2016年07月18日发布 | 2425阅读

陈菊祥教授:蝶岩斜区脑膜瘤的显微手术策略和技巧

陈菊祥

上海长海医院

达人收藏

今天为大家分享来自上海长征医院神经外科陈菊祥教授的蝶岩斜区脑膜瘤的显微手术策略和技巧》


上海长征医院 陈菊祥教授


陈菊祥,教授、主任医师、博士生导师、行政副主任。现担任中国人民解放军全军神经外科专业委员会委员,上海市医学会神经外科专业委员会委员、上海市抗癌协会神经肿瘤专委会委员,中华医学会创伤学会青年委员,上海市脑卒中专委会青年委员,Neuro-Oncology、《临床神经外科杂志》等7本杂志编委或审稿专家。1995年毕业于第二军医大学海医系;2003年获第二军医大学神经外科博士学位,师从我国著名神经外科专家卢亦成教授;2012~2013年受国家留学基金委公派在哈佛大学MGH、Barrow Neurological Institute(2009年瑞典Karolinska Institute)等国际著名神经外科学习访问。从事神经外科医、教、研工作21年,年均完成各类神经外科手术约300台左右,主要开展功能区、特殊关键部位神经肿瘤显微手术,擅长微创技术切除复杂颅底肿瘤、颅颈交界处肿瘤、延颈髓内外肿瘤等高风险手术及开展神经胶质瘤的系统性、规范化综合治疗。主持国家863高科技计划1项、国家自然科学基金面上项目5项、上海市科委基金和卫计委基金6项。获上海市科技进步一等奖《恶性脑胶质瘤的生物特性和系统诊治研究》(2015-1)、中国抗癌协会科技二等奖(2012-2)、中华医学科技奖(2010-1)、上海市科技进步二等奖(2005-1)、上海医学科技二等奖(2010-1)等7项成果;共发表SCI论文55篇;以通讯作者在《Neoplasia》、《Carcinogenesis》 、《Cancer Treat Rev》发表32篇SCI论文(IF>120分);被《Science》、《Nature》等他引1189次。


入选的人才计划及获得荣誉:

2015年上海市领军人才

2014年上海市浦江人才

2013年中国人民解放军总后科技新星

2012年上海市曙光学者

2011年上海市卫生系统优秀学科带头人

2010年上海市科技英才提名奖

2009年上海市启明星追踪人才

2008年军队优秀专业技术人才岗位特殊津贴

2007年上海市青年最高荣誉奖银蛇奖、卫生局行政记大功1次

2007年荣立三等功1次

2005年 全国优博提名奖、全军优博和上海市优博

2005年上海市青年科技启明星

2004年上海优秀青年医学人才


蝶岩斜区是颅底解剖结构最复杂的区域之一,该部位的脑膜瘤切除术一直是神经外科最富挑战性的手术,究其原因主要是该区域肿瘤常累及重要的颅神经、前后循环和颅底动脉环的血管及脑干结构,这些结构的损伤常导致颅神经、神经传导束和内分泌功能的障碍和紊乱,严重者甚至可危及生命。加上病变处于颅底深部,各种入路均受骨性结构和脑组织的遮挡,显露困难,更增加了手术的难度和风险。因此要求神经外科医师必须严格掌握手术适应症,具备正确的手术策略、熟悉局部的显微解剖、始终贯彻微创手术理念、掌握镜下手术的技巧,并辅以神经电生理的术中监测设施。随着MRI影像技术、显微外科技术和神经电生理监测技术的不断发展和提高,已极大提高了该区域脑膜瘤的全切除率,并显著降低了术后的致残率和死亡率。


近15年来,上海长征医院神经外科完成了98例岩斜区脑膜瘤的显微手术,肿瘤全切除率和神经功能的保留率均取得了满意效果。本文展示的是陈菊祥教授主刀、卢亦成教授指导下用改良Kawase入路成功切除了一例巨大的蝶岩斜区脑膜瘤的经验和体会。


病例介绍


患者:60岁女性,头晕2月余入院。


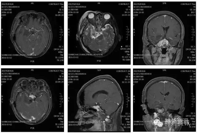
神经系统检查未见明显阳性体征。MRI、CT、CTA及三维重建显示鞍旁见4.7cm不规则信号影,病灶跨颅中、后窝,推挤并包绕右侧颈内动脉及分支、大脑后动脉和基底动脉及分支,MRI显示T1呈等信号影,T2呈高信号影,FLAIR呈高信号,DWI未见异常高信号;增强后均匀强化,可见脑膜鼠尾征;脑干受压明显。


诊断:右侧蝶岩斜区巨大脑膜瘤(以上斜坡为主,侵犯同侧海绵窦后部)。术前详细计划后选择改良的Kawase入路切除肿瘤。


术前影像学资料


具体手术过程见视频。


手术注意事项及体会


蝶岩斜区脑膜瘤是指岩斜区脑膜瘤呈幕上下生长,累及蝶鞍、海绵窦、中颅窝颅底、斜坡、岩尖、桥小脑角甚至枕骨大孔区的脑膜瘤。临床上根据肿瘤累及部位将其分为斜坡型、岩斜型和蝶岩斜型。组织病理学多见以下几种类型:

  • 脑膜内皮型;

  • 成纤维细胞型;

  • 过渡型;

  • 血管型(包括血管型、血管母细胞型和血管外皮细胞型三个亚型);

  • 恶性脑膜瘤等。

选择并设计好手术入路是成功的前提:岩斜区脑膜瘤的手术切除有多种手术入路,如岩前入路、颞下入路、颞底Kawase入路、乙状窦后入路、乙状窦前迷路后入路及内镜下扩大颅底入路等。入路的选择、肿瘤切除的步骤、对可能出现风险因素的防范和应对措施、是否全切除以及是否及时终止手术等是手术的策略,是对术者综合决策能力的考验;术中依据熟悉的解剖、娴熟的操作技巧,获得良好的手术显露,以达到最大限度切除肿瘤的同时也能保护神经血管在结构和功能上的完整性神经,是对手术者技巧的考验;遇到分离困难时需要细心和耐心,遇到出血是需要冷静和果断。

根据影像学资料显示病变所累及的范围,我们选择了颧弓-翼点加Kawase入路,用颧弓-翼点入路充分暴露前床突、中颅底,切除前床突附近和中颅窝底肿瘤;镜下打开Kawase三角,剪开硬膜切除后颅窝肿瘤,充分减压后再分离肿瘤边界,基本全切肿瘤,颅神经保护良好。最后磨除基底增生的骨质;逐层关颅。术后即刻复查增强MRI,显示肿瘤切除满意。患者拆线后出院。

岩骨前入路又称Kawase入路,是上世纪90年代初由日本学者Kawase提出,后不断改进,形成了处理岩斜区肿瘤的主要入路之一。该入路的要点是充分暴露中颅底后磨除Kawase三角(避开颈内动脉岩骨段)显露后颅窝病变。优点:可同时处理中、后颅窝病变,颅神经显露良好有利于保护,能较好地保护Labbe's静脉;缺点:操作空间受限于岩骨磨除的范围,暴露中下斜坡病变存在死角;Kawase三角的处理需要娴熟的技巧和解剖知识,充分磨除是该入路的关键,否则显露范围和操作空间均受限,对病变切除和神经血管的保护造成明显的困难。岩骨前岩浅大神经是岩骨内颈动脉的标志,在其内侧磨除岩尖能避免损伤颈内动脉,内听道道上嵴的磨除可将面听神经向后移位,可进一步扩大后颅窝的显露。对于病变累及中斜坡者也可采用神经内镜,以更好显露肿瘤下极及斜坡基底。

术中切除肿瘤时一般先处理肿瘤基底部或主供血侧,处理血管时注意保护好主干及供应脑干的小分支,应紧贴肿瘤电凝切断供瘤血管。本例巨大脑膜瘤部分包裹基底动脉主干和脑干周围动脉,采用锐性和钝性分离相结合的方法分离肿瘤与脑干的界面并细心保留细小脑干滋养血管,尤其是单纯的蛛网膜粘连均采用锐性分离,以最大限度地减轻术后神经功能的障碍。


术后影像学资料


(上海长征医院陈菊祥教授、严勇博士编辑报道,陈菊祥教授主刀、卢亦成教授审校)

最新评论
发表你的评论
发表你的评论
来自于专栏