患者:男,23岁,因“小脑血管母细胞瘤术后3年半,头痛1月余”,门诊以“小脑血管母细胞瘤复发”收治入院。
患者3年半前无明显诱因下出现反复头痛不适,严重时伴有喷射性呕吐。头颅MRI检查提示右侧小脑可见类圆形囊实性团块影,边界尚清,直径约35mm,囊性部分呈T1稍高信号,T2高信号,增强扫描边缘及实性部分明显强化,囊性部分不强化;团块周围可见片状呈长T1长T2信号,诊断为“右小脑肿瘤”(图1)。行开颅肿瘤切除术,术中见右小脑凸面肿瘤,色红、血供丰富、质地软、有完整包膜,穿刺抽出暗红色陈旧性血液,沿肿瘤周围分离肿瘤并切断供血血管,完整切除肿瘤。
病理显示为:血管母细胞瘤。
术后症状好转,患者恢复工作。复查MRI未见肿瘤残余(图2)。1月余前再次出现头痛,呈持续性胀痛,当地医院MRI提示:右小脑肿瘤,复发可能。

图1. 增强MRI显示,右侧小脑可见类圆形囊实性团块影,增强扫描边缘及实性部分明显强化。可见周围片状长T2信号。

图2. 术后MRI显示未见肿瘤残留。
入院后查头颅增强MRI,显示右侧小脑可见类圆形囊实性团块影,边界尚清,直径约18mm,囊性部分呈T1低信号,T2高信号,增强扫描实性部分明显强化;周围可见T2高信号(图3)。

图3. MRI显示右侧小脑可见类圆形囊实性团块影,直径约18mm,增强扫描实性部分明显强化;周围可见T2高信号。
经科室术前讨论,完善相关术前检查后再次全麻下行右小脑开颅肿瘤切除术。术中与第一次所见相似,可见肿瘤内暗红色陈旧性血液,完整切除肿瘤。
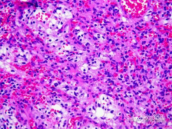
术后病理显示:肿瘤呈明显的小血管增生,并富含间质细胞,细胞呈上皮样及泡沫样,部分核呈退变性不典型。诊断为:“血管母细胞瘤”(图4)。

图4. 病理显示为典型血管母细胞瘤。
术后患者头痛好转。CT检查无残腔出血等。
MRI示:小脑复发肿瘤术后改变,右侧小脑半球可见异常信号灶,呈长T1长T2信号,周边可见条状短T1信号,附近可见脑组织水肿,增强后未见强化(图5)。

图5. 术后CT及MRI显示,术后改变,无残腔出血,周边有水肿。
血管母细胞瘤是一种良性、生长缓慢、富含血管的中枢神经系统血管性肿瘤,约占颅内肿瘤的1.5%到2.5%;占颅后窝肿瘤的7%-12%。是成人最常见的小脑原发性肿瘤,常位于小脑(76%),还可见于大脑半球(9%),脊髓(7%),脑干(5%)[1]。该病常与视网膜血管瘤、内脏先天性多发性囊肿或肿瘤等同时存在,组成特殊的综合症,称为Von Hippel-Lindau综合症或VHL病。血管母细胞瘤可为囊性或实质性,以囊性者多见,囊液多为浅黄色或黄褐色透明液体,囊壁上常有瘤结节附着,并突入囊内。根据组织学和影像学表现分为四型:
1型(5%):单纯囊性,无肉眼可见的结节;
2型(60%):单纯囊性,伴壁结节;
3型(26%):实性结节;
4型(9%):实性结节伴内部小囊。
尽管血管母细胞瘤有着丰富的毛细血管网,但自发性出血却十分罕见,少有文献报道[2,3]。
大多数患者都以慢性颅内压增高症状为主要表现,头痛最常见、呕吐约见于80%的病例小脑肿瘤大多有眼球震颤、共济失调和步态不稳等症状,有的出现强迫头位。脑干肿瘤常表现为脑神经麻痹,如后组脑神经症状,呛咳、吞咽困难和肢体感觉或欲动障碍等。CT上血管母细胞瘤实性病变通常为边界清楚的圆形或类圆形不均匀较高密度病灶,强化明显;囊性病变为低密度类圆形病灶,强化后仍为低密度,而结节强化。MRI上实质性肿瘤T1呈等信号,T2为高信号;囊性肿瘤T1呈低信号,T2为高信号,增强化实质性病灶和囊性病灶的瘤结节均可明显强化,肿瘤内或周围可见条状迂曲行走的血管流空影。MRI能更好显示病灶的解剖结构。
血管母细胞瘤需与动静脉畸形、脑动脉瘤鉴别,相对于上述血管病,血管母细胞瘤占位效应更明显,往往表现出局灶的神经功能缺失。血管母细胞瘤的微血管结构是由正常毛细血管床组成,而动静脉畸形的微血管结构则是异常的[4,5]。有文献报道[4],认为血管母细胞瘤可以与脑动脉瘤共存,这可能与血流动力学干扰和化学性调节机制相关。
有关血管母细胞瘤自发性出血的机制仍然不明,有待研究。有文献报告[6]表明,出血可能和肿瘤大小有一定关系,肿瘤小于1.5cm几乎无自发性出血的风险。还有文献报道称,由于血管母细胞瘤导致血管内皮生长因子(VEGF )的上调,从而导致肿瘤血管结构脆性增加,这也被报道认为是可能出现自发性出血的原因,同时肿瘤具体位置、实质部分类型等也是需要考虑的因素[4,7,8]。有研究报道,约23%- 34%的血管母细胞瘤发现存在染色体6的部分缺损,同时6号染色体上的D6Mit135基因被报道与血管扩张出血相关,因此D6Mit135基因可能与血管母细胞瘤罕见的自发性出血相关[9-11]。本例患者为复发血管母细胞瘤患者,4年前的手术记录也曾描述发现血性囊液,但是由于时间较长,资料保存不完整,无法确切证实。这就意味着血管母细胞瘤的自发性出血可能是遗传相关的,当然这也需要更多的研究证实。
1. Hussein MR. Central nervous system capillary haemangioblastoma: the pathologist's viewpoint. Int J Exp Pathol. 2007; 88(5): 311-324.
2. Hashimoto K, Nozaki K, Oda Y, Kikuchi H. Cerebellar hemangioblastoma with intracystic hemorrhage--case report. Neurol Med Chir (Tokyo). 1995; 35(7): 458-461.
3. Lee JY, Cho BM, Oh SM, Park SH. Delayed diagnosis of cerebellar hemangioblastoma after intracerebellar hemorrhage. Surg Neurol. 2007; 67(4): 419-421.
4. de San Pedro JR1, Rodríguez FA, Níguez BF, et al. Massive hemorrhage in hemangioblastomas Literature review. Neurosurg Rev. 2010; 33(1): 11-26.
5. Ishikawa E, Matsumura A, Matsumaru Y, et al. Intratumoral hemorrhage due to hemangioblastoma arising from a cervical nerve root--a case report. J Clin Neurosci. 2002; 9(6): 713-716.
6. Gl?sker S, Van Velthoven V. Risk of hemorrhage in hemangioblastomas of the central nervous system. Neurosurgery. 2005; 57(1): 71-76.
7. Lee JY, Cho BM, Oh SM, Park SH. Delayed diagnosis of cerebellar hemangioblastoma after intracerebellar hemorrhage. Surg Neurol. 2007; 67(4): 419-421.
8. Kim JM, Cheong JH, Bak KH, Kim CH, Park DW, Oh YH. Congenital supratentorial hemangioblastoma as an unusual cause of simultaneous supra- and infratentorial intracranial hemorrhage: case report. J Neurooncol. 2006; 77(1): 59-63.
9. Hussein MR. Central nervous system capillary haemangioblastoma: the pathologist's viewpoint. Int J Exp Pathol. 2007; 88(5): 311-324.
10. Maeda YY, Takahama S, Yonekawa H. Four dominant loci for the vascular responses by the antitumor polysaccharide, lentinan. Immunogenetics. 1998; 47(2): 159-165.
11. Lemeta S, Aalto Y, Niemel? M, et al. Recurrent DNA sequence copy losses on chromosomal arm 6q in capillary hemangioblastoma. Cancer Genet Cytogenet. 2002; 133(2): 174-178.
(本文已发表于《Medicine》,Wang Z et al,2015;94(4):e497,由浙二神外周刊修改补充,浙江大学医学院附属第二医院神经外科陈盛、胡骏整理,王真副主任医师审校,张建民教授终审)
往期回顾
浙二神外周刊(三十七)--垂体瘤伴发鞍结...
浙二神外周刊(三十六)--脑膜血管瘤病...
更多资讯请关注神外资讯微信公众号:neurosurgerynews




