、肿瘤专科为特色、专家有特长、专病专治的特点,拥有国内外先进技术并可以保持同步发展的神经外科专科队伍。科室目前可开展精准外科体系治疗脑胶质瘤、经鼻内镜下鞍区肿瘤切除手术、复杂颅内颅内动脉瘤介入及夹闭手术、脊柱脊髓肿瘤及退行性病变微创手术、神经导航或机器人辅助下脑内组织穿刺活检技术、神经内镜下脑室内、松果体区肿物切除、神经内镜与显微镜双镜联合行大脑深部、颅底的复杂肿瘤切除等。

本期为大家分享,重庆大学附属肿瘤医院神经外科病例精彩内容:扩大中颅窝入路经硬膜外切除三叉神经鞘瘤。欢迎阅读和分享!

病史摘要


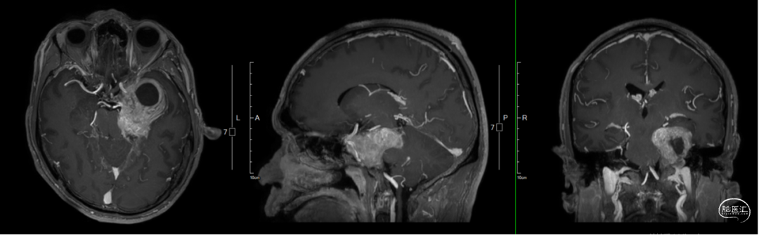
术前影像学资料






病灶横跨中后颅窝,囊实性为主,膨胀生长,部分蝶骨、岩骨及床突吸收破坏,病变通过Meckel’s腔由中颅窝及海绵窦区向后颅窝生长,脑干受压。
手术入路选择:患者病灶大,囊实性,T2提示实性部分含水量低,质地可能硬韧,病灶靠近大脑中动脉及颈内动脉,病灶横跨中后颅窝,Meckel’s周围骨质破坏,自然通道较大,故综合考虑选择扩大中颅窝入路经硬膜外切除病灶。
术前诊断:左侧中后颅窝占位:三叉神经鞘瘤?

术中情况


手术切口

蓝色:离断颧弓部位
扫码观看手术视频

术中视角






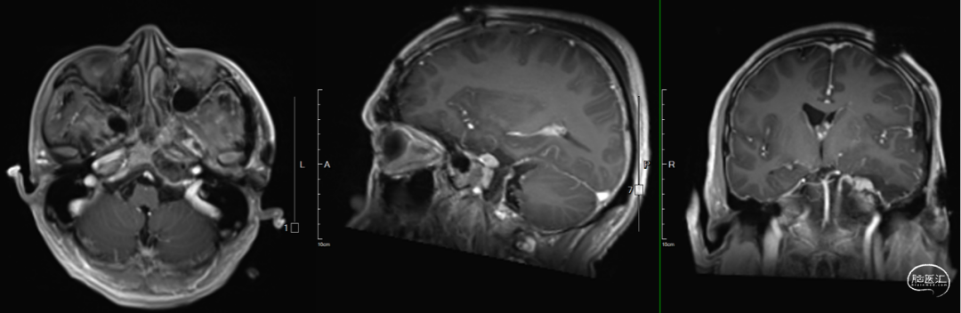
术后影像学资料



橙色箭头:离断颧弓还纳
红色箭头:脂肪填塞封堵
黄色箭头:人工硬膜重建


术后影像学提示:病灶切除彻底,脂肪+人工硬膜封堵Meckel’s腔在位。

病检结果


术后患者随访结果(患者本人已授权)
眼球运动、张口咀嚼无异常

病例讨论

本例三叉神经鞘瘤为什么可以选择硬膜外入路?
三叉神经鞘瘤多起源于三叉神经根、半月神经节或三叉神经分支。起源于半月神经节或三叉神经分支鞘瘤多位于硬膜外,肿瘤有明显包膜,呈膨胀性生长,由于病变在海绵窦外侧壁神经束膜层生长,只是推挤周围正常血管和神经结构。向内侧挤压海绵窦,肿瘤和海绵窦窦腔的膜性结构有边界。故神经鞘瘤可以理解为硬膜外-海绵窦窦腔之间病变。基于上述解剖基础,本例三叉神经鞘瘤非常适用于硬膜外入路,此手术入路相较于硬膜下入路,便于显露整体解剖结构,早期辨识三叉神经各分支,利于肿瘤显露和切除。
何谓扩大中颅窝入路?
扩大中颅窝入路(Extended middle fossa approach)是对最初的中颅窝入路(Middle fossa approach)的扩展。这一入路能够充分暴露整个中颅窝底和海绵窦区。有学者认为,扩大中颅窝入路的关键在于对岩骨尖进行充分磨除以显露岩下窦、Meckel’s腔、岩科裂、桥小脑角区前内侧、三叉神经跟和面神经之间脑桥腹外侧区。Fukushima教授称 kawase 入路为扩大中颅窝入路。可能是因为Kawase教授于1985年首次采用扩大颅中窝入路来处理基底动脉中段动脉瘤的缘故kawase入路在术中切除三叉神经压迹和弓状隆起之间骨质,向下达内听道和岩部颈内动脉,但保留了膝状神经节下方和内听道上外侧的骨质。采用扩大中颅窝入路处理三叉神经鞘瘤时,需明确此入路的最佳显露范围。此入路的显露范围为:外侧(颈内动脉岩骨段),内侧(对侧外展神经),前方(三又神经根),上方(动眼神经),下方及后方(内耳道)。因此,肿瘤下缘超过面听神经复合体时,应考虑经岩后入路切除病变。此病例(图二蓝色箭头)下后方未超过内听道,同时,由于良性肿瘤的膨胀生长已使Meckel’s腔扩大,三叉神经压迹和弓状隆起之间骨质已被吸收,形成天然的进入后颅窝通道,因此可选择此入路切除病灶。

手术入路对比?中颅窝底硬膜外入路VS硬膜下入路

浅谈Meckel’s腔
Meckel’s 腔是一个硬脑膜隐窝,从后颅窝延伸到中颅窝的后内侧部分,提供了一条自然通路,允许从中颅窝进入后颅窝。简单来说,可以把Meckel’s腔理解为一个口袋,从后颅窝往前伸入到中颅窝,位于中颅窝的两层硬膜之间,容纳着三叉神经根和半月神经节,开口于后颅窝。其开口的下方为内侧岩骨峭,上方为岩上窦,内侧为海绵窦外缘。在 Meckel’s腔内蛛网膜下腔向前延伸至约半月节中部水平。海绵窦的内侧壁和外侧壁的下缘汇聚在一起。只有Meckel’s腔内侧壁的上部和半月神经节的上部正好位于海绵窦外侧,即几乎全部 Meckel’s腔都位于海绵窦后部的下外侧方。
半月神经节和三叉神经根在其背外侧表面有两层固有硬脑膜:内层的后颅窝固有硬脑膜构成Meckel’s 腔的背外侧壁,外层则是中颅窝固有的硬膜。这两层之间的平面作为Meckel’s 腔内容物硬膜间显露的解剖标志。
三叉神经孔是Meckel’s腔向后的卵圆形开口,与后颅窝相通。两层固有硬膜(来自中、后颅窝)形成三叉神经开口的顶壁,岩上窦位于两层硬膜之间,三叉神经孔顶壁的两层硬膜继续向后延续,形成小脑幕。

通过硬膜外入路,可见硬膜外入路下看到的Meckel‘s腔结构,包括三叉神经第1、2、3支,动眼神经、滑车神经及眶上裂、圆孔及卵圆孔等结构。

参考文献


专家简介

杨海峰 主任医师
- 重庆大学附属肿瘤医院神经外科科主任,主任医师,医学博士,硕士研究生导师 
- 硕士毕业于首都医科大学北京天坛医院 
- 博士毕业于首都医科大学宣武医院 
- 主要从事神经系统肿瘤的显微手术及内镜手术治疗 
- 中国抗癌协会肿瘤神经病学专委会常委 
- 中国解剖学会神经解剖专委会委员 
- 中国临床肿瘤学会神经肿瘤专委会委员 
- 中国医学装备协会神经外科分会委员 
- 中国医药创新促进会脑神经药物临床研究专业委员会委员 
- 中国脑膜瘤多学科诊疗协作组专家委员会委员 
- 重庆市医师协会脑胶质瘤专委会副主任委员 
- 重庆市医药生物技术协会神经外科专委会主任委员 
- 重庆抗癌协会神经肿瘤专委会副主任委员 
- 中国临床医生杂志审稿专家 
- Cleveland Clinic访问学者 
- 近年来承担及参与国家级、省部级5项;发表国际SCI高质量论文及国内核心期刊20余篇。主要研究脑肿瘤精准手术治疗体系及脑肿瘤发生发展机制研究 
黄加尚 住院医师
- 重庆大学附属肿瘤医院神经肿瘤科住院医师,医学硕士 
- 重庆市生物医药技术委员会神经外科专委会委员,以第一作者或参与发表SCI 3篇,CSCD1篇 
- 擅长神经胶质瘤多模态术中精准导航,术中唤醒手术及术中电生理监测 

科室简介


01
科室简介:
02
科室人员构成:
03
科室特色:
(1)现代精准外科体系治疗脑胶质瘤;
(2)经鼻内镜下鞍区肿瘤切除手术,包括常见垂体腺瘤、颅咽管瘤、鞍结节脑膜瘤、侧颅底肿瘤等;
(3)复杂颅内颅内动脉瘤介入及夹闭手术;
(4)神经导航或机器人辅助下脑内组织穿刺活检技术;
(5)神经内镜下脑室内、松果体区肿物切除以及神经内镜下三脑室底造瘘技术治疗脑积水;
(6)脊柱脊髓微创切除及固定手术;
(7)神经内镜与显微镜双镜联合行大脑深部、颅底的复杂肿瘤切除。

扫描上方二维码
查看重庆大学附属肿瘤医院神经外科更多内容

声明:脑医汇旗下神外资讯、神介资讯、神内资讯、脑医咨询、Ai Brain 所发表内容之知识产权为脑医汇及主办方、原作者等相关权利人所有。
投稿邮箱:NAOYIHUI@163.com
未经许可,禁止进行转载、摘编、复制、裁切、录制等。经许可授权使用,亦须注明来源。欢迎转发、分享。








