
Location(地点)
Team(手术团队)
Patient(患者)
Background(手术背景)
● 脑脓肿通常由链球菌、葡萄球菌或革兰氏阴性菌引起,但当解剖屏障受损时,低毒力共生菌偶尔也可引发严重的颅内感染。麻疹孪生球菌与玫瑰考克菌均为罕见机会致病菌,极少累及中枢神经系统。
● 患者为23岁男性,因数天内进行性嗜睡、持续性头痛就诊。3周前,他曾因急性鼻窦炎接受莫西沙星及抗炎药物治疗,治疗后多数症状缓解,但头痛持续存在。入院时,患者呈嗜睡状态,但定向力完整、配合查体,格拉斯哥昏迷评分(GCS)15分,肢体肌力正常。体温37.5℃。实验室检查提示炎症指标升高:C反应蛋白(CRP)38 mg/L,红细胞沉降率(ESR)51 mm/hr。艾滋病、肝炎、布鲁氏菌病、包虫病、梅毒、莱姆病血清学检测均为阴性。免疫功能检查结果正常。立即给予脱水降颅压、抗癫痫治疗,并将患者转入重症监护室密切监测。
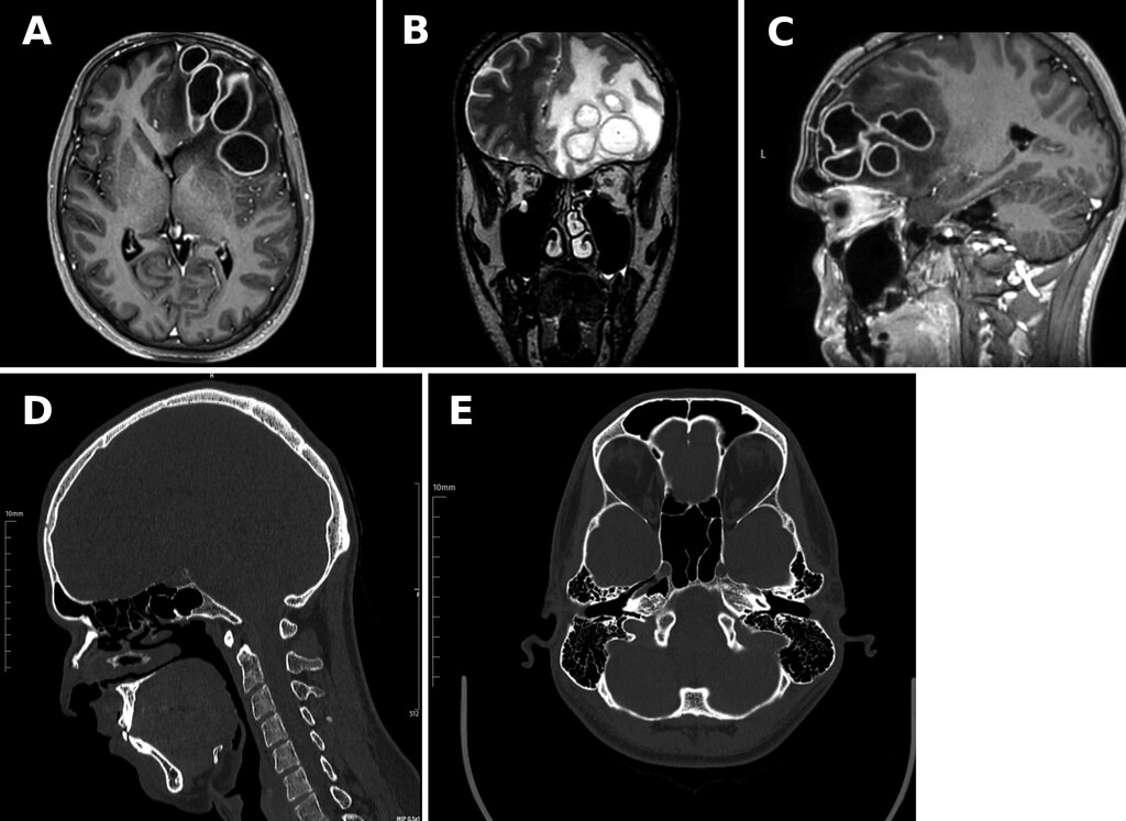
● 头颅平扫CT最初显示,左侧额叶多发低密度灶,病灶周围伴血管源性水肿。随后行头颅增强MRI进一步确诊与评估,结果显示,多房性环形强化脓肿,中央弥散受限,伴显著占位效应。鼻窦CT与MRI示,黏膜增厚、管腔内低密度影及局部骨质不规则,符合活动性鼻窦炎表现(图1)。

图1:A、B:鼻窦影像,提示感染的可疑来源。CT显示窦壁局部骨质缺损。C-F:术前脑部MRI,显示左侧额叶多房性脑脓肿。病灶在T1加权像呈低信号,T2加权像呈高信号,增强扫描可见厚壁环形强化的脓腔包膜,病灶周围伴明显血管源性水肿及占位效应。
Technique(技术)
Procedure(手术过程)
1.超声引导下穿刺抽吸:患者于入院第2天完成术前评估与准备后进入手术室。手术采取双冠状头皮切口,行左侧额叶约3 cm×3 cm开颅。当时无法常规开展立体定向或神经导航引导下抽吸,因此以术中超声作为主要引导方式。超声探及多发低回声脓腔,实现了对多房性病灶的精准定位与抽吸。抽出物为黏稠、黄绿色、伴恶臭的脓液,标本送微生物学及病理学检查。抽吸后超声证实脓腔显著缩小。术后CT未见手术相关并发症,患者神经功能保持完好。
2.病原学检测与抗感染治疗:抽吸物培养检出麻疹孪生球菌和玫瑰考克菌,二者均为少见的共生菌,可引发侵袭性感染。患者接受万古霉素、头孢曲松、甲硝唑静脉抗感染治疗1个月。耳鼻喉科鼻内镜检查未见鼻窦感染残留。术后第1个月末,患者仍在住院并接受静脉抗生素治疗,神经系统查体正常,炎症指标较前有所改善(CRP 20 mg/L,ESR 34 mm/hr)。然而,随着头痛进行性加重,复查头颅CT及MRI显示,左侧额叶出现复发性包膜完整的环形强化脓肿,伴周围水肿(图2)。

图2:A:增强T1加权MRI,示左侧额叶复发性环形强化病灶。B:T2加权MRI,示病灶周围血管源性水肿较前加重。C:增强T1加权MRI,示复发病灶上下范围(颅尾方向)。D:CT示额窦后壁局部骨质缺损。E:CT证实局部骨质缺损并向颅内延伸。
3.脓肿包膜完整切除:二次手术前行耳鼻喉科会诊。鼻内镜检查显示,受累鼻窦无活动性脓肿,无需内镜下引流或手术干预。建议继续全身抗生素治疗,并辅以生理盐水鼻腔冲洗。二次手术前的术前复查影像显示,鼻窦脓性内容物已自行引流、较前吸收,无持续性鼻窦积脓、颅底缺损及颅内–鼻窦交通的证据。因此,无需额外行鼻窦相关手术(如颅骨整复、清创或封堵),手术方案仅限于完整切除颅内脓肿。手术经原双冠状切口入路,并扩大原骨窗。术中见边界清晰、包膜完整的脓腔,内含深色脓性物,遂将脓肿包膜完整切除(图3)。

图3:A、B:二次手术术中照片,显示完整切除的多房性脓肿包膜。标本可见厚韧、形态完整的包膜,内部含深色脓性物。C:复发性脓肿完整切除后的术腔所见。
4.后续管理:术后MRI证实病灶已完整切除,无残留强化及复发积液(图4)。患者神经功能保持完好。静脉抗菌药物治疗总计6周,后续改为口服抗生素治疗3周,并持续使用抗癫痫药物。

图4:额窦相关性颅内脓肿手术引流术后多模态影像。A-C:术后MRI显示左侧额叶术后残腔,占位效应及周围水肿较前减轻。D-E:DWI及ADC图未见明显残留弥散受限。F-G:CT骨窗示额窦壁缺损及术后颅内改变。
Outcome(结果)
Review(手术复盘)
出院时患者无症状,炎症指标恢复正常,随访期间未出现任何并发症。
● 临床医师在评估鼻窦源性脑脓肿时,即便患者免疫功能正常,也应保持广泛的微生物学鉴别诊断思路。当局部解剖屏障被破坏时,麻疹孪生球菌、玫瑰考克菌等少见共生菌可成为侵袭性致病菌。由于苛养菌或非典型细菌易被漏诊,因此需要规范、细致的微生物学送检,包括需氧、厌氧培养,必要时行分子诊断技术,对明确致病菌至关重要。
● 即使经过长疗程抗生素治疗,脓肿仍可能复发,尤其是多房性或有完整包膜的脓肿,对此类病例,再次手术并完整切除脓肿包膜可获得更确切的感染控制。本例提示罕见共生菌也可引发侵袭性颅内感染,并强调必须依托完善的微生物学评估与严密的术后随访,实施个体化手术与抗菌治疗。
REF:Aydın İ, Öztürk F, Ekşi F, Kef B, Üçer M, Çevik OM. Multilobulated frontal brain abscess caused by Gemella morbillorum and Kocuria rosea in an immunocompetent young adult: illustrative case. Journal of Neurosurgery: Case Lessons. 2026;11(12): e CASE25950. doi:10.3171/CASE25950


点击前往脑医汇-病例夹
查看更多精彩内容
点击前往脑医汇-文献速览查看更多精彩内容
![]()
声明:脑医汇旗下神外资讯、神介资讯、神内资讯、脑医咨询、Ai Brain 所发表内容之知识产权为脑医汇及主办方、原作者等相关权利人所有。
投稿邮箱:NAOYIHUI@163.com
未经许可,禁止进行转载、摘编、复制、裁切、录制等。经许可授权使用,亦须注明来源。欢迎转发、分享。




