
Location(地点)
Team(手术团队)
Patient(患者)
Background(手术背景)
● 自发性脊髓脑脊液漏的诊断难度较高,在存在大面积硬膜撕裂或多处硬膜撕裂时尤为困难。尽管常规CT脊髓造影(CTM)是标准影像学检查手段,但它往往无法对隐匿性漏口进行精准定位。动态CT脊髓造影(dCTM)可实现造影剂的实时追踪,显著提升定位准确率,尤其适用于1型(腹侧硬膜撕裂)和2型(侧方硬膜撕裂)脑脊液漏,为开展靶向干预治疗提供可靠依据。
● 患者为36岁女性,患有伯特-霍格-杜布综合征(Birt-Hogg-Dubé syndrome),初诊时表现为体位性枕部头痛、视物模糊、听力闷堵、吞咽困难以及双侧上肢感觉异常。患者7年前首次确诊自发性脑脊液漏,经非靶向腰椎硬膜外血贴疗法成功治愈。患者曾于3年前和6年前接受剖宫产手术,术中均实施了椎管内麻醉。
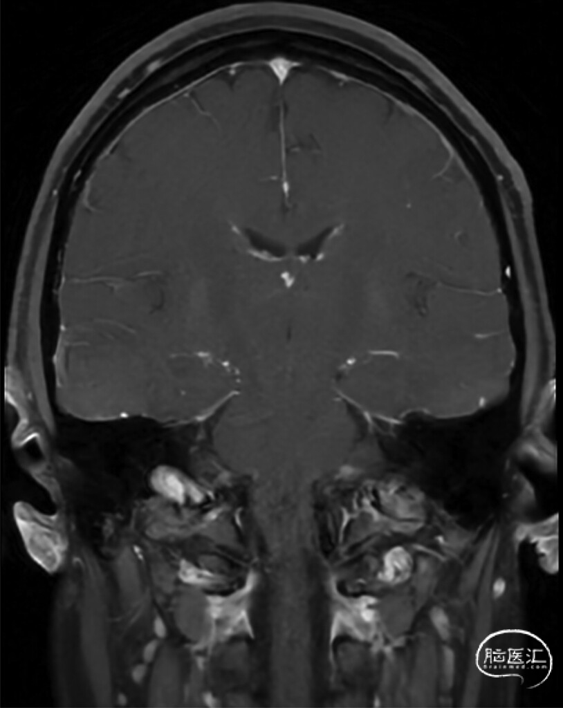
● 首次头颅非增强MRI显示符合颅内低压的影像学表现(图1)。因患者当时妊娠34周,暂缓CTM检查,由麻醉科医师在无影像引导下为其实施了非靶向腰椎硬膜外血贴治疗,术后症状完全缓解。6个月后,患者因症状复发再次就诊。复查增强头颅MRI仍提示颅内低压表现,并新增硬脑膜弥漫性强化(图2)。全脊柱MRI显示腹侧硬膜外脑脊液信号积聚,高度提示1型脑脊液漏(图3)。CTM证实存在T4至T11节段腹侧硬膜外造影剂积聚,但未能明确漏口位置。

图1:头颅非增强MRI初始图像,显示颅内低压典型表现。A:T1加权像,垂体增大、鞍上池与桥前池变窄/消失、乳头体-脑桥距离缩短、小脑扁桃体下移。B:T2加权FLAIR像,双侧薄层硬膜下积液。

图2:症状复发6个月后复查T1加权脂肪抑制增强头颅MRI,显示硬脑膜弥漫性强化。

图3:脊柱T2加权MRI图像,示腹侧硬膜外积液(箭头所示)。
Technique(技术)
Procedure(手术过程)
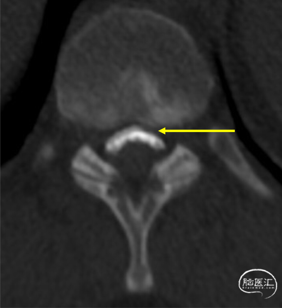
1.dCTM定位漏口:最初由尾侧向头侧扫描,未见造影剂立即外渗,提示不存在高流量漏。随后由头侧向尾侧扫描时,在T10–11节段中线偏右侧发现一处细微的腹侧造影剂聚集(图4),提示存在硬膜缺损及脑脊液漏位置。延迟仰卧位扫描证实,边界清晰的腹侧硬膜外积液从T6–7延伸至T10–11,与既往检查结果一致。鉴于患者症状持续存在且已明确缺损位置,遂行开放性手术修补。

图4:动态CT脊髓造影显示,T10–11节段中线偏右侧可见微量硬膜外造影剂积聚(箭头所示)。
2.手术入路与显露:手术采用全身麻醉,患者取俯卧位,全程行持续神经电生理监测。术者实施T10、T11椎板切除术,并采用右侧T11经椎弓根入路,在最大限度减少脊髓牵拉的同时,可直接显露硬膜腹外侧壁。该入路能清晰辨认右侧T10、T11神经根出孔处。
3.漏口探查与修复:显露神经根后,对硬膜的侧方与腹侧面进行探查,可见明确的腹侧硬膜缺损。行Valsalva动作,未见明显脑脊液流出。若对该硬膜缺损进行直接缝合修补,需行硬膜内探查或牺牲神经根。鉴于上述操作存在风险,且无脑脊液流出提示为低流量脑脊液漏,选择对缺损处进行加固修补,而非直接缝合。将尺寸偏大的TachoSil补片包裹覆盖于硬膜的侧方及腹侧面,并用DuraSeal将补片固定牢靠。按标准方式严密缝合切口,确保密闭不渗漏。术中全程未出现神经电生理异常改变。
Outcome(结果)
Review(手术复盘)
术后2周随访拆线时,切口愈合良好,患者症状无复发。术后1个月随访,患者临床症状显著改善,无脑脊液漏持续存在的迹象。术后6个月随访,患者症状完全消失,活动耐量提升,且无任何症状反复。
dCTM是定位高流量1型与2型脊髓脑脊液漏的重要诊断工具,尤其在传统影像学检查无法明确诊断时价值突出。在dCTM前增加脊柱平扫CT以评估骨性病变,有助于提高漏口定位精度,并指导靶向修复。对于无法进行硬膜一期缝合的患者,采用TachoSil这类生物补片联合低膨胀DuraSeal密封胶进行加固,可提供安全且有效的修补方案。在复发性或难治性脑脊液漏的诊疗中早期采用上述影像评估与处理策略,能够改善手术效果,减少不必要的操作,并缩短治疗延误。
REF:Stepniak A, Adida S, Anand SK, Agarwal V, Gerszten PC. Targeted repair of a refractory ventral cerebrospinal fluid leak identified by dynamic computed tomography myelography: illustrative case. Journal of Neurosurgery: Case Lessons. 2026;11(12): e CASE25700. doi:10.3171/CASE25700


点击前往脑医汇-病例夹
查看更多精彩内容
点击前往脑医汇-文献速览查看更多精彩内容
![]()
声明:脑医汇旗下神外资讯、神介资讯、神内资讯、脑医咨询、Ai Brain 所发表内容之知识产权为脑医汇及主办方、原作者等相关权利人所有。
投稿邮箱:NAOYIHUI@163.com
未经许可,禁止进行转载、摘编、复制、裁切、录制等。经许可授权使用,亦须注明来源。欢迎转发、分享。




