
本次手术通过3D数字外视镜辅助,结合机器人神经导航系统术中引导,成功实现了中央区胶质瘤的切除。该设备在切除准确性、操作效率、团队协作及教学展示方面的综合优势,为今后开展中央区占位性病变手术切除提供了可靠的技术支持与工作模式优化。
——海南医科大学第一附属医院 周建团队

29岁,男性。
主诉:左侧肢体麻木1月余。
现病史:患者于1月前无明显诱因出现左侧肢体麻木,伴有肢体抽搐,表现为突发意识丧失,口吐白沫,双眼向上凝视,可自行缓解;意识恢复后不能回忆起发生经过。无胸闷气促,无寒战高热。遂就诊我院,行头颅MRI提示“右侧额顶叶占位性病变”,现患者为求进一步治疗,门诊以“颅内占位性病变”收入我科。
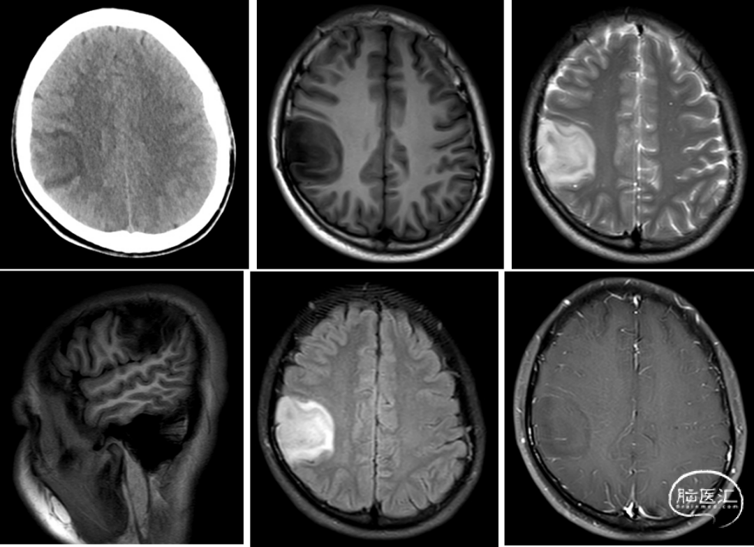
术前影像学检查:

影像学描述:头颅CT提示右侧顶叶低密度病灶;头颅MR提示右侧顶叶见一异常信号肿块,边界尚清,范围约38mm×40mm。病灶T1WI呈稍低信号,T2WI呈稍高信号,增强扫描显示肿块未见明显强化,病灶周围水肿不明显,局部脑沟稍变浅,颅内中线结构向左侧轻微移位。脑池、脑裂未见增宽。颅骨未见异常。
影像诊断:右侧顶叶异常信号肿块,考虑低级别胶质瘤(多为低级别星形细胞瘤可能)。
术前脑电图检查:右侧额顶叶异常放电灶。
术前诊断:右侧顶叶占位性病变:胶质瘤?
手术注意事项:术中准确定位肿瘤位置,电生理协助监测,避免影响中央前后回的功能。
术前机器人导航+多模态影像重建+DTI纤维束重建:

术前机器人导航系统投影定位:

术中情况:手术中见局部脑水肿明显,在多模态影像的指引下,保护中央前、后回及周围血管,术中送冰冻切片提示胶质瘤,全程在3D数字外视镜顺利切除肿瘤,术中电生理监测信号平稳。

术后临床情况:术后肢体麻木逐步减轻最后完全消失,未出现新发神经功能障碍,未出现癫痫发作等。
术后病理检查:

分子病理:星型细胞瘤,IDH突变型,WHO 2级。
1. 准确定位与实时可视化融合:
依托机器人神经导航系统的高精度三维空间定位,结合3D数字外视镜呈现的真实景深与放大倍率,实现了“虚拟地图”与“实时路况”的叠加。术中,术者可在直视下沿预设导航路径进行精细操作,提升目标病灶的定位精度与切除可控性,真正实现“指哪打哪”。
2. 微创理念与操作效率协同优化:
导航立体定向技术辅助设计最优化的皮层切口与手术通道,帮助规避盲目探查。同时,3D数字外视镜以其轻量化设计与灵活观测角度,不仅解放术者体位、改善人机工程学体验,更以其高清视野弥补微小通道内的观察盲区。二者协同,在最大限度减少脑组织牵拉的同时,提升手术流畅度与操作效率。
3. 智能化决策支持与功能保护:
通过将术前多模态影像(MRI/CT)与术中实时3D术野深度融合,实现关键功能结构(如锥体束、语言中枢)的增强现实可视化。该虚实融合技术使术者在操作过程中实时“透视”并规避危险区域,一定程度上降低神经功能损伤风险,有力推动神经外科手术向智能化、数字化迈进。

总结: 本次中央区肿瘤切除术的成功,标志着3D数字外视镜技术在我科功能区脑肿瘤微创手术领域的应用日臻成熟。依托其全数字化成像与立体景深优势,手术团队在多模态影像引导下实现了对功能区组织的保护与病灶的完全切除,一定程度上减少了术后并发症风险。该设备的引入,不仅完善了我科在“外视镜-内镜-显微镜”协同应用上的技术拼图,更以其优越的人机工程学设计及数字化教学平台,助力提升学科整体微创技术水平与人才梯队建设,为未来开展准确性更高、智能程度更深的神经外科手术奠定了坚实基础。
周建 教授
海南医科大学第一附属医院
医学博士,主任医师。精准娴熟地掌握神经外科各类手术技巧,擅长神经肿瘤切除术/MVD/脊柱脊髓/脑血管病等各类高难度复杂手术,主要从事颅脑损伤/脑血管病的基础与临床研究,主持或参与国家级、省部级课题多项,发表论文多篇,参编论著2部,获国家专利1项。
![]()
声明:脑医汇旗下神外资讯、神介资讯、神内资讯、脑医咨询、Ai Brain 所发表内容之知识产权为脑医汇及主办方、原作者等相关权利人所有。
投稿邮箱:NAOYIHUI@163.com
未经许可,禁止进行转载、摘编、复制、裁切、录制等。经许可授权使用,亦须注明来源。欢迎转发、分享。





