病例介绍
患者,女,64岁,因“头痛2月伴左眼突发失明2周”入院。
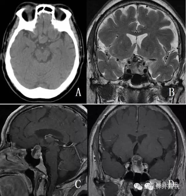
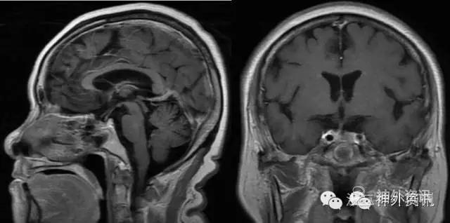
2月前患者睡眠时突发头痛,为前额部胀痛,程度剧烈,影响睡眠,伴恶心呕吐,呕吐物为胃内容物,无寒战发热,无意识障碍,无肢体抽搐。于当地医院就诊,查头颅CT提示垂体占位病变,因担心手术风险未治疗。此后头痛反复发作,2周前突发左眼失明,无眼痛,无恶心呕吐,来我院复查头颅CT及MRI,提示“垂体大腺瘤”(图1),要求手术收住入院。
患者既往有糖尿病10余年,胰岛素控制,空腹血糖10mmol/L左右。双眼糖尿病视网膜病变伴混合性白内障,2014.4因左眼玻璃体积血于外院行左眼玻璃体切割光凝+冷凝+硅油填充术,2014.11行左眼硅油取出+白内障超声乳化摘除+人工晶体植入术。高血压10余年,目前药物控制良好。神经系统查体示左眼失明,右眼颞侧偏盲,余无殊。

图1. 头颅CT提示鞍区等密度病变,MRI显示T2像等低混杂信号,T1像强化明显,内有囊变,左侧部分侵袭海绵窦。
诊疗经过
患者入院后行常规化验及检查。垂体相关激素检查,除泌乳素782.3mIU/L,高于正常一倍多以外,皮质醇、ACTH、TSH、生长激素、黄体生成素、卵泡刺激素、孕酮、雌二醇、睾酮等均正常。视力视野检查提示左眼失明,右眼颞侧偏盲。术前常规胸片(图2)提示右下肺部感染伴胸腔积液,建议抗炎后复查。向患者家属交待可选择肺部抗感染好转后再手术治疗,及因在抗感染过程中可能双眼视力会进一步下降,早期手术必要性等。家属商量后选择先行手术治疗。

图2. 胸片提示右下肺部感染伴胸腔积液,建议抗炎后复查。
患者入院后行常规化验及检查。垂体相关激素检查,除泌乳素782.3mIU/L,高于正常一倍多以外,皮质醇、ACTH、TSH、生长激素、黄体生成素、卵泡刺激素、孕酮、雌二醇、睾酮等均正常。视力视野检查提示左眼失明,右眼颞侧偏盲。术前常规胸片(图2)提示右下肺部感染伴胸腔积液,建议抗炎后复查。向患者家属交待可选择肺部抗感染好转后再手术治疗,及因在抗感染过程中可能双眼视力会进一步下降,早期手术必要性等。家属商量后选择先行手术治疗。

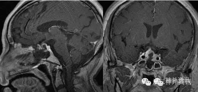
图3. 术后MRI提示肿瘤大部分切除,少量残留。
病理结果
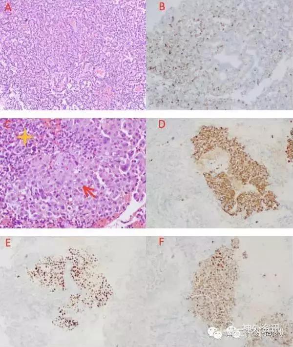
送检的组织,病理检查发现两个不同性质的肿瘤成分:一处显示为垂体腺瘤,呈乳头状结构,细胞呈嫌色性,较一致,细胞无多形性,无明显异型(图4A)。免疫组化检查示垂体腺瘤部分瘤细胞表达促肾上腺皮质激素(ACTH)(图4B)。另一处则为在垂体腺瘤中可见异型细胞巢团,细胞呈上皮样,具多形性,核大深染,核分裂易见(图4C)。CK7 +、TTF-1+及NAPSIN A +(图4D-F),免疫组化标记提示为肺低分化腺癌转移。
免疫组化
两处组织垂体腺瘤及肺癌转移灶分别行免疫组化检查。其中Prolactin,ER,FSH,GH,PR,TSH ,LH,及CK5/6 ,P6,CDX2 ,ALK-Lung,ALK-Lung-NC 均为(-);CAM5.2 和CK(AE1/AE3)均为(+)。
以下项目两处结果不同:

病理诊断
1. 垂体腺瘤,结合免疫组化结果,符合肾上腺皮质激素细胞腺瘤;
2. 垂体腺瘤中见异型细胞巢团,免疫组化提示转移性肺低分化腺癌。

图4. A. 垂体腺瘤;B. ACTH表达;C.肺腺癌转移灶在垂体腺瘤中;D. CK7 肺腺癌转移灶细胞浆表达; E. TTF-1肺腺癌转移灶细胞核表达; F. Napsin A肺腺癌转移灶细胞浆表达。
后续诊疗
由于最终病理结果提示为肺癌转移至垂体瘤,术后2周转至肿瘤内科化疗。
进一步查肿瘤标记物,除提示CA125124.2U/ml,较正常高3-4倍,余正常。同时行胸部增强CT检查,提示右肺下叶中央型肺癌可能,伴肺不张,右侧胸腔积液较前增加,纵隔多发淋巴结转移。左肺也见数个结节,转移不除外(图5)。全身ECT骨显像提示肋骨、椎体、下肢等部位多发骨转移(图6)。

图5. 胸部CT显示右侧肺癌伴肺不张和胸腔积液。

图6. ECT全身骨显像显示肋骨、椎体、下肢等部位多发骨转移。
胸腔积液予胸腔闭式引流,胸水涂片找到腺癌细胞。免疫组化结果:TTF-1 +,CEA +,calretinin -,WT1 -,ALK-Lung -,ALK-Lung-NC -,NapsinA +,CK7 +,提示肺腺癌,基因检测未发现EGFR等变异。行顺铂50mg胸腔灌注化疗联合热疗1次,予培美曲塞0.8g d1+卡铂0.4g d1方案化疗,过程顺利。后行培美曲塞0.8g +卡铂0.4g化疗2次,目前3次化疗疗程已结束,术后3个月头颅增强MRI检查未见鞍区肿瘤复发(图7)。

图7. 术后3个月头颅增强MRI未见鞍区肿瘤复发。
讨论
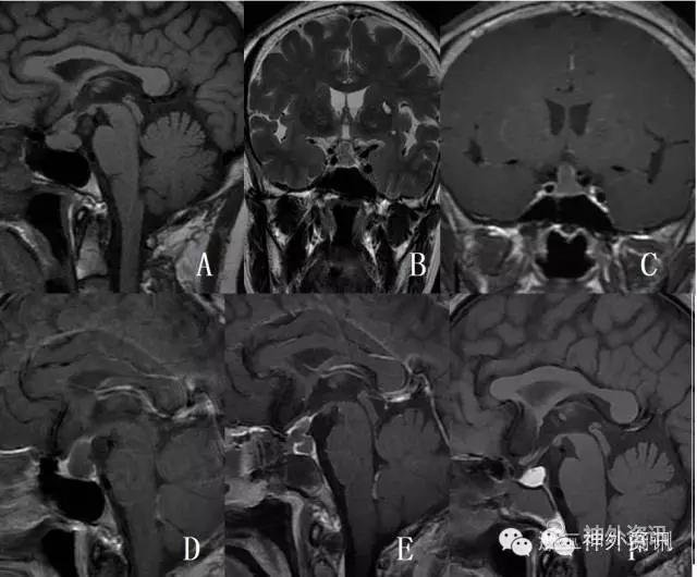
垂体转移瘤比较少见,文献报道约占垂体肿瘤的1%[1]。统计我科2012年3月至2016年5月的资料,共245例转移瘤,只有1例(0.41%)经病理证实为垂体转移癌。患者为女性,65岁,以“头痛1月”入院,垂体MRI发现垂体占位病变(图8A-D),行经蝶显微肿瘤切除术。术前肿瘤标记物正常,术中冰冻及术后常规病理均提示为转移性腺癌,考虑乳腺癌或肺癌转移可能,但PET-CT及乳腺、胸部的相关检查均阴性。术后MRI显示肿瘤全切(图8E),鉴于为转移性肿瘤,术后予局部放疗,44个月随访时一般情况良好,复查垂体MRI示局部囊变,未见复发(图8F)。

图8. 术前MRIT1平扫,T2及T1强化片(A-D),显示垂体肿瘤,强化不明显;术后复查显示肿瘤全切(E);术后44个月(放疗后)复查未见复发(F)。
垂体转移瘤原发灶以乳腺和肺部最常见。日本学者统计了15年间共201例垂体转移瘤,原发灶最常见是肺部(36.8%),其次是乳腺(22.9%),再其次是肾(7%)[2]。Morita等[3]报道了36例有症状的垂体转移瘤,原发灶36%来自肺,其次是乳腺(33%)。垂体转移瘤的症状包括尿崩、垂体前叶功能低下、视野缺损、疼痛和眼肌麻痹,其中尿崩最为常见,占29%至71%[4]。Morita等[3]报道的56%患者肿瘤压迫症状如视力下降为首发症状,其他症状包括尿崩、垂体前叶功能低下和眶后部疼痛。本组上述病例原发灶至今未明。当时只有鞍内占位所致的头痛症状。
垂体转移瘤合并垂体瘤及其罕见,2014年Sogani等[5]综述了之前发表的类似病例,共19例患者,平均年龄67岁,男女比例为0.6,原发灶以肺部和乳腺最为常见,其他有胃、肾、胰腺、前列腺,还有4例(21.1%)无法明确原发灶。19例中有18例明确了垂体瘤的类型,无功能腺瘤最常见,占50%,其他有生长激素腺瘤(16.7%)、泌乳素腺瘤(16.7%)、ACTH腺瘤(11.1%)等。在19例患者中56%已有全身多处转移,19%合并有颅内其他部位的转移,因此预后极差,平均生存期只有9.8周。本组病例经病理证实为肺低分化腺癌转移至垂体腺瘤,我科曾于第37期神外周刊报道了1例并发的垂体瘤与鞍结节脑膜瘤,不同的是两种肿瘤有明确的边界,而该病例可以观察到转移瘤巢浸润入垂体瘤中(图4C)。该病例尽管病理切片显示为垂体腺瘤,免疫组化ACTH部分阳性,但患者术前垂体激素均正常,也无相关临床症状,这种表现为肿瘤中有ACTH表达,而无血ACTH升高及临床相关表现的属于“沉默型ACTH细胞腺瘤”。而主要症状表现为肺癌转移至鞍内引起的头痛及视神经快速受压造成的视力急剧下降。肺部原发肿瘤术前已有胸腔积液,但临床症状尚不明显。
颅外肿瘤转移至垂体的途径更倾向于经由垂体后叶的血供至神经垂体,因此转移瘤大部分见于垂体后叶并易出现尿崩的症状。不同的是转移至垂体瘤的途径则很可能经由颈内动脉供应垂体瘤的血管。另外也有学者认为转移瘤可经由颅骨、脑膜上的转移灶播散种植,但这种设想难以解释垂体瘤内的转移[5]。虽然肿瘤转移至颅内肿瘤的机制尚不清楚,但我们猜想可能与颅内肿瘤破坏血脑屏障且血供丰富,更有利于在肿瘤内形成转移灶有关。
垂体转移瘤及恶性肿瘤转移至垂体腺瘤,在治疗上往往采取综合治疗,包括手术、放疗和化疗。在手术方面Zoli等回顾了单中心19年来共15例行手术治疗的垂体转移瘤,术前14例存在视野缺损,8例头痛,4例眼肌麻痹,11例垂体功能低下。经蝶手术后,12例视野缺损好转,5例头痛好转,2例眼肌麻痹好转,但无1例垂体功能好转,术后平均生存时间11.8个月(3-48个月)[6]。Habu等[2]的回顾性研究中只有26.9%的患者行手术治疗,但有80%行放疗,平均生存期为12.9个月。放疗方面Mori等[7]认为伽玛刀对鞍区/海绵窦转移性肿瘤有效,623例行伽玛刀治疗的脑转移瘤中,13例累及鞍区/海绵窦,其中4例单纯累及垂体,放射剂量为12到12.3Gy。9例患者随访2至12个月(平均4个月),肿瘤均稳定、减少甚至消失。Kano等回顾了21年间行伽玛刀治疗的18例垂体转移瘤,其中5例放疗前行手术治疗,平均剂量为13Gy。放疗后3个月、6个月和12个月的生存率分别为66%、36%和18%。
总之,垂体转移瘤少见,颅外肿瘤转移至垂体瘤中则更为罕见,如果术前并未明确原发肿瘤则在诊断上非常困难。但在术前诊断时,尤其是年龄大的患者中仍应考虑此诊断的可能。对于垂体转移瘤,不管有无合并垂体瘤,预后均极差,在治疗上应采取综合治疗,手术并非唯一或必要的手段,放疗、化疗亦可选择。由于病例少,目前缺乏指导性的治疗意见,如何选择治疗方法应根据个体病例而定。
(本文由浙二神外周刊原创,浙江大学医学院附属第二医院神经外科郑喆副主任医师整理并审校,孙崇然副主任医师提供相关垂体转移瘤资料,病理科许晶虹副主任医师提供病理诊断意见,张建民主任审校并终审。)
参考文献
[1] Habu M, Tokimura H, Hirano H, et al. Pituitarymetastases: current practice in Japan. J Neurosurg 2015; 123:998-1007.
[2] Morita A, Meyer FB, Laws ER Jr. Symptomaticpituitary metastases. J Neurosurg 1998; 89:69-73.
[3] Fassett DR, Couldwell WT. Metastases to thepituitary gland. Neurosurg. Focus 2004; 16:E8.
[4] Sogani J, Yang W, Lavi E, et al. Sellar collisiontumor involving metastatic lung cancer and pituitary adenoma:radiologic-pathologic correlation and review of the literature. ClinicalImaging 2014; 38:318-321.
[5] Zoli M, Mazzatenta D, Faustini-Fustini M, et al.Pituitary metastases: role of surgery. World Neurosurg 2013; 79:327-30.
[6] Mori Y, Kobayashi T, Shibamoto Y. Stereotacticradiosurgery for metastatic tumors in the pituitary gland and the cavernoussinus. J Neurosurg 2006; 105 Suppl:37-42.
[7] Kano H, Niranjan A, Kondziolka D, et al.Stereotactic radiosurgery for pituitary metastases. Surg Neurol. 2009;72:248-55.
往期回顾
浙二神外周刊(三十七)--垂体瘤伴发鞍结...
浙二神外周刊(三十六)--脑膜血管瘤病...
更多资讯请关注神外资讯微信公众号:neurosurgerynews




