【Ref: Vialatte de Pémille C, et al.World Neurosurg. 2016 May 27. pii: S1878-8750(16)30315-1. doi: 10.1016/j.wneu.2016.05.041. [Epub ahead of print]】
颅内生殖细胞瘤(intracranial germinoma)是一类少见的颅内原发性肿瘤,通常位于中线部位;主要发病人群为亚洲儿童。生殖细胞瘤在西方国家和亚洲分别占颅内肿瘤的0.5%和2.0%。Clément Vialatte de Pémille等报道1例南非成年人基底节生殖细胞瘤,发表于2016年5月《World Neurosurgery》上。
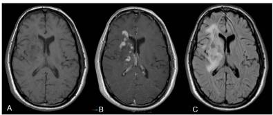
患者男性,21岁;主诉左侧肢体进行性轻偏瘫,既往无慢性病史及家族史。查体发现,左侧肢体肌力为4~5级,锥体束征阳性;未见明显颅内高压症状。术前行颅脑MRI扫描示:右侧额叶多处强化病灶,在右侧基底节区肿瘤周围和胼胝体可见明显水肿(图1)。
图1. 颅脑MRI示:A.T1相轴位片示,右侧基底节区异常信号病灶;B.T1相增强轴位片可见右侧基底节区强化病灶;C.FLAIR轴位片示,右侧基底节区高信号病变及瘤周水肿带。
综合评估患者情况后,进行立体定向穿刺活检术。活检的病灶标本作组织病理学检测,提示为上皮样细胞和小淋巴细胞组成的多发性肉芽肿性病变。肉芽肿炎性反应区可见少量大细胞,其特征是细胞核大,核仁明显,细胞浆呈嗜酸性(图2)。活检标本的免疫组化显示,血管周围小淋巴细胞CD20(+)、大肿瘤细胞CD20(-)以及大肿瘤细胞CD117(+)和Ki67(+),据此排除弥漫性大B细胞淋巴瘤而诊断为生殖细胞瘤(图3)。

图2. 活检组织病理切片图像。A.H-E染色,核仁明显的大细胞浸润神经组织(箭头所示);B.伴有上皮样肉芽肿(虚线所示);C.细胞有丝分裂(三角形箭头所示)。

图3. 免疫组化结果。A.小淋巴细胞中少部分为CD3(+)T细胞;B.大部分为CD20(+)B细胞。C、D.大部分肿瘤细胞可被CD117/c-kit和胎盘碱性磷酸酶所标记。
患者脑脊液和血液检查示,AFP和βHCG水平正常。脑脊液中未见肿瘤细胞。脊髓MRI扫描正常。术后患者接受24Gy和16Gy剂量的全脑全脊髓放疗,总剂量为40Gy。
作者最后指出,成人基底节区的生殖细胞瘤十分少见,主要依据病灶的肿瘤病理学检查来确诊。全脑全脊髓放疗是主要的治疗手段。
(浙江大学医学院附属第二医院付小北编译,复旦大学附属华山医院陈灵朝博士审校,《神外资讯》主编、复旦大学附属华山医院陈衔城教授终审)
相关回顾
更多资讯请关注神外资讯微信公众号:neurosurgerynews



