
今天为大家分享的是,由杭州市西溪医院神经外科崔亚辉主任医师带来的:左侧翼点开颅大脑额极动脉动脉瘤夹闭术,欢迎阅读、分享!
本例患者所有病案资料已获得患者知情同意授权。长视频分离侧裂及夹闭动脉瘤时视频尽可能少的做了剪辑,保留最真实手术过程。欢迎提出批评整改意见。
性别:女。
年龄:60岁。
现病史:患者4小时余前被家属发现头痛,伴恶心呕吐,为胃内容物,无意识不清等不适。遂被送至我院急诊,查CT示“左侧额叶脑出血伴血肿形成,破入脑室系统”,结合CTA及出血位置考虑动脉瘤可能,患者家属为求进一步诊治,拟“脑出血”收住。
体格检查:T37.5℃,P70次/分,R14次/分,Bp136/76mmHg。专科检查:意识清,精神软,光反射灵敏,视力视野检查、额纹检查及示齿口角检查欠配合;颈稍抗,心律齐,肺部听诊未及异常呼吸音,腹软,压痛反跳痛检查欠配合,四肢肌张力正常,肌力粗侧IV+级,双侧巴氏征阴性,GCS E4V5M6。Hunt-Hess:1级。
辅助检查
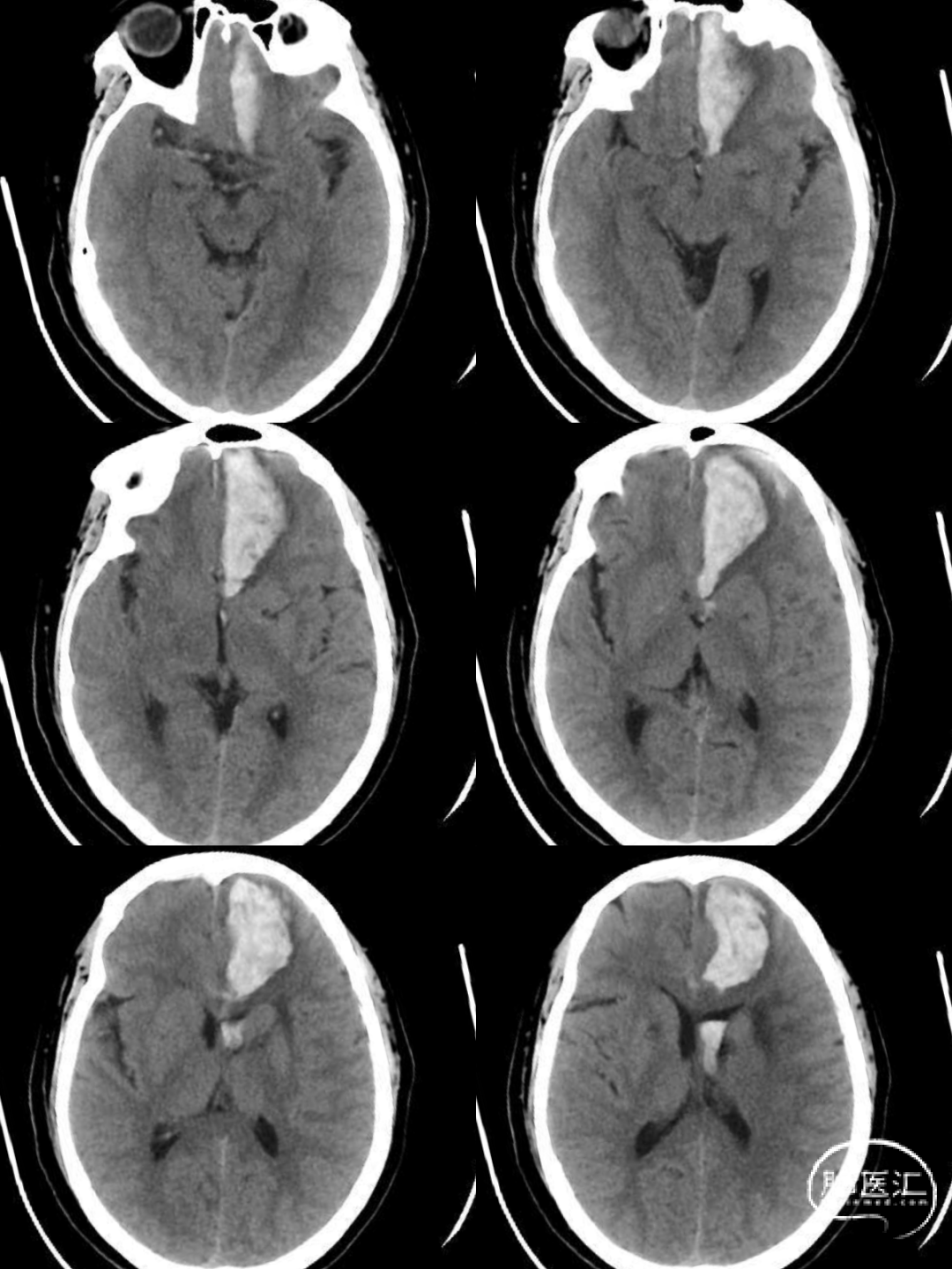
头颅CT:左侧额叶脑出血伴血肿形成,破入脑室系统,请结合临床,建议复查(图1)。

图1 急诊CT平扫
诊断
诊疗计划
1、患者额叶近纵裂部位出血,首先考虑颅内动脉瘤,大脑前动脉或前交通动脉瘤可能,CTA未见明显动脉瘤,拟进一步急诊DSA明确。
2、在进行术前准备拟行脑血管造影时,患者突发癫痫大发作,予以抗癫痫处理后,全麻气管插管下行DSA造影,提示左侧大脑前动脉分支-额极动脉动脉瘤(图2)。

图2 DSA额极动脉动脉瘤
3、因患者动脉瘤合并颅内血肿,病情告知患者家属,建议进一步行开颅手术夹闭。患者家属充分商量后同意开颅手术治疗。
术中所见
请点击查看手术视频
术后康复
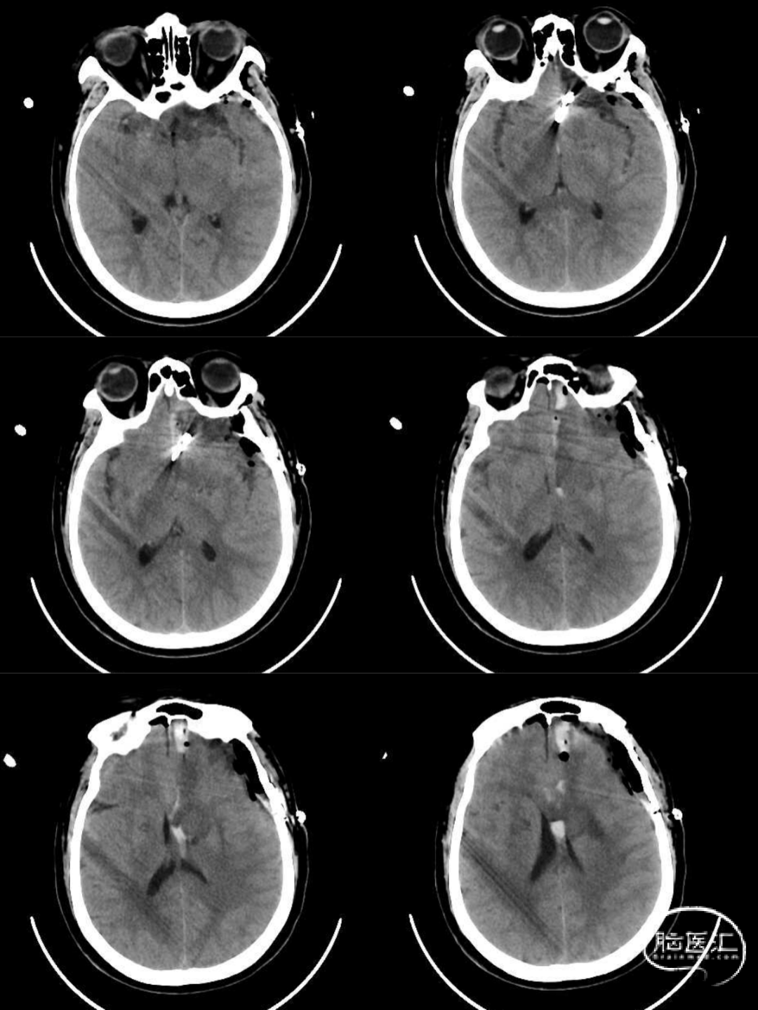
患者术后8小时意识清,四肢活动好,无明显神经功能障碍,拔除气管插管。术后5小时复查CT:颅内大部分血肿清除,颅内压不高。

图3 术后复查CT
患者术后1周出现意识模糊,并伴有暂时性尿崩症,四肢活动正常。予以加强对症抗血管痉挛、控制尿崩等治疗后逐步好转。2周复查DSA提示:动脉瘤夹闭完全,额极动脉(载瘤动脉)通畅(图4)。四肢活动好,意识清。康复出院。

图4 术后复查DSA
诊疗思考
该例患者术前CTA未见明显动脉瘤,但出血部位高度疑诊动脉瘤,位于前交通或A2段动脉瘤可能。DSA造影明确为额极动脉动脉瘤。术中暴露至前交通复合体时因A2明显增粗,易误判为动脉瘤,索性术前充分阅片,判断为A2。切除部分直回后先暴露动脉瘤,试夹闭动脉瘤后,分离周围空间,可见载瘤动脉误夹,予以反复调整后完整夹闭瘤颈,并保持载瘤动脉通畅。ICG荧光造影证实动脉瘤夹闭完全,载瘤动脉通畅。后续康复满意。
欢迎各位专家提出指导意见,感谢。
作者简介
崔亚辉 主任医师
杭州市西溪医院
● 神经外科主任医师
● 浙江大学神经外科学硕士
● 浙江省医学会神经外科分会青年委员
● 浙江省卒中学会神经外科分会委员
● 浙江省医师协会神经外科分会青年委员
● 杭州市医学会神经外科分会委员
● 杭州市中西医结合学会神经外科分会委员
● 擅长脑血管病显微外科手术及介入治疗,如颅内动脉瘤夹闭术、颅内肿瘤切除术(如垂体瘤、听神经瘤、脑膜瘤、胶质瘤)、脑出血开颅及微创手术、脑积水V-P分流、颅内动脉瘤、动静脉畸形介入栓塞术、颈动脉狭窄内膜剥脱或支架植入术、椎管内病变切除术等
![]()
声明:脑医汇旗下神外资讯、神介资讯、神内资讯、脑医咨询、Ai Brain 所发表内容之知识产权为脑医汇及主办方、原作者等相关权利人所有。
投稿邮箱:NAOYIHUI@163.com
未经许可,禁止进行转载、摘编、复制、裁切、录制等。经许可授权使用,亦须注明来源。欢迎转发、分享。






