2016年05月25日发布 | 1401阅读

入手微处,匠心独运,一些令人击节的手术技巧(下)

梁国标

中国人民解放军北部战区总医院

曹鹏

沈阳军区总医院

达人收藏

作 者:

曹鹏 副主任医师

沈阳军区总医院神经外科



点评专家:

梁国标  教授

沈阳军区总医院神经外科主任


真正的大师,绝不满足于单调的手术重复,他们更善于精锤细练之间,挖掘手术的潜质,揣摩手术的真谛,不断打开通往更上一层的窍门,精益求精,细微之处见真章。

随着神经介入的突飞猛进,越来越多的基底动脉瘤可以获得微侵袭的诊治,并达到满意的疗效,但已积累的一些基底动脉瘤手术技巧仍对颅底外科手术有一些借鉴。


后床突--颅底入路选择的“灯塔”


在过去,基底动脉瘤(BA)或小脑上动脉瘤(SCA)曾是颅底显微外科的难点,不同的神经外科中心、不同的学者均有不同的做法,如翼点入路、额眶颧入路、眶外侧入路(LSO) 、颞下入路、乙状窦前入路等等。经逐步的探索,大部分的BA和SCA已采取颞下入路,其优势在于能更好的暴露基底动脉近心端以利临时阻断、更好的暴露靠近基底动脉顶部的穿支血管以避免误夹闭,而其侧方的视野又不受后床突的遮挡;术中无需磨除后床突,但颞下入路的前提一定是良好的Slack Brain(术前腰椎置管+现代神经外科专科麻醉),否则可能伴随颞叶的严重挫伤和Labbe静脉的损伤。


但对于一些特殊类型的BA或SCA,如瘤颈高于后床突1cm以上,就可以采用LSO这种常规简便侵袭性较小的入路(图1、2)。


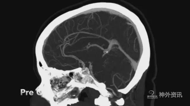
图1. 破裂的基底动脉尖动脉瘤(瘤颈>后床突1cm)。(注:本文图片均引自芬兰Juha Hernesniemi教授)


图2. 破裂的基底动脉尖动脉瘤(瘤颈>后床突1cm)。


常规右侧LSO入路,打开颅底池+终板释放血性脑脊液,通过打开第3间隙暴露基底动脉主干予以临时阻断;临时阻断右侧后交通动脉,打开第2间隙暴露BA瘤颈予以夹闭,如前文所述,终板置管引流(见图3)。


图3. LSO入路基底动脉尖动脉瘤夹闭术。


但对于瘤颈低于后床突1cm以上,甚至为基底动脉主干的动脉瘤,颞下入路虽可视瘤颈,但对瘤颈近心端暴露不充分,无法予以临时阻断,因此常选用乙状窦前入路。


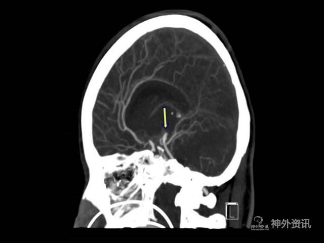
图4. 基底动脉干动脉瘤(瘤颈低于后床突1cm)。


图5. 基底动脉干动脉瘤(瘤颈低于后床突1cm)。


此例基底动脉干动脉瘤位置很低,选择相对费时的乙状窦前入路,开颅时注意保护横窦及乙状窦;在岩上窦两侧及乙状窦前剪开硬膜,缝扎岩上窦,切开小脑幕,瘤颈近心端远心端分别予以临时阻断;仔细分离瘤颈,由于为微小动脉瘤,应用下文介绍的二次夹闭技术予以夹闭。


图6. 缝扎岩上窦。


图7. 切开小脑幕。


图8. 充分暴露瘤颈近心端远心端。


骨性标志由于位置恒定,常用于解剖定位,因此无论动脉瘤还是颅底肿瘤手术,后床突有时可作为衡量病变位置高低的“灯塔”并据此来选择合适的入路,以达到理想的解剖暴露。


 微小动脉瘤的二次夹闭技术

(Double-Clip Technique for Very Small Intracranial Aneurysms)


小于3mm微小动脉瘤在颅内十分常见,有些可导致致命性SAH。夹闭微小动脉瘤,只能使用迷你动脉瘤夹(Yasargil Phynox mini Clip )。迷你夹的闭合力一般在110-130g,相比标准夹的150-200g,迷你夹无论在尺寸还是在闭合力上,均有明显下降。对于常规动脉瘤,由于瘤颈的动脉硬化甚至钙化,单独使用一个标准夹可能会造成术后的动脉瘤夹脱落,因此很多术者习惯在初始夹闭后,在夹子的外侧再平行固定一个标准夹。


而对于微小动脉瘤,瘤颈瘤囊均较小,迷你夹的闭合力也缩小,因此常用Double-Clip Technique来处理,即如图9所示--先应用一个迷你夹夹闭瘤颈,保存一定的残颈,然后第二个同款迷你夹平行夹闭残颈。此技术的理论支持在于,如果像常规动脉瘤的双夹闭方法,第一个迷你夹夹闭后,由于是微小动脉瘤,无血供后瘤囊明显塌陷,第二个外侧夹夹闭将很困难;而如果第一个夹夹闭后留点残颈,将会使第二个内侧夹更容易夹闭。


图9. 二次夹闭技术(Double-Clip Technique )。


图10. 二次夹闭技术(Double-Clip Techni que )。


小技巧—“卷珠帘”


在颞下入路夹闭基底动脉顶端动脉瘤时,由于小脑幕对术野的遮挡,常常会切开小脑幕;但有时仅仅切开,暴露的也不够,因此在纵向切开小脑幕后,可选择两枚迷你动脉瘤夹,像卷帘一样将小脑幕敞开、固定,手术结束后再将动脉瘤夹取下,保持小脑幕的解剖完整。此技巧可减少深部操作时剪切小脑幕范围,减少小脑幕出血,扩大脚间池的显露范围。纵向切开小脑幕时一般选择在滑车神经进入小脑幕的上方(图11),防止术中伤及滑车神经。


图11. 切开小脑幕后用迷你夹将小脑幕卷起。


图12. 切开小脑幕后应用迷你夹将小脑幕卷起。


图13. 小脑幕翻转示意图


小技巧---纤维蛋白胶处理小脑幕出血


纤维蛋白胶作为组织密封剂,可止血、可覆盖组织表面修复组织缺损,常常用于开颅涂抹骨窗缘,防止硬膜外血肿,封闭板障乳突,利用自身黏性帮助肌肉脂肪组织封闭缺损或加固组织血管,如笔者前文《个体化前床突切除:基于病变的私人订制》所述,前床突切除术后取肌肉+纤维蛋白胶封闭,防止术后脑脊液漏。在一些颅底及海绵窦的出血,小剂量注射纤维蛋白胶可有效止血,且不会在该区域引起明显或大范围的血栓形成。而像颞下入路等一系列的颅底入路中,小脑幕或颅底硬膜反折处常增厚,局部形成小窦腔样的出血,此种出血普通的电凝常无效甚至加重,过往常使用小楔形明胶海绵反复填塞,而类似情况,如使用小剂量纤维蛋白胶喷涂一次即解决问题。国内的纤维蛋白胶都是二合一注射器前端配置软短管,可以改良成类似水分离技术使用的长细钝针头效果更佳(如图14、15)。


图14. 切开小脑幕,见静脉血流出。


图15. 小剂量纤维蛋白胶喷涂,止血效果明显。


精准侧裂暴露 

(Focused Sylvian Opening)


神经外科微侵袭的理念现已深入人心,相比于皮瓣骨窗的大小,脑组织的微侵袭尤为重要。在常规的大脑中动脉瘤夹闭术中,无论是否为破裂动脉瘤,如果能在仅打开侧裂1-1.5cm的情况下,对载瘤动脉临时阻断,动脉瘤予以夹闭--这将更符合微侵袭的理念。精准侧裂暴露意味着更少的血管骚扰,降低术后的脑血管痉挛发生率,同时也降低了对脑组织、血管意外损伤的概率,缩短手术时间。


图16. 精准侧裂暴露。


图17. 精准侧裂暴露(侧裂开口1cm)。


精测侧裂暴露夹闭大脑中动脉瘤需要如下三个条件:


①显微镜的最高倍放大及良好照明;

②Slack Brain;

③术前根据DSA及CTA、动脉瘤与骨性标志的关系,利用常规的3D软件重建,在电脑及自己心中模拟出手术时动脉瘤的位置,并据此选择合理的侧裂打开位置。


显微镜最高倍的放大可以将穿支保护做到极致,良好的Slack Brain需要现代的神经外科麻醉+脑脊液的释放,相比这两点,第三点更为关键。


1cm左右的侧裂暴露,对于已破裂动脉瘤,意味着可能还没看到可临时夹闭的载瘤动脉,就先出现了术中破裂,对于未破裂动脉瘤,意味着可能当看到动脉瘤后,瘤体或者M2M3对瘤颈及载瘤动脉遮挡,临时夹永久夹均无法置入,因此根据术前的判断选择侧裂开口的位置十分重要。


例如对于图18的未破裂大脑中动脉瘤,如果单纯从手术路径最近的角度分析,那么绿色箭头最近,可从绿色箭头上方所在位置精准打开侧裂,但是此例最终却选择了从黄色箭头相对较长的路径,也就是更靠向后方打开侧裂,因为从最终效果图21,可见瘤颈、载瘤动脉无遮挡,无论临时阻断还是夹闭都十分方便,而如果沿绿色箭头路径,最终效果为图20,可见在微小的侧裂暴露区,虽可勉强暴露瘤颈,但暴露载瘤动脉并置入临时阻断夹将十分困难,而且可能出现临时阻断夹和永久夹“打架”。


图18. 未破裂大脑中动脉瘤(绿色箭头路径侧裂开口更靠近前床突方向,黄色箭头路径侧裂开口更靠近后方)。


图19. 黄色箭头路径(更靠近后方),打开侧裂后的假想示意图,瘤颈载瘤动脉不受遮挡。


图20. 绿色色箭头路径(更靠近前床突方向),打开侧裂后的假想示意图,瘤颈载瘤动脉部分遮挡,有效操作空间小。



图21. 黄色箭头路径最终效果图。


图22为另一例未破裂大脑中动脉瘤,此例和上例正好相反,如果从黄色箭头路径进,瘤体正好对自己的瘤颈及载瘤动脉遮挡,如图24示意图;而如果从绿色箭头路径,则正好从侧方看到瘤颈及载瘤动脉,方便临时阻断及夹闭,如图23、25。

图22. 未破裂大脑中动脉瘤(绿色箭头路径侧裂开口更靠近前床突方向,黄色箭头路径侧裂开口更靠近后方)。


图23. 绿色箭头最终路径,打开侧裂后的假想示意图,瘤颈载瘤动脉不受遮挡。


图24. 黄色箭头最终路径,如靠近后方打开侧裂后的假想示意图,瘤颈载瘤动脉受遮挡。


图25. 绿色箭头路径最终效果图。


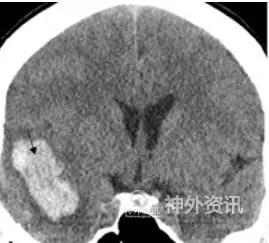
图26为一例右侧破裂大脑中动脉瘤伴颞叶血肿,根据定位及CTA看血肿及破裂处如图27、28、29,如果从绿色箭头路径(图28),不仅动脉瘤颈可能会部分遮挡,且在分离时极可能先出现动脉瘤破裂,而从黄色箭头路径(图29),则不仅夹闭无遮挡,且不会先接触破裂点,造成术中破裂。


图26. 右侧大脑中破裂伴颞叶血肿。


图27. 右侧破裂大脑中动脉瘤(绿色箭头路径侧裂开口更靠近前床突方向,黄色箭头路径侧裂开口更靠近后方)。

图28. 绿色箭头路径模拟,瘤颈部分遮挡,分离时容易在未临时阻断情况,先触碰动脉瘤破裂点。

图29. 黄色箭头路径模拟,可先暴露载瘤动脉并予以临时阻断,然后分离瘤颈夹闭,瘤颈无遮挡,同时减少在临时阻断和最终夹闭前对动脉瘤破裂点的骚扰。


图30. 黄色箭头最终路径夹闭。


梁国标教授点评



颞下入路最早于上个世纪60-70年由Drake医生提出,作为一个古老的入路,在神经外科有着广泛的应用。对于基底动脉瘤夹闭,术中的临时阻断和保护好靠近基底动脉顶的穿支血管尤为重要。基底动脉瘤位置较深,如果没有临时阻断,一旦术中破裂将是灾难性的。良好的术中临时阻断,不仅要暴露基底动脉瘤颈近心端,有时为了充分减少返血,降低动脉瘤张力,双侧后交通也要临时阻断。基底动脉穿支血管主要集中在基底动脉尖及小脑上动脉(SCA)发出部位,而下方的主干穿支较少,适合上临时阻断夹。


常规的LSO入路或者翼点入路,在行基底动脉瘤夹闭时,确实经常受到后床突的阻挡,有时需要打开海绵窦、磨除后床突,因此依据基底动脉瘤瘤颈和后床突的关系,来选择手术入路十分重要。


对于颞下入路,在如此深的区域,三个临时阻断夹、基底动脉、双侧大脑后、双侧后交通、滑车、小脑幕、动眼神经均拥在一起,想做到完善夹闭同时不损伤穿支血管,确实是颅底显微外科的一个挑战。


小脑幕的卷帘技术、纤维蛋白胶的灵活运用,这都是些很实用的小技巧,代替了彻底切除小脑幕或小脑幕切开缝合,有效的敞开空间。


本文中对基底动脉主干未破裂微小动脉瘤采用乙状窦前入路夹闭,是对后床突作为“灯塔”效应的说明,很多在神经介入发展不完善的时代,动脉瘤手术所积累的技巧对今天颅底外科其他手术仍有很大的借鉴意义;而单从治疗本身,此病例亦可应用神经介入的办法更微创的解决。


微侵袭永远是外科进步的方向,精准暴露侧裂夹闭大脑中动脉瘤,4X4cm的LSO骨窗、1cm的侧裂开口、有条不紊的先临时阻断再夹闭,这需要术者在前期的诊断过程中就形成病人体位、蝶骨脊、侧裂开口、动脉瘤、动脉瘤破口、血肿位置等几个要素综合一起的三维立体概念,并据此选择合适的手术方案,这确实对神经外科医师提出了更高的要求。


(沈阳军区总医院神经外科曹鹏副主任医师撰稿,沈阳军区总医院神经外科梁国标主任审校)


作者介绍

曹鹏,沈阳军区总医院神经外科副主任医师、神经外科博士后(导师梁国标教授)、硕士研究生导师。曾师从全国著名神经外科专家沈阳军区总医院神经外科梁国标教授、全国著名颅底外科专家第二军医大学长征医院神经外科卢亦成教授。作为访问学者于2015年下半年赴芬兰赫尔辛基大学中心医院神经外科进修学习。主持全军青年科技课题一项,对神经外科显微手术器械改良获国家专利3项,发表SCI论文6篇,参编书籍5部。


点评专家介绍


梁国标,教授、主任医师、医学博士,博士研究生导师、博士后工作站指导导师,现任沈阳军区总医院全军神经医学研究所所长、神经外科主任,中国医师协会神经外科专业委员会委员,中国医师协会脑血管病专家委员会委员,中华医学会神经外科分会脑血管病学组委员,中国医师协会介入学会委员,全军神经外科专业委员会常务委员,沈阳军区神经外科专业委员会主任委员,辽宁省神经外科分会副主任委员,辽宁省介入学会副主任委员,辽宁省神经介入组组长,中国卒中学会常务委员,《Neurosurgery》、《NeurologyIndia》审稿专家,《临床军医》副主编,《中华神经外科杂志》、《中华实验外科杂志》、《创伤外科杂志》、《中国微侵袭神经外科杂志》、《临床误诊误治》、《解放军医药杂志》等编委。获全军科技进步一等奖1项,军队医疗成果二等奖1项,辽宁省科技进步二等奖2项,军队及辽宁省科技进步三等奖6项;主持及参与国家级课题3项,省部级课题6项,发表SCI论文42篇,核心期刊论文110余篇,享受军队优秀专业技术人才岗位津贴。多年来始终工作在神经外科第一线,熟练掌握显微神经外科手术技巧,对脑干、颅底病变手术全切率高,伤残率低。率先开展多项脑血管病血管内治疗技术,拓宽了颅内动脉瘤、血管狭窄及血管畸形等血管内治疗的适应症,脑脊髓血管病的介入及手术治疗年超过1500例。



更多资讯请关注神外资讯微信公众号:neurosurgerynews

最新评论
发表你的评论
发表你的评论