提示
“浙二神外周刊”不定期接收外院投稿,审核后发表。欢迎各专业同道联系我们,分享精彩病例、研究热点或前沿资讯。投稿请联系:shishi74@163.com
病史简介
患者,男,60岁,因“性格改变3月,加重1周”入院
患者入院前3月来无明显诱因下逐步出现性格改变,主要表现为寡言少语,不关心家人。近1周上述情况明显加重,伴有言语错乱。当地医院就诊行头颅CT及MRI检查发现颅内占位病变(图1),为求进一步治疗来浙医二院就诊,门诊以“双额叶胶质瘤”收入院。
既往体健,否认高血压、糖尿病及心脏病史。
入院查体:
神清,精神软,反应迟钝,应答欠切题,查体配合欠佳,双侧瞳孔等圆等大,直径3.0mm,光反灵敏,四肢肌张力正常,四肢体肌力5级,病理征阴性。
入院初步诊断:
蝴蝶形胶质瘤

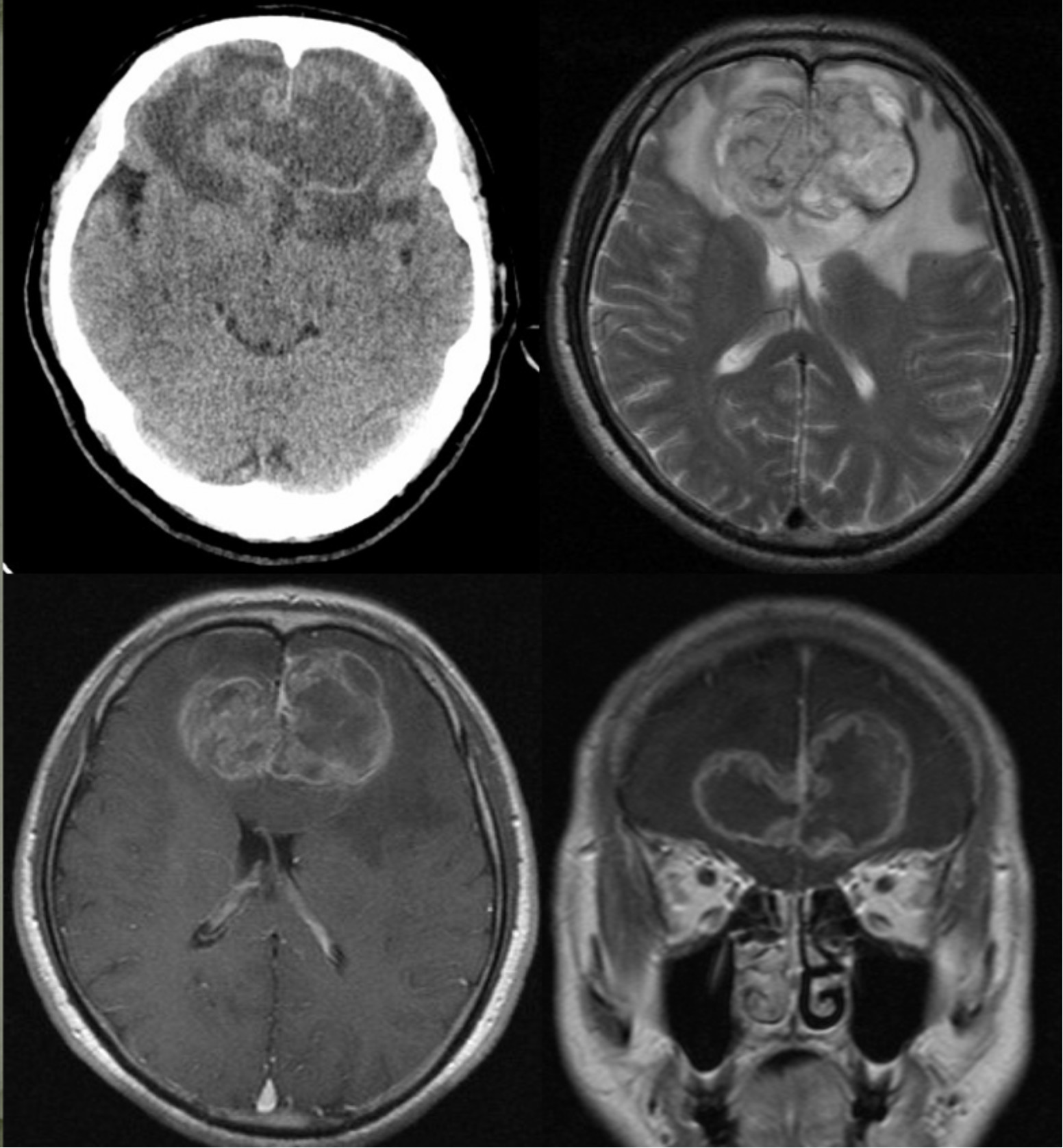
图1. 头颅CT提示双侧额叶占位病变,水肿及占位效应明显。MRI检查提示病变累及双侧额叶和胼胝体,T2WI显示病变周围水肿明显,T1WI增强提示肿瘤明显不均匀强化。
诊疗经过
入院后完善术前常规准备,在全麻行左额开颅切除肿瘤。左侧额叶累及范围较大,所以选择左侧入路,为便于显露胼胝体等中线结构,骨瓣达中线。切除额叶部分肿瘤后沿纵裂分离肿瘤与胼缘动脉和胼周动脉的粘连,显露同侧扣带回和胼胝体,打开左侧侧脑室,定位尾状核头、室间孔等重要结构,进一步切除肿瘤。尾状核头表面及核团内部富含血管,形状和高级别胶质瘤容易混淆,因此术中确定尾状核头十分重要(图2)。予手术全切肿瘤。

图2. 手术切口如左图示,左额开颅,虚线为骨瓣范围,中间达中线;中图所示为左额部分肿瘤切除减容后沿大脑镰显露胼缘动脉及扣带回、胼胝体。左图为打开左侧脑室额角,定位尾状核头、室间孔。图中可见尾状核头表面布满血管,类似“草莓”,这是尾状核头的特点。室间孔后上方的粗大血管为透明隔静脉。
术后早期患者症状无加重,仍表现为淡漠和轻微言语混乱;术后3月淡漠及言语混乱基本恢复正常,轻微性格改变。术后MRI提示肿瘤全切,术后病理提示为胶质母细胞瘤(图3)。

图3. 术后早期CT及MRI复查提示肿瘤全切,病理提示为胶质母细胞瘤。
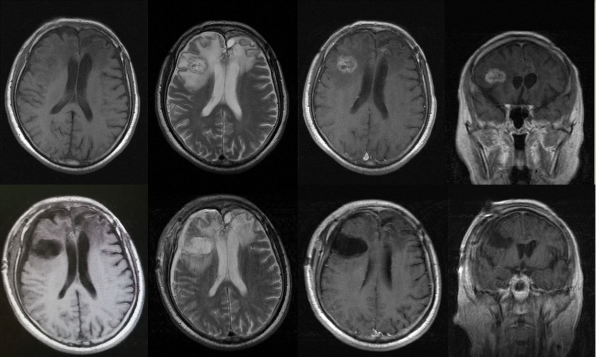
术后患者接受了标准剂量的放疗和替莫唑胺化疗。术后2年常规复查发现右额新发病灶,考虑肿瘤复发,随再次入院手术切除复发病灶,病理证实为复发胶质母细胞瘤,术后患者恢复良好,再次接受了标准剂量的替莫唑胺化疗。目前患者已随访3年,一般情况良好(图4)。

图4. 术后2年右侧额叶新发一病灶,手术病理证实为胶质母细胞瘤复发。
讨论
颅内蝴蝶形肿瘤是基于影像学形态提出的一种描述性概念,最常见的病理类型是淋巴瘤和胶质母细胞瘤,其他病理类型如低级别胶质瘤和转移瘤也有报道[1]。蝴蝶形胶质母细胞瘤(bGBM)较之普通形态的胶质母细胞瘤(GBM)往往恶性程度更高,病情进展快,预后更差[2-4]。但bGBM和普通GBM的本质区别尚不清楚,其基因突变的差异也未见报道。弥漫中线胶质瘤(H3B27M突变型)多见于儿童和年轻患者,常见部位是脑干脊髓和丘脑。bGBM作为一种中线部位的高级别胶质瘤,和弥漫中线胶质瘤的关系尚不清楚,文献中也缺乏关bGBM 中H3B27M突变的报道[5]。
既往对于bGBM选择手术切除或穿刺活检尚有一定的争议[4]。来自霍普金斯医院一项回顾性研究分析总结了2007年至2012年间329例新诊断的胶质母细胞瘤(GBM)中,48例为蝴蝶型胶质瘤(bGBM)其中29例手术切除,19例穿刺活检。该项研究显示[3]:
1)bGBM较之普通GBM预后更差;
2)bGBM手术切除患者较之活检患者生存期更长;
3)切除范围大于65%的患者生存期更长。
另一项来自来自UCSF的研究回顾分析了2004年至2014年10年间1746例GBM,其中39例为bGBM,25例手术切除,15例穿刺活检。多因素分析研究发现手术切除结合放疗和化疗是最好的治疗方案,患者获益最大[6]。最近加拿大卡尔加里大学医院也报道类似的研究,该研究回顾分析了764例GBM中的29例bGBM病例资料,结论也是手术切除的患者获益最大[7]。这些研究为手术切除bGBM提供了强有力的依据。但由于bGBM累及双侧半球且位置深在,与深部重要功能核团关系密切,手术切除不当往往引起很严重的术后并发症,如严重的情感障碍、无动性缄默甚至偏瘫、昏迷。因而患者从手术切除中获益的前提是不显著增加神经功能障碍的基础上最大程度切除肿瘤[3,6-8]。
结合本例患者我们主要探讨一下累及胼胝体前部及双侧额叶这种最常见类型bGBM的手术切除策略和技术要点:
首先,应避免同时切除双侧额叶皮层,bGBM病变往往累及双侧额叶,但手术应从一侧进行,避免双侧额叶皮层损伤;双侧额叶皮层损伤往往引起严重的情感障碍和行为改变。
其次,是术中注意保护扣带回、胼胝体、穹窿等边缘系统组织结构。额叶内侧皮层、扣带回及其深部纤维是默认模式网络(The Defalt Model Network,DMN)的重要结构,如手术损伤双侧扣带回往往引起术后严重的无动性缄默。此外胼胝体膝部下方的皮层及深部伏隔核与大脑的奖赏一系统密切相关,术中应避免损伤以免引起严重的并发症。
经过解剖研究结合术者的经验,作者提出的手术技术要点如下:
1)根据病变累及额叶范围选择单侧入路(相同情况下优先选择右侧入路);
2)切除同侧的部分肿瘤后定位胼胝体及其膝部,并进入侧脑室确定尾状核头、室间孔,进而确定肿瘤切除的范围,
3)沿胼胝体切除侵犯对侧半球的肿瘤,切除对侧肿瘤过程中务必注意扣带回及其深部白质纤维的保护;
4)手术中注意胼胝体膝部下方皮层及深部核团的保护(图5)。

图5. 右侧入路切除累及双侧额叶和胼胝体的蝴蝶形肿瘤的解剖图谱:后首先沿大脑镰切除部分肿瘤获得显露空间,分离显露同侧胼缘动脉和扣带回,继续线路胼胝体并向外侧进入侧脑室额角,定位胼胝体膝部、尾状核头、室间孔等重要解剖结构,进而判断穹窿、前联合、伏隔核等重要结构的位置,确定肿瘤切除的范围。切除同侧额叶肿瘤及累及胼胝体肿瘤后进入对侧侧脑室,定位对侧扣带回、尾状核头,如肿瘤侵犯对侧额叶较多,可对侧额叶内侧皮层造瘘切除额叶深部病变,注意保护对策扣带回及深部白质纤维。
参考文献
1. Tunthanathip T, Ratanalert S, Sae-Heng S1, Oearsakul T, Butterfly Tumor of the Corpus Callosum: Clinical Characteristics, Diagnosis, and Survival Analysis. J Neurosci Rural Pract. 2017 Aug; 8(Suppl1): S57-S65.
2. Siddiqui J, Krishnan AS. Butterfly Glioma. N Engl J Med. 2018 Jan 18;378(3):281
3. Chaichana KL, Jusue-Torres I, Lemos AM, Gokaslan A, Cabrera-Aldana EE, Ashary A, Olivi A, Quinones-Hinojosa A.The butterfly effect on glioblastoma: is volumetric extent of resection more effective than biopsy for these tumors? J Neurooncol. 2014 Dec;120(3):625-34.
4. Dziurzynski K1, Blas-Boria D, Suki D, Cahill DP, Prabhu SS, Puduvalli V, Levine N. Butterfly glioblastomas: a retrospective review and qualitative assessment of outcomes. J Neurooncol. 2012 Sep;109(3):555-63.
5. Wang L, Li Z, Zhang M, Piao Y, Chen L, Liang H, Wei Y, Hu Z, Zhao L, Teng L, Lu D H3 K27M-mutant diffuse midline gliomas in different anatomical locations. Hum Pathol. 2018 Aug;78:89-96
6. Fara Dayani, Jacob S. Young, Alexander Bonte, Edward F. Chang, Philip Theodosopoulos, Michael W. McDermott, Mitchel S. Berger and Manish K. Aghi Safety and outcomes of resection of butterfly glioblastoma Neurosurg Focus. 2018 Jun;44(6):E4
7. Opoku-Darko M, Amuah JE, Kelly JJP Surgical Resection of Anterior and Posterior Butterfly Glioblastom World Neurosurg. 2018 Feb; 110: e612-e620.
8. Burks JD, Bonney PA, Conner AK, Glenn CA, Briggs RG, Battiste JD, McCoy T, O'Donoghue DL, Wu DH, Sughrue ME,A method for safely resecting anterior butterfly gliomas: the surgical anatomy of the default mode network and the relevance of its preservation. J Neurosurg. 2017 Jun;126(6):1795-1811
(本文由浙二神外周刊原创,病例由浙医二院神经外柳夫义科副主任医师整理和审校,张建民主任终审)




