一名65岁男性,患有未控制的高血压、冠状动脉疾病及重度吸烟史,因嗜睡及左侧偏瘫2小时至急诊就诊。入院时美国国立卫生研究院卒中量表(NIHSS)评分为15分。头部计算机断层扫描(CT)未显示出血,阿尔伯塔卒中项目早期CT评分(ASPECT)为10分。立即按0.9 mg/kg剂量静脉注射重组组织纤溶酶原激活剂(rt-PA)进行溶栓治疗。同期CT血管造影显示右侧颈内动脉严重狭窄及大脑中动脉闭塞,后续数字减影血管造影(DSA)在介入治疗前确认上述病变(视频A、B)。完成右侧颈动脉支架置入术(视频C、D)后,对右侧大脑中动脉行机械取栓,取出大块暗红色血栓实现血管再通。但DSA发现大脑中动脉内存在活动性充盈缺损,从豆纹动脉分支处移行至远端大脑中动脉(图1A;视频E),导致延迟灌注(视频F)。再次置入取栓支架后,取出灰色软组织(图1B),右侧大脑中动脉实现无充盈缺损的再通(视频G)。
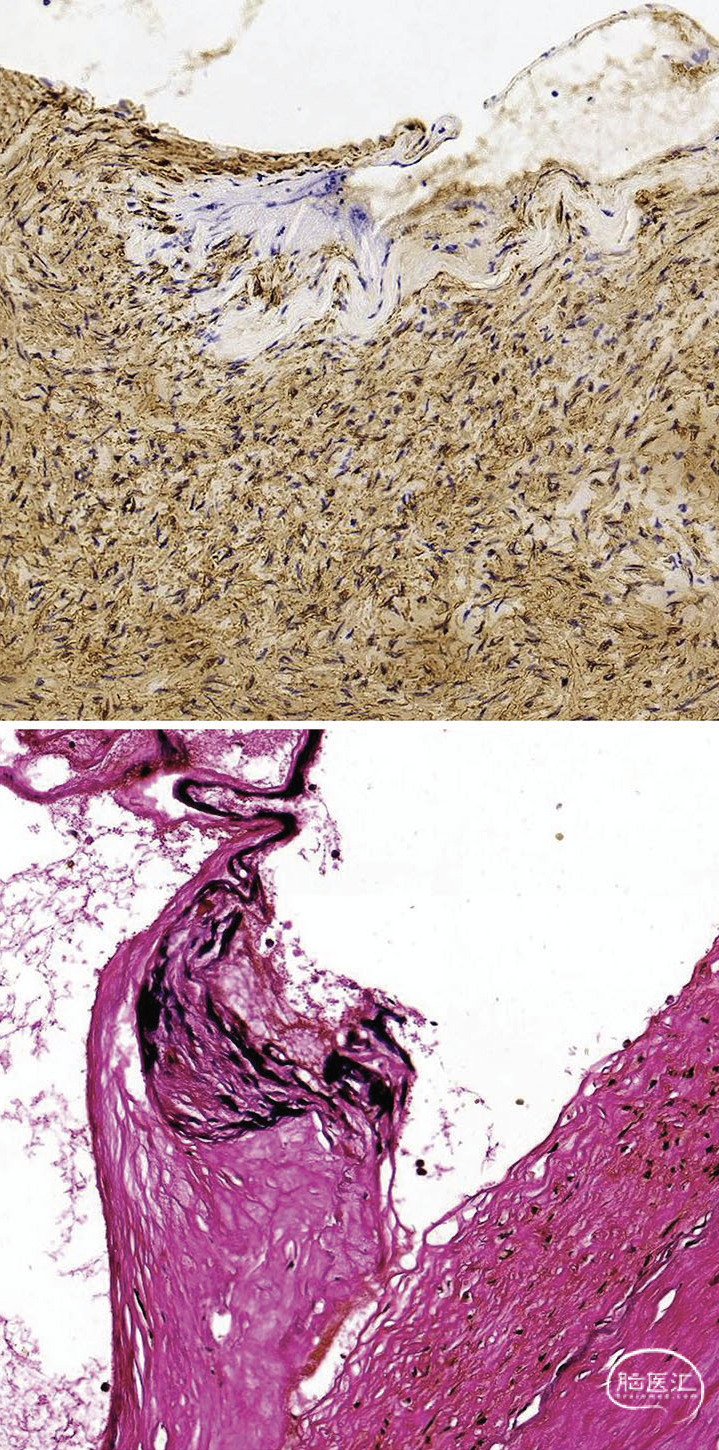
图1. 血管造影中的充盈缺损及其诱因软组织形态学表现。A. 右侧大脑中动脉可见充盈缺损(箭头所示)。B. 在右侧大脑中动脉区域释放取栓支架后,取出的软组织标本(尺寸为1.0×0.2×0.1厘米):

视频:
术后患者意识完全清醒,NIHSS评分降至6分。病理分析显示:首次抽取的暗红色血栓为混合性血栓,而后续导致充盈缺损的灰色软组织包含动脉壁成分,经平滑肌肌动蛋白免疫组化染色及弹力纤维染色确认(图2A、B)。住院10天后出院时神经系统检查正常,改良Rankin量表和NIHSS评分均为0分。
图2. 引发充盈缺损的软组织病理学表现。A. 软组织平滑肌肌动蛋白免疫组化染色呈阳性(放大倍数×200)。B. 弹力纤维染色显示弹力板层结构(Verhoeff染色,放大倍数×200):

本病例在取出大块血栓后,发现大脑中动脉局部充盈缺损。取栓术中充盈缺损通常被认为是含血液成分(红细胞、纤维蛋白、血小板、白细胞)的血栓。若多次取栓未能实现血管再通,因过度取栓可能导致出血风险,可考虑药物干预(如糖蛋白IIb/IIIa受体阻滞剂、rt-PA或尿激酶)。但本例充盈缺损实为动脉壁组织,无法通过药物溶解。该组织可能源自大脑中动脉本身并导致初始血管闭塞,也可能来自颈动脉支架置入术(尽管使用远端保护装置)或初次大脑中动脉取栓时的机械损伤。无论来源如何,漂浮于血流中的不溶性动脉壁组织会阻碍血流、促进血小板黏附与纤维蛋白沉积,导致血栓复发和动脉再闭塞。因此再次行取栓支架置入术具有必要性。综上,机械取栓中的充盈缺损可能存在动脉壁等罕见成分,需及时取出此类不溶性物质以避免局部血管再闭塞。
JAMA Neurol
. 2025 Oct 1;82(10):1071-1072. doi: 10.1001/jamaneurol.2025.2227.
Unusual Finding of Filling Defect During Mechanical Thrombectomy
*本文转载自微信公众号“脑血管病及重症文献导读”,脑医汇获授权转载
![]()
声明:脑医汇旗下神外资讯、神介资讯、脑医咨询、Ai Brain 所发表内容之知识产权为脑医汇及主办方、原作者等相关权利人所有。
投稿邮箱:NAOYIHUI@163.com
未经许可,禁止进行转载、摘编、复制、裁切、录制等。经许可授权使用,亦须注明来源。欢迎转发、分享。
投稿/会议发布,请联系400-888-2526转3。




