胡伟
中国科学技术大学附属第一医院(安徽省立医院)
神经内科主任,主任医师,研究员,博士生导师
安徽省学术与技术带头人,安徽省青年江淮名医,安徽省科技进步二等奖
安徽省卒中学会副会长兼秘书长;中国医师协会神经病学分会神经介入专业委员会副组长;中国研究型医院神经介入专业委员会副主委;中国卒中学会青年理事会理事;中国医师协会神经介入专业委员会委员;中华医学会神经病学分会神经介入协作组委员;中国医师协会缺血性介入专业委员会委员;中国卒中学会神经介入分会青年委员
发表SCI论文50余篇,以第一作者或通讯作者在”New England Journal of Medicine(新英格兰医学杂志)、Circulation、Stroke、Journal of Stroke、Journal of Neuroinflammation、European journal of neurology“等发表SCI论文30余篇,主持国家及省级重点研究课题6项
擅长:脑血管疾病研究及脑血管疾病各种介入手术,年治疗手术量千余例
王黎
中国科学技术大学附属第一医院(安徽省立医院)
主治医师,博士在读,就职于安徽省立医院神经内科
从事神经介入工作5年,目前能独立完成神经介入常见手术,如脑血管造影、脑血管支架置入及脑血管介入取栓术等
01
患者基本信息
患者:男性,57岁。
主诉:头晕,言语不清伴肢体麻木3月。
现病史:3个月前无明显诱因下出现头晕,言语不清伴右侧肢体麻木,当地医院头颅MRI提示脑干急性脑梗塞,转入我院脑血管造影提示基底动脉重度狭窄,考虑为责任血管,予以对症治疗后,言语不清伴肢体麻木症状改善,仍有头晕。为求进一步血管内介入治疗,再次就诊。
既往史:“高血压病、2型糖尿病”半年,药物控制中,二甲双胍0.5g bid,血糖控制在正常水平,左氨氯地平2.5mg qd,收缩压波动在160-140之间。
查体:神志清楚,言语清晰,行动如常,肌力5级,瞳孔正常,对光反射灵敏。NIHSS评分0分,mRS评分0分。
02
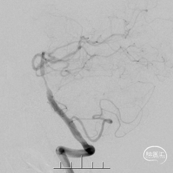
术前DSA影像信息
病变部位:基底动脉
狭窄率:90%
狭窄长度:19.1mm
参考远端血管直径:3.58mm


03
术中器械
造影:
5F 单弯造影管
6F 长鞘
接近/通过病变:
0.014" 微导丝
0.021" 微导管
5F 中间导管
扩张及植入:
赛诺神畅 Neuro LPS®颅内球囊扩张导管 3.0-10mm
赛诺神畅 COMETIU™自膨式颅内药物涂层支架系统 4.5-20mm
04
手术过程









05
术后随访
术后6个月随访:

术后18个月随访:

治疗前后及随访影像对比:

术前

术后

6个月随访

18个月随访

<< 点击图片了解更多 >>
赛诺Neuro LPS®颅内球囊扩张导管
<< 滑动查看下一张图片 >>
公司简介
说明:赛诺神畅医疗科技有限公司为赛诺医疗科学技术股份有限公司控股子公司。
声明:脑医汇旗下神外资讯、神介资讯、脑医咨询、Ai Brain 所发表内容之知识产权为脑医汇及主办方、原作者等相关权利人所有。
投稿邮箱:NAOYIHUI@163.com
未经许可,禁止进行转载、摘编、复制、裁切、录制等。经许可授权使用,亦须注明来源。欢迎转发、分享。
投稿/会议发布,请联系400-888-2526转3。











