
导语
尊敬的专家同道:
大家好!“沙场点兵,有史可鉴”是史赛克公司推出的一档病例展示及点评栏目,旨在手术技术交流,产品特点演示,与各位神经介入专家共同进步。疫情虽拉远了距离,却无法降低学习的热情,让我们相约线上,博采众长,共同探讨手术技术。精彩内容,敬请期待。
病例展示
1
患者基本信息
患者:Male,32y。
主诉:突发言语不利右肢无力3h。
既往史:无特殊。
个人史:吸烟史。
神经系统阳性体征:神志嗜睡,混合性失语,四肢遵嘱,GCS12分,NIHSS 12分,右侧鼻唇沟变浅,伸舌右偏,左肢体肌力5级,右肢肌力3级,肌张力不高,右侧巴氏征(+)。
家族史:无特殊。
2
术前影像学检查

入院头颅CT
左侧大脑中动脉水平段密度增高,结合临床,除外血栓。

急查头颅CTA
头颈部CTA:左侧大脑中动脉M1段中远段及以远闭塞,建议DSA复查。

3
治疗
急诊行头颅CT未见明显出血,考虑脑梗死,给予阿提普酶静脉溶栓治疗并完善头颈部CTA。
CTA提示:左侧大脑中动脉M1段中远段及以远闭塞。
患者症状未恢复、建议DSA复查。
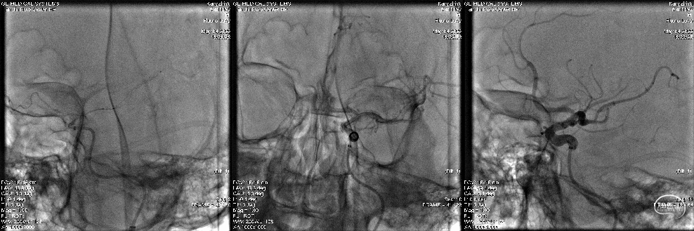
急诊行脑血管造影

左侧大脑中动脉M2段分支闭塞。
左侧大脑中动脉M2段分支闭塞。
4
手术策略
患者青年男性,6h时间窗内。
症状相对重。
DSA提示大脑中动脉M2段远端闭塞。(发病6h以内,经过谨慎筛选的大脑中动脉M2段或M3段闭塞的患者,可考虑行机械取栓治疗,但获益尚不肯定)推荐等级Ⅱb,证据水平B-R。
考虑患者年轻,血管条件相对好,且症状较重,决定手术。
机械取栓术。
5
手术材料选择
8F导管鞘
6FNeuronMax导引导管
Trevo pro18微导管
导丝:Synchro 0.014导丝
Trevo 4×30mm取栓支架
6
手术过程

导丝导引下将微导管置于大脑中动脉M2段远端冒烟确认。

到位后释放支架,Trevo XP取栓支架,全程可视,有效判断病变性质,无动脉原位狭窄;见M2段血流恢复,应用“SWIM”技术,支架释放后,中间导管高到位,支架回撤取出少量血栓,复查造影见M2段远端显影仍欠佳,考虑血栓逃逸。
微导丝导引下将pro18微导管置于大脑中动脉M2段以远,冒烟确认后,再次释放支架,支架全节段显影,初步判断无原位狭窄。重复标准“SWIM技术”取栓,取出少量斑块。

7
术后情况
复查脑血管造影
复查造影见各级血管通畅。
3d后复查头颅CT

复查头颅MR

我院心脏超声未见明显异常
出院查体:神清,语利伸舌居中,双侧鼻唇沟对称,四肢肌力5级,肌张力不高,NIHSS评分1分,mRS 0分。
建议患者进一步完善经胸经食道超声心动图及动态心电图,心内科进一步随诊。
小结和体会
一、大脑中动脉M2段闭塞保守or手术?

二、青年卒中患者的发病原因?
目前,在临床试验和临床实践过程中应用最为广泛的脑卒中分型系统是TOAST分型,该分型主要分为五种亚型:大动脉粥样硬化型、心源性脑栓塞、小动脉闭塞型、其他明确病因型以及不明原因型。研究调查发现,大动脉粥样硬化型脑梗死为我国青年卒中的首位病因,而心源性栓塞排在次位。这可能与随着人民生活水平的升高,青年喜好高油脂、高热量的快餐,日常膳食结构不合理,再加上平时运动减少、工作压力大等原因导致高血压、高血脂等相关疾病发病提高有关。相关研究显示血浆中血管脂质和复合糖类积聚、纤维组织增生和钙质沉着形成斑块,引起动脉管壁增厚变硬、弹性降低和管腔狭窄。
血管危险性因素、偏头痛、恶性肿瘤、非法和娱乐性药物的使用、妊娠期及产褥期、遗传危险因素、心源性栓塞、颈动脉夹层等。
专家点评
青年卒中和颅内中等血管闭塞(MeVO)取栓都是目前卒中领域的热点、难点问题。当青年MeVO时,动脉闭塞机制的判断、取栓时间窗和策略选择更为重要。本例是M2段下干的急性闭塞,目前多项研究证实在6h时间窗内进行取栓能够临床获益,改善大脑中动脉功能区的临床预后。通过Trevo XP小支架联合取栓,可取得MeVO较高的再通效率。但该例患者栓塞来源仍不明确,属于ESUS(不明原因栓塞),建议完善长程心电监测、发泡试验以及动脉管壁成像等检查,明确栓塞来源,进行针对性的二级预防。
点评专家
术者简介
科室简介
天津市第五中心医院卒中中心
天津第五中心医院脑血管病科成立于2012年,我科是治疗缺血性脑血管病(例如:脑梗死、颈动脉等颅内外血管狭窄、短暂性脑缺血发作、脑供血不足等)及出血性脑血管病(例如:颅内动脉瘤、蛛网膜下腔出血等)的专科。
脑血管病治疗中心的组成包括神经内科医生组、神经外科医生组、神经介入医生组、脑血管病护理组、介入器械护士及脑心健康管理师。从脑心健康管理师院前筛查宣教、病人入院专科医师接诊、专业治疗、介入专家手术干预、器械护士密切配合、围手术专业护理团队、常规药物治疗医护配合,病人出院后脑心健康管理师专业随访一年等,能做到以每一个患者为中心的各个环节的无缝对接。对于出血性或者缺血性脑血管病无论手术治疗以及非手术药物治疗都可以做到针对每一名病人给予特异性的全程治疗和护理,保障每一位患者的健康。
脑血管病治疗中心全体医护人员在史万超主任的带领下,积极开展卒中的防控工作,为提高滨海新区居民对脑血管病的知晓率和治疗的依从性,从而实施有效的疾病干预手段。我们始终坚定不移的走在卒中防治的道路上,我们的口号“您的健康,我们护航”。








