【Ref: Garces J, et al. World Neurosurg. 2016 Jun;90:698.e13-8. doi: 10.1016/j.wneu.2016.01.088. Epub 2016 Feb 5】
平滑肌瘤是一种起源于间充质的平滑肌肿瘤,好发于胃肠和泌尿生殖系统。平滑肌瘤有潜在的转移性,而颅内原发性平滑肌瘤常见于免疫功能低下者。影像学表现类似脑膜瘤,疾病进展缓慢,需要病理学检查明确诊断。美国新奥尔良奥克斯纳医学中心神经外科的Juanita Garces等报道1例免疫功能正常的原发于脑室内的平滑肌瘤患者,文章发表于2016年6月的《World Neurosurg》杂志上。
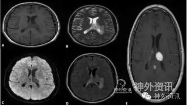
30岁男性患者,主诉进展性复视伴枕部头痛和双侧眼球后疼痛,晨起和夜间头疼加重。体格检查无阳性体征,眼底镜显示视神经乳头水肿。头颅MRI示,左侧脑室内占位性病灶,T1加权略低信号、T2加权低信号;增强扫描病灶呈明显均一强化,无钙化,约2.15×2.11×2.32cm大小;MRI弥散像呈阴性;T2加权FLAIR像显示左侧脑室内略高信号病灶,周围脑水肿(图1)。胸腹部CT检查未见病灶,证明颅内为原发性肿瘤。

图1. 术前颅脑MRI轴位像显示脑室内占位性病灶。A.术前头颅MRI-T1加权像显示,左侧脑室内低信号病灶;B.T2加权快速自旋回波脉冲序列(FRFSE)像显示信号略增高;C. MRI弥散像呈阴性;D.T2加权 FLAIR像显示病灶信号增高,周围脑水肿表现;E.T1加权增强扫描,病灶均一强化。
结合临床和影像学表现,初步诊断为脑室内脑膜瘤。经胼胝体入路开颅手术,切开胼胝体后,可见左侧脑室壁附着质地软、橡胶样的灰红色肿瘤,将肿瘤完全切除。病理学检查报告为平滑肌瘤伴上皮样变(图2)。免疫组化(ICH)染色结果显示肌动蛋白(SMA)、结蛋白表达阳性;Masson三色染色显示肿瘤组织纤维排列疏松,支持平滑肌分化。该组织上皮细胞膜抗原、孕激素受体(PR)、胶质纤维酸性蛋白(GFAP)、神经丝蛋白(NF)、S100、突触素、CD34、黑色素瘤抗原(Melan A)、人黑色素瘤45染色均阴性。荧光原位杂交(FISH)示EB病毒阴性。

图2. 显微镜下肿瘤组织HE染色结果。a.低倍镜下可见肿瘤周围血管和粘液样表现;b.高倍镜下见梭形细胞核,罕见有丝分裂。
患者无手术并发症,术后恢复良好,头颅CT扫描显示肿瘤全切。随访2.5年,头颅MRI复查未见肿瘤残留和复发(图3)。

图3. 随访头颅MRI轴位像显示,肿瘤完全切除,无残留和复发。
到目前为止,文献报道25例颅内原发性平滑肌瘤,其中13例为免疫功能正常者。该肿瘤的临床和影像学表现极易与脑膜瘤混淆,术前很难鉴别。因此,建议手术过程中必须结合术中冰冻切片结果,指导治疗方案。
(新乡医学院李信晓编译,复旦大学附属华山医院花玮审校,《神外资讯》主编、复旦大学附属华山医院陈衔城教授终审)
相关回顾
更多资讯请关注神外资讯微信公众号:neurosurgerynews



