“浙二神外周刊”每周病例回顾,提出最优化的临床治疗分析和随访指导意见。专业讨论意见仅代表浙二神经外科团队观点,如有不同见解,欢迎同道斧正! 每期讨论病例资料及整理均为“浙二神外周刊”原创,“浙二神经外科”授权官方合作新媒体《神外资讯》发布,其他网络媒体转载,请务必注明出处!
往期回顾:
患者:男,50岁,因“左侧肢体乏力伴疼痛进行性加重1月”,经门诊MRI等检查(图1),诊断为“右侧脑干胶质瘤”收入院。

图1. 术前头颅MRI示:右侧中脑病变,上方累及丘脑底部,下方累及桥脑,病变沿神经纤维束走行,T1WI呈低信号,T2WI呈高信号,增强扫描未见病灶内强化,考虑低级别星形细胞瘤。
患者1月前无明显诱因下出现左侧肢体乏力,起初为左侧小腿,逐步发展至左下肢及左上肢,行走及持物不稳,伴左侧肢体疼痛并进行性加重,同时出现言语含糊,吐词不清,伴头胀不适,无恶心呕吐。
入院查体:生命体征平稳,神志清,急性病容。神经系统检查:吐词不清,左侧鼻唇沟变浅,双侧瞳孔等大等圆,直径约3mm,对光反射灵敏,左侧肢体肌力3-4级,右侧5级,肌张力无亢进,病理反射未引出。
入院后进一步行DTI检查,了解传导束与肿瘤的关系及受累情况。显示右侧长束受到挤压,整体纤维束变得纤细,符合临床改变(图2)。

图2. 术前DTI显示:右侧长束受到挤压,整体纤维束变得纤细,符合临床改变。
诊疗经过
针对该病人的治疗,手术无疑是首选的手段。但鉴于肿瘤位于中脑为主,向上侵袭到丘脑,向下侵袭至桥脑,手术入路选择及术中传导束的保护等是关键。科室术前讨论意见集中在以下几点。
1. 入路选择
根据常规手术方法,一般的考虑可能会选择大家比较熟悉的颞下入路,通过抬起颞叶直接到达大脑脚的外侧方。但经过仔细分析后,认为颞下入路并不适用于切除该患者的脑干肿瘤,原因有两点:
①肿瘤沿大脑脚走行,最薄的位置位于前侧方。如果从颞下入路进去,需要从侧方切开脑干,MRI显示侧方仍有正常的组织(图3),且很有可能是推移的传导束,所以经颞下入路从侧方切除肿瘤对脑干的影响较大,会导致严重功能障碍。
②该肿瘤向上部分侵犯丘脑下部(图4),部分位置偏高偏前,颞下入路很难暴露该部位肿瘤,可能会有明显的残留。

图3. 颞下入路和侧裂中脑入路的对比。红色箭头代表颞下入路,该入路侧方切开脑干,对覆盖在上方的正常结构影响较大,会造成严重功能障碍;白色箭头代表侧裂中脑入路,该入路从前侧方肿瘤最浅处切开,沿长轴切除肿瘤,对脑干的影响最小。

图4. 红圈处为侵犯丘脑底部的肿瘤,该部位肿瘤通过颞下入路无法暴露。
最后讨论结果选择眶颧入路+侧裂中脑入路(图5),理由如下:
①侧裂中脑入路通过完全解剖侧裂根部,从前侧方暴露大脑脚,可以从肿瘤最薄处切开切除肿瘤(图3),做到对正常脑干影响最小,即可容易切除肿瘤,又不容易造成额外损伤。
②该患者累及丘脑底部的肿瘤较明显,也是引起患者主要临床症状—疼痛的主要原因,所以手术预案应该能尽可能切除该部位肿瘤。单一的侧裂中脑入路,可以暴露到该部位,但是因手术视角由上而下,所以对该处肿瘤的切除也比较困难。为此,我们加用眶颧入路,希望在暴露该部位肿瘤后,能够获得朝向上方的手术视角,以方便切除丘脑底部肿瘤。

图5. 侧裂中脑入路解剖示意图:箭头代表手术入路方向,圆圈代表该患者肿瘤累及区域。
2. 手术过程(图6)
仰卧位,头左转45°左右,略后仰,额颞部弧形切口。电生理监测皮层运动和感觉功能,切开额颞头皮,分离颞肌浅筋膜,游离颧弓,磨钻,铣刀形成额颞骨板;然后再用铣刀将颧弓、眉弓外侧、眶外上壁一同取下,蝶骨嵴磨除(颅眶颧入路);脑膜四周悬吊后弧形剪开。
显微镜下完全解剖侧裂,然后将额叶上抬、颞叶向后外牵拉,可见动眼神经、基底动脉、P1、P2等结构,完全显露右侧中脑前外侧。脑干前外侧纵行切开1cm,可见肿瘤,质地软、灰色、血供一般,边界不清,留取部分送检快速冰冻,报告为胶质瘤。肿瘤内分块切除肿瘤,术中持续监测MEP、SEP,期间左侧感觉电位一过性减低持续5min钟后恢复,运动诱发一直正常。估计肿瘤基本切除。冲洗术野未见明显出血,速即纱贴覆。缝合硬脑膜,钛链*5+钛钉*10骨瓣回纳。

图6. 电生理监测下开颅手术切除肿瘤:a. 取额颞部弧形切口;b. 加用颅眶颧入路; c. 脑干前外侧纵行切开1cm,可见肿瘤 ;d. 瘤内切除肿瘤。
3. 病理结果
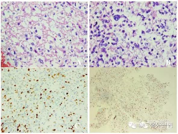
术后病理报告:(丘脑脑干)间变性星形胶质细胞瘤,WHO III级(图7)。

图7. 术后病理报告:(丘脑脑干)间变性星形胶质细胞瘤,WHO III级。免疫组化结果:IDH1-,GFAP+,Ki67 20-30%,NF+,P53+,PTEN+,EGFR-,VEGF-。图A,B. 显示肿瘤细胞一定程度核异型;图C,D. 显示Ki67免疫组化,阳性率 20-30%。
4. 术后情况
术后患者左侧肢体肌力基本同前,疼痛消失,但是左上肢出现痛觉过敏,对症处理后逐渐好转。鉴于该患者最后病理为高级别胶质瘤,IDH1阴性,故建议术后进一步行同步放化疗。但因患者整体情况良好且经济不宽裕,只是单纯作了放疗,而未行化疗。术后6月患者门诊随诊时左侧肢体肌力较半年前明显好转(图8),疼痛完全消失,复查头颅MRI示肿瘤基本消失(图9-10)。

图8. 术后患者病情恢复状况。a. 术后住院期间患者肌力较术前相仿,疼痛消失,左上肢痛觉过敏;b. 术后6月患者肌力明显好转,疼痛完全消失。

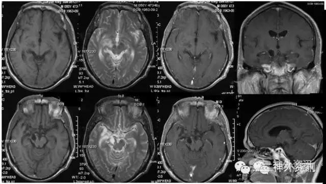
图9. 术后头颅MRI示:红色箭头显示为手术切除区域,和术前对比,基本切除肿瘤,黄色箭头指示丘脑底部肿瘤有少量残留可能。

图10. 术后6月头颅MRI复查,显示肿瘤基本消失。
讨论
脑干胶质瘤(BGs)是一种具有高度异质性的肿瘤,主要发生在儿童中枢神经系统,占所有颅内肿瘤的2%以上[1,2]。根据解剖学特点和临床表现,脑干胶质瘤可以被分为几个亚类,其中有两个较特殊的亚类:弥漫性脑桥胶质瘤(DIPG)、中脑顶盖胶质瘤。
弥漫性脑桥胶质瘤(DIPG)
DIPG是最常见的脑干胶质瘤类型,中位发病年龄为6.5岁,中位生存期低于1年。成人DIPG存活期较儿童更长,这可能与肿瘤的侵袭性和分化程度不同相关[3]。DIPG患者可表现有颅神经功能障碍、长束征(long tract signs)、共济失调等临床症状。磁共振成像显示脑桥有大面积浸润性病变,增强通常不明显(图11)。鉴于肿瘤的浸润性和弥漫性生长,DIPG无法被手术切除,标准治疗是分次放射治疗。DIPG相关的血小板衍生生长因子受体α和表皮生长因子受体的突变已被科学家证实[4]。这些生长因子受体抑制剂已经进入临床试验进行评估。

图11. 典型的弥漫性脑桥胶质瘤在MRI上的表现。
中脑顶盖胶质瘤
与高度恶性的DIPG相比,中脑顶盖胶质瘤通常为是相对惰性的低级别星形细胞瘤(WHO I级或II级),病程多呈良性。肿瘤通常在儿童时期被诊断,但亦有部分患者于成年后首次表现临床症状,诊断时平均年龄为7-10岁[5]。由于肿瘤邻近中脑导水管,患者常见临床表现为梗阻性脑积水导致的颅高压症状。另有部分病例因头痛、外伤或者其他无关的神经系统症状偶然发现。肿瘤在MRI上表现为T1加权像低信号,T2加权像高信号,多无明显增强[6](图12)。

图12. 典型的中脑顶盖胶质瘤在MRI上的表现。
治疗上由于顶盖胶质瘤相对较静止,且这个部位手术容易损害网状上行激活系统导致严重后果,所以一般不主张直接切除肿瘤。大多数临床症状是因为压迫中脑导水管导致的,所以一般只是进行分流手术或者三脑室造瘘[5,7]。但也有文献报道该部位局限性高级别胶质瘤的,对于这些患者进行了积极手术切除。
除了上述两种特殊脑干胶质瘤外,其他部位的脑干胶质瘤可以累及中脑、桥脑、延髓任何地方。因为脑干的特殊性,所以关于脑干胶质瘤治疗方案一直存在不统一的观点。Elhammady MS[8]等总结了该临床中心10年(2000年1月至2010年12月)来138例脑干胶质瘤切除的病例,认为手术切除脑干胶质瘤具有以下两点优势:
①尽管临床症状和影像学表现能帮助医师鉴别肿瘤为低级别胶质瘤或高级别胶质瘤,但依然有少数不典型病例无法鉴别甚至诊断错误;小部分影像学诊断为高级别胶质瘤的患者最后被病理证实为转移瘤或者结核球,反之亦然。
②手术治疗可减轻肿瘤的占位效应,从而改善肿瘤占位压迫导致的周围组织损伤和神经功能障碍。
我们结合本单位的经验和文献报道,认为除了DIPG和顶盖部胶质瘤两种特殊脑干胶质瘤外,其他部位的脑干胶质瘤可分为局限和弥散两种(可根据T2来划分),弥散性脑干胶质瘤手术效果较差,局限性脑干胶质瘤能获得不错的手术效果。
对于以下情况的局限性脑干胶质瘤,我们推荐积极手术:
①有明显神经功能障碍;
②随访过程中增大。
而对于有症状的或进展的弥散性脑干胶质瘤,应根据每个病例的具体情况和患者、家属的预期而决定是否手术,手术的选择应当慎重。当然因为脑干肿瘤的特殊性,除了上述一些因素外,我们还是应该综合考虑每个病例的特殊性和每个中心、每个医师的经验,来确定治疗方案。
参考文献
1. Grimm SA, Chamberlain MC. Brainstemglioma: a review. Current neurology andneuroscience reports. May 2013;13(5):346.
2. DolecekTA, Propp JM, Stroup NE, Kruchko C. CBTRUS statistical report: primary brainand central nervous system tumors diagnosed in the United States in 2005-2009.Neuro-oncology.Nov 2012;14 Suppl5:v1-49.
3. SunT, Wan W, Wu Z, Zhang J, Zhang L. Clinical outcomes and natural history ofpediatric brainstem tumors: with 33 cases follow-ups. Neurosurgical review. Apr 2013;36(2):311-319; discussion 319-320.
4. ZarghooniM, Bartels U, Lee E, et al. Whole-genome profiling of pediatric diffuseintrinsic pontine gliomas highlights platelet-derived growth factor receptoralpha and poly (ADP-ribose) polymerase as potential therapeutic targets. Journal of clinical oncology : officialjournal of the American Society of Clinical Oncology. Mar 102010;28(8):1337-1344.
5. StarkAM, Fritsch MJ, Claviez A, Dorner L, Mehdorn HM. Management of tectal glioma inchildhood. Pediatric neurology. Jul2005;33(1):33-38.
6. BognarL, Turjman F, Villanyi E, et al. Tectal plate gliomas. Part II: CT scans and MRimaging of tectal gliomas. Actaneurochirurgica. 1994;127(1-2):48-54.
7. WellonsJC, 3rd, Tubbs RS, Banks JT, et al. Long-term control of hydrocephalus viaendoscopic third ventriculostomy in children with tectal plate gliomas.Neurosurgery. Jul 2002;51(1):63-67;discussion 67-68.
8. ElhammadyMS, Teo C. Surgical management of adult intrinsic brainstem tumors.Neurosurgery. Aug 2013;60 Suppl1:131-138.
(本文由浙二神外周刊原创,浙江大学医学院附属第二医院神经外科董啸整理,王林副主任医师审校,张建民主任终审)
往期回顾
更多资讯请关注神外资讯微信公众号:neurosurgerynews




