
华中科技大学同济医学院附属同济医院
爆竹声中一岁除,春风送暖入屠苏,节日的鞭炮声仍在耳边回荡,节日的家乡味仍在鼻尖萦绕。初八上班第一天,同济医院神经外科送走了丙申猴年第一批康复痊愈的患者,让他们可以赶上正月的庙会,可以回家欢欢喜喜闹元宵。节日期间,同广大奉献在一线的员工一样,光谷同济医院神外人也放弃了与家人的团聚,坚守在守卫人民健康的一线,收治了数名脑外伤、脑出血、脑肿瘤危急患者,还收治了一些趁着寒假学时不紧、家长返乡可以陪伴的择期手术患者。他们当中有几位在雷霆教授、李小玲护士长领衔的医护团队的精心治疗下已顺利康复,他们出院时发自内心的欢笑是对我们工作最中肯的评价。独乐乐不如众乐乐,高兴之际同大家一起共享。
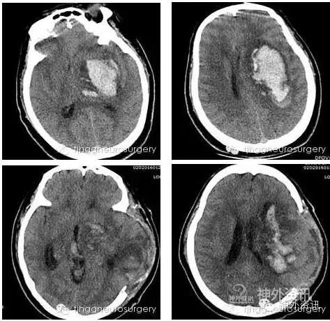
春节临近,既往有高血压的59岁耿婆婆,家人团圆、儿孙绕膝,极其欢乐,兴高采烈地摸起家麻雀(麻将),几圈下来摸到一手好牌、一个自摸,十分兴奋,眼看着就从板凳上滑溜了下去,再喊已不能唤醒,家人急送社区医院,社区医院判断病情危急并联系120急送同济医院光谷院区。

急诊CT发现颅内基底节区出血,出血量较大,同济医院急诊科医生立即请同济医院神经外科(简称“我科”)会诊,当班韩林副教授查看病人并将病人情况向上级医师雷霆教授汇报讨论后,建议行开颅脑内血肿清除术,向家属介绍病情及治疗方案后,家属表示同意,信任并接受医院做出的一切抢救安排。遂立即启动脑卒中救治绿色通道,在麻醉科、手术室的通力协作下急诊完成手术,术后患者病情逐步趋于稳定,神志逐渐恢复。家属甚为感激,考虑到仍在节期家人来回奔波多有不便,家属将病人转往离家较近的医院逐步康复。在此,我们也祝愿她早日站起来、走起来、跳起来、家麻雀摸起来!
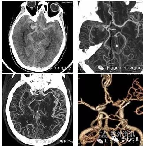
罗婆婆今年56岁,在外打工的女儿女婿打电话回来说这个春节在咱家过,婆婆心里乐开了花,早早在家扫尘土,弯腰扫出床下积灰时突感剧烈头痛、难以坐立,老伴立即呼叫120急救车急送我院急诊科,头部CT发现颅内蛛网膜下腔出血,高度怀疑颅内动脉瘤。颅内动脉瘤不易于颅内埋有一颗炸弹,何时引爆,难以预计,一旦破裂重者致命。对于罗婆婆颅内有无此类炸弹、具体方位如何亟需明确,若有炸弹则这一炸弹必已火星四射蠢蠢欲动,不及时排拆,患者随时有生命危险。

虽然临近佳节,雷霆教授、张华楸副教授、李小玲护士长领衔的医护团队立即联系放射科、麻醉科、手术室等相关科室医务人员组建多学科合作组,短时间内完成了血管造影检查,发现了婆婆头痛的元凶和方位。随后在麻醉科梅伟教授、手术室陈红护士长领衔的麻醉手术团队的协作下,顺利排爆,显微夹闭了罗婆婆颅内的动脉瘤。术后经过我科护士们的精心照料,罗婆婆恢复良好。

正月初六上午满脸笑容的婆婆出院之际说:一年又过一年春,百岁曾无百岁人,能向花间几回醉,十千沽酒莫辞贫,管他有钱没钱明天也去过个情人节!在此,我们也祝愿她们老两人恩爱依旧、健康长寿。
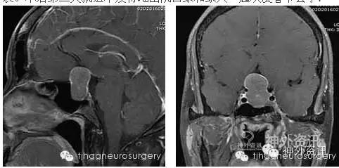
今年45岁王女士,擅长手工,爱织补,近日在家闲来织补衣裳,发现视力大不如前,穿针引线也需要孩子们帮忙了。子女们难得在家陪她,坚持带她到医院检查检查。一检查就发现脑袋里面长了个肿瘤,正好压迫视神经,导致视力下降。一家人忧心匆匆,坚持春节期间接受手术。

为了解除肿瘤对视神经的压迫,更为了解除肿瘤对患者及家人心理上的压迫,雷霆教授决定利用自己的休息时间,在麻醉科、手术室医护人员的精心保障下,行经单鼻孔-蝶窦入路肿瘤显微切除术,手术顺利。术后第一天王女士就说视力明显好转,可以清晰地看见来查房的雷教授的笑容,同时情真意切地说道:父母给了我生命,雷教授您给了我光明!感激之情溢于言表。术后第三天就迫不及待地出院回家和家人一起欢度春节去了!
小喻同学今年七岁了,上学之前整天欢声笑语、活泼开朗,经常和小朋友一起玩耍、打闹。然而入学以来有了些许变化,不喜言笑,不愿主动与小朋友们接近了。家长一度怀疑是不是老师太严厉了,通过和班主任的交流回忆发现,小姑娘在学校尿过几次裤子,从那以后小孩子就变得畏手畏脑、胆胆怯怯的了。但是同学们也没有为此嘲笑她呀,老师还拿自家小孩的裤子给她换上了几次呢。原因在哪呢?老师仔细回忆发现每节课刚上课时还好,上了一会后,小姑娘就变得比较焦躁,无心听课了。小姑娘说自己要每节课都提前去厕所,不然就会尿裤子。老师和家长商量了后决定还是先到医院检查检查。

当地医院磁共振检查发现患儿先天性脊髓栓系,需要手术治疗。春节就在眼前了,一家三口跑了几家医院都建议春节假期过了再做,最后一家人抱着试一试的心态来我科咨询,雷霆教授仔细查看小孩后亦建议手术,家属反复向雷教授介绍家庭情况,恳请春节前期手术治疗。原来患儿一家住在大悟山区,父母常年在外打工,想趁着返乡时节,照顾女儿手术,以尽父母之责,陪伴女儿共度劫难。考虑到他们的实际困难,雷教授接受了他们的请求,并联系麻醉科、手术室团队给予协助,为了确保解除病痛而不带来意外伤害,特安排我科主院区电生理监测医师刘星、郭超前来支援。功夫不负有心人,术后三天患儿就恢复了自主排便功能。

出院时小朋友脸上终于露出了她久违的笑容,家人脸上的愁容也消失殆尽。她爸爸说,今年要好好在家陪她闹元宵、看灯展!祝愿他们元宵佳节开心快乐!
春节期间我们有的不能与家人团聚、有的不能全身心的陪伴家人,我们对家人也心怀愧疚,但是他们的顺利康复和出院时真诚的笑容可以稍稍抚平我们内心的愧疚,可以稍稍增添家人对我们失陪的宽容与理解!让我们一起分担寒潮、风雷、霹雳;让我们一起共享雾霭、流岚、虹霓!
光谷院区神经外科第六病区联系电话:027-63639606;027-63639616。
同济医院光谷院区地址:高新大道501号,光谷生物城对面。
本文转载自:tjhggneurosurgery 微信公众号
更多资讯请关注神外资讯微信公众号:neurosurgerynews




